Case reports
Vol. 117: Issue 5 - October 2025
Malignant metastatising solitary fibrous tumor of the ovary with additional dedifferentiation and osteoid deposition: an unusual presentation, with a brief description of a diagnostic alghoritm
Summary
Solitary fibrous tumor (SFT) is a rare spindle cell neoplasm showing fibroblastic differentiation, initially observed in the pleura, but now currently recognized to develop in any extrapleuric location 1,2. In the female genital tract, SFTs are extremely rare and have a predilection for the vulva, vagina and cervix 2,3. There are very few cases of ovarian SFTs having been reported in the literature. Malignant SFTs of the ovary are exceedingly rare neoplasms characterized by their mesenchymal origin and distinctive histopathological features. First identified as a separate entity in soft tissues, SFTs of the ovary represent a diagnostic and therapeutic challenge due to their rarity and overlapping characteristics with other ovarian neoplasms. These tumors are generally considered benign, but their malignant variants can exhibit aggressive behavior, including metastasis and recurrence. The pathogenesis of SFTs is associated with molecular abnormalities, particularly NAB2-STAT6 gene fusions 4, which play a crucial role in diagnosis and may have prognostic implications. Our case of ovarian malignant SFT showed an unusual pattern of dedifferentiation. The conventional SFT component displays a pattern less architecture, uniform fibroblastic morphology, prominent branching vessels, and is diffusely positive for CD34 and STAT6. However, there is an abrupt transition to a pleomorphic, high mitotic rate component with fascicular spindle cell morphology resembling a smooth muscle neoplasm. This dedifferentiated area is positive for SMA and desmin but negative for CD34 and STAT6 and includes focal ossification. Stains for MDM2, CDK4, and caldesmon are negative. The case is notable for its atypical progression, as most dedifferentiated SFTs transition directly from a benign-appearing SFT to a high-grade component without signs of malignancy in the conventional SFT region.
Introduction
Solitary fibrous tumors (SFTs) in the female genital tract are extremely rare, with a preference for the vulva, vagina, and cervix 2,3. Ovarian SFTs are exceptionally uncommon, with only a few cases reported in the literature 5. These tumors are typically observed in middle-aged to older individuals and occur equally in both genders at non-ovarian sites. However, their incidence in the ovary remains unclear due to the limited number of cases. In its classic form, the tumor cells are spindle to ovoid with scant cytoplasm and arranged in a “patternelss” architecture with variable cellularity. Prominent dilated branching vessels (hemangiopericytoma-like) are a characteristic finding. The majority have a NAB2-STAT6 gene fusion on chromosome 12 3,6 resulting in nuclear STAT6 overexpression, which is a highly sensitive and specific immunohistochemical marker of SFT 7. However, there are potential pitfalls in utilizing STAT6 immunohistochemistry for the diagnosis of SFT due to variability and limitations in detecting fusion transcripts 1,4. It is, therefore, crucial to use STAT6 in the presence of classic histological features of SFTs 1. The distinctive immunohistochemistry findings of the positivity with STAT6 and CD34 in the background of patternless spindle to ovoid fibroblastic cells and hemangiopericytoma-like vessels supports the diagnosis of SFT in the current patient. Although most SFTs are benign, up of 20% will have an aggressive clinical course 8 and risk stratification models using morphologic features, such as mitotic rate and tumor size, have been used to improve diagnostic accuracy 8. Recently, rare cases of SFT with dedifferentiation like other soft tissue tumors have been described and do appear to correlate with a more aggressive clinical course. Differentiation in soft tissue pathology refers to high-grade sarcoma with a coexisting low-grade component, and the transition between the two different areas is usually abrupt 9. These features are important to recognize, as they have consistently shown to have a worse prognosis when compared to conventional SFT 8,10. According to Demicco et al.’s three-variable risk model, which considers patient age, mitotic activity, and tumor size, the risk of metastasis ranges from 10% in low-risk tumors to 25% in high-risk cases 5.
Case report
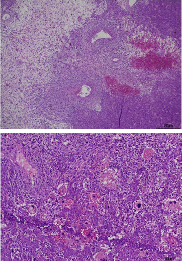
A 47-year-old woman was referred to our hospital for abdominal pain and moderate ascites. Tumor markers, including CA125 and alpha-fetoprotein, were normal. CT imaging revealed a large, heterogeneously enhanced pelvic mass (9 x 5 cm) adherent to the bowel, omentum, and left ovary. Surgical intervention included radical hysterectomy, bilateral oophorectomy, partial bowel and omental resection, and peritoneal biopsies. The tumor appeared to originate from the left ovary, with omental and bowel involvement. Macroscopically the main pelvic mass of 9 cm appeared to arise from the left ovary and omental involvement in the form of multiple nodules ranging in size from 0.6 to 3 cm, and bowel involvement showing retracted serosa were detected. The cut surface of the tumor revealed a tan-white lesion with extensive necrosis and hemorrhage. Microscopically areas of the tumor show features of conventional SFT with a patternless architecture and uniform fibroblastic morphology, along with prominent branching vessels (Fig. 1A). However, even within this component, there was transition to an area of tumor which was much more pleomorphic and showed a high mitotic rate (Fig. 1B). There is a very abrupt transition to a morphologically distinct component characterized by a fascicular spindle cell morphology, almost resembling a smooth muscle neoplasm, again with a high mitotic rate and, present within this fascicular component, there are small areas of ossification. In the SFT-like component, there was diffuse positivity for CD34 in the conventional areas, which decreases in the less differentiated areas and with greater pleomorphism. (Fig. 1C). Positivity for STAT6 is instead intense and diffuse in all components of the neoplasia. (Fig. 1D). The fascicular spindle cell area also shows focal positivity for SMA and desmin. Stains for MDM2, CDK4 and caldesmon are negative. The diagnosis was malignant SFT with dedifferentiation and focal osteoid deposition. This case is highly unusual due to its rare ovarian presentation and the abrupt transition from conventional SFT to a high-grade dedifferentiated component. The patient developed additional metastatic lesions one month after the diagnosis localized in peritoneum and liver. She chose to not undergo any treatment and passed away three months after the diagnosis.
Discussion
SFTs of the ovary are rare mesenchymal neoplasms with distinct macroscopic, histologic, and immunophenotypic features. The diagnosis of this entity in the ovary, particularly in cases with dedifferentiation features like the present one, can be difficult to interpret. It requires a deep understanding of clinical, macroscopic, histological, and immunophenotypic characteristics to accurately rule out other differential diagnoses. The diagnostic algorithm also includes clinical evaluation (patient history, symptoms, and tumor marker levels) and imaging studies (tumor size, location, adhesion to surrounding tissues, or signs of metastatic spread). The pathological evaluation must evaluate different characteristics. At macroscopic examination, the tumor usually shows a tan-white cut surface with areas of necrosis and hemorrhage. Histopathological features include a patternless architecture, spindle cells, staghorn vasculature, and collagenous stroma. It is important to note mitotic activity, necrosis, and cellular atypia to assess malignancy. Performing a panel of markers for differential diagnosis in immunohistochemistry is crucial. SFTs typically show positivity for CD34, STAT6, BCL-2, and CD99 (confirmatory for SFTs) and are negative for cytokeratins, S-100, desmin, CD10, CD117, and DOG1 (to exclude other spindle cell tumors). Nuclear STAT6 overexpression is a highly sensitive and specific immunohistochemical marker for SFTs 4,5, as a result of the NAB2-STAT6 gene fusion that has been identified in the vast majority of SFTs 3,5. However, there are potential pitfalls in utilizing STAT6 immunohistochemistry for the diagnosis of SFT due to variability and limitations in detecting fusion transcripts 1. It is, therefore, crucial to use STAT6 in the presence of classic histological features of SFTs 1. Confirming NAB2-STAT6 gene fusion is essential for a definitive diagnosis in ambiguous cases. Malignant solitary fibrous tumors (SFTs) of the ovary must be carefully differentiated from other spindle cell neoplasms with malignant potential, as these tumors share overlapping histological features. High-grade sarcomas, for instance, exhibit high cellularity, nuclear pleomorphism, necrosis, and increased mitotic activity – features that may resemble malignant SFTs. However, these tumors lack the characteristic vascular patterns seen in SFTs and are negative for both STAT6 and CD34. Malignant peripheral nerve sheath tumors (MPNSTs) is a diagnostic challenge. These neoplasms display spindle cells with nuclear atypia, geographic necrosis, and a fascicular growth pattern, which contrasts with the “patternless” architecture of SFTs. Immunophenotypically, MPNSTs are STAT6-negative but express S-100 and occasionally SOX10, helping to distinguish them from malignant SFTs.
Leiomyosarcomas are another important differential diagnosis. These tumors are composed of fascicles of spindle cells with eosinophilic cytoplasm and show significant atypia. They lack the hemangiopericytoma-like vascular pattern characteristic of SFTs and are immunohistochemically positive for desmin, SMA, and caldesmon, while being negative for STAT6 and CD34. Carcinosarcomas, also known as malignant mixed Müllerian tumors, present another potential diagnostic pitfall. These biphasic tumors contain both epithelial and mesenchymal components. While the sarcomatous areas may mimic SFT, the epithelial component demonstrates positivity for markers such as cytokeratins and EMA, providing a clear distinction from SFT.
Metastatic neoplasm to the ovary, though rare, may be excluded such as metastases of undifferentiated uterine sarcomas, Gastrointestinal stromal tumor (GIST), malignant mesothelioma and low-grade endometrial stromal sarcoma. Ovarian localizations of undifferentiated uterine sarcoma exhibit poorly differentiated spindle cell tumors with necrosis and infiltrative growth. However, they lack organized vascular architecture and are STAT6-negative. Instead, they often express ER, PR, or CD10, reflecting their distinct tumor origin. GISTs metastases can sometimes present spindle cell morphology that resembles SFTs. These tumors, however, are distinguished by their immunophenotypic profile, with positivity for CD117 (c-KIT) and DOG1, and negativity for STAT6. Malignant mesothelioma, specifically its spindle cell variant, may resemble malignant SFT in appearance. However, this tumor is typically positive for cytokeratins, calretinin, and WT1, and negative for STAT6 and CD34, which helps differentiate it. Endometrial stromal sarcomas (ESS) can also resemble SFTs due to their spindle cell morphology and vascular patterns. However, their infiltrative growth pattern and immunohistochemical positivity for CD10, ER, and PR differentiate them from malignant SFTs, which lack these markers. The nuclear expression of STAT6 remains the hallmark of SFTs, including their malignant variants, and is crucial in distinguishing these tumors from other spindle cell malignancies. CD34 positivity further supports the diagnosis, though it is not entirely specific.
This combination of histological features and immunophenotypic markers provides a robust framework for accurately diagnosing malignant ovarian SFTs while excluding other spindle cell neoplasms. This comprehensive approach, combining histology and immunophenotyping, is essential for differentiating malignant SFTs from other ovarian spindle cell malignancies (Tab. I).
Conclusions
Malignant ovarian SFT is a rare neoplasm requiring meticulous macroscopic sampling to identify both differentiated and dedifferentiated areas, alongside detailed morphological evaluation. Diagnosis relies on an algorithm of differential diagnoses among ovarian mesenchymal neoplasms. However, the use of STAT6 immunohistochemistry may present challenges due to variability and limitations in detecting fusion transcripts. In this case, the distinctive immunohistochemical profile, including STAT6 and CD34 positivity, alongside the characteristic morphology of patternless spindled-to-ovoid fibroblastic cells and hemangiopericytoma-like vessels, supports the diagnosis of SFT. The present case is particularly unusual because of its rare ovarian presentation and the abrupt transition from conventional SFT to a high-grade dedifferentiated component with focal osteoid deposition. While SFTs are generally benign, predicting their clinical behavior can be challenging. They may recur locally or systemically, and malignant cases are occasionally reported. According to Demicco et al.’s three-variable risk model, which considers patient age, mitotic activity, and tumor size, the risk of metastasis ranges from 10% in low-risk tumors to 25% in high-risk cases 11. Treatment typically involves complete surgical resection, with a generally favorable prognosis 11. Due to the rarity of ovarian SFTs, standard management protocols are yet to be established. Our case is highly unusual due to its rare presentation with an abruption transition from conventional SFT to a high-grade dedifferentiated component, associated with focal osteoid deposition. This case provides valuable insights into the diagnosis, treatment, and prognostic assessment of ovarian SFTs.
ACKNOWLEDGEMENTS
A heartfelt thank you to Dr. Dvornick Gordan (MD, Surgical Pathology of Trento) and Prof. Fletcher C.D.M., from Brigham and Women’s Hospital, Boston, for their invaluable review and consultation on this case.
CONFLICTS OF INTEREST STATEMENT
The authors declare no potential conflicts of interest.
FUNDING
None.
AUTHORS’ CONTRIBUTIONS
Writing-conceptualization: LM, EB. Collecting data: AP. Review: AS. Review and editing: GFZ, MB.
ETHICAL CONSIDERATION
Written informed consent was obtained from the patient. Data were anonymized.
History
Received: March 27, 2025
Accepted: April 24, 2025
Figures and tables
Figure 1. (A) The neoplasia show areas with variable ovoid and spindle uniform cellularity in a patternless architecture. Prominent branching vessels are also present. (B) Dedifferentiated areas with greater pleomorphism and high mitotic activity.
Figure 1. (C) Diffuse positivity for CD34 in the conventional areas, which de-creases in the less differentiated component. A small area of ossification in also present in the image. (D)Intense and diffuse positivity of STAT6 in all the components of the neoplasia.
| Differential Diagnosis | Histological Features | Immunophenotype |
|---|---|---|
| High-Grade Sarcoma | High cellularity, nuclear pleomorphism, atypia, necrosis, high mitotic activity; lacks characteristic vascular patterns of SFT | Negative for STAT6 and CD34; expression of markers varies by subtype |
| Malignant Peripheral Nerve Sheath Tumor (MPNST) | Spindle cells, nuclear atypia, geographic necrosis, fascicular growth; lacks “patternless pattern” and staghorn vasculature | Negative for STAT6 and CD34; positive for S-100 and sometimes SOX10 |
| Leiomyosarcoma | Fascicles of spindle cells with eosinophilic cytoplasm, atypia, high mitotic rate; lacks hemangiopericytoma-like vasculature | Positive for desmin, SMA, and caldesmon; negative for STAT6 and CD34 |
| Undifferentiated Uterine Sarcoma | Poorly differentiated spindle cell neoplasm, infiltrative growth, areas of necrosis; lacks organized vascular architecture | Negative for STAT6 and CD34; positive for markers like ER, PR, or CD10 |
| Gastrointestinal Stromal Tumor (GIST) | Spindle cells with high mitotic activity; rare ovarian involvement; lacks dense collagenous stroma typical of SFT | Positive for CD117 (c-KIT) and DOG1; negative for STAT6 |
| Malignant Mesothelioma | Spindle cell variant with nuclear atypia, dense stroma, occasional necrosis; overlaps in appearance with SFTs | Positive for cytokeratins, calretinin, and WT1; negative for STAT6 and CD34 |
| Carcinosarcoma (Malignant Mixed Müllerian Tumor) | Biphasic pattern with epithelial and sarcomatous components; spindle cell areas may mimic SFT | Positive for cytokeratins and EMA (epithelial areas); negative for STAT6 in sarcomatous areas |
| Low-grade Endometrial Stromal Sarcoma | Spindle cells with vascular patterns similar to SFT; infiltrative growth distinguishes ESS from SFT | Positive for CD10, ER, and PR; negative for STAT6 and CD34 |
References
- Yang E, Howitt B, Fletcher C. Solitary fibrous tumor of the female genital tract: a clinopathological analysis of 25 cases. Histopathology. 2018;72:749-59. doi:https://doi.org/10.1111/his.13430
- Meena M, Jindal T, Duggal R. Solitary fibrous tumor of the ovary. J Obstet Gynaecol Res. 2018;44:1177-80. doi:https://doi.org/10.1111/jog.13627
- Mohajeri A, Tayebwa J, Collin A. Comprehensive genetic analysis identifies a pathognomonic NAB2/STAT6 fusion gene, nonrandom secondary genomic imbalances, and a characteristic gene expression profile in solitary fibrous tumor. Genes Chromosomes Cancer. 2013;52:873-86. doi:https://doi.org/10.1002/gcc.22083
- Doyle L, Vivero M, Fletcher C. Nuclear expression of STAT6 distinguishes solitary fibrous tumor from histologic mimics. Mod Pathol. 2014;27:390-5. doi:https://doi.org/10.1038/modpathol.2013.164
- Wen-Chen H, Shih-Hung H. A solitary fibrous tumor of the ovary. Taiwan J Obstet Gynecol. 2022;61:1073-6. doi:https://doi.org/10.1016/j.tjog.2022.02.051
- Chmielecki J, Crago A, Rosenberg M. Whole-exome sequencing identifies a recurrent NAB2-STAT6 gene fusion in solitary fibrous tumor by integrative sequencing. Nat Genet. 2013;45:180-5. doi:https://doi.org/10.1038/ng.2522
- England D, Hochholzer L, McCarthy M. Localized benign and malignant fibrous tumors of the pleura: a clinicopathologic review of 223 cases. Am J Surg Pathol. 1989;13(8):640-58. doi:https://doi.org/10.1097/00000478-198908000-00003
- Demicco E, Park M, Araujo D. Solitary fibrous tumor: a clinicopathological study of 110 cases and proposed risk assessment model. Mod Pathol. 2012;25(9):1298-306. doi:https://doi.org/10.1038/modpathol.2012.83
- Mosquera J, Fletcher C. Expanding the spectrum of malignant progression in solitary fibrous tumor: a study of 8 cases with a discrete anaplastic component - is this dedifferentiated SFT?. Am J Surg Pathol. 2009;33(9):1314-21. doi:https://doi.org/10.1097/pas.0b013e3181a6cd33
- Collini P, Negri T, Barisella M. High-grade sarcomatous overgrowth in solitary fibrous tumors: a clinicopathologic study of 10 cases. Am J Surg Pathol. 2012;36(8):1202-15. doi:https://doi.org/10.1097/PAS.0b013e31825748f0
- Meena M, Jindal T, Duggal R. Solitary fibrous tumor of the ovary. J Obstet Gynaecol Res. 2018;44:1177-80. doi:https://doi.org/10.1111/jog.13627
Downloads
License
This work is licensed under a Creative Commons Attribution-NonCommercial-NoDerivatives 4.0 International License.
Copyright
Copyright (c) 2025 Società Italiana di Anatomia Patologica e Citopatologia Diagnostica, Divisione Italiana della International Academy of Pathology
How to Cite
- Abstract viewed - 509 times
- PDF downloaded - 223 times
