Case reports
Vol. 117: Issue 5 - October 2025
Mucoepidermoid carcinoma of the thymus: a case report with emphasis on the differential diagnosis
Summary
Primary thymic mucoepidermoid carcinoma (TMEC) is extremely rare and only a few cases have been reported in the literature. We describe the case of a TMEC in elderly man, with atypical morphological features that could lead potential diagnostic pitfall. Herein, we suggest a practical approach that may help guide pathologists in their differential diagnosis to distinguish TMEC from other thymic mimics.
Introduction
Primary thymic carcinoma represents a small percentage of thymic epithelial neoplasms arising in the prevascular (anterior) mediastinum. Mucoepidermoid carcinoma (MEC) of the thymus (TMEC) is extremely rare, comprising approximately 2% of published thymic carcinomas 1, 2. Since about half of patients are asymptomatic, it is typically an incidental finding from imaging. The disease mainly affects males in the sixth decade of life 2.
Grossly, TMEC often demonstrates a combination of solid and cystic areas. TMEC is graded based on morphological parameters, using a three-tiered system, as low, intermediate, and high-grade 1.
As Dooley et al. suggest, thymic epithelial tissue to possess phenotypically plastic nature to some degree and, within certain conditions, capacity to exhibit variable epithelial-like patterns of differentiation similar to glandular or squamous epithelium 3.
Here, we report a case of primary TMEC in and suggest a practical approach that may help guide pathologists in differential diagnosis to distinguish TMEC from thymic mimics.
Case presentation
A 74-year-old Caucasian man presented with cough and dyspnea at Sapienza University’s Policlinico Umberto I Hospital in Rome. He declared no prior history of smoking.
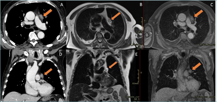
Computed tomography (CT) examination revealed a solitary, well-circumscribed, poorly-enhanced lesion in the anterior mediastinum, approximately 3x3x2 cm in size, raising suspicion of a thymic neoplasm and prompting further investigation via imaging (Fig. 1 A, D). Magnetic resonance imaging (MRI) confirmed a heterogenous, hypointense lesion (Fig. 1 B, E) and a homogeneous enhancement on post-contrast T1- weighted images (Fig. 1 C, F). No lymph node metastases or other localization of disease were detected.
The patient underwent surgical resection, which revealed a well-defined, encapsulated, yellow-gray mass, measuring 3.5x2.5x2 cm in size, with a solid and cystic gross appearance on cut surface.
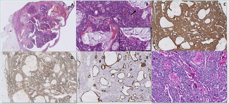
Microscopic examination demonstrated a well-circumscribed tumor mainly composed of intermediate cells intermingled with goblet mucus-secreting cells, both arranged in solid and mucin-filled cystic spaces (Fig. 2 A, B), along with the occasional presence of squamous cells (Fig. 2B). Additional key histologic features included a very low mitotic index and an absence of nuclear pleomorphism.
On immunohistochemistry, the intermediate cells were immunoreactive for CKAE1/AE3, p40 and p63 and negative for CK7 and CEA, whereas the mucous cells resulted partially positive for CKAE1/AE3, CK7, CEA (luminal pattern) with variable staining intensity (Fig. 2 C, D, E). Squamous cells showed strong expression of both p40 and p63 markers. Stains for napsin A, TTF1, chromogranin, synaptophysin, INSM1, S100, CD117, SALL4, calretinin, WT1, CD34, CD30 and CD5 were negative. The Ki-67 index was 7%. Periodic acid-Schiff (PAS)-diastase staining highlighted mucinous secretion in goblet cells (Fig. 2F). Bioactive thymic remnants composed of a characteristic mixture of immature T cells (CD3+ and TdT+) and reticular epithelial cells (CKAE1/AE3 +, p40+) were present in the surrounding tissue.
The percentage of cystic spaces (> 20%), absence of necrosis and nuclear atypia, and low mitotic index led us to make the diagnosis of low-grade TMEC.
Since the resection margins were disease-free, the clinical team did not propose the use of adjuvant therapy. After one year of follow-up, no signs of local or distant recurrence of disease were detected.
Discussion
In contrast to a thymoma, TMEC is rarely associated with paraneoplastic symptoms, such as myasthenia gravis or other autoimmune diseases, making it more difficult to diagnose 1, 2. Among thymic neoplasms, thymoma and squamous thymic carcinoma are easily recognizable, whereas rare variants of thymic carcinoma can be challenging to diagnose, so a practical, pattern-based approach may aid pathologists in forming a differential diagnosis.
TMEC is characterized by a variable proportion of squamoid (epidermoid), mucin-producing, and intermediate-type cells but it may also include clear, oncocytic, and spindle cell components 1. In our case, the composition of the tumor mainly involved intermediate cells, whereas we noted the scant presence of squamous and goblet cells.
Although the presence of mucin-producing cells is one of its key diagnostic parameters, mucinous differentiation in a thymic neoplasm is not exclusive to TMEC. For example, thymic cysts or thymomas may also demonstrate mucinous epithelium. Indeed, rare variants of thymomas display mucinous differentiation, microcystic and mucoid changes and signet ring cell-like features 1,4. A differential diagnosis might therefore include a thymoma and TMEC, but in this latter histotype, mucin deposits are detected not only in cystic spaces but also – and most importantly – in the cytoplasm of tumor goblet cells. Indeed, in combined TMEC-thymoma tumors, described by Wu et al. in 2014, goblet cells are found exclusively in the TMEC component and are absent in the thymoma 5 thus supporting their diagnostic relevance. It may further prove challenging for pathologists to differentiate between a type A or type B thymoma with a microcystic pattern when a TMEC has a predominantly multilocular cystic appearance 6. The most common subtype of thymic carcinoma presents with squamous cell differentiation (accounting for 70% of all thymic carcinomas). Thus, a TMEC mainly composed of squamous tumor cells may display overlapping features with a well-differentiated thymic squamous cell carcinoma. Clearly defined keratinization, broad, fibrotic or hyalinized stroma, and absence of mucin-producing cells represent distinctive characteristics of thymic squamous cell carcinoma. In addition, most of the thymic squamous cell carcinomas are immuno-reactive for CD5 and CD117, whereas a TMEC does not.
Adenosquamous carcinoma display a biphasic differentiation and prominent keratinization, as well as a distinctive, well-defined separation of squamous and glandular components. TMEC, on the other hand, does not commonly show squamous pearls and intercellular bridges 1.
MAML2 rearrangements, while supportive of a diagnosis of mucoepidermoid carcinoma, have also been reported in metaplastic thymoma; thus, their presence must be interpreted with caution and always in conjunction with histopathologic features 7-9.
Thymic carcinoma with adenoid cystic-like features (TCACC) is an exceedingly rare neoplasm with only about 10 cases reported, but can mimic TMEC owing to cribriform architecture and mucinous spaces. Unlike TMEC, TCACC lacks squamous differentiation, aiding distinction from TMEC 1.
As reported by Nonaka et al 2, it is also important not to confuse clear tumor cells in thymic carcinomas with the intermediate cells of TMEC, especially when this component is prevalent, as described in our case. On rare occasions, TMEC may demonstrate prominent, diffuse clear cell morphology in the context of abundant hyalinized extracellular matrix, necessitating a differential diagnosis that comprises both TMEC and hyalinizing clear cell carcinoma (HCCC) of the thymus 1. Unlike HCCC, however, a TMEC rich in intermediate cells and in epithelial-myoepithelial carcinoma is characterized by luminal ductal epithelial cells surrounded by polygonal myoepithelial cells.
Though rarely reported to arise in the anterior mediastinum, epithelial-myoepithelial carcinoma may be mistaken for a thymic carcinoma that usually expresses cytokeratin but is negative or weakly positive for EMA and fails to react with smooth muscle actin and S100 protein. In these cases, mucicarmine staining may help highlight the mucoid material found in the cytoplasm of goblet cells seen in TMEC. Recent studies have found that a EWSR1 translocation may occur in thymic HCCC with prominent hyalinized stroma, which may help distinguish this entity from the other thymic neoplasms with clear cell changes 1.
Conclusions
In conclusion, although TMEC is rare, it still represents an important diagnostic challenge for pathologists, particularly in cases that lack classic morphological features. Our present case underscores the importance of a comprehensive assessment of clinical, radiological, and immuno-histochemical findings combined with a morphological practical and pattern-based approach in order to correctly diagnose a TMEC or distinguish it from other neoplastic thymic mimics.
ACKNOWLEDGEMENTS
The authors have no relevant financial or non-financial interests to disclose.
FUNDING
No funding was required for manuscript.
CONFLICT OF INTEREST STATEMENT
The authors declare no conflict of interest.
ETHICS CONSIDERATION
The study has been approved by the Ethical Committee at our Institution.
All the subjects involved in the present study gave their consent to participate.
CONSENT TO PUBLICATION
All the subjects involved in the present study gave their consent to the publication of this document.
AVAILABILITY
All materials and data used for our investigation are available.
History
Received: April 27, 2025
Accepted: August 20, 2025
Figures and tables
Figure 1. A) Axial and D coronal post-contrast CT imaging revealed a poor enhancement of a small, rounded well-defined lesion; B) Axial and E coronal non-contrast- enhanced T2- weighted MRI scans showed hypointensity, within a heterogeneous anterior mediastinal lesion extending into thymic rest. C) Axial and F coronal post-contrast-enhanced T1- weighted MRI scans showed a homogeneously enhanced lesion.
Figure 2. A (H&E; 2x): microscopic examination showed a well-circumscribed lesion composed of combined cystic, solid areas and extracellular pools of mucin in the background of a dense fibrous stroma. B (H&E; 10x): microscopic examination showed a triphasic tumor composed of epidermoid cells (arrow) intermingled with mucous (round) cells lining cystic cavities and intermediate cells. The immunohistochemical profile (Immunostains; 10x) exhibited positive staining for CKAE1/AE3 (C) outlining the epithelial nature of the three components; positive staining for CK7 (D) in the cells lining cystic spaces and positive staining for p63 (E) in the intermediate cells was detected. The presence of mucoid cells (F) was demonstrated by PAS-diastase staining (histochemical stain; 20x).
References
- Thoracic Tumours. WHO Classification of Tumours. IARC; 2021.
- Nonaka D, Klimstra D, Rosai J. Thymic mucoepidermoid carcinomas: a clinicopathologic study of 10 cases and review of the literature. Am J Surg Pathol. 2004;28(11):1526-31. doi:https://doi.org/10.1097/01.pas.0000137999.23780.2a
- Dooley J, Erickson M, Farr A. Alterations of the medullary epithelial compartment in the Aire-deficient thymus: Implications for programs of thymic epithelial differentiation. J Immunol. 2008;181(8):5225-5232. doi:https://doi.org/10.4049/jimmunol.181.8.5225
- Weissferdt A, Moran C. Atypical Thymoma (WHO Type B3) with Prominent Microcystic and Mucoid Changes Mimicking Thymic Mucoepidermoid Carcinoma: A Clinicopathological and Immunohistochemical Study of Five Cases. Int J Surg Pathol. Published online 2024. doi:https://doi.org/10.1177/10668969241266935
- Wu S, Li Y, Li B. Unusual combined thymic mucoepidermoid carcinoma and thymoma: A case report and review of literature. Diagn Pathol. 2014;9. doi:https://doi.org/10.1186/1746-1596-9-8
- Parente P, Taurchini M, Castelvetere M. Mediastinal Nodular Lesions Synchronous to Lung Carcinoma on Frozen Section: Trap and Lesson. Diagnostics (Basel). 2020;10(11). doi:https://doi.org/10.3390/diagnostics10110893
- Vivero M, Davineni P, Nardi V. Metaplastic thymoma: A distinctive thymic neoplasm characterized by YAP1–MAML2 gene fusions. Mod Pathol. 2020;33(4):560-565. doi:https://doi.org/10.1038/s41379-019-0382-x
- Marx A, Chan J, Chalabreysse L. The 2021 WHO classification of tumors of the thymus and mediastinum: What is new in thymic epithelial, germ cell, and mesenchymal tumors?. J Thorac Oncol. 2022;17(2):200-213. doi:https://doi.org/10.1016/j.jtho.2021.10.010
- Roden A, Marx A, Tzankov A. Analysis of MAML2 rearrangement in mucoepidermoid carcinoma of the thymus. Human Pathol. 2013;44(12):2799-2805. doi:https://doi.org/10.1016/j.humpath.2013.07.031
Downloads
License
This work is licensed under a Creative Commons Attribution-NonCommercial-NoDerivatives 4.0 International License.
Copyright
Copyright (c) 2025 Società Italiana di Anatomia Patologica e Citopatologia Diagnostica, Divisione Italiana della International Academy of Pathology
How to Cite
- Abstract viewed - 361 times
- PDF downloaded - 117 times
