Original articles
Vol. 117: Issue 5 - October 2025
The contribution of methylation profiling in neuropathological diagnosis of central nervous system tumors in children, adolescent and young adults
Summary
Methylation of CpG islands plays a crucial role in the regulation of gene expression. The study of DNA methylation profiles offers deep insights into key oncogenic processes and facilitates the differentiation of tumor entities at the epigenetic level. Methylation profiling was performed on 8 CNS tumors (6 children, 1 adolescent, 1 young adult) with inconclusive diagnoses, available frozen tissue, and surgeries dating back over 5 years. Our goal was to correlate the resulting methylation classes with the clinical-radiological data and to evaluate the diagnostic and prognostic power of this analysis. The resulting molecularly defined diagnoses were: pilocytic astrocytoma (3 cases), pilocytic astrocytoma subclass FGFR1 altered (1 case), ganglioglioma (2 cases), diffuse leptomeningeal glioneuronal tumor subtype 1 (1 case), and diffuse midline glioma H3.3K27-altered, subtype H3K27 mutant or EZHIP-expressing (1 case). Clinico-pathological features of each tumor in our series are discussed. The clinical behavior was consistent with the molecular diagnosis in all cases but one that was lost to follow-up. In our series, the initial diagnostic failure in 3 of the 8 cases was due to the fact that the pathological entities—diffuse midline glioma, H3 K27-altered, pilocytic astrocytoma with FGFR1 alteration and diffuse leptomeningeal glioneuronal tumor —had not yet been fully characterized or widely recognized in the literature at the time of diagnosis. In the remaining cases, the lack of distinctive histopathological features hindered a definitive diagnosis. In conclusion, according to our experience, DNA methylation profile analysis represents a very attractive diagnostic tool and provides important support for the diagnosis and classification of CNS tumors.
Introduction
Methylation of CpG islands plays a crucial role in the regulation of gene expression in eukaryotic cells. The processes of methylation and demethylation at the 5th carbon position of cytosine (C5), mediated by specific enzymes, form the core mechanism driving this epigenetic modification. These modifications lead to differential binding affinities of transcription factors to their target DNA sequences, directly influencing gene expression 1.
In the context of neoplasia, the study of methylation profiles has proven highly informative, offering deep insights into key oncogenic processes and facilitating the differentiation of diagnostic categories at the epigenetic level 2. Numerous studies demonstrate that assessing methylation signatures enables the development and validation of predictive models for clinical outcomes and therapeutic response 3,4.
The use of methylation profiling marks a paradigm shifts in tumor classification, particularly for central nervous system (CNS) neoplasms, allowing for the redefinition of several tumor entities 5,6. By integrating methylation data with advanced machine learning algorithms, this approach enhances the accuracy of CNS tumor classification and diagnosis, especially in cases with atypical histopathological features or those exhibiting a range of molecular subtypes, each with its own clinical significance 1-6-13.
Furthermore, this technique facilitates the identification of novel, previously unrecognized neoplastic entities, which are clustered into distinct groups based on shared methylation profiles. Finally, DNA methylation profiling enables the integration of diverse data from multiple tests into a single, comprehensive analysis. It can be performed on both fresh and paraffin-embedded material, although the latter is more challenging and costly 1-13.
Methylation profiles of 8 CNS tumors with inconclusive institutional and centralized diagnoses, sufficient frozen tissue for molecular analyses and surgery dating back at least 5 years were evaluated. Our goal was to correlate the resulting methylation classes with clinical-radiological data and follow-up and consequently to evaluate the diagnostic and prognostic power of this analysis.
Case selection and methods
Eight patients who were surgically treated at the Meyer Children’s Hospital IRCCS (Florence, Italy) between 2007 and 2019 were included in the present study. Inclusion criteria were: CNS tumor with inconclusive institutional and centralized diagnoses, surgery dating back at least 5 years and availability of fresh frozen tissue to perform all experiments with the best methodological conditions.
Table I shows the data collected for all 8 patients.
Histological diagnosis was performed according to the edition of WHO Classification of Tumors of the Central Nervous System in use at the time of surgery 14-16. All patients were male and aged from 4 months to 23 years old. Tumors were centered in the brain stem (4 cases), cerebral hemispheres (2 cases), cerebellum (1 case) and spinal cord (1 case).
The proposed diagnosis (both institutional and centralized) included low-grade glioma not otherwise specified (NOS) in 3 cases (patients 2, 6 and 8), low-grade glioneuronal tumor NOS in 1 case (patient 3) and malignant peripheral neuroectodermal tumor (PNET)-like tumor in 1 case (patient 5). In the remaining three cases there was no diagnostic concordance. One of these tumors was interpreted by the institutional pathologist as a low-grade glioma NOS with a suspected high-grade progression area, while the centralized review classified it as glioma NOS (patient 1). Another tumor was interpreted as a possible glioma NOS by the institutional evaluation and as a possible neurocytoma-like tumor in the centralized evaluation (patient 7). Both pathologists reported unpredictable clinical behavior in this case. The last of these three cases, was a lesion considered as a possible glioma NOS by the institutional pathologist and as a possible mixed glioneuronal tumor NOS at centralized review (patient 4). This patient was re-operated on a year later to remove residual tumor tissue, with a subsequent institutional diagnosis of rosette-forming glioneuronal tumor (the specimen from this second surgery was not sent for centralized review) (Fig. 1).
Preoperative informed consent for the conservation of frozen tumor specimens and any subsequent molecular analyses was obtained by the neurosurgical teams.
A macroscopically representative fresh fragment of the lesion was collected directly from the operating theatre. After an overnight incubation in RNA later, it was frozen at -80°C.
Bulk tumor DNAs were extracted using the QIAamp® DNA Mini Kit (Qiagen) and quantified with NanoDrop and Qubit® dsDNA BR Assay Kit on Qubit instrument (ThermoFisher Scientific).
Bisulfite conversion of DNAs (500 ng) was performed using EZ DNA Methylation ™ Kit (Zymo Research), and genome-wide methylation analyses of tumors were produced using the Infinium Methylation EPIC v2.0 BeadChip (Illumina) in accordance with the manufacturer’s instructions on NextSeq 550 Sequencing System (Illumina).
Initial quality assessment of methylation data was performed using Genome Studio 2011 (Illumina, San Diego, CA, USA), followed by comprehensive quality control procedures implemented through the minfi R package (1.48). Data preprocessing involved several crucial steps using minfi. The preprocessFunnorm function was applied for normalization, which employs functional normalization, an unsupervised method that removes unwanted technical variation by regressing out internal control probes while preserving biological variation. The normalization procedure incorporates sex-specific differences in methylation patterns to account for gender-associated variation. Batch effects were corrected to minimize non-biological variation across samples. We systematically removed probes overlapping with known single nucleotide polymorphisms (SNPs) to prevent potential confounding effects on methylation measurements. Additionally, signal intensities were evaluated to ensure consistent and adequate hybridization across all samples (p < 0.01) and low-quality probes exhibiting poor detection were excluded from subsequent analyses to ensure robust downstream statistical inference.
Data preprocessing was performed using the manufacturer-recommended annotation file specific for the Illumina Epic Array v2. To further confirm the reliability of the data, a visual inspection of the beta value distribution within each sample was conducted to identify potential deviations or anomalies.
IDATs were uploaded to openly available DNA methylation-based classifiers: Brain_classifier_v12.8 version 1.1 (https://www.molecularneuropathology.org) and Bethesda Brain Tumor classifier version v2.0 (https://methylscape.ccr.cancer.gov/) in order to establish the molecular classification. For both classifiers, the results report includes the best expected match between a calibrated score, the chromosomal copy number variation (CNV) plot and the methylation status of the O6-methylguanine-DNA-methyltransferase (MGMT) promoter.
For Brain_classifier_v12.8 version 1.1 we considered 0.84 as the cut-off for an optimal compromise between sensitivity and specificity 6, while for Bethesda Brain Tumor Classifier version v2.0 we evaluated the combination of superfamily and class scores based on the interpretation of the classifier scores in the methylation profiling report (https://methylscape.ccr.cancer.gov/).
The study was approved by the Institutional Ethical Committee.
Results
The methylation profile was successfully obtained from both classifiers (Brain_classifier_v12.8 version 1.1 and Bethesda Brain Tumor classifier version v2.0) in all cases except one. The molecularly-defined diagnoses were as follows: pilocytic astrocytoma or pilocytic astrocytoma infratentorial (3 cases, patients 1, 6, 7); pilocytic astrocytoma infratentorial subclass FGFR1 altered (1 case, patient 4); diffuse leptomeningeal glioneuronal tumor, subtype 1 (1 case, patient 2); ganglioglioma (1 case, patient 3); and diffuse midline glioma H3.3K27-altered, subtype H3K27 mutant or EZHIP-expressing (1 case, patient 5). In the remaining case (patient 8), Brain_classifier_v12.8 version 1.1 failed to classify the tumor, whereas Bethesda Brain Tumor classifier version v2.0 suggested a glial-glioneuronal tumors, favoring the ganglioglioma class (Tab. I).
Discussion
In recent years, machine learning algorithms that analyze tumor DNA methylation profiles have been proposed and then used in the diagnosis of CNS neoplasms as well as of other tumors 1-13. This approach also provides useful information for precision therapy and prognosis. Indeed, the available on line methylation classifiers also report the copy number variation profile of the 29 brain tumors relevant gene regions and the MGMT promotor methylation status (https://www.molecularneuropathology.org, https://methylscape.ccr.cancer.gov/). Moreover, tumor DNA methylation profiling has led to the identification of new tumor entities and of molecular subclasses of known tumors 1-13. On the other hand, tumor DNA methylation profiling has demonstrated that some purely morphological diagnoses are not satisfactory from a nosological point of view 6,8,9,11,12. A paradigmatic example is found in entities once diagnosed as supratentorial PNETs. Through methylome analysis we now understand that tumors previously labeled as PNETs actually encompass a highly heterogeneous group of neoplasms, including some well-characterized tumors and others now recognized as distinct novel entities 17.
Therefore, the analysis of methylation profiles is becoming increasingly diffuse in the pathological diagnostic setting 1-13.
In the present study we evaluated the methylation profiles of histologically unresolved cases. Each case under examination was profiled using both available classifiers. (Brain_classifier_v12.8 version 1.1, Bethesda Brain Tumor classifier version v2). Clinical and molecular data are summarized in Table I.
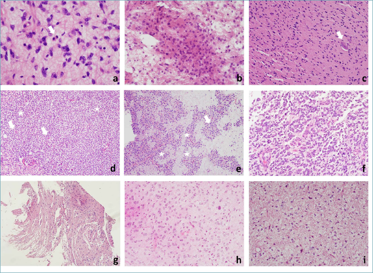
Case 1 was interpreted as a possible low-grade glioma NOS with a suspected high-grade progression area at the institutional analysis and as glioma NOS at the centralized analysis. Following methylation analysis, it was then classified as pilocytic astrocytoma, MGMT promoter methylated.
The high-grade glioma (HGG) STUPP protocol 18 was adopted. The possibility of avoidable overtreatment cannot be ruled out due to a potential histological over-diagnosis.
In this case, the infiltrative nature of the lesion and the occasional presence of mitoses (Fig. 1a) represented the most misleading histological features. Additional evaluations that could have aided in refining the diagnosis, such as identifying the KIAA1549::BRAF fusion, IDH1/IDH2 variants, chromosome 7 gain, whole chromosome 10 loss or EGFR amplification, mutation, rearrangement or altered splicing among the others, were not performed, as this case predates their inclusion in the WHO classification of CNS tumors 15.
Case 2 had an institutional and centralized diagnosis of spinal cord low-grade glioma NOS. The tumor was subsequently classified as diffuse leptomeningeal glioneuronal tumor, subtype 1, accordingly to the methylation profile. Preoperative MRI revealed an intramedullary lesion with impregnation of the meninges after contrast medium (Fig. 2). At the microscopic evaluation the tumor was composed of monomorphic, medium sized cells with roundish nuclei and eosinophilic cytoplasm (Fig. 1b). Diffuse leptomeningeal glioneuronal tumor was included in the 2016 WHO classification of CNS tumors 16, although already addressed in previous years under various names 19. The term “diffuse glioneuronal leptomeningeal tumor” was first used by Gardiman 2010 20. A characteristic radiological feature of this tumor is a widespread diffuse leptomeningeal enhancement with or without association to intraparenchymal lesions. The most typical histological feature is the monomorphic, oligodendrocyte-like “fried egg” morphology of the tumor cells, marked by regular round nuclei and abundant clear cytoplasm. From a molecular standpoint, this entity is characterized by 1p loss, a less frequent loss of chromosome 19q, and a gain of 1q, along with mitogen-activated protein kinase (MAPK) pathway gene alterations (most commonly KIAA1549::BRAF fusions). In cases of 1p/19q co-deletion, the differential diagnosis with oligodendroglioma, which also exhibits 1p/19q co-deletion, can be established based on the presence or absence of IDH1/IDH2 mutations. These mutations are indeed present in oligodendroglioma but absent in diffuse leptomeningeal glioneuronal tumors 21. The WHO classifies this tumor as a relatively indolent, grade 2 lesions in most cases 21. However, a less favorable behavior has been described particularly in cases with 1q gain, leading to the assignment of grade 3 to these tumors 19,21. Our tumor was 1p-19q co-deleted without 1q gain (Fig. 3a). This case suggests that the possible diagnosis of diffuse leptomeningeal glioneuronal tumor should be considered in the presence of suggestive imaging, even when morphology is not prototypical. Indeed, it has been reported that this tumor can exhibit a wide spectrum of morphological features, with many cases identified only through methylation profiling 6. In the case presented, it should be considered that it dates to the year preceding the inclusion of this tumor entity in the 2016 WHO classification of CNS tumors 16.
Case 3 was a parietal tumor initially believed, based on histology, to be a mixed low-grade glioneuronal NOS tumor and later more precisely classified as a ganglioglioma according to methylation profiling. The inaccurate diagnostic definition is to be linked to the preponderant glial component of the lesion (Fig. 1c). This case is CDKN2A/B and PTCH1 deleted (Fig. 3b). CDKN2A/B deletion is frequently observed in some CNS tumors and among these IDH-mutant astrocytomas, meningiomas and ependymomas where it is associated with a poorer behavior while it is very rare in gangliomas 21,22. CDKN2A/B deletion has been suspected to be a negative prognostic factor also in gangliogliomas 22,23. However, we cannot confirm this suspicion. Indeed, our patient is alive and well with a stable small residue after 5 years of follow-up. In CNS tumors PTCH1 deletion or mutations have been observed principally in some medulloblastomas Gorlin syndrome associated 21. To the best of our knowledge, PTCH1 deletion has never been reported in ganglioglioma, and only one case of PTCH1 mutated conjunctival ganglioglioma in a patient with Gorlin syndrome has been described 24. Therefore, further studies on large series will be necessary to understand the real incidence of the deletion in PTCH1 in gangliogliomas and its prognostic significance.
Case 4 was a cerebellar tumor with initial histological diagnosis of low-grade glioma and low-grade glio-neuronal tumor neurocytoma like (institutional and centralized diagnosis respectively). The patient underwent a second surgery one year later for removal of residual tumor, with the institutional diagnosis being a rosette-forming glioneuronal tumor (the specimen from the second surgery was not centrally reviewed). Methylation analysis of the first surgery specimen reclassified the tumor as pilocytic astrocytoma, infratentorial subclass FGFR1 altered, with improved classification in the Brain_classifier_v12.8 version 1.1. The FGRF1 gene is recurrently altered in a number of CNS tumor, among these pilocytic astrocytoma, dysembryoplastic neuroepithelial tumor, extraventicular neurocytoma, high-grade glioma with piloid features, H3.3K27M-mutated 25. Pilocytic astrocytoma, FGFR1-altered can be located in the brain (supratentorial and infratentorial) or even in the spinal cord. The histological features may be variable, i.e. conventional pilocytic, oligodendroglial or rosette-forming glioneuronal tumor-like morphologies 25. Interestingly, our case showed a monomorphic proliferation of medium sized cells and branching capillaries in the specimen from the first surgery (Fig. 1d) and a rosette-forming glioneuronal tumor-like morphology in the specimen obtained from the second surgery (Fig. 1e). This observation underscores the morphological plasticity of this neoplasm, highlighting the need to rely on methylation profile analysis for an accurate diagnosis.
Case 5 was a pons-midbrain tumor with cerebrospinal liquid dissemination and spinal metastases at the onset of disease. The lesion was biopsied after 3 cycles of neoadjuvant chemotherapy (HART protocol) 26. Suggestive histological diagnosis was PNET-like tumor. Both classifiers assigned to this tumor the methylation class Diffuse Midline Glioma, H3K27 altered with many copy number variations (Fig. 3c). In particular platelet-derived growth factor receptor alpha (PDGFRA) resulted amplified. PDGFRA variation represent one of the few drugable targets in Diffuse Midline Glioma, H3K27 altered 27. This case provides an example of methylation–derived information useful for choosing the most effective post-surgical treatment. Diffuse Midline Glioma, H3K27 altered accounts for about 40% of pediatric high-grade gliomas, typically arises in midline structures, usually affects school-aged children, and has a very poor prognosis despite current therapies 21. Microscopically it may present with a wide spectrum of histological features from low grade-like to highly malignant morphology 21. Our case was composed of undifferentiated cells with hyperchromatic nuclei and high mitotic activity (Fig. 1f). The lack of a precise diagnosis was due to the fact that this lesion had not yet been included in the WHO classification of central nervous system tumors at the time of diagnosis, while the diagnosis of PNET was still recognized. The majority of H3 mutant tumors harbor variants at position 27 consisting of a substitution of lysine with methionine (Lys27Met) in the H3.3 (H3F3A) gene or in H3.1 (HIST1H3B/C) gene, in about three-fourths and one-fourth of cases, respectively. These mutations are associated with loss of trimethylation of lysine 27 on histone 3 (H3K27me3). Nowadays, most of these tumors can be diagnosed through few immunostaining demonstrating the presence of mutated protein and loss of trimethylation 21.
Case 6 and case 7 were two tumors localized in the medulla oblongata and mid brain tectal plate respectively. Case 6 had an initial non-specific diagnosis of low-grade glioma later re-classified as pilocytic astrocytoma, infratentorial (both classifiers). Case 7 was a tumor interpreted at the institutional center as possible glioma and as possible neurocytoma-like tumor at the centralized diagnosis. Case 7 had several copy number variations (Fig. 3d) and in particular entire chromosomes 5, 6 and 7 duplications where relevant genetic regions to brain tumors are located (TERT, MYB, EGFR, CDK6 and MET) and a likely KIAA1549::BRAF tandem duplication and fusion which is the most common molecular alteration in pilocytic astrocytomas 21. In both cases morphological features were not suggestive for pilocytic astrocytoma (Fig. 1g, 1h). Case 6 had adjuvant chemotherapy (modified version of SIOP LGG 2004 protocol) 28. These cases argue that when the morphology is non-typical, the methylation profile could be decisive for a correct diagnosis and could replace multiple analyses for which the samples may not be sufficient.
Case 8 was a temporal tumor radiologically and histologically interpreted as low-grade tumor. The lesion showed an inconclusive methylation profile with the Brain_classifier_v12.8 version 1.1 but was suggestive of the low grade glial glioneuronal tumors family and ganglioglioma class according to the Bethesda Brain Tumor classifier version v2.0. Histological evaluation revealed a lesion composed by glial cells (Fig. 1i) without any morphological and immunohistochemical evidence for a neuronal origin (GFAP positive, synaptophysin negative). Although the suggested family of low grade glial glioneuronal tumor matched with histological features, the same does not apply to the suggested class of ganglioglioma. On the other hand, it is well known that the neuronal component can be extremely scarce in gangliogliomas and may escape to the microscopic examination 21,29.
Many causes can determine the failure to assign a tumor to a specific diagnostic methylation class and among these tissue from tumor bordering or low cellularity. The failure may also result from the underrepresentation of the specific tumor in the reference dataset, which could particularly explain discrepancies between different classifiers Moreover, highly inflamed tumors may have an elevated score for non-neoplastic tissue. The introduction of this method in the pediatric setting also increases the likelihood of encountering molecularly defined entities not previously described. Moreover, it has been referred that the number of unclassifiable tumors is higher among the poorly defined diagnosis at the classical histology and among the tumors associated with hereditary tumor syndromes 6,10. Radiotherapy-induced tissue remodeling can also impact the accuracy of diagnostic classifiers. Conversely, it is important to note that tumors previously unclassified by earlier versions of these classifiers may be assigned a classification in more recent versions 30. Furthermore, accurately assigning the correct diagnostic class can be challenging due to factors such as intratumoral variability, differences in analytical methods (e.g., bisulfite sequencing vs. methylation arrays), and limited sensitivity in detecting subtle methylation changes. Additionally, inconsistencies in data processing and variations in platform performance may contribute to misclassification 5. Finally, performing validation with a corresponding frozen section or a section from the same paraffin block is useful to ensure the representativeness of the sample analyzed. In our series, the failure of a precise initial diagnostic definition stems from the fact that the diagnostic entities for 3 of the 8 cases have been extensively described in literature only at a later date (H3.3K27-altered diffuse midline glioma, pilocytic astrocytoma, subclass FGFR1-altered and diffuse leptomeningeal glioneuronal tumor). In the remaining cases, the lack of distinctive histopathological features hindered a definitive diagnosis Furthermore, all cases date back before the publication of the latest edition of the WHO classification of CNS tumors 21.
In conclusion, according to our experience, DNA methylation profile analysis represents a very attractive diagnostic tool and provides important support for the diagnosis and classification of CNS tumors. In the future, expanding the analysis of methylation profiles across numerous cases will be needed to ensure the expansion of case registries, to enable a more accurate classification of pediatric CNS tumors and their management. Lastly, the use of both currently available classifiers can certainly improve the diagnostic power of this method.
CONFLICT OF INTEREST STATEMENT
The authors declare no conflict of interests.
FUNDING
None.
INFORMED CONSENT
Informed consent was obtained before surgery.
ETHICAL CONSIDERATION
The study is in accordance with the Declaration of Helsinki.
Study approved by the Institutional Ethical Committee (PA_02/2025)
AUTHORS CONTRIBUTION
Conceptualization, Writing – Original Draft, Writing – Review & Editing, Supervision: AMB.
Investigation (Pathology), Data Curation (Pathology): AMB, AP, LI, MA (Histopathological examination and analysis of the cases).
Investigation (Methylation Experiments), Formal Analysis: LG, DV, GM, MC, FC (Execution of methylation assays and data interpretation).
Investigation (Neurosurgery): MS, RA, FM, BS, FG, LG (Surgical treatment of the patients).
Investigation (Oncology), Clinical Management:
MG, IS (Oncological care and follow-up of the patients).
Investigation (Neuroradiology): Ld’I (Imaging assessment and radiological interpretation).
History
Received: August 26, 2025
Accepted: November 11, 2025
Figures and tables
Figure 1. a) Case 1 (molecular diagnosis: pilocytic astrocytoma, infratentorial) occasional mitosis (arrow) and a moderate grade of atypia. Hematoxylin and eosin, original magnification 40X. b) Case 2 (molecular diagnosis: diffuse glioneuronal tumor, subtype 1) monomorphic, medium sized cells with roundish nuclei and eosinophilic cytoplasm. Hematoxylin and Eosin, original magnification 20X. c) Case 3 (molecular diagnosis: ganglioglioma), only isolated and very rare neuronal cells were observed (arrow). Hematoxylin and Eosin, original magnification 20X. d-e) Case 4 (molecular diagnosis: pilocytic astrocytoma, infratentorial, subclass FGFR1 altered), monomorphic proliferation of medium sized cells, entrapping neurons (arrows) and branching capillaries (asterisks) in the specimen from the first surgery (d) and a rosette-forming glioneuronal tumor-like morphology with pseudo papillary (asterisks) structures and neurocytic rosettes (arrow) in the specimen obtained from the second surgery (e). Hematoxylin and eosin, original magnification 4X (d), 10X (e). f) Case 5 (molecular diagnosis: diffuse midline glioma, H3 K27) altered, undifferentiated cells with hyperchromatic nuclei and high mitotic activity. Hematoxylin and eosin, original magnification 20X. g) Case 6 (molecular diagnosis: pilocytic astrocytoma (Brain_classifier_v12.8 version 1.1 and pilocytic astrocytoma, infratentorial (Bethesda Brain Tumor classifier version v2.0), unremarkable morphological features. Hematoxylin and eosin, original magnification 10X. h) Case 7 (molecular diagnosis: pilocytic astrocytoma, infratentorial), unremarkable morphological features. Hematoxylin and eosin, original magnification 20X. i) Case 8 (molecular diagnosis: failed (Brain_classifier_v12.8 version 1.1) and ganglioglioma (Bethesda Brain Tumor classifier version v2.0), unremarkable morphological features, no ganglion cells. Hematoxylin and eosin, original magnification 20X.
Figure 2. Contiguous sagittal post-contrast T1-weightedimages demonstrating intramedullary lesion at D9 and D10, with inhomogeneous contrast enhancement. Linear enhancement along the anterior aspect of the cord (arrows) is consistent with leptomeningeal infiltration.
Figure 3. Copy number variation profile. Depiction of Chromosome 1-22 with the p-arm (left) and the q-arm (right) separated by a dotted line. Gains/amplifications are represented as positive deviations from the baseline while losses are represented as negative deviations from the baseline. For assessment of relevant deviations from the baseline have to be considered the deviations of the horizontal dark blue line that represents an average over several dots and not individual colored dots. Case 2 (a): 1p-19q co-deleted. Case 3 (b): 9p (CDKN2A/B) and 9q (PTCH1) deleted. Case 5 (c): Many copy number variations and among these 1q (MDM4) duplication, localized 4p (PDGFRA) amplification and 13q (RB1) deletion. Case 6 (d): Entire chromosomes 5, 6 and 7 duplications where relevant genetic regions to brain tumors are located (TERT, MYB, EGFR, CDK6 and MET) and a likely KIAA1549::BRAF tandem duplication and fusion.
| ID | Age | Sex | Location | Clinical onset | Histological diagnosis | Year of diagnoses | Brain_classifier_v12.8 version 1.1 (score) | Bethesda Brain Tumor classifier version v2.0 (score) | Follow-up (duration years) | CNV | MGMT promoter methylation | Notes | ||
|---|---|---|---|---|---|---|---|---|---|---|---|---|---|---|
| Institutional | Centralized | Methylation classes | Family | Class | ||||||||||
| 1 | 23 y | M | Midbrain (tectal plate) | Headache, limb tremor, balance problems | LGG with areas of anaplastic progression | LGG NOS | 2005 | Low Grade Glial/glioneuronal/neuroepithelial Tumors (0,97); Pilocytic Astrocytoma (0,95) | Low Grade Glial/glioneuronal/neuroepithelial Tumors (0,992) | Pilocytic Astrocytoma Infratentorial ? (0,988) | Stable disease small residue (10) | Flat | Methylated | Lesion under follow-up for several years increased in size and changed in features. |
| 2 | 9 y | M | Spinal cord (D9-D10) | Back pain | LGG NOS | LGG NOS | 2010 | Low Grade Glial/glioneuronal/neuroepithelial Tumors (0,86); Mc Diffuse Leptomeningeal Glioneuronal Tumour Subtype 1 (0.86) | Intermediate grade IDH wildtype gliomas (0.991) | Diffuse Leptomeningeal Glioneuronal Tumour Subtype 1 (0.996) | Stable disease small residue (9) | 1p and 19q deletions | Unmethylated | / |
| 3 | 13 y | M | Parietal lobe rigth | Incidental diagnosis | LGGN NOS | LGGN NOS | 2015 | Low Grade Glial/glioneuronal/neuroepithelial Tumors (0,89); Mc Ganglioglioma (0,88) | Low Grade Glial/glioneuronal/ Tumors (0,771) | Ganglioglioma (0,998) | Stable disease small residue (5) | 9p (CDKN2A/B) and 9q (PTCH1) deletions | Unmethylated | / |
| 4 | 5 m | M | Cerebellar vermis | Stiff neck | LGG NOS | LGGN | 2014 | Low Grade Glial/glioneuronal/neuroepithelial Tumors (0,95); Mc Pilocytic Astrocytoma Infratentorial, Subclass Fgfr1 Altered (0,93) | Low Grade Glial/glioneuronal/ Tumors (0,962) | Pilocytic Astrocytoma Infratentorial, Subclass Fgfr1 Altered (0,676) | Stable disease small residue (6) | Flat | Unmethylated | New surgery one year later. Institutional diagnosis was RFGNT |
| 5 | 8 y | M | Pons-midbrain | Vomiting and headache | PNET like | PNET like | 2010 | Pediatric Type Diffuse High Grade Gliomas (0,95); Mc Diffuse Midline Glioma, H3 K27 Altered, Subtype H3 K27 Mutant or Ezhip Expressing (0,92) | Diffuse Midline Glioma H3 K27 Altered, Subtype H3 K27 alterated (0,983) | Diffuse Midline Glioma H3 K27 Altered (1) | Lost at Follow Up (-) | 1p delition, 1q (MDM4) duplication, 3p deletion, PDGFRA amplification (4p), 4q deletion, 13q deletion, 16p deletion | Unmethylated | CSF dissemination and spinal metastases at the disease onset; 3 cycles of neoadjuvant chemotherapy (HART protocol) |
| 6 | 4 y | M | Medulla oblongata | Vomiting | LGG NOS | LGG NOS | 2015 | Low Grade Glial/glioneuronal/ neuroepithelial Tumors (0,99); Mc Pilocytic Astrocytoma Infratentorial(0,94) | Low Grade Glial/glioneuronal/ Tumors (0,992) | Pilocytic Astrocytoma (0,993) | Stable disease small residue (10) | Flat | Unmethylated | Adjuvant chemotherapy (modified version of SIOP LGG 2004 protocol) |
| 7 | 5y | M | Midbrain (tectal plate) | Hydrocephalus dating back several years | LGG NOS umpredictable prognosis | Neurocytoma-like umpredictable prognosis | 2007 | Low Grade Glial/glioneuronal/neuroepithelial Tumors(0,99); Mc Pilocytic Astrocytoma Infratentorial (0,98) | Low Grade Glial/glioneuronal/ Tumors (0,991) | Pilocytic Astrocytoma (0,996) | Stable disease small residue (17) | 5p (TERT) and 5q duplication, 6p and 6q (MYB) duplication, 7p (EGFR) and 7q (CDK6, MET and KIAA1549/BRAF) duplications, 19p and 19q (C19MC) deletions | Unmethylated | / |
| 8 | 5y | M | Temporal lobe rigth | Seizures | LGG NOS | LGG NOS | 2010 | No match | Low Grade Glial/glioneuronal/ Tumors (0,867) | Ganglioglioma (0,919) | Aliwe and well (15) | Flat | Unmethylated | / |
| y: years; m: months; LGG: low grade glioma; NOS: not otherwise specified; PNET: primitive neuroectodermal tumor. | ||||||||||||||
References
- Moore L, Le T, Fan G. DNA methylation and its basic function. Neuropsychopharmacology. 2013;38:23-38. doi:https://doi.org/10.1038/npp.2012.112
- Wenger A, Carén H. Methylation Profiling in Diffuse Gliomas: Diagnostic Value and Considerations. Cancers (Basel). 2022;14. doi:https://doi.org/10.3390/cancers14225679
- Zuccato J, Mamatjan Y, Nassiri F. Prediction of brain metastasis development with DNA methylation signatures. Nat Med. Published online 2024. doi:https://doi.org/10.1038/s41591-024-03286-y
- Xu B, Lu M, Yan L. A Pan-Cancer Analysis of Predictive Methylation Signatures of Response to Cancer Immunotherapy. Front Immunol. 2021;12. doi:https://doi.org/10.3389/fimmu.2021.796647
- Capper D, Jones D, Sill M. DNA methylation-based classification of central nervous system tumours. Nature. 2018;555:469-474. doi:https://doi.org/10.1038/nature26000
- Pratt D, Sahm F, Aldape K. DNA methylation profiling as a model for discovery and precision diagnostics in neuro-oncology. Neuro Oncol. 2021;23:S16-S29. doi:https://doi.org/10.1093/neuonc/noab143
- Capper D, Stichel D, Sahm F. Practical implementation of DNA methylation and copy-number-based CNS tumor diagnostics: the Heidelberg experience. Acta Neuropathol. 2018;136:181-210. doi:https://doi.org/10.1007/s00401-018-1879-y
- White C, Kinross K, Moore M. Implementation of DNA Methylation Array Profiling in Pediatric Central Nervous System Tumors: The AIM BRAIN Project: An Australian and New Zealand Children’s Haematology/Oncology Group Study. J Mol Diagn. 2023;25:709-728. doi:https://doi.org/10.1016/j.jmoldx.2023.06.013
- Chen Y, Yan Y, Xu M. Development of a Machine Learning Classifier for Brain Tumors Diagnosis Based on DNA Methylation Profile. Front Bioinform. 2021;1. doi:https://doi.org/10.3389/fbinf.2021.744345
- Schepke E, Löfgren M, Pietsch T. DNA methylation profiling improves routine diagnosis of paediatric central nervous system tumours: A prospective population-based study. Neuropathol Appl Neurobiol. 2022;48. doi:https://doi.org/10.1111/nan.12838
- Park J, Lee K, Kim E, Kim S, Park S. Brain Tumor Classification by Methylation Profile. J Korean Med Sci. 2023;38. doi:https://doi.org/10.3346/jkms.2023.38.e356
- Koelsche C, von Deimling A. Methylation classifiers: Brain tumors, sarcomas, and what’s next. Genes Chromosomes Cancer. 2022;61:346-355. doi:https://doi.org/10.1002/gcc.23041
- Tran Q, Breuer A, Lin T. Comparison of DNA methylation based classification models for precision diagnostics of central nervous system tumors. NPJ Precis Oncol. 2024;8(1). doi:https://doi.org/10.1038/s41698-024-00718-3
- Kleihues P, Cavenee W. World Health Organization Classification of Tumours: Pathology and Genetics of Tumours of the Nervous System. IARC Press; 2000.
- Louis D, Ohgaki H, Wiestler O, Cavenee W. WHO Classification of Tumours of the Central Nervous System. IARC Press; 2007.
- Louis D, Ohgaki H, Wiestler O, Cavenee W. WHO Classification of Tumours of the Central Nervous System Revised. IARC Press; 2016.
- Sturm D, Orr B, Toprak U. New Brain Tumor Entities Emerge from Molecular Classification of CNS-PNETs. Cell. 2016;164:1060-1072. doi:https://doi.org/10.1016/j.cell.2016.01.015
- Stupp R, Mason W, van den Bent M. Radiotherapy plus concomitant and adjuvant temozolomide for glioblastoma. N Engl J Med. 2005;352:987-996. doi:https://doi.org/10.1056/NEJMoa043330
- Deng M, Sill M, Chiang J. Molecularly defined diffuse leptomeningeal glioneuronal tumor (DLGNT) comprises two subgroups with distinct clinical and genetic features. Acta Neuropathol. 2018;136:239-253. doi:https://doi.org/10.1007/s00401-018-1865-4
- Gardiman M, Fassan M, Orvieto E. Diffuse leptomeningeal glioneuronal tumors: a new entity?. Brain Pathol. 2010;20(2):361-366. doi:https://doi.org/10.1111/j.1750-3639.2009.00285.x
- World Health Organization Classification of Tumours of the Central Nervous System. IARC Press; 2021.
- Zhao C, Li C, Ge J, Zhang J. Ganglioglioma with MAP2K1 Mutation and CDKN2A/B Homozygous Deletion: A Case Report. Br J Hosp Med (Lond). 2024;85:1-10. doi:https://doi.org/10.12968/hmed.2024.0379
- Vizcaino M, Giannini C, Lalich D. Ganglioglioma with anaplastic/high-grade transformation: Histopathologic, molecular, and epigenetic characterization of 3 cases. J Neuropathol Exp Neurol. 2024;83:416-424. doi:https://doi.org/10.1093/jnen/nlae038
- Sauer A, Blavin J, Lhermitte B, Speeg-Schatz C. Conjunctival ganglioglioma as a feature of basal cell nevus syndrome. J AAPOS. 2011;15:387-388. doi:https://doi.org/10.1016/j.jaapos.2011.05.010
- Lucas C, Gupta R, Doo P. Comprehensive analysis of diverse low-grade neuroepithelial tumors with FGFR1 alterations reveals a distinct molecular signature of rosette-forming glioneuronal tumor. Acta Neuropathol Commun. 2020;8. doi:https://doi.org/10.1186/s40478-020-01027-z
- Gandola L, Massimino M, Cefalo G. Hyperfractionated accelerated radiotherapy in the Milan strategy for metastatic medulloblastoma. J Clin Oncol. 2009;27:566-571. doi:https://doi.org/10.1200/JCO.2008.18.4176
- Truffaux N, Philippe C, Paulsson J. Preclinical evaluation of dasatinib alone and in combination with cabozantinib for the treatment of diffuse intrinsic pontine glioma. Neuro Oncol. 2015;17:953-964. doi:https://doi.org/10.1093/neuonc/nou330
- Blümcke I, Wiestler O. Gangliogliomas: an intriguing tumor entity associated with focal epilepsies. J Neuropathol Exp Neurol. 2002;61:575-584. doi:https://doi.org/10.1093/jnen/61.7.575
- Drexler R, Brembach F, Sauvigny J. Unclassifiable CNS tumors in DNA methylation-based classification: clinical challenges and prognostic impact. Acta Neuropathol Commun. 2024;16. doi:https://doi.org/10.1186/s40478-024-01728-9
Downloads
License
This work is licensed under a Creative Commons Attribution-NonCommercial-NoDerivatives 4.0 International License.
Copyright
Copyright (c) 2025 Società Italiana di Anatomia Patologica e Citopatologia Diagnostica, Divisione Italiana della International Academy of Pathology
How to Cite
- Abstract viewed - 595 times
- PDF downloaded - 272 times

