Letter to the Editor
Vol. 117: Issue 4 - August 2025
Interventional pathologists: a new challenge for pathologists in the modern era
Summary
This letter highlights the growing importance of Interventional Pathologists (IP) in modern diagnostic practice. Building on the established role of Interventional Cytopathologists, the integration of In-Vivo and Ex-Vivo Confocal Microscopy (CFM) into surgical and outpatient settings enables real-time histological evaluation. These technologies allow for rapid and accurate diagnosis, reduce procedural repetition, and shorten time to treatment. Clinical applications—including in neurosurgery, dermatology, and breast pathology—demonstrate high diagnostic concordance with standard histology. The authors advocate for the formal recognition and training of Interventional Pathologists to meet the evolving demands of precision medicine.
Article
Dear Editor,
we read with interest the paper by Carillo et al. 1 on the importance of ROSE (rapid on-site evaluation) in cytopathologist-performed FNAC (fine needle aspiration cytopathology). The value of the study is not limited only to the presented data but extends to underlining the fundamental role of the interventional cytopathologist (IC).
Interventional cytopathology has been known for a long time and, recently, its fundamental role in precision oncological diagnosis is expanding 2, to the point of making it necessary to establish specific training courses.
On the other hand, recently available techniques that allow obtaining instant histological images from fresh tissue, both in-vivo and ex-vivo, offer the possibility of expanding the concept of the IC to that of interventional pathologist (IP).
The incorporation of such technologies as in-vivo and ex-vivo confocal microscopy (CFM) in daily diagnostic practice would help to reduce intra-operative times as well as provide a rapid histological diagnosis to outpatients.
The specialization in Pathological Anatomy provides the cultural basis for the interpretation of histology for diagnostic purposes. Consequently, an expert histopathologist can have the ability to interpret the in-vivo and ex-vivo CFM.
Numerous studies have already validated the use of ex-vivo CFM for real-time histopathological evaluation of excision margins during Mohs surgeries for cutaneous malignancies, demonstrating high sensitivity and specificity scores 3,4. Several studies have shown ex-vivo CFM to allow a rapid, accurate diagnosis of melanocytic lesions, as well as infectious and inflammatory diseases of the skin 3,4.
While the use of rapid intra-operative histological diagnosis allows to reduce the risk of second surgeries, the possibility to obtain an immediate histological diagnosis during an invasive procedure as FNAC, core needle biopsy sampling (CNB) and incisional biopsies (IB) may be the only way to ensure that the target of such a procedure has been reached, and that the procedure will not need be repeated 5.
An example of real time histological diagnosis providing invaluable information during an invasive procedure was presented by Sighinolfi et al. In this study ex-vivo CFM was used to provide a rapid intra-operative histological evaluation of shavings obtained during urological surgical procedures 6.
We had the opportunity to test ex-vivo CFM on 5 neurosurgical biopsies received for intra-operative frozen section analysis 6. The ex-vivo CFM images were subsequently compared with conventional formalin-fixed-paraffin-embedded (FFPE) hematoxylin-eosin (H&E) stained sections. A complete diagnostic concordance between the ex-vivo CFM images and FFPE H&E sections was achieved in all 5 specimens, thus reaffirming the results previously obtained in non-clinical setting 7.
Furthermore, and most importantly, the application of ex-vivo CFM provided a high-resolution histological image of small tissue biopsies in less than 8 min from the arrival of the tissue sample (mean time: 7:40 min, range: 6:00-10:40min) – a noticeably shorter time than is required for the preparation of a frozen section.
The same ex-vivo CFM methodology can be applied in an outpatient setting.
Ex-vivo CFM provides instant histological images of FNAC, CNB and IB samples allowing the patients to receive a same-day histological diagnosis, before leaving the facility, sparing them days or weeks of stressful waiting. Furthermore, this would significantly reduce the time it takes for cancer patients to enter treatment plans.
A total of 52 mammary tissue samples, presenting both benign and malignant lesions, most of which obtained during pre-operative diagnostic procedures (26 vacuum-assisted biopsy procedures, 1 CNB and 1 FNAC from axillary lymph-node) were tested with Ex-vivo CFM at our Surgical Pathology Unit, during a metholodogical fine-tuning procedure. These samples were scanned by ex-vivo CFM in an outpatient setting, providing high-resolution histological or cytological images within minutes of the sampling procedure. A 94% concordance between the ex-vivo FCM based and the FFPE H&E based diagnoses was reached. This result is in line with recent studies on ex-vivo CFM mammary tissue examination 8.
In addition, attention should be driven to the emerging use of in-vivo CFM in intra-operative settings. This technique can provide a great advantage in the course of tissue-sparing surgeries, especially of the central nervous system 9. This would render indispensable the presence of an IP, experienced in the interpretation of in-vivo microscopic images of the nervous system, in real time in the operating room.
Finally, the rapid development of artificial intelligence techniques must be considered, as they can allow the prediction of the tumour molecular profiles 10.
In conclusion, the role of the pathologist has changed enormously in the last decades, moving from a diagnosis based mainly on large surgical and autoptic samples to small IB, CNB and FNAC, with the need to provide increasingly accurate data with a view to precision medicine.
These new in-vivo and ex-vivo FCM techniques offer a broader scenario where the pathologists intervenes not only directly but also promptly in the patient management.
To overcome these modern challenges, the figure of the IP should be outlined and trained to offer fast and precise diagnoses during surgery and in outpatients.
ACKNOWLEDGMENT
I would like to express my sincere gratitude to VivaScope GmbH for providing the device, and to Pier Paolo Gardelli (Biosonic) for the training and on-site assistance.
CONFLICTS OF INTEREST STATEMENT
The authors declare no conflicts of interest.
FUNDING
None.
AUTHORS ‘CONTRIBUTIONS
Conceptualization, S.A, M.P.F, M.B; writing-original draft preparation, M.B and M.P.F; figure presentation, M.B, G.Q; writing-review and editing, G.Q, M.P.F. All authors have read and agreed to the published version of the manuscript.
ETHICAL CONSIDERATION
The information contained in this manuscript complies with the journal’s ethical standards. Written informed consent was obtained from the patients for the study participation and data publication.
History
Received and accepted: March 25, 2025
Figures and tables
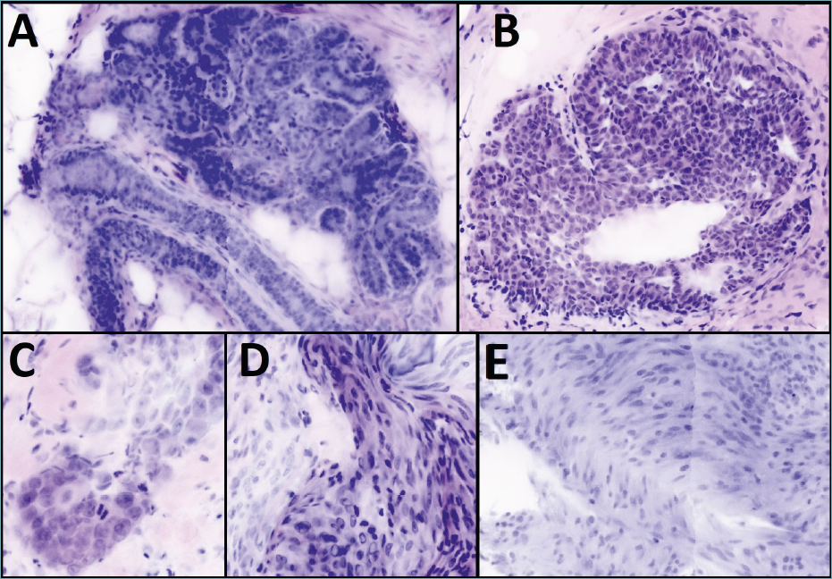
Figure 1. Ex-vivo CFM images of: (A) Normal breast terminal duct-lobular unit; (B) Usual ductal hyperplasia of the breast; (C) Infiltrating ductal breast carcinoma NOS; (D) A neurosurgical biopsy of a meningothelial meningioma, showing nuclear pseudo-inclusions and whorl formation; (E) Verocay bodies seen in a neurosurgical biopsy of a Schwannoma tumor.
References
- Carillo A, Sorice I, Salatiello M. Interventional cytopathologist perspective on the Milan System Classification: a study on 929 consecutive salivary gland fine-needle aspirations with a focus on challenging diagnostic categories. Pathologica. 2024;116(6):358-367. doi:https://doi.org/10.32074/1591-951X-N815.
- De Las Casas L. Interventional cytopathology, a challenging but gratifying journey. Semin Diagn Pathol. 2022;39(6):381-382. doi:https://doi.org/10.1053/j.semdp.2022.06.013
- Razi S, Ouellette S, Khan S. Role of VivaScope 2500 ex vivo confocal microscopy in skin pathology: Advantages, limitations, and future prospects. Skin Res Technol. 2023;29(6). doi:https://doi.org/10.1111/srt.13388.
- Bertoni L, Azzoni P, Reggiani C. Ex vivo fluorescence confocal microscopy for intraoperative, real-time diagnosis of cutaneous inflammatory diseases: A preliminary study. Exp Dermatol. 2018;27(10):1152-1159. doi:https://doi.org/10.1111/exd.13754.
- Erickson R, Sayage-Rabie L, Beissner R. Factors predicting the number of EUS-guided fine-needle passes for diagnosis of pancreatic malignancies. Gastrointest Endosc. 2000;51(2):184-90. doi:https://doi.org/10.1016/s0016-5107(00)70416-0.
- Sighinolfi M, Cimadamore A, Cassani A. Digital real-time microscopy of ex-vivo tissues: A novel strategy to control surgical accuracy. Urologia. 2023;90(1):146-150. doi:https://doi.org/10.1177/03915603221122731.
- Snuderl M, Wirth D, Sheth S. Dye-enhanced multimodal confocal imaging as a novel approach to intraoperative diagnosis of brain tumors. Brain Pathol. 2013;23(1):73-81.
- Conversano A, Abbaci M, van Diest P. Breast carcinoma detection in ex vivo fresh human breast surgical specimens using a fast slide-free confocal microscopy scanner: HIBISCUSS project. BJS Open. 2023;7(3). doi:https://doi.org/10.1093/bjsopen/zrad046.
- Restelli F, Mathis A, Höhne J. Confocal laser imaging in neurosurgery: A comprehensive review of sodium fluorescein-based CONVIVO preclinical and clinical applications. Front Oncol. 2022;12. doi:https://doi.org/10.3389/fonc.2022.998384.
- Varricchio S, Ilardi G, Crispino A, D’Angelo M, Russo D, Di Crescenzo R, Staibano S, Merolla F. A machine learning approach to predict HPV positivity of oropharyngeal squamous cell carcinoma. Pathologica. 2024;116(6):379-389. doi:https://doi.org/10.32074/1591-951X-1027
Downloads
License
This work is licensed under a Creative Commons Attribution-NonCommercial-NoDerivatives 4.0 International License.
Copyright
Copyright (c) 2025 Società Italiana di Anatomia Patologica e Citopatologia Diagnostica, Divisione Italiana della International Academy of Pathology
How to Cite
- Abstract viewed - 422 times
- PDF downloaded - 168 times

