Original articles
Vol. 117: Issue 5 - October 2025
MTAP in small biopsy samples of pancreatic lesions: a potential diagnostic biomarker. Immunohistochemical, fluorescence in situ hybridization and molecular analysis
Summary
Background. Most pancreatic ductal adenocarcinoma (PDAC) are diagnosed with fine needle aspiration biopsies (FNAB). Some benign mimickers exist, and the differential diagnosis can be challenging. Immunohistochemistry (IHC) is a useful diagnostic tool, and some biomarkers have been studied in this clinical setting. Homozygous deletion (HD) of CDKN2A is observed in about 40% of PDAC, and methylthioadenosine phosphorylase (MTAP) IHC has been identified as a reliable surrogate marker for this alteration. The aim of our study is to evaluate the value of MTAP IHC status in the diagnosis of PDAC.
Materials and methods. We collected 27 EUS-FNAB of pancreatic masses. MTAP and S100P IHC were performed. The IHC status of MTAP has been correlated with CDKN2A molecular status studied by fluorescence in-situ hybridization (FISH) and next-generation sequencing (NGS).
Results. Approximately 25% of FNAB diagnosed as PDAC showed complete loss of MTAP expression. Our results demonstrated a very high positive predictive value (100%), with a modest sensitivity (31.5%) but a high specificity (100%) for the diagnosis of PDAC. Regarding S100P, 71% of PDAC cases tested positive, whereas the only case diagnosed as benign was negative. The concordance between CDKN2A molecular status by FISH and MTAP expression by immunohistochemistry did not prove to be optimal. Interestingly, some FISH wild-type samples showed HD in NGS.
Discussion. An immunohistochemical immunohistochemical panel including MTAP and S100P improves diagnostic accuracy in PDAC diagnosis, showing a better sensitivity (75%) and the same specificity compared to single markers. FISH showed an incomplete sensitivity in identifying all cases with HD of CDKN2A, with two cases MTAP negative by IHC and identified as deleted only by molecular study.
Introduction
Pancreatic ductal adenocarcinoma (PDAC) is the most common malignancy arising in the pancreas1. PDAC is often a fatal malignant neoplasm with most patients diagnosed at locally advanced or metastatic stages and limited therapeutic options available to date2. PDAC originates from pancreatic ductal epithelium, primarily in the pancreatic head3. Three histological precursors of PDAC have been identified: pancreatic intra-epithelial neoplasia (PanIN), mucinous cystic neoplasm (MCN) and intra-ductal papillary mucinous neoplasm (IPMN)4. Most pancreatic specimens are obtained to confirm or exclude a diagnosis of pancreatic carcinoma; however, some benign mimickers exist, making the differential diagnosis challenging, especially with small histological samples such as fine needle aspiration biopsies (FNAB)5. The main benign mimicker of PDAC is reactive cellular atypia of the duct epithelium in chronic pancreatitis (CP). This distinction can be quite complex because CP is often associated with substantial architectural and cytologic changes in the pancreas6. Several studies have investigated the role of immunostaining in this diagnostic setting and some markers demonstrated good diagnostic value, mainly SMAD4, S100P and p537-9. Regarding the etiopathogenetic events involved in the onset of PDAC, tumorigenesis mainly results from genetic aberrations. The four major genetic mutations observed in PDAC occur in KRAS, TP53, CDKN2A and SMAD4. In particularly, the most common recurrent abnormalities in PDAC are oncogenic mutation of KRAS and loss-of-function mutations and/or deletions of p53, SMAD4 and CDKN2A10. CDKN2A is a multifunctional tumor suppressor gene located on chromosome 9p21. It encodes p16 and p19 proteins which arrest the cell cycle at the G1/S checkpoint through a CKD4/6-regulated mechanism11. Several inactivation mechanisms of CDKN2A gene are known. Approximately CDKN2A is inactivated in 40% of pancreatic cancers by homozygous deletion mutations while another 40% of the patients show loss of one allele coupled with an intragenic mutation, and in an additional 15% by hypermethylation of the gene promoter12,13. In some neoplasms, especially malignant mesothelioma, methylthioadenosine phosphorylase (MTAP) immunohistochemistry (IHC) status has been identified as a reliable surrogate marker for CDKN2A gene alterations14. The MTAP gene is located adjacent to CDKN2A, approximately 100 kbp telomeric to the CDKN2A gene on chromosome 9p21. Thus, fluorescence in situ hybridization (FISH) analysis have shown MTAP co-deletion in up to 90% of pleural and peritoneal mesotheliomas with CDKN2A homozygous deletion15,16. Therefore, the aim of our study is to evaluate the MTAP expression status and to expand the knowledge about the value of MTAP IHC status in the diagnosis of PDAC, especially on small histological samples.
Materials and methods
SELECTION OF CASES
We collected a pool of 63 EUS-FNAB of pancreatic masses performed from 2021 to 2022 at Pathology Department of University of Campania “Luigi Vanvitelli”. However, only 29 of 63 (46%) samples were quantitatively and qualitatively adequate to perform all the tests included in our study.
MTAP AND S100P IMMUNOHISTOCHEMICAL STUDY
Immunohistochemistry was performed on 4-micron, formalin-fixed, paraffin-embedded sections, using the Ventana platform (Ventana BenchMark ULTRA system) according to the manufacturer’s instructions. The following antibodies were used: anti-MTAP (mouse monoclonal primary antibody, clone 2G4, Abcam) and anti-S100P (mouse monoclonal primary antibody, clone 16/f5, Cell Marque). Immunohistochemistry was interpreted according to the scoring system previously used by Yu et al.17, and MTAP loss is defined by the complete loss of cytoplasmic and nuclear staining with retained expression in non-neoplastic cells, while equivocal staining was defined as complete loss in the majority of tumor cells with a small proportion (< 20%) showing weak staining. Regarding S100P, we considered cases as positive when a nuclear and cytoplasmic staining was observed and as negative in the absence of nuclear and cytoplasmic staining.
CDKN2A STATUS BY FLUORESCENCE IN-SITU HYBRIDIZATION ANALYSIS
FISH analysis was performed on all cases using the Kreatech™ CDKN2A (9p21)/9q21 FISH probe; this specific probe is designed as a dual-color assay to detect deletions at 9p21. Deletions involving the CDKN2A gene region at 9p21 will show one red signal, while the control at the chromosome 9q21 region will provide 2 green signals in hemizygous deletions. No red signal but 2 green signals for 9q21 will be visible in homozygous deletions of 9p21. Two single color red (R) and green (G) signals will identify the normal chromosomes 9 (2R2G). Homozygous deletion was defined as no CDKN2A and at least one CEP-9 signal (0R1-2G) in > 10% of scored nuclei18.
MOLECULAR DETERMINATION OF CDKN2A STATUS BY DNA/RNA-BASED NGS
DNA was extracted from 10 μm-serial sections of each formalin-fixed and paraffin-embedded (FFPE) tissue specimen after microdissection of tumor cells under morphological control, using the MGF03- Genomic DNA FFPE One-Step Kit, according to the manufacturer’s protocol (MagCore Diatech). DNA quantity was evaluated with the dsDNA HS assay kit using the Qubit 2.0 Fluorometer (Invitrogen, Monza, Italy). Libraries were prepared with Pillar® oncoReveal™ Multi-Cancer CNV + RNA Fusion Panel. A pan-cancer panel with combined DNA/RNA that targets numerous cancer-relevant genes and Detects the common solid tumor fusion transcripts. The assay uses proprietary Stem Loop Inhibition-Mediated amplification (SLIMamp®) technology, a tiled amplicon-based library prep chemistry for efficient single-tube target. Sequencing was performed on an Illumina MiSeq (San Diego, USA) platforming a paired-end amplicon setting. The sequencing data was analyzed using DRAGEN amplicon software.
Results
CLINICOPATHOLOGICAL FEATURES
Twenty-nine cases were selected including 18 female patients (62%) and 11 male patients (38%), with an average age and a median age of 70 years. The cases were classified as: benign (2/29, 6.9%), atypical (1/29, 3.4%), suspicious (2/29, 6,9%) and malignant (24/29, 82.8%). However, the final cohort was of 27 cases as one case, classified as benign, and another one, as atypical, were not included because of insufficient lesional cells in the residual material. Slides were reviewed by two expert pathologists who confirmed the morphologic diagnosis and evaluated the immunohistochemical slides. Most cases (82.7%, 24 out of 29) consisted of at least 100 neoplastic cells, while only 2 cases (6.9%) showed a quantity of cells between 50 and 100, and 3 cases (10.4%) had less than 50 neoplastic elements. Table I shows the clinicopathological features of the analyzed series.
EVALUATION OF MTAP EXPRESSION BY IMMUNOHISTOCHEMICAL STAINING
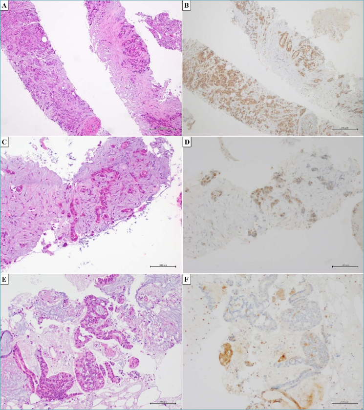
Immunohistochemistry for MTAP was performed on FNAB and we considered lack of its expression as the complete loss of cytoplasmic and nuclear staining with retained expression in neoplastic cells, which act as internal normal controls, while equivocal staining as weak cytoplasmic staining, compared to the internal normal control, in all or most of neoplastic cells (Fig. 1). Approximately one-third of FNAB diagnosed as PDAC showed complete loss of MTAP expression (6/24, 25%) and the overall data related to MTAP immunohistochemistry are summarized in Table II. It should be reported that one case diagnosed as benign and the only case diagnosed as atypical are non-contributive (NC) for the MTAP evaluation because sections were completely acellular. Interestingly, 5 of the 6 cases (83.3%) equivocal for MTAP expression were clearly malignant on hematoxylin and eosin evaluation, while only one (20%) was classified as suspicious and follow-up subsequently confirmed to be PDAC. Finally, the only case classified as benign and evaluable was MTAP retained.
EVALUATION OF S100P EXPRESSION BY IMMUNOHISTOCHEMICAL STAINING
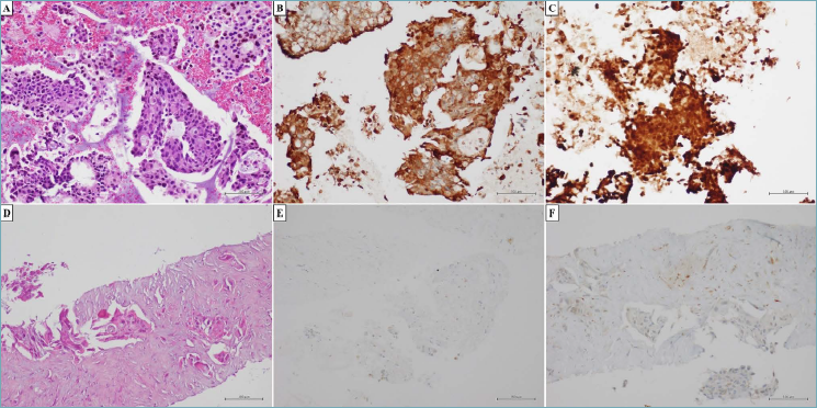
Our series was also studied for S100P, a well-known additional immunohistochemical marker to improve the accuracy in the diagnosis of PDAC on small samples. We considered the test as positive when nuclear and cytoplasmic staining is observed in all neoplastic cells while a negative result was the complete lack of S100P expression (Fig. 2). Seventeen out of 24 PDAC cases resulted S100P positive (71%) while the only case diagnosed as benign were S100P negative (100%) (Tab. III). Regarding suspicious diagnosis, there is one case S100P positive (50%) and one case S100P negative (50%); however, the S100P positive case also resulted MTAP lost and follow-up subsequently confirmed it to be PDAC.
IMMUNOPHENOTYPIC PROFILE AND STATISTICAL ANALYSIS
The contingency table (Tab. IV) allows to evaluate the correlation between MTAP expression and morphological diagnosis. Our results demonstrated a very high positive predictive value (PPV) (6/6, 100%) but a low negative predictive value (NPV) (1/14, 7%) of the immunohistochemical test, with a modest sensitivity (6/19, 31.5%) but a high specificity (1/1, 100%) and a good accuracy (7/20, 35%) for the diagnosis of PDAC in both EUS-FNAB. Interestingly, the data improves significantly when an immunohistochemical panel including MTAP and S100P is applied (Tab. V). In this regard, we observed 10 cases diagnosed as malignant and MTAP retained/S100P positive and one case diagnosed as malignant and MTAP lost/S100P negative, showing how this association could implement the accuracy in the diagnosis of PDAC. In detail, we observed a better NPV (1/8, 12.5%), a significantly greater sensitivity (18/24, 75%) and a slightly lower PPV (18/19, 94.7%), with the same specificity compared to single markers (Tab. V). However, the small number of our cases is a significant limitation of our study.
CORRELATION BETWEEN MTAP EXPRESSION AND CDKN2A MOLECULAR STATUS BY FISH AND DNA/RNA-BASED NGS
Fluorescence in situ hybridization was performed on all the cases in order to study CDKN2A copy number status and its correlation with MTAP expression, for research purposes. Of the 27 evaluable cases, the majority (25/27, 92.5%) were found to be CDKN2A wild-type, with only two cases (7.5%) harboring deletion of the gene. No hemizygous deletion pattern was observed. Interestingly, these cases, both diagnosed as malignant, with two-copy loss of CDKN2A showed lack of MTAP expression. However, the concordance between CDKN2A molecular status and MTAP expression by immunohistochemistry did not prove to be optimal (Tab. VI); in detail, 16 of 27 cases (59.3%) showed theoretical concordance between immunohistochemical and molecular analysis (first three rows of Tab. VI) while five of 27 cases (18.5%) demonstrated obvious discordance with loss of expression of MTAP and no CDKN2A copy number change (fourth and fifth rows of Tab. VI). Molecular analysis was performed on 5 cases with adequate residual biomaterial. These cases were diagnosed as PDAC and CDKN2A wild-type by FISH but 3/5 (60%) showed equivocal immunohistochemical staining while 2/5 (40%) were negative for MTAP by IHC (Tab. VII). Sequencing data obtained with the Pillar® oncoReveal™ panel demonstrated high quality. An average of 2 million reads were obtained in all samples, with a mapping rate greater than 85%. Sequence analysis identified deletions of exons 2 and 3 in the CDKN2A gene in 2 out of 5 samples (Tab. VII). These alterations were categorized as ‘B’ in the CIViC database, indicating a moderate level of clinical significance based on limited evidence.
Discussion
The status of MTAP expression, assessed by immunohistochemistry, serves as a surrogate marker for CDKN2A molecular status in malignant mesothelioma19. In the differential diagnosis between reactive and malignant mesothelial proliferation, loss of cytoplasmic MTAP expression demonstrates 100% specificity and variable sensitivity (37% for epithelioid mesothelioma and 80% for sarcomatoid mesothelioma). This is comparable to the sensitivity of homozygous deletion of CDKN2A detected by FISH, which shows 100% specificity and 58-62% sensitivity. Reported data demonstrated that loss of MTAP expression is 78% sensitive and 96% specific for CDKN2A homozygous deletion14,20-29. However, the assessment of MTAP status is indeed extremely complex in mesothelial proliferation setting. Interobserver disagreement on MTAP scoring was more likely in cases with faint cytoplasmic staining, defined as tumoral cytoplasmic staining overtly weaker than the cytoplasmic staining in the positive internal control. Hida et al.27 and Chapel et al.14 considered faint cytoplasmic MTAP staining in tumor cells as evidence for CDKN2A homozygous deletion. Thus, as CDKN2A is deleted in several cases of PDAC, we evaluated the utility of MTAP immunohistochemical expression for the diagnosis of PDAC in limited cytological samples. However, also in pancreatic pathology, routine practice can be challenging, primarily due to the limited biomaterial, which makes morphological evaluation ambiguous and ancillary techniques often difficult to interpret.
In our study we observed loss of MTAP expression in 25% of cases diagnosed as PDAC (6 out of 24), as previously reported30. Overall, our data about MTAP immunohistochemical expression are similar to those reported by Yu et al.; in detail, we demonstrated an high PPV (100%) but a low NPV (7%) of the test, with a modest sensitivity (31.5%) but a high specificity (100%) for the diagnosis of PDAC in both EUS-FNAB, although the results are limited by the low number of cases in our cohort. Furthermore, 6 cases (22.2%%) showed equivocal staining for MTAP and they were classified as malignant (5/6, 83.3%%) or suspicious (1/6, 16.7%). We considered as equivocal a weaker cytoplasmic staining in most neoplastic cells compared to the internal normal control. Accordingly, in the context of the established diagnosis, this finding should be interpreted as indicative of MTAP loss, in line with the interpretative criteria applied in malignant mesothelioma. Another immunohistochemical marker widely studied to augment the morphologic diagnosis of PDAC in small biopsies is S100P31-34. This protein is part of the calcium binding protein family and is involved in PDAC development and considered as a predictive diagnostic marker for the disease. A cytoplasmic and nuclear immunohistochemical staining has been shown to increase the accuracy in the diagnosis of the PDAC and the current evidence suggests that S100P plays an important diagnostic role in this clinical setting with a high sensitivity and specificity35. Our experience demonstrates how an immunohistochemical panel including MTAP and S100P improves diagnostic accuracy, showing a better NPV (12.5%) and a greater sensitivity (75%) with a slightly lower PPV (94.7%) and the same specificity compared to single markers (Tab. V). However, the only positive case on proposed immunohistochemical analysis (MTAP-/S100P+) and classified as suspicious was confirmed to be PDAC on follow-up. Unlike Yu et al., we also performed FISH analysis on all cases. Data from The Cancer Genome Atlas shows that a significant proportion of PDACs exhibit CDKN2A deletion (52/183, 28%) and that CDKN2A and MTAP are frequently, but not always, co-deleted (41/52, 79%)36. These results suggest that MTAP expression will not perfectly correlate with CDKN2A status. Our data about the homozygous deletion of CDKN2A follows this trend, with a non-perfect correlation between immunohistochemistry and FISH. All malignant cases resulting MTAP retained were also CDKN2A wild-type by FISH just like the only benign case. However, in our PDAC series, although the two cases with CDKN2A two copy had lost MTAP, we identified four discordant cases characterized by loss of MTAP expression but no copy number change of CDKN2A (Tab. VI). The same discrepancy was observed in one case diagnosed as suspicious (Tab. VI). Another interesting result concerns five cases diagnosed as malignant and one case diagnosed as suspicious which showed a MTAP equivocal staining and a wild-type status of CDKN2A by FISH (Tab. VI). In summary, we identified a low proportion of PDACs with CDKN2A homozygous deletion (2 out of 24.8%) and a non-negligible proportion of MTAP IHC-CDKN2A FISH discordant cases (11 out of 27, 40.7%) compared to MTAP IHC-CDKN2A FISH concordant cases (16 out of 27, 59.3%). This data could suggest that MTAP gene may be altered without detectable co-deletion of CDKN2A in PDACs, as already reported for primary non-small cell lung cancers37. However, literature data show how MTAP and CDKN2A genes are closely related and they are frequently co-deleted in some neoplasms15,38-43. To better understand the molecular status of CDKN2A, we also performed a DNA/RNA-based NGS. This choice is based on data from Dudley et al.44 regarding the performance of NGS and FISH as adjunctive tests for detecting malignancy or high-risk neoplasia (i.e. main duct IPMN, high-grade dysplasia, or carcinoma) in pancreaticobiliary brushing cytology specimens. Dudley et al. demonstrated that NGS has superior diagnostic performance compared to FISH. Specifically, when added to conventional cytology, NGS increased diagnostic sensitivity to 85% (95% CI, 68-95%) compared to 76% (95% CI, 58-89%) with FISH. This improvement resulted in a significant increase in the area under the curve in a receiver operating characteristic (ROC) analysis (P = 0.03)44. Several other studies have reported comparable findings, suggesting that NGS may be a superior diagnostic adjunctive method to FISH, particularly in enhancing diagnostic sensitivity45-47. We selected five cases characterized by an adequate amount, although limited, of residual biomaterial and potential or confirmed MTAP IHC-CDKN2A FISH discordance, i.e. three cases with equivocal MTAP IHC staining and two cases negative for MTAP IHC but all CDKN2A wild-type by FISH. Sequence analysis identified CDKN2A homozygous deletion in the two MTAP IHC negative cases (Tab. VII). Thus, this finding demonstrated a better correlation between DNA/RNA-based NGS and immunohistochemical staining, along with surprisingly higher sensitivity of NGS in defining CDKN2A status compared to FISH, which is currently considered the gold standard test. The limited cellularity of these samples could explain this finding. The performance of FISH may be limited by the small amount of available diagnostic biomaterial, as is the case with cytology samples. This can present a challenge in achieving reliable results, as the technique depends on the availability of sufficient target DNA for effective probe binding 48,49. It is plausible to hypothesize that, in cases with limited cellularity, the CDKN2A homozygous deletion was not observed in a diagnostic number of neoplastic cells (cut-off > 10% of scored nuclei) while the copy number variation was demonstrated with Pillar® oncoReveal™, which uses proprietary Stem Loop Inhibition-Mediated amplification (SLIMamp®) technology, a tiled amplicon-based library prep chemistry for efficient single-tube target. In this clinical setting, the key advantage of this method is that Pillar Biosciences has patented the stem-loop inhibition mediated amplification (SLIMamp) technology and integrated it into commercially available amplicon-based next-generation sequencing (NGS) cancer testing kits, specifically designed to overcome challenges related to low input DNA amounts. These kits are claimed to effectively analyze FFPE samples with suboptimal DNA quality and/or low input DNA amount, achieving a higher sample quality control pass rate compared to both hybrid-capture methods and conventional amplicon-based sequencing approaches50. Therefore, this recent technology enables the optimization of the limited biomaterial available and produces data even under unfavorable conditions. Another interesting topic is the challenge of interpreting MTAP staining, especially on small samples, considering also the lack of a strict definition of MTAP loss. It is interesting to highlight that the limited amount of biomaterial would not impact the interpretation of immunostaining, loss of expression of MTAP is generally homogeneous in PDAC51, making even a small sample representative of the entire neoplasm. Therefore, as also suggested by Yu et al., further studies to evaluate and define an effective and standardized cut-off for loss of MTAP expression could certainly improve the diagnostic utility of this staining. The interpretative challenges are also observed in FISH assessment. In this case, there are no standardized cut-offs for CDKN2A homozygous deletion in pancreatic pathology, and the limited sample size can affect the result, leading to a risk of false negative cases. This risk could be lower using extractive molecular analysis methods, which, however, have other limitations.
Finally, MTAP has also demonstrated an interesting value as predictive biomarker in addition to its diagnostic role. The therapeutic potential of targeting MTAP deficiency has been extensively investigated across various cancer types. MTAP loss, which frequently co-occurs with CDKN2A deletion, leads to a synthetic lethal vulnerability that can be therapeutically exploited52. In detail, MTAP deficient tumor cells exhibit increased sensitivity to methionine depletion and inhibitors of purine synthesis, making the cells more susceptible to drugs that target purine or methionine metabolism. MTAP loss is associated with elevated activity of ornithine decarboxylase (ODC) in pancreatic tumors. ODC is the rate-limiting enzyme in polyamine synthesis53, and the ability of MTAP to suppress tumor growth is linked to its regulatory effect on polyamine production. Furthermore, the growth of MTAP deficient tumor cells is abrogated by inhibition of protein arginine methyltransferase 5 (PRMT5), making PRMT5 a promising synthetic lethal target in MTAP deficient tumors54,55. In this context, pancreatic cancer organoids have been used to confirm the efficacy of PRMT5 inhibition. The PRMT5 inhibitor EZP015556 has demonstrated effectiveness in both MTAP deficient organoids and a subset of MTAP proficient organoids56.
In summary, our data demonstrates that MTAP expression is frequently lost in PDACs and CDKN2A homozygous deletion can be reliably predicted by loss of MTAP immunohistochemical expression. However, a major limitation of our study is the limited number of cases tested, particularly within the negative or suspicious group. As previously noted, this limitation is primarily due to the paucity of material typically yielded by EUS-FNAB procedures. Therefore, further studies with larger cohorts and, if possible, a higher representation of negative or suspicious cases are recommended. Moreover, in our opinion, it is mandatory to define, standardize, and apply strict criteria for the interpretation of MTAP immunohistochemical staining, particularly in small samples, in order to accurately identify negative cases.
FUNDING
This research did not receive any specific grant from funding agencies in the public, commercial, or not-for-profit sectors.
CONFLICT OF INTEREST STATEMENT
All authors declare no conflict of interest.
AUTHOR CONTRIBUTIONS
SL, MM, FZM, GS, RS: Data curation; formal analysis. SL, MM, Renato Franco: Conceptualization; formal analysis; writing–review & editing. CZ: Writing–review & editing; investigation. VM: Investigation; writing–review & editing. DP: Investigation; writing–review & editing. FDV: Investigation; writing–review & editing. GC: Investigation; writing–review & editing. IC: Investigation; writing–review & editing. EC: Investigation; writing–review & editing. SL, MM, RF: Conceptualization; investigation; writing–original draft; writing–re- view & editing.
ETHICAL CONSIDERATION
Please add
History
Received: April 16, 2025
Accepted: September 3, 2025
Figures and tables
Figure 1. MTAP immunohistochemical staining. (A) PDAC with retained (B) MTAP expression. (C) PDAC with equivocal (D) MTAP immunohistochemical staining. (E) PDAC with complete loss of cytoplasmic and nuclear (F) MTAP expression.
Figure 2. MTAP-S100P immunohistochemical panel. (A) A case of PDAC with positive (B) immunohistochemical staining for S100P and retained (C) MTAP expression. (D) Another case of PADC with lack of both (E) S100P and (F) MTAP immunohistochemical expression.
| N | % | |
|---|---|---|
| Sex | ||
| Male | 11 | 38% |
| Female | 18 | 62% |
| Age | ||
| < 70 years | 14 | 48.3% |
| ≥70 years | 15 | 51.7% |
| Diagnosis | ||
| Benign | 2 | 6.9% |
| Atypical | 1 | 3.4% |
| Suspicious | 2 | 6.9% |
| Malignant | 24 | 82.8% |
| N: number; %: percentage. | ||
| Diagnosis | N. of cases (%) | Complete loss (%) | Equivocal (%) | Retained (%) |
|---|---|---|---|---|
| Benign | 1 (3.7%) | 0 (0) | 0 (0) | 1 (100%) |
| Suspicious | 2 (7.4%) | 1 (50%) | 1 (50%) | 0 (0) |
| Malignant | 24 (88.9%) | 7 (29%) | 4 (17%) | 13 (54%) |
| Diagnosis | N. of cases (%) | Positive (%) | Negative (%) |
|---|---|---|---|
| Benign | 1 (3.7%) | 0 (0) | 1 (100%) |
| Suspicious | 2 (7.4%) | 1 (50%) | 1 (50) |
| Malignant | 24 (88.9%) | 17 (71%) | 7 (29%) |
| Total | |||
|---|---|---|---|
| Benign | Malignant | ||
| MTAP reteined MTAP lost | 1 | 13 | 14 |
| 0 | 7 | 7 | |
| Total | 1 | 20 | 21 |
| Diagnosis | MTAP-S100P- | MTAP+S100P- | MTAP EqS100P- | MTAP-S100P+ | MTAP+S100P+ | MTAP EqS100P+ |
|---|---|---|---|---|---|---|
| Benign | 0 (0) | 1 (100%) | 0 (0) | 0 (0) | 0 (0) | 0 (0) |
| Suspicious | 0 (0) | 0 (0) | 1 (50%) | 1 (50%) | 0 (0) | 0 (0) |
| Malignant | 1 (4.2%) | 3 (12.5%) | 3 (12.5%) | 6 (25%) | 10 (41.6%) | 1 (4.2%) |
| Eq: equivocal staining. | ||||||
| Diagnosis | N. of cases (%) | MTAP IHC | CDKN2A status by FISH |
|---|---|---|---|
| Malignant | 13 (48.2%) | Retained | Wild-type |
| Malignant | 2 (7.4%) | Lost | Homozygous deletion |
| Benign | 1 (3.7%) | Retained | Wild-type |
| Malignant | 5 (18.5%) | Lost | Wild-type |
| Suspicious | 1 (3.7%) | Lost | Wild-type |
| Malignant | 4 (14.8%) | Equivocal | Wild-type |
| Suspicious | 1 (3.7%) | Equivocal | Wild-type |
| Diagnosis | No. of cases (%) | MTAP IHC | CDKN2A status by FISH | DNA/RNA-based NGS |
|---|---|---|---|---|
| Malignant | 3 (60%) | Equivocal | Wild-type | Wild-type |
| Malignant | 2 (40%) | Lost | Wild-type | Homozygous deletion |
References
- Siegel R, Miller K, Jemal A. Cancer Statistics. Cancer J Clin; 2017. doi:https://doi.org/10.3322/caac.21387
- Chiaravalli M, Reni M, O’Reilly E. Pancreatic ductal adenocarcinoma: State-of-the-art 2017 and new therapeutic strategies. Cancer Treat Rev. 2017;60:32-43. doi:https://doi.org/10.1016/j.ctrv.2017.08.007
- Rawla P, Sunkara T, Gaduputi V. Epidemiology of Pancreatic Cancer: Global Trends, Etiology and Risk Factors. World J Oncol. 2019;10(1):10-27. doi:https://doi.org/10.14740/wjon1166
- Distler M, Aust D, Weitz J. Precursor lesions for sporadic pancreatic cancer: PanIN, IPMN, and MCN. Biomed Res Int. 2014;2014. doi:https://doi.org/10.1155/2014/474905
- Nakaoka K, Ohno E, Kawabe N. Current Status of the Diagnosis of Early-Stage Pancreatic Ductal Adenocarcinoma. Diagnostics. 2023;13(2). doi:https://doi.org/10.3390/diagnostics13020215
- Adsay N, Bandyopadhyay S, Basturk O. Chronic pancreatitis or pancreatic ductal adenocarcinoma?. Semin Diagn Pathol. 2004;21(4):268-276. doi:https://doi.org/10.1053/j.semdp.2005.08.002
- Valentini A, Savino M, Donghia R. Role of Immunohistochemistry in Suspected Pancreatic Ductal Adenocarcinoma: A Prospective Study on Fine Needle Aspiration Biopsies. Pancreas. 2022;51(10):1372-1375. doi:https://doi.org/10.1097/MPA.0000000000002188
- Wang J, Jin K, Chen X. Clinicopathological significance of SMAD4 loss in pancreatic ductal adenocarcinomas: a systematic review and meta-analysis. Oncotarget. 2017;8(10):16704-16711. doi:https://doi.org/10.18632/oncotarget.14335
- Sweeney J, Rao R, Margolskee E. Immunohistochemical staining for S100P, SMAD4, and IMP3 on cell block preparations is sensitive and highly specific for pancreatic ductal adenocarcinoma. J Am Soc Cytopathol. 2018;7(6):318-323. doi:https://doi.org/10.1016/j.jasc.2018.07.002
- Qian Y, Gong Y, Fan Z. Molecular alterations and targeted therapy in pancreatic ductal adenocarcinoma. J Hematol Oncol. 2020;13(1). doi:https://doi.org/10.1186/s13045-020-00958-3
- Bertoli C, Skotheim J, de Bruin R. Control of cell cycle transcription during G1 and S phases. Nat Rev Mol Cell Biol. 2013;14(8):518-528. doi:https://doi.org/10.1038/nrm3629
- Knudsen E, O’Reilly E, Brody J. Genetic Diversity of Pancreatic Ductal Adenocarcinoma and Opportunities for Precision Medicine. Gastroenterology. 2016;150(1):48-63. doi:https://doi.org/10.1053/j.gastro.2015.08.056
- Qian Z, Rubinson D, Nowak J. Association of Alterations in Main Driver Genes With Outcomes of Patients With Resected Pancreatic Ductal Adenocarcinoma. JAMA Oncol. 2019;5(4). doi:https://doi.org/10.1001/jamaoncol.2019.0286
- Chapel D, Schulte J, Berg K. MTAP immunohistochemistry is an accurate and reproducible surrogate for CDKN2A fluorescence in situ hybridization in diagnosis of malignant pleural mesothelioma. Mod Pathol. 2020;33(2):245-254. doi:https://doi.org/10.1038/s41379-019-0310-0
- Illei P, Rusch V, Zakowski M. Homozygous deletion of CDKN2A and codeletion of the methylthioadenosine phosphorylase gene in the majority of pleural mesotheliomas. Clin Cancer Res. 2003;9(6):2108-2113.
- Krasinskas A, Bartlett D, Cieply K. CDKN2A and MTAP deletions in peritoneal mesotheliomas are correlated with loss of p16 protein expression and poor survival. Mod Pathol. 2010;23(4):531-538. doi:https://doi.org/10.1038/modpathol.2009.186
- Yu S, Doyle L, Hornick J. The diagnostic utility of methylthioadenosine phosphorylase immunohistochemistry for pancreatic ductal adenocarcinoma in FNA and small biopsy specimens. Cancer Cytopathol. 2024;132(2):87-95. doi:https://doi.org/10.1002/cncy.22777
- Chung C, Santo G. FISH assay development for the detection of p16/CDKN2A deletion in malignant pleural mesothelioma. J Clin Pathol. 2010;63(7):630-634. doi:https://doi.org/10.1136/jcp.2010.076794
- Lucà S, Pignata G, Cioce A. Diagnostic Challenges in the Pathological Approach to Pleural Mesothelioma. Cancers. 2025;17(3). doi:https://doi.org/10.3390/cancers17030481
- Kinoshita Y, Hida T, Hamasaki M. A combination of MTAP and BAP1 immunohistochemistry in pleural effusion cytology for the diagnosis of mesothelioma. Cancer Cytopathol. 2018;126(1):54-63. doi:https://doi.org/10.1002/cncy.21928
- Berg K, Churg A, Cheung S. Usefulness of methylthioadenosine phosphorylase and BRCA-associated protein 1 immunohistochemistry in the diagnosis of malignant mesothelioma in effusion cytology specimens. Cancer Cytopathol. 2020;128(2):126-132. doi:https://doi.org/10.1002/cncy.22221
- Sa-Ngiamwibool P, Hamasaki M, Kinoshita Y. Challenges and limitation of MTAP immunohistochemistry in diagnosing desmoplastic mesothelioma/sarcomatoid pleural mesothelioma with desmoplastic features. Ann Diagn Pathol. 2022;60. doi:https://doi.org/10.1016/j.anndiagpath.2022.152004
- Chapel D, Hornick J, Barlow J. Clinical and molecular validation of BAP1, MTAP, P53, and Merlin immunohistochemistry in diagnosis of pleural mesothelioma. Mod Pathol. 2022;35(10):1383-1397. doi:https://doi.org/10.1038/s41379-022-01081-z
- Hwang H, Pyott S, Rodriguez S. BAP1 Immunohistochemistry and p16 FISH in the Diagnosis of Sarcomatous and Desmoplastic Mesotheliomas. Am J Surg Pathol. 2016;40(5):714-718. doi:https://doi.org/10.1097/PAS.0000000000000616
- Berg K, Dacic S, Miller C. Utility of Methylthioadenosine Phosphorylase Compared With BAP1 Immunohistochemistry, and CDKN2A and NF2 Fluorescence In Situ Hybridization in Separating Reactive Mesothelial Proliferations From Epithelioid Malignant Mesotheliomas. Arch Pathol Lab Med. 2018;142(12):1549-1553. doi:https://doi.org/10.5858/arpa.2018-0273-OA
- McGregor S, McElherne J, Minor A. BAP1 immunohistochemistry has limited prognostic utility as a complement of CDKN2A (p16) fluorescence in situ hybridization in malignant pleural mesothelioma. Hum Pathol. 2017;60:86-94. doi:https://doi.org/10.1016/j.humpath.2016.09.026
- Hida T, Hamasaki M, Matsumoto S. Immunohistochemical detection of MTAP and BAP1 protein loss for mesothelioma diagnosis: Comparison with 9p21 FISH and BAP1 immunohistochemistry. Lung Cancer. 2017;104:98-105. doi:https://doi.org/10.1016/j.lungcan.2016.12.017
- Kinoshita Y, Hamasaki M, Yoshimura M. A combination of MTAP and BAP1 immunohistochemistry is effective for distinguishing sarcomatoid mesothelioma from fibrous pleuritis. Lung Cancer. 2018;125:198-204. doi:https://doi.org/10.1016/j.lungcan.2018.09.019
- Wu D, Hiroshima K, Yusa T. Usefulness of p16/CDKN2A fluorescence in situ hybridization and BAP1 immunohistochemistry for the diagnosis of biphasic mesothelioma. Ann Diagn Pathol. 2017;26:31-37. doi:https://doi.org/10.1016/j.anndiagpath.2016.10.010
- Hustinx S, Hruban R, Leoni L. Homozygous deletion of the MTAP gene in invasive adenocarcinoma of the pancreas and in periampullary cancer: a potential new target for therapy. Cancer Biol Ther. 2005;4(1):83-86. doi:https://doi.org/10.4161/cbt.4.1.1380
- Deng H, Shi J, Wilkerson M. Usefulness of S100P in diagnosis of adenocarcinoma of pancreas on fine-needle aspiration biopsy specimens. Am J Clin Pathol. 2008;129(1):81-88. doi:https://doi.org/10.1309/5D76NDE81LE8G545
- Dim D, Jiang F, Qiu Q. The usefulness of S100P, mesothelin, fascin, prostate stem cell antigen, and 14-3-3 sigma in diagnosing pancreatic adenocarcinoma in cytological specimens obtained by endoscopic ultrasound guided fine-needle aspiration. Diagn Cytopathol. 2014;42(3):193-199. doi:https://doi.org/10.1002/dc.21684
- Aksoy-Altinboga A, Baglan T, Umudum H. Diagnostic Value of S100p, IMP3, Maspin, and pVHL in the Differantial Diagnosis of Pancreatic Ductal Adenocarcinoma and Normal/chronic Pancreatitis in Fine Needle Aspiration Biopsy. J Cytol. 2018;35(4):247-251. doi:https://doi.org/10.4103/JOC.JOC18_17
- Ali A, Brown V, Denley S. Expression of KOC, S100P, mesothelin and MUC1 in pancreatico-biliary adenocarcinomas: development and utility of a potential diagnostic immunohistochemistry panel. BMC Clin Pathol. 2014;14. doi:https://doi.org/10.1186/1472-6890-14-35
- Hu H, Zhang Q, Huang C. Diagnostic value of S100P for pancreatic cancer: a meta-analysis. Tumor Biol. 2014;35(10):9479-9485. doi:https://doi.org/10.1007/s13277-014-2461-4
- Sanchez-Vega F, Mina M, Armenia J. Oncogenic Signaling Pathways in The Cancer Genome Atlas. Cell. 2018;173(2):321-337.e10. doi:https://doi.org/10.1016/j.cell.2018.03.035
- Schmid M, Malicki D, Nobori T. Homozygous deletions of methylthioadenosine phosphorylase (MTAP) are more frequent than p16INK4A (CDKN2) homozygous deletions in primary non-small cell lung cancers (NSCLC). Oncogene. 1998;17(20):2669-2675. doi:https://doi.org/10.1038/sj.onc.1202205
- Dreyling M, Roulston D, Bohlander S. Codeletion of CDKN2 and MTAP genes in a subset of non-Hodgkin’s lymphoma may be associated with histologic transformation from low-grade to diffuse large-cell lymphoma. Genes Chromosomes Cancer. 1998;22(1):72-78.
- Vrugt B, Kirschner M, Meerang M. Deletions of CDKN2A and MTAP Detected by Copy-Number Variation Array Are Associated with Loss of p16 and MTAP Protein in Pleural Mesothelioma. Cancers. 2023;15(20). doi:https://doi.org/10.3390/cancers15204978
- Schmid M, Sen M, Rosenbach M. A methylthioadenosine phosphorylase (MTAP) fusion transcript identifies a new gene on chromosome 9p21 that is frequently deleted in cancer. Oncogene. 2000;19(50):5747-5754. doi:https://doi.org/10.1038/sj.onc.1203942
- Frazão L, do Carmo Martins M, Nunes V. BRAF V600E mutation and 9p21: CDKN2A/B and MTAP co-deletions - Markers in the clinical stratification of pediatric gliomas. BMC Cancer. 2018;18(1). doi:https://doi.org/10.1186/s12885-018-5120-0
- Barekatain Y, Ackroyd J, Yan V. Homozygous MTAP deletion in primary human glioblastoma is not associated with elevation of methylthioadenosine. Nat Commun. 2021;12(1). doi:https://doi.org/10.1038/s41467-021-24240-3
- Suzuki T, Maruno M, Wada K. Genetic analysis of human glioblastomas using a genomic microarray system. Brain Tumor Pathol. 2004;21(1):27-34. doi:https://doi.org/10.1007/BF02482174
- Dudley J, Zheng Z, McDonald T. Next-Generation Sequencing and Fluorescence in Situ Hybridization Have Comparable Performance Characteristics in the Analysis of Pancreaticobiliary Brushings for Malignancy. J Mol Diagn. 2016;18(1):124-130. doi:https://doi.org/10.1016/j.jmoldx.2015.08.002
- Layfield L. Role of Ancillary Techniques in Biliary Cytopathology Specimens. Acta Cytol. 2020;64(1-2):175-181. doi:https://doi.org/10.1159/000498976
- Hilburn C, Pitman M. The Cytomorphologic and Molecular Assessment of Bile Duct Brushing Specimens. Surg Pathol Clin. 2022;15(3):469-478. doi:https://doi.org/10.1016/j.path.2022.05.002
- Scheid J, Rosenbaum M, Przybyszewski E. Next-generation sequencing in the evaluation of biliary strictures in patients with primary sclerosing cholangitis. Cancer Cytopathol. 2022;130(3):215-230. doi:https://doi.org/10.1002/cncy.22528
- Minca E, Lanigan C, Reynolds J. ALK status testing in non-small-cell lung carcinoma by FISH on ThinPrep slides with cytology material. J Thorac Oncol. 2014;9(4):464-468. doi:https://doi.org/10.1097/JTO.0000000000000104
- Ashok V, Ranganathan R, Chander S. Comparison of Diagnostic Yield of a FISH Panel Against Conventional Cytogenetic Studies for Hematological Malignancies: A South Indian Referral Laboratory Analysis Of 201 Cases. Asian Pac J Cancer Prev. 2017;18(12):3457-3464. doi:https://doi.org/10.22034/APJCP.2017.18.12.3457
- Fink J, Jaradi B, Stone N. Minimizing Sample Failure Rates for Challenging Clinical Tumor Samples. J Mol Diagn. 2023;25(5):263-273. doi:https://doi.org/10.1016/j.jmoldx.2023.01.008
- Gorbokon N, Teljuk K, Reiswich V. Deficiency of MTAP Is Frequent and Mostly Homogeneous in Pancreatic Ductal Adenocarcinomas. Cancers (Basel). 2025;17(7). doi:https://doi.org/10.3390/cancers17071205
- Fan N, Zhang Y, Zou S. Methylthioadenosine phosphorylase deficiency in tumors: A compelling therapeutic target. Front Cell Dev Biol. 2023;11. doi:https://doi.org/10.3389/fcell.2023.1173356
- Subhi A, Tang B, Balsara B. Loss of methylthioadenosine phosphorylase and elevated ornithine decarboxylase is common in pancreatic cancer. Clin Cancer Res. 2004;10(21):7290-7296. doi:https://doi.org/10.1158/1078-0432.CCR-04-0972
- Hu Q, Qin Y, Ji S. MTAP Deficiency-Induced Metabolic Reprogramming Creates a Vulnerability to Cotargeting De Novo Purine Synthesis and Glycolysis in Pancreatic Cancer. Cancer Res. 2021;81(19):4964-4980. doi:https://doi.org/10.1158/0008-5472.CAN-20-0414
- Mavrakis K, McDonald E, Schlabach M. Disordered methionine metabolism in MTAP/CDKN2A-deleted cancers leads to dependence on PRMT5. Science. 2016;351(6278):1208-1213. doi:https://doi.org/10.1126/science.aad5944
- Driehuis E, van Hoeck A, Moore K. Pancreatic cancer organoids recapitulate disease and allow personalized drug screening. Proc Natl Acad Sci U S A. 2019;116(52):26580-26590. doi:https://doi.org/10.1073/pnas.1911273116
Downloads
License
This work is licensed under a Creative Commons Attribution-NonCommercial-NoDerivatives 4.0 International License.
Copyright
Copyright (c) 2025 Società Italiana di Anatomia Patologica e Citopatologia Diagnostica, Divisione Italiana della International Academy of Pathology
How to Cite
- Abstract viewed - 778 times
- PDF downloaded - 277 times
