Case reports
Vol. 117: Issue 5 - October 2025
Expanding the spectrum of AFF2 undifferentiated sarcoma associated to endometriosis: a novel ZDHHC9::AFF2 fusion sarcoma with high-grade features and poor prognosis
Summary
The AFF2 gene encodes a protein involved in transcriptional regulation and chromatin remodeling. While primarily associated with Fragile X syndrome, AFF2 fusions have recently been identified in certain malignancies, mostly sinonasal squamous cell carcinoma. Recently it has been implicated in an intra-abdominal sarcoma linked to endometriosis. We present the case of a 71-year-old woman with a 19 cm ovarian mass arising in cystic endometriosis. Histological examination revealed high-grade undifferentiated sarcoma with spindle to epithelioid morphology, high nuclear atypia, a high mitotic index, and extensive necrosis. Immunohistochemistry demonstrated positivity for Vimentin, ER, PR, CD10, focal WT1, Desmin, and NTRK, with aberrant p53 expression in 75% of tumor cells. RNA sequencing identified a novel ZDHHC9::AFF2 fusion. The patient underwent chemotherapy with epirubicin and ifosfamide but experienced recurrence with lymph node and peritoneal involvement and succumbed to the disease after 9 months.
In conclusion, this case expands the morphological spectrum of AFF2-related sarcomas, providing further evidence of their pathological heterogeneity. Moreover, it identifies a novel fusion, which may have implications for tumor classification and diagnostic refinement. The morphological findings also suggest a possible association with poor clinical outcomes.
In conclusion, this case expands the morphological spectrum of AFF2-related sarcomas, providing further evidence of their pathological heterogeneity. Moreover, it identifies a novel fusion, which may have implications for tumor classification and diagnostic refinement. The morphological findings also suggest a possible association with poor clinical outcomes.
Introduction
The AFF2 gene, located on the X chromosome and initially recognized for its association with Fragile X syndrome, encodes a protein crucial for transcriptional regulation and chromatin remodeling. It is part of the AF4/FMR2 protein family, which interacts with RNA and chromatin to regulate gene expression 1.
Emerging research has increasingly linked AFF2 to cancer biology. It has been identified in a subset of nonkeratinizing squamous cell carcinomas in the sinonasal region and skull base, typically featuring papilloma-like growths with transitional cells exhibiting eosinophilic to amphophilic cytoplasm and uniform nuclei. Minimal keratinization is observed, and keratin pearls are rare. The tumor stroma is characterized by an abundance of tumor-infiltrating neutrophils or stromal lymphocytes 2.
In the gynecologic context, AFF2 has been reported in a case of WWTR1::AFF2 fusion intra-abdominal sarcoma linked to endometriosis. Histologically, the tumor consisted of spindle to epithelioid cells in long fascicles, with a hypocellular, myxoid stroma, and a notable lymphocytic infiltrate as in the sinonasal tract. The lesion exhibited low mitotic activity and absence of necrosis 3.
In order to expand the morphological and clinical features of AFF2-sarcomas, herein we present a case of ovarian high-grade undifferentiated sarcoma arising in cystic endometriosis characterized by a novel ZDHHC9::AFF2 fusion.
Materials and methods
IMMUNOHISTOCHEMISTRY
The following immunostains were performed according to the manufacturer’s protocol: CAM5.2, CKAE1/AE3, EMA, BerEP4, Vimentin, Calretinin, Caldesmon, Desmin, DOG1, CD117, MelanA, HMB45, S100, CD10, PAX8, BCOR, CyclinD1, CD99, WT1, MDM2, MyoD1, MIFT, NTRK, Estrogen and Progesterone Receptor (ER, PR).
RNA SEQUENCING
RNA was extracted from formalin-fixed paraffin-embedded (FFPE) tumor tissue using Maxwell CSC instrument (Promega, Madison, USA) with the Maxwell RSC RNA FFPE kit (Promega, Madison, USA) according to the manufacturer’s protocol.
To identify genomic rearrangements, 300 ng of total RNA were used for a targeted RNA-Seq with SureSelectXT HS2 RNA system with Human All Exon V6 + COSMIC Probe (Agilent Technologies, Santa Clara, CA, USA) used according to the manufacturer’s instructions (version A1, September 2020). The sequencing run was performed in paired-end mode (2 X 151-bp reads) using the Illumina NextSeQ 550 platform and generating at least 30 million reads per sample.
The resulting alignment files were then used by the STAR-Fusion and Arriba pipelines to identify any candidate fusion transcripts.
DNA METHYLATION PROFILING AND COPY NUMBER ANALYSIS
Tumor samples were obtained from formalin-fixed, paraffin-embedded (FFPE) tissue blocks, specifically using ten 10 μm scrolls. Areas with tumor cell content above 70% were selected to ensure sample integrity. Genomic DNA was extracted via the MagPurix FFPE DNA Extraction Kit (Zinexts, Life Science Corporation, New Taipei City, Taiwan) using automated procedures. DNA methylation analysis was conducted using the Infinium Methylation EPIC (850k) BeadChip (Illumina, San Diego, CA, USA), following the recommended protocol. Quality control assessments confirmed adequate DNA quality, effective bisulfite conversion, and sufficient tumor purity. The raw methylation data (IDAT files) were analyzed using the version 12.2 of the Sarcoma Classifier (https://www.molecularneuropathology.org), following established methodologies. Copy number variation (CNV) plots were generated based on methylation data, and structural rearrangements were visualized using the Integrative Genomic Viewer (IGV) software.
Case report
The patient, a 71-year-old woman, was admitted to our hospital with abdominal pain caused by a 19 cm right ovarian mass. She presented with ascites, and the neoplastic markers tested were negative except for Ca125 (1943 U/ml) and Ca19.9 (2018 U/ml). The patient underwent total hysterectomy with bilateral salpingo-oophorectomy. Grossly, the right-adnexa was replaced by a solid-cystic neoplasia with necrosis and hemorrhage.
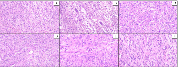
Histologically, the lesion exhibited a proliferation of spindle cells with high-grade atypia, occasional cells with multinucleated and bizarre features were present. The cells were arranged in a fascicular pattern with occasional whirling, transitioning to vaguely epithelioid appearance. The vasculature was fine and delicate, featuring arciform vessels. Inflammatory infiltrate was present. The mitotic count was high, approximately 36 mitoses per 10 high-power fields (HPF). Necrosis was abundant (Fig. 1).
Immunohistochemistry revealed that the lesion was positive for Vimentin, ER, PR, CD10, focal positivity for WT1, Desmin, and NTRK. p53 showed a nuclear positive staining in 75% of cells. It was negative for all other markers tested, including CAM5.2, CKAE1/AE3, EMA, BerEP4, Calretinin, Caldesmon, DOG1, CD117, MelanA, HMB45, S100, PAX8, BCOR, Cyclin D1, CD99, WT1, MDM2, MyoD1, and MIFT (Fig. 2).
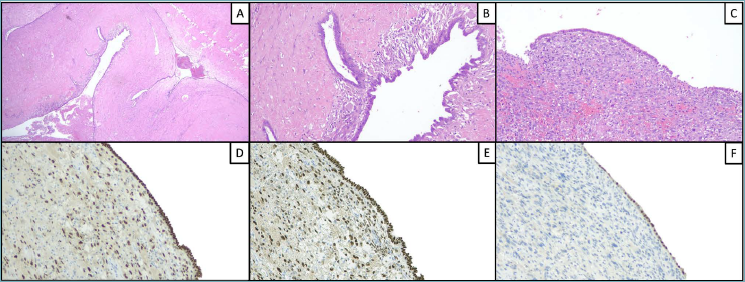
There were also columnar to flat cells with reactive atypia, which were positive for ER, PR, and PAX8, consistent with endometriosis (Fig. 3).
RNA sequencing identified a novel ZDHHC9 (exon 3)::AFF2(exon 2) fusion (Fig. 4).
According to the DNAm, it classified with low calibrated score (CS = 0.6) as well/dedifferentiated liposarcoma and the CNVs found were: deletion of Chr2q and Chr3p, 4p gain (TERT amplification), Chr7q loss, and gain of CCND2.
The patient underwent 6 cycles of chemotherapy with epirubicin and ifosfamide. After 9 months, she experienced a recurrence involving lymph nodes and the peritoneum and died of disease.
Discussion
Endometriosis is characterized by the abnormal growth of endometrial-like tissue outside the uterus affecting 5-15% of all women4. Although typically benign, in rare cases it presents an association with malignant transformation4-7. Studies estimate a transformation rate between 0.5% and 1% 4.
Several factors contribute to the risk of endometriosis-related malignancy, including postmenopausal status with elevated estrogen levels, both from exogenous hormone therapies and endogenous sources in obese individuals 8.
Sampson 9 in 1927 and RB Scott 10 in 1953 established criteria that require a continuum of morphological alterations from benign to malignant lesion. Indeed, atypical endometriosis is recognized as a premalignant precursor frequently associated with cancers, reflecting its role in the malignant transformation process. This phenomenon has been demonstrated after several years when sequencing studies showed a clonal relationship between endometriosis and its malignant counterparts, confirming that cancers can arise from adjacent endometriotic foci. Mutations in genes such as TP53, KRAS, PTEN, PIK3CA, and ARID1A, along with the loss of mismatch repair enzyme expression and microsatellite instability, have been implicated in the development of cancer from endometriosis 8. Among various gynecologic cancers, clear-cell and endometrioid carcinomas are often linked to endometriosis, where a direct clonal connection has been established between endometriosis, acting as a precursor, and the development of these cancers 11,12.
On the “stromal” side, in 2013, Masand et al. 13 reported a series of 63 cases of extra-uterine endometrial stromal sarcoma (EESS). They found that the majority of EESS cases were in the pelvis, ovary, or attached to the bowel wall, generally exhibiting classical histological features. Marked diffuse pleomorphism was observed in three cases.
In this background and with the evolving use of molecular testing, an intra-abdominal spindle cell sarcoma associated to endometriosis with WWTR1::AFF2 fusion was described. The lesion was composed of a “plump spindle to epithelioid cell” proliferation with low mitotic activity and absence of necrosis; the patient was free of disease after 11 months.
Herein we expanded the spectrum of endometriosis-associated undifferentiated sarcoma with a new case composed of spindle to epithelioid cells with frequent nucleoli, high-grade atypia, necrosis, and high mitotic index, characterized by a novel ZDHHC9::AFF2 fusion and a poor prognosis.
From an immunohistochemical point of view, WWTR1::AFF2 and ZDHHC9::AFF2 share common marker of “stromal” differentiation such as WT1, ER and PR positivity while CD10 was positive only in the latter. Moreover, our case exhibited aberrant NTRK positivity, consistent with literature findings that describe non-specific NTRK expression in a subset of undifferentiated uterine sarcomas14.
The methylation profiling analysis excluded classification of the tumor as an HG-ESS. Furthermore, the clustering with liposarcoma does not define an adipocytic differentiation lineage, but rather reflects the fact that this entity is not yet represented in the current classifier.
Finally, our case seems to fall within the same spectrum as that previously described by Dashti at al. 3. Although both tumors share similar morphological features, such as spindle-to-epithelioid cells with prominent nucleoli, our case demonstrates more aggressive characteristics, including marked atypia, high mitotic activity, and necrosis. These variations could be attributed to differences in fusion partners between the cases. The ZDHHC9 gene, encoding a palmitoyltransferase enzyme that regulates protein stability and function 15, has been associated with various tumors, such as acute myeloid leukemia 16 and in colon cancer 17. Interestingly, its overexpression correlates with breast tumor growth 18. These morphological and molecular distinction could lead to a poorer prognosis in our case.
In conclusion, this case of high-grade undifferentiated sarcoma with ZDHHC9::AFF2 fusion associated with endometriosis broadens the spectrum of AFF2-related malignancies and underscores the complexity of tumorigenesis in endometriosis-associated tumors.
The role of ZDHHC9 in multiple oncogenic pathways highlights its potential as a therapeutic target. Inhibiting its activity may reverse the oncogenic effects of dysregulated palmitoylation 18, and thus further studies are needed to investigate the molecular mechanisms driving this fusion and to explore its potential as a novel therapeutic target.
CONFLICT OF INTERESR STATEMENT
The authors declare that they have no conflicts of interest related to the content of this study.
FUNDING
This research received no specific grant from any funding agency.
AUTHORS CONTRIBUTION
Conceptualization: AD, AR; Methodology: TA, IF; ZGF; Data curation: SG, SA, PAL; Investigation: GI, BS, PS, ME; Writing: AD; Review & supervision: AR.
ETHICAL CONSIDERATION
This study was conducted in accordance with the principles of Good Clinical Practice and the Declaration of Helsinki (1975, as revised in 2013). Given the retrospective and non-interventional design of the study, specific ethical approval and informed consent for the research were not required. Nonetheless, written informed consent was obtained from the patient prior to surgical procedures. Clinical data were retrieved from medical records and pathology reports. No personal identifiers, including patient initials, were included. All samples were fully anonymized, and no additional ethical approval was necessary for the conduct of this retrospective analysis.
History
Received: April 9, 2025
Accepted: March 23, 2025
Figures and tables
Figure 1. Histological examination showed a spindle cell proliferation with high-grade atypia (A), occasional bizarre cells (B), arranged in fascicular and whirling patterns, transitioning to a vaguely epithelioid appearance (C). Fine, arciform vasculature (D), inflammatory infiltrates (E) and mitosis (F) were observed.
Figure 2. Immunohistochemistry analysis showed a diffuse positivity for CD10, ER/PR, p53 was positive in 75% of the cells, focal positivity was detected for WT1, Desmin and NTRK. The cystic area and the periphery of the lesion were lined by benign epithelium composed
Figure 3. Histological features of the cystic endometriosis associated to the sarcoma with ER (D), PR (E) and PAX8 (F) positivity.
Figure 4. Illustrative representation of the chimeric transcript between the exon 3 of ZDHHC9 gene and the exon 2 of AFF2 gene, found by next-generation sequencing.
References
- Melko M, Douguet D, Bensaid M. Functional characterization of the AFF (AF4/FMR2) family of RNA-binding proteins: insights into the molecular pathology of FRAXE intellectual disability. Hum Mol Genet. 2011;20(10):1873-85. doi:https://doi.org/10.1093/hmg/ddr069
- Rooper L, Agaimy A, Dickson B. DEK-AFF2 carcinoma of the sinonasal region and skull base: detailed clinicopathologic characterization of a distinctive entity. Am J Surg Pathol. 2021;45(12):1682-93. doi:https://doi.org/10.1097/PAS.0000000000001741
- Dashti N, Dermawan J, Schoolmeester J. A novel WWTR1::AFF2 fusion in an intra-abdominal soft tissue sarcoma with associated endometriosis. Genes Chromosomes Cancer. 2022;61(8):497-502. doi:https://doi.org/10.1002/gcc.23045
- Matias-Guiu X, Stewart C. Endometriosis-associated ovarian neoplasia. Pathology. 2018;50(2):190-204. doi:https://doi.org/10.1016/j.pathol.2017.10.006
- Krawczyk N, Banys-Paluchowski M, Schmidt D. Endometriosis-associated malignancy. Geburtshilfe Frauenheilkd. 2016;76(2):176-81. doi:https://doi.org/10.1055/s-0035-1558239
- Santoro A, Angelico G, Inzani F. The many faces of endometriosis-related neoplasms in the same patient: a brief report. Gynecol Obstet Invest. 2020;85(4):371-6. doi:https://doi.org/10.1159/000508225
- Heaps J, Nieberg R, Berek J. Malignant neoplasms arising in endometriosis. Obstet Gynecol. 1990;75(6):1023-8.
- Dawson A, Fernandez M, Anglesio M. Endometriosis and endometriosis-associated cancers: new insights into the molecular mechanisms of ovarian cancer development. Ecancermedicalscience. 2018;12. doi:https://doi.org/10.3332/ecancer.2018.80
- Sampson J. Metastatic or embolic endometriosis, due to the menstrual dissemination of endometrial tissue into the venous circulation. Am J Pathol. 1927;3(2):93-110.
- Scott R. Malignant changes in endometriosis. Obstet Gynecol. 1953;2(3):283-9.
- Anglesio M, Bashashati A, Wang Y. Multifocal endometriotic lesions associated with cancer are clonal and carry a high mutation burden. J Pathol. 2015;236(2):201-9. doi:https://doi.org/10.1002/path.4516
- Wiegand K, Shah S, Al-Agha O. ARID1A mutations in endometriosis-associated ovarian carcinomas. N Engl J Med. 2010;363(16):1532-43. doi:https://doi.org/10.1056/NEJMoa1008433
- Masand R, Euscher E, Deavers M. Endometrioid stromal sarcoma: a clinicopathologic study of 63 cases. Am J Surg Pathol. 2013;37(11):1635-47. doi:https://doi.org/10.1097/PAS.0000000000000083
- Moura M, Costa J, Velasco V. Pan-TRK immunohistochemistry in gynaecological mesenchymal tumours: diagnostic implications and pitfalls. Histopathology. 2024;84(3):451-62. doi:https://doi.org/10.1111/his.15082
- Linder M, Deschenes R. Palmitoylation: policing protein stability and traffic. Nat Rev Mol Cell Biol. 2007;8(1):74-84. doi:https://doi.org/10.1038/nrm2084
- Liu P, Jiao B, Zhang R. Palmitoylacyltransferase Zdhhc9 inactivation mitigates leukemogenic potential of oncogenic Nras. Leukemia. 2016;30(5):1225-8. doi:https://doi.org/10.1038/leu.2015.293
- Chong X, Zhu L, Yu D. ZDHHC9 promotes colon tumor growth by inhibiting effector T cells. Oncol Lett. 2022;25(1). doi:https://doi.org/10.3892/ol.2022.13591
- Mansilla F, Birkenkamp-Demtroder K, Kruhøffer M. Differential expression of DHHC9 in microsatellite stable and instable human colorectal cancer subgroups. Br J Cancer. 2007;96(12):1896-903. doi:https://doi.org/10.1038/sj.bjc.6603818
- Yang Y, Hsu J, Sun L. Palmitoylation stabilizes PD-L1 to promote breast tumor growth. Cell Res. 2019;29(1):83-6. doi:https://doi.org/10.1038/s41422-018-0124-5
Downloads
License
This work is licensed under a Creative Commons Attribution-NonCommercial-NoDerivatives 4.0 International License.
Copyright
Copyright (c) 2025 Società Italiana di Anatomia Patologica e Citopatologia Diagnostica, Divisione Italiana della International Academy of Pathology
How to Cite
- Abstract viewed - 593 times
- PDF downloaded - 312 times
