Review
Vol. 117: Issue 5 - October 2025
Clinicopathological and molecular perspectives on thoracic SMARCA4-deficient undifferentiated tumors and SMARCA4-deficient non-small cell lung carcinomas
SMARCA4-Deficient Thoracic Tumors
Summary
SMARCA4-deficient tumors of the thoracic cavity represent a newly emerging group of aggressive neoplasms driven by inactivation of the SMARCA4 gene, a key member of the SWI/SNF chromatin remodeling complex. These tumors are broadly classified into thoracic SMARCA4-deficient undifferentiated tumors (SMARCA4-UT) and SMARCA4-deficient non-small cell lung carcinomas (SMARCA4-dNSCLC). Despite some overlap in genomic alterations, especially smoking-related mutations like TP53, KRAS, and KEAP1, these entities differ in histomorphology, immunoprofile, and biological behavior. SMARCA4-UTs are undifferentiated, often rhabdoid in appearance, with loss of epithelial markers and gain of stem cell markers such as SOX2 and SALL4, while SMARCA4-dNSCLCs retain some epithelial differentiation. Radiologically, these tumors often present as large central thoracic masses with high metabolic activity and early metastases. Both tumor types show poor prognosis, with limited response to conventional therapies. Immunotherapy, particularly immune checkpoint inhibitors, shows promise even in PD-L1–negative cases, and emerging epigenetic and molecular targeted therapies are under investigation. It is crucial to distinguish SMARCA4-UT and SMARCA4-dNSCLC by appropriate use of histopathology, immunohistochemistry, and molecular studies, considering the prognosis and treatment response. Our review focuses on the advancement of understanding the clinicopathological spectrum of both entities, their genetic landscape, and current treatment options.
Keywords : SMARCA4-deficient tumors,Thoracic neoplasms, Non-small cell lung carcinoma,Chromatin remodeling, Immunotherapy
Introduction
The SWI/SNF (switch/sucrose nonfermenting) chromatin remodeling complex plays a crucial role in various key biological functions, including gene expression and chromatin-based processes like transcription, and the repair of DNA 1. Genetic alterations in the components of the SWI/SNF chromatin remodeling complex are found in around 20% of solid tumors, and growing evidence indicates that particular changes within this complex may influence prognosis in some solid malignancies 2,3,4. SWI/SNF family is of the ATP-dependent remodellers, which have a bromo domain and bind acetylated histone 5. The core members of this SWI/SNF family include SMARCB1 (also known as BAF47, SNF & INI1), SMARCC1 (also known as BAF155 & BAF170), SMARCA4 (also known as BRG1) and SMARCA2 (also known as BRM) 6. SMARCB1 mutation has been postulated in a number of malignancies like a malignant rhabdoid tumor, atypical teratoid/rhabdoid tumor (AT/RT), epithelioid sarcoma, renal medullary carcinoma, sinonasal undifferentiated carcinoma, poorly differentiated chordoma, myoepithelial tumors of soft tissue, epithelioid malignant peripheral nerve sheath tumor, etc 7-15. Compared to SMARCB1, mutation of SMARCA4 is seen in a lesser number of high-grade malignancies. SMARCA4, a key tumor suppressor, is found to be altered in roughly 5-7% of human cancers. Class I alterations – including truncating mutations, gene fusions, and homozygous deletions cause a complete loss of function. On the other hand, Class II alterations, typically missense mutations, may act in a dominant-negative manner, impart gain-of-function characteristics, or result in partial or complete loss of function 16. SMARCA4 mutation is commonly seen in small cell carcinoma of ovary hypercalcemic type, undifferentiated uterine carcinoma, uterine sarcoma, undifferentiated colonic carcinoma, undifferentiated esophageal carcinoma etc. 17-21.
SMARCA4, together with SMARCA2, represents one of two mutually exclusive DNA-dependent ATPase proteins that play a role in controlling gene expression through transcriptional regulation 22. SMARCA-4 mutation is seen in approximately 10% of non-small cell lung carcinomas where tumor cells show solid, mucinous patterns 23,24. At the same time, thoracic SMARCA-4 deficient undifferentiated tumor (SMARCA4-UT) is a recently described entity that is different from SMARCA4-dNSCLC 25. Regardless of great advances in precision oncology, a significant subset of thoracic malignancies, especially those lacking actionable genomic alterations, have limited therapeutic options. Standard chemotherapeutic regimens generally offer minimal benefits in such cases, emphasizing a critical gap in effective, personalized treatments. SMARCA4-deficient tumors, in particular SMARCA4-UT and SMARCA4-dNSCLC, epitoimizes this challenge because of their persistent absence of targetable driver mutations like EGFR, ALK, or ROS1 26. This therapeutic gap demands research beyond customary paradigms. Under these circumstences, novel and emerging biomarkers, such as chromatin remodelling deficiencies, novel targeted therapies (KRAS inhibitors, KEAP1 inhibitors etc), and tumor immune sigatures (anti-PDL1 therapies), offer an encouraging path for therapeutic hierarchies 27. This review aims to critically explore all the parameters, including terminology, radiological characteristics, microscopic pathology, immunohistochemical profiles, molecular alterations, prognostic implications, and emphasis on therapeutic strategies with recent treatment updates of both entities.
Terminology
SMARCA4-deficient thoracic/lung tumors are classified as thoracic SMARCA-4 deficient undifferentiated tumor (SMARCA4-UT) and SMARCA-4 deficient non-small cell carcinoma (SMARCA4-dNSCLC) 28. Whereas SMARCA4-UT has been recently added to WHO Thoracic Tumors 5th edition, SMARCA4-dNSCLC is not considered a distinct entity 25. SMARCA4-UT is a high-grade malignant thoracic cavity tumor comprising undifferentiated rhabdoid or epithelioid cells and SMARCA-4 mutation 29. Loarer et al. while performing RNA-sequencing in unclassified round cell sarcomas of the thoracic cavity, found that 19 of 32 cases had a SMARCA-4 mutation. The mutations were nonsense, frameshift, missense, and splice-site mutations 30. Histopathology of those cases revealed poorly cohesive sheets of monomorphic tumor cells with eosinophilic nuclei. The authors called it SMARCA-4 deficient thoracic sarcoma. Later, similar case series were published by Yoshida et al. (n=12) and Sauter et al. (n=12 31,32. Another study by Perret et al. described 30 cases of this entity with similar histopathology comprising ovoid to polygonal cells in desmoplastic stroma and extensive necrosis. Considering the primary lung as a rare location, no preneoplastic condition and similar genomic profiles to the rhabdoid tumor in some cases, prompted the nomenclature of “Thoracic SMARCA-4 deficient sarcoma” as a distinct clinicopathological entity 33. However, Rekhtman et al. have shown that these tumors are actually “SMARCA-4 undifferentiated carcinoma” rather than sarcomas 34. The authors have concluded from the findings of conventional NSCLC in some patients, focal expression of NSCLC markers (e.g., TTF1, p40) in some cases, heavy smoking history in all patients, the genomic smoking signature of NSCLC type (KRAS, STK11, KEAP1), high mutation burden and metastatic pattern typical of carcinomas (lymph node, bone, adrenal glands etc.). However, due to significant phenotypic and clinical differences from NSCLC, they are separately classified as “Thoracic SMARCA-4 deficient undifferentiated tumor”.
The other entity, SMARCA-4 deficient NSCLC, is defined by SMARCA-4 mutation in a conventional NSCLC 35. Reisman et al. first showed that loss of BRG1/BRM expression in NSCLC patients was associated with poor prognosis 36. Agaimy et al. described a distinct SMARCA-4 deficient adenocarcinoma with morphology of solid pattern, rhabdoid pattern, and mucinous pattern and characteristic immunohistochemistry of CK(+), TTF1(-), Hep Par1 (+), and SMARCA-4 (loss of expression) 24. NGS revealed SMARCA-4 mutation and TP53 mutation predominantly. No EGFR mutation or ALK/ROS rearrangement was seen. Herpel et al. also showed that 5.1% cases of NSCLC cases with glandular and squamoid morphology have loss of SMARCA-4 in their sample of 316 cases 37. Subsequently, Liang et al. found 6.9% (105/1520) cases of NSCLC patients had SMARCA-4 mutation and Nambirajan showed 4% cases (4/100) of NSCLC cases had SMARCA-4 mutation where these tumors were mostly TTF-1 and p40 negative on immunohistochemistry 38,39.
Overall, this group of tumors is seen in older patients with a smoking history and has a poor prognosis, with most cases presenting with advanced disease.
Radiology
Thoracic SMARCA4-deficient undifferentiated tumors mostly present as large, centrally located masses that involve mediastinum, lung, or pleura with extensive surrounding structure infiltration. Tumor sizes are generally large (usually >9 cm), and display high FDG uptake on PET-CT. Mean SUV values range from 13 to 16, which indicates intense metabolic activity. It becomes impossible many times to determine the origin of the tumor, whether it is arising from the lung or mediastinum, because of the overlapping involvement. Underlying lung abnormalilty is very common, with the most frequent findings being those of emphysematous changes and bullae.
Radiological differential diagnosis include lymphomas, germ cell tumors, or NUT midline carcinomas due to their large size and compressive behavior.
At diagnosis, most patients have advanced-stage disease with frequent metastases to lymph nodes, bones, adrenal glands, and the peritoneum. Brain metastases have been observed. Overall, these tumors demonstrate a pattern of aggressive thoracic spread, central location, and high metabolic activity, and are often associated with pre-existing smoking-related lung changes 31-34.
SMARCA4-deficient NSCLCs are usually peripheral, well-circumscribed lobulated masses with intense metabolic activity on PET-CT (high SUVmax). They are prone to early metastasis (especially to bone, lymph nodes, and adrenal glands), and often show pleural or chest wall invasion, even when small. Emphysema is a common background finding due to the strong link with smoking. Morphologically and immunophenotypically, these tumors can mimic hepatoid malignancies, which may complicate radiologic differential diagnosis. Radiological findings are compared in Table I.
THORACIC SMARCA4-DEFICIENT UNDIFFERENTIATED TUMOR
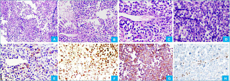
These lesions show sheets of dyscohesive tumor cells arranged in sheets (Figs. 1A & 1B). Tumor cells are often present in perivascular location (Fig. 1C). Tumor cells comprise undifferentiated round to ovoid and polygonal cells. Epithelioid and rhabdoid morphology tumor cells are seen often (Fig. 1D). Rhabdoid cells show eccentric nuclei with abundant eosinophilic cytoplasm (Fig. 1D). Individual tumor cell nuclei show moderate pleomorphism with vesicular nuclei and prominent nucleoli. Cytoplasmic inclusion is seen sometimes. Desmoplastic or myxoid stroma is described. Brisk mitotic activity is seen. Extensive necrosis is seen often. No glandular or squamoid differentiation is seen.
Histopathological findings are highlighted in the Summary box 1.
On immunohistochemistry, tumor cells show focal positivity for cytokeratin (Fig. 1E) and epithelial membrane antigen (EMA). SOX2 (Fig. 1F) is uniformly positive in all cases. SALL4 and CD34 (Fig. 1G) are often positive in tumor cells. SMARCB1 is retained in tumor cells.
The diagnostic marker is SMARCA-4 (BRG1) which shows loss of expression in tumor cells (Fig. 1H). For the diagnostic marker SMARCA-4 (BRG1), a severe reduction should also be considered. Co-loss of SMARCA2 is often seen, but is not a diagnostic marker 31-34.
Immunohistochemistry findings are highlighted in the Summary box 2.
SMARCA4-DEFICIENT NON-SMALL CELL LUNG CARCINOMA
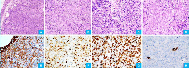
These tumors are characterized by predominantly solid and nested growth pattern (Fig. 2A), and frequent rhabdoid/ undifferentiated features. Focal glandular, papillary, or mucinous differentiation can be present but is typically limited. A prominent inflammatory background and stromal variability (desmoplasia, myxoid areas) may contribute to diagnostic complexity (Fig. 2B). Necrosis may be present (Fig. 2C).These tumors often show cohesive epithelioid cells with striking nuclear features and mimic various poorly differentiated neoplasms (Fig. 2D).
Histopathological findings have been highlighted in Summary box 3.
On immunohistochemistry, the tumors typically express at least one epithelial marker, most commonly pan-cytokeratin (Fig. 2E) and/or EMA, often in a diffuse and strong manner. In rare instances, rhabdoid variants lack CK7 and pan-cytokeratin but show isolated or strong EMA positivity. HepPar-1 is positive in the majority of cases, showing a granular cytoplasmic pattern typical of hepatocellular differentiation. TTF-1 is focally positive in a few cases. Notably, when HepPar-1 is positive, TTF-1 is typically absent, indicating a hepatoid-like profile in some tumors. Neuroendocrine markers like synaptophysin, chromogranin and INSM1(Fig. 2F) may be focally positive. Markers associated with hepatocyte differentiation, such as AFP, glypican-3 may be focally positive. p53 often shows diffuse strong positivity (Fig. 2G). SALL4 can also be focally positive in a few tumors (each in % of neoplastic cells). Dual loss of SMARCA4 (Fig. 2H) and SMARCA2 is observed in some cases, while others showed reduced SMARCA2 expression. SMARCB1 (INI-1) is retained in all cases. All cases are negative for NUT, ALK-V, and ROS-1, ruling out NUT carcinoma and familiar targetable oncogenic drivers 24,35,39. Immunohistochemistry findings are highlighted in Summary box 4.
Molecular findings
MOLECULAR SIGNATURES
Thoracic SMARCA4-UT shows inactivating mutations or complete loss of SMARCA4 (BRG1), mainly through truncating mutations or biallelic loss. Frequent co-deficiency of SMARCA2 (BRM) is observed. SMARCA4-UT also shows freqent mutations in TP53, KRAS, KEAP1, STK11, NF1 and CDKN2A. These genetic alterations are usually seen in smoking-related NSCLC patients with typical tobacco-related mutational signatures. These tumors show a high tumor mutation burden (TMB), which supports the contribution of smoking-associated genetic change.
Transcriptomic analyses revealed a similar association between SMARCA4-UTs and other rhabdoid tumors like malignant rhabdoid tumors (MRTs) and small cell carcinoma of the ovary, hypercalcemic type (SCCOHT). However SMARCA4-UTs were molecularly distinct from conventional NSCLCs. These tumors often overexpress stemness-signature genes like SOX2 and SALL4. Germline SMARCA4 mutations are usually not seen, which helps distinguish it from pediatric rhabdoid tumors.
These tumors lack oncogenic driver genes such as ALK, ROS1 and NUT (targetable genes). Overall, these findings reinforce this entity as genetically distinct 31-34,40,41.
Molecular findings of SMARCA4-UT are highlighted in Summary box 5.
SMARCA4-deficient NSCLCs are also characterized by inactivating mutations or complete loss of SMARCA4, through truncating mutations or biallelic deletions. TP53 mutations are present in a large number of cases, often co-occurring with SMARCA4 alterations. Additional mutations detected are KRAS, STK11, KEAP1, FGFR3, MYC, HRAS, CTNNB1, and ERBB2, reflecting a complex and smoking-related mutational landscape. Non-small cell carcinomas with SMARCA4 mutation are mutually exclusive with ALK, ROS1, EGFR, MET or RET mutation. SMARCB1 (INI1) mutation is not seen, but SMARCA2 was frequently co-losted or reduced 24,35,40,41.
CLINICAL OUTCOME CORRELATION WITH MOLECULAR SIGNATURES
Both thoracic SMARCA4-UT & SMARCA4-dNSCLC show truncating mutation or biallelic deletion of SMARCA4, which is associated with dismal prognosis and rapid disease progression 42. Co-occurrence of other mutations like, TP53, STK11, amd KEAP1, are associated with therapeutic resistance, poor outcome and decreased overall survival 43. SMARCA4 deficiency with co-deficiency of SMARCA2 or upregulation of stemmness-related genes (like SOX2, CD34, SALL4 etc) display more aggressive clinical course and shorter overall survival 44,45.
CLINICAL STRATIFICATION
A salient imminent parameter for clinical stratification in SMARCA4-deficient tumors is the mutant allele frequency (MAF), which reveals the allele burden/clonal burden and heterogeneity of somatic mutations 28. Higher MAF values of SMARCA4 mutations, especially truncating variants, have been associated with more aggressive histopathologic features and adverse clinical outcomes, demonstrating a possible usefulness in prognostic scoring 42. Integrating MAF with co-mutation profiles (e.g., TP53, KRAS, STK11) may refine risk stratification and identify patients who are less likely to benefit from immunotherapy or traditional chemotherapy 43. Additionally, liquid biopsy, via analysis of circulating tumor DNA (ctDNA), offers a minimally invasive approach to dynamically assess MAF, monitor treatment response, and detect minimal residual disease 46. ctDNA-based quantification of SMARCA4 MAF, alongside TMB and co-mutation signatures, could become a pivotal component of real-time patient stratification and precision oncology workflows for these otherwise treatment-refractory tumors 46.
METHODOLOGICAL CONSIDERATIONS
Adherence to standard technical protocols and quality control matrics are necessary for meticulous interpretation of molecular alterations. The key parameters that are to be checked are: nucleic acid extraction purity (A260/A280 should be 1.7 to 2.0), quantification threshold (Qubit or Bioanalyzer), DNA integrity (DIN ) for sequencing assays 47-50. Next Generation Sequencing (NGS) test panels should be validated for coverage depth (≥500x for hotspot regions), uniformity, and mutation variant allele frequency (typically VAF % for reliable variant calls) 51. Standardized variant annotation using databases such as ClinVar, COSMIC, and dbSNP is crucial for clinical interpretation 52. In addition, integration with immunohistochemical loss of SMARCA4/BRG1 expression confirms functional deficiency and enhances diagnostic specificity 53. Institutional or national guidelines, such as those from the College of American Pathologists (CAP), Association for Molecular Pathology (AMP), and ISO 15189-accredited laboratories, should be followed for quality assurance 54-56. These measures are critical for ensuring the reproducibility and translational relevance of molecular data in both clinical diagnostics and therapeutic decision-making.
Differential diagnosis
The differential diagnosis for thoracic SMARCA4-UT encompasses a wide variety of tumors. It includes poorly differentiated carcinoma (including metastasis), melanoma, large cell lymphoma, germ cell tumor, high-grade neuroendocrine carcinoma, NUT carcinoma, melanoma, epithelioid sarcoma, undifferentiated sarcoma with epithelioid morphology (epithelioid MPNST, CIC-rearranged sarcoma, epithelioid inflammatory myofibroblastic sarcoma, epithelioid angiosarcoma, etc.), thymic carcinoma, epithelioid mesothelioma, etc. TTF-1 or p40 diffuse positivity will help rule out primary lung adenocarcinoma or squamous cell carcinoma 57,58,59. LCA, CD3, CD20, and CD30 can be used for large-cell lymphoma 60. Melanoma will express melanocytic markers like S100, HMB45, melan-A, SOX-10 etc, and germ cell tumors will express SALL4 61,62. Neuroendocrine carcinomas are positive for pan-cytokeratin, Synaptophysin, chromogranin and INSM1 63,64. Occasionally, neuroendocrine markers can be focally positive in SMARCA-4 and SMARCB1 deficient tumors, which is a pitfall 65,66. NUT carcinoma is positive for NUTM1, p63 and p40 67,68. Epithelioid sarcoma shows loss of expression of SMARCB1 69. Epithelioid MPNST will show strong positivity for S100 and SOX10 and show SMARCB1 loss of expression 70,71. CIC-rearranged sarcoma show positivity for WT1, ETV4, and DUX4 72,73. EIMS shows positivity for desmin, CD30 and ALK 74,75. Epithelioid angiosarcoma will be positive for ERG, CD31, CD34 and variably CK 76,77. Thymic carcinoma will be positive for cytokeratin, CD5, CD117, and p40 78. Epithelioid mesothelioma will be positive for CK, WT1, calretinin, etc 79.
SMARCA4-dNSCLC can be confused with adenocarcinoma or squamous cell carcinoma. TTF1 and p40 are negative in most of the cases, with the diagnostic marker being SMARCA4. Positive staining for HepPar1 may be mistaken for metastatic hepatocellular carcinoma or hepatoid adenocarcinoma.
Both entities are characterized by SMARCA-4 mutation; there are some similarities and differences between them. SMARCA4-dNSCLC retains at least partial differentiation of epithelial origin compatible with carcinoma (e.g., glandular or squamous), whereas SMARCA4-UT is purely undifferentiated and rhabdoid or sarcomatoid in appearance 24,34. SMARCA4-dNSCLC cases generally express epithelial markers (CK7, EMA, TTF-1), while SMARCA4-UTs show loss or minimal expression of epithelial markers and gain of stem cell markers (CD34, SOX2), suggesting dedifferentiated phenotype 33.
Both tumor types share a smoking-related mutational background and overlapping alterations in TP53, STK11, KRAS, and KEAP1, suggesting a shared lineage. However, the phenotypic divergence is marked by the co-loss of SMARCA2 and the emergence of a stem-like profile in UTs 24,34.
SMARCA4-UTs display a strikingly more aggressive nature, rapid progression, and resistance to therapies, emphasizing the need to be considered separately from SMARCA4-dNSCLCs.
It is proposed that SMARCA4-UTs may represent an extremely de-differentiated endpoint of SMARCA4-dNSCLCs or arise de novo from stem-like precursor cells in smokers, rationalizing their classification as a distinct yet related entity.
Comparison between these entities is highlighted in Table II.
Prognosis
SMARCA4-UTs show dismal prognosis with median overall survival averaging 4-7 months 25. The median overall survival of SMARCA4-dNSCLC was 5.2 months in one study80. and 7.8 months in another 35.
Treatment and Current Perspectives
There are no standard guidelines for treatment of SMARCA-4 deficient tumors 81. Patients have limited treatment options and poor prognosis. Surgery is only effective in early-stage (Stage I) patients, with high recurrence rates even after complete resection 82,83. Chemotherapy, typically platinum-based regimens (paclitaxel and carboplatin), show minimal response and short survival outcomes 84. Radiotherapy is generally ineffective. Immune checkpoint inhibitors (ICIs) like pembrolizumab, nivolumab, and ipilimumab have demonstrated promising responses, even in PD-L1–negative patients, making these ICIs as encouraging options 85,86. Immune checkpoint inhibitors combined with chemotherapy may offer better response 86.
Novel targeted therapies are emerging in SMARCA4-deficient tumors. Sensitivity to CDK4/6 inhibitors increases in tumors with loss of SMARCA4 or SMARCA2. Abemaciclib (CDK4/6 inhibitor) is indicated in advanced breast cancer, and being tested in lung cancer. Tumors with SMARCA4 mutation show OXPHOS overexpression. OXPHOS inhibitor (IACS-010759) inhibits OXPHOS and cause cell death. KRASG12C mutation is associated with poor outcome in NSCLC. KRAS inhibitors like sotorasib, adagrasib, garsorasib, and divarasib show good clinical outcomes. KEAP1 deficiency leads to sensitization to ATM inhibition. Novel ATM inhibitors are in phase I trial. AXL is a receptor tyrosine kinase that is frequently overexpressed in tumors. Bemcentinib (AXL inhibitor) restores pembrolizumab sensitivity of STK11/LKB1 mutant non-small cell lung cancer. Bromodomain and Extra-Terminal Domain Protein Inhibitor (BETi) shows antitumor activity in lung cancer. BETi also increases the sensitivity of tumor cells to CD8+ T cells. BETi repressed tumor growth in SMARCA4/SMARCA2-deficient lung cancer model. Aurora kinase A (AURKA) helps in mitotic spindle assesmbly and cell survival in SMARCA4-deficient tumors. Alisertib (AURKA inhibitor) showed promising results in solid tumors. PARP inhibitor (veliparib, olaparib, nirapanib etc.)in combination with radiotherapy shows a synergistic effect in the treatment of SWI/SNF mutant tumors, and sensitizes lung cancer to PD-1 inhibitor immunotherapy. Histone deacetylase inhibitors (HDACi) can reinstate SMARCA2 expression in SMARCA2-deficient tumors. Vorinostat (HDACi) in combination with pembrolizumab enhances sensitivity to PD-1 inhibitor. Due to the inhibition of Polycomb group (PcG) proteins by the BAF complex, the loss of SMARCA4 and/or SMARCA2 leads to enhanced EZH2 activity, resulting in the activation of oncogenes and suppression of tumor suppressor genes. EZH2 inhibitors like tazemetostat JQEZ25, GSK126 have shown anti-proliferative and antitumor activity 87.
Epigenetic therapies targeting histone modification and chromatin remodeling also show therapeutic potential. Co-occurring mutations (e.g., TP53, KRAS, STK11) may impact treatment response, particularly to immune checkpoint inhibitors (resistance to treatment) 87,88. Conversion surgery after immunotherapy has shown complete pathological responses in select cases 89. However, standardized treatment guidelines and clinical trials for SMARCA4-UT are still lacking and urgently needed.
SMARCA4-dNSCLC patients who have truncating mutations of SMARCA4, show worse overall survival compared to SMARCA4-wild type patients and are unlikely to benefit from checkpoint therapy 90. In SMARCA4-dNSCLC cases, the helicase domain of SMARCA4 constitutes novel missense mutations. There is strikingly reduced activity of chromatin remodeling in these missense mutants. When there is SMARC4 mutation (loss of SMARCA4), the cells depend excessively on its paralog SMARCA2. If SMARCA2 is blocked, the cells cannot grow further and will die. This is called synthetic lethality (Fig. 3) which can be used as therapeutic option in these tumors 90.
Conclusion
SMARCA4-deficient thoracic tumors are aggressive malignancies with distinct clinicopathological and molecular profiles. Clear distinction between SMARCA4-UT and SMARCA4-deficient NSCLC is essential due to differences in differentiation, behavior, and prognosis. Both are strongly linked to smoking-related mutations and lack effective targeted therapies. Emerging data on immunotherapy and epigenetic targets offer hope, but standardized treatment guidelines are still lacking.
ACKNOWLEDGEMENTS
We extend our sincere gratitude to Swati Singh, PhD Scholar in Neuropathology at AIIMS, New Delhi, for her invaluable support in enhancing the quality of this manuscript.
CONFLICT OF INTEREST STATEMENT
The authors have no conflict of interest.
FUNDING
The study did not receive any funding.
AUTHOR CONTRIBUTIONS
SD and PM were responsible for conception, design, data collection, analysis, interpretation amd writing the manuscript. SA was responsible for supervision.
ETHICAL CONSIDERATION
As it is a review article, informed consent was waived off by the Institute Ethics Committee, Fortis Memorial & Research Institute, Gurugram.
As it is a review article and the records are retrospective, ethical approval was waived off by the Institute Ethics Committee, Fortis Medical & Research Institute, Gurugram.
DECLARATION OF GENERATIVE AI AND AI-ASSISTED TECHNOLOGIES IN THE WRITING PROCESS
The authors took help of AI/AI assisted technlolgy like ChatGPT only for proper grammatical correction and for proper readability at some places.
History
Received: April 28, 2025
Accepted: May 26, 2025
Figures and tables
Figure 1. Biopsy from thoracic mass.(A) & (B) H&E (100X) images showing a highly cellular lesion with tumor cells arranged in sheets. (C) Tumor cells are arranged in perivascular location. (D) Individual tumor cells are round to epithelioid, they have moderate to abundant eosinophilic cytoplasm with eccentric nuclei. Rhabdoid cells with cytoplasmic inclusion is seen. (E) Immunohistochemistry for pan-cytokeratin is focally positive. (F) SOX2 is diffusely positive. (G) CD34 is diffusely positive. (H) SMARCA4 (BRG1) shows loss of nuclear expression (internal control is positive).
Figure 2. Biopsy from lung mass. (A) H&E (40x) image shows squamous lined epithelium with underlying area shows a cellular tumor. Tumor cells arranged in nests. (B) H&E (100X) images shows nests of tumor cells with interspersed inflammatory cells. (C) Higher magnification (200x) images showing tumor cells with cytoplasmic clearing. Necrosis and apoptotic bodies are seen. (D) Higher magnification (400x) reveals tumor cells having moderate amount of indistinct eosinophilic cytoplasm, round to polygonal nuclei and prominent nucleoli. Numerous plasma cells are also noted. (E) Pan-cytokeratin shows diffuse weak expression. (F) INSM1 is positive in tumor cells. (G) p53 is diffusely positive. (H) SMARCA4 (BRG1) shows loss of nuclear expression in tumor cells (internal control is positive).
Figure 3. SMARCA4 and SMARCA2 synthetic lethality.
Summary box 1. Histopathological findings of SMARCA4-dUT.
Summary box 2. Immunohistochemistry findings of SMARCA4-dUT.
Summary box 3. Histopathological findings of SMARCA4-dNSCLC.
Summary box 4. Immunohistochemistry markers of SMARCA4-dNSCLC. Abbreviations: EMA - Epithelial Membrane Antigen; TTF1 - Thyroid Transcription Fcator 1; AFP - Alpha Feto Protein, HepPar1 - Hepatocyte Paraffin 1; ALK V - Anaplastic Lymphoma Kinase Ventana; ROS1 - ROS proto-oncogene 1, receptor tyrosine kinase.
Summary box 5. Molecular findings of SMARCA4-dUT. Abbreviations: CDKN2A-cyclin-dependent kinase inhibitor 2A; NF1- Neurofibromatosis 1; MRT- Malignant Rhabdoid Tumor; SCCOHT - Small Cell Carcinoma Of Ovary Hypercalcemic Type.
| Parameters | SD-UTYoshida et al. 2017 & Rekhtman et al. 2020 | SD-UTLe Loarer et al. 2015 & Sauter et al. 2017 | SD-NSCLCAgaimy et al. 2017 | SD-NSCLCKim et al. 2024 |
|---|---|---|---|---|
| Tumor size | Mean - 9.2 cm (2.2-18.3 cm) | Typically large (Often >10 cm) | Often large, some >7-9 cm | Median 4.2 cm (0.8-6.2 cm) |
| Tumor location | Central, mediastinal +/- Lung | Central or mediastinal with lung infiltration | Peripherak or central | Peripheral (78%) |
| Margins and shape | Lobulated, compresive | Lobulated or infiltrative, often ill-defined | Not specified in detail | Well-defined, lobulated (89%) |
| Pleural/chest wasll invasion | Very common | Common, often extensive | Often present | 78% (even in small tumors) |
| Metastasis at diagnosis | 91% had stage IV | Very common, aggressive spread | 78% had M1 disease | 44% (bone, lung) |
| Lymphadenopathy | 59% had lymph node metastasis | Frequent | Common, not detailed | 56% (sometimes necrotic) |
| Emphysema/smoking Link | 76% had emphysema, median age lower | Almost all are heavy smokers | Smoking hsitory common | 56% had mild emphysema |
| PET-CT findings | High uptake (SUVmax 16) : diffuse pattern | Strong FDG uptake, hypermetabolic masses | Not described | Intense FDG uptake (SUVmax 13.5) : diffuse |
| Radiological pitfalls | Mimics lymphoma, germ cell tumors | May resemble sarcoma or NUT carcinoma | Mimics hepatocellular or hepatoid tumors | Mimics other adenocarcinomas |
| Abbreviations: SD-UT - Thoracic SMARCA4 deficient undifferentiated tumor; SD-NSCLC - SMARCA4 deficient non-small cell carcinoma; LN - Lymph node; M1 – Metastasis. | ||||
| Features | SMARCA4-dUT | SMARCA4-dNSCLC |
|---|---|---|
| WHO classification | Distinct entity in WHO 2021 Thoracic tumors | Not a distinct WHO entity |
| Age group | Younger to middle aged adults (40-60 years age) | Usually older adults (>60 years age) |
| Gender | Strong male preponderance | Not such |
| Smoking history | Heavy smokers | Often smokers, nonsmokers can also be affected |
| Symptoms | Usually rapidly progressive respiratory symptoms, chest pain, dyspnea, weight loss | Gradual onset of symptoms |
| Location | Mediastinal or parenchymal mass that involves chest wall, pleura, hilum etc. | Primarily intrapulmonary lesion |
| Appearance | Poorly circumscribed & lobulated mass with hemorrhage and necrosis | Usually solitary pulmonary nodule with well-defined borders |
| Pleural/chest wall invasion | Very common | Common |
| Metastasis | Lymph nodes, bones, adrenal glands, liver, peritoneum, soft tissue, and even brain | Lymph nodes, brain, bones, adrenal glands, liver |
| Peritoneal and unusual soft tissue site metastasis is very common | Peritoneal and unusual soft tissue metastasis is rare | |
| Histology | Undifferentiated/Rhabdoid morphology; lacks glandular or squamoid pattern | Solid, nested, glandular or squamoid morphology is common; undifferentiated/rhabdoid is very infrequent |
| Immunohistochemistry | SMARCA4 loss of expression SMARCA2 (BRM) often loss of expression Positive for stemness markers (SOX2, SALL4, CD34) Epithelial markers often negative/patchy positive (CK, EMA, Claudin-4) TTF1, p40 negative | SMARCA4 loss of expression SMARCA2 (BRM) often retained Stemness markers maybe very focally positive Epithelial markers often positive (CK, EMA, Claudin-4) TTF1, p40 usually negative but focal expression/diffuse expression can be present in some cases |
| Genetics | TP53, KRAS, STK11, KEAP1 | Similar (TP53, KRAS, STK11, KEAP1 being common) |
| SMARCA2 concurent loss is seen | SMARCA2 concurrent loss is usually not seen | |
| Prognosis | Vey aggressive, poor prognosis | Less aggressive than SMARCA4-dUC |
| Treatment | Chemoresistant; limited targeted therapy options available; | May respond to platinum-based chemotherapy and immunotherapy depending on biomarkers |
| Immune checkpoint inhibitors are being explored |
References
- Santen G, Kriek M, van Attikum H. SWI/SNF complex in disorder: SWItching from malignancies to intellectual disability. Epigenetics. 2012;7(11):1219-1224. doi:https://doi.org/10.4161/epi.22299
- Helming K, Wang X, Roberts C. Vulnerabilities of mutant SWI/SNF complexes in cancer. Cancer Cell. 2014;26(3):309-317. doi:https://doi.org/10.1016/j.ccr.2014.07.018
- Kadoch C, Hargreaves D, Hodges C. Proteomic and bioinformatic analysis of mammalian SWI/SNF complexes identifies extensive roles in human malignancy. Nat Genet. 2013;45(6):592-601. doi:https://doi.org/10.1038/ng.2628
- Abou Alaiwi S, Nassar A, Xie W. Mammalian SWI/SNF Complex Genomic Alterations and Immune Checkpoint Blockade in Solid Tumors. Cancer Immunol Res. 2020;8(8):1075-1084. doi:https://doi.org/10.1158/2326-6066.CIR-19-0866
- de la Serna I, Ohkawa Y, Imbalzano A. Chromatin remodelling in mammalian differentiation: lessons from ATP-dependent remodellers. Nat Rev Genet. 2006;7(6):461-473. doi:https://doi.org/10.1038/nrg1882
- Alver B, Kim K, Lu P. The SWI/SNF chromatin remodelling complex is required for maintenance of lineage specific enhancers. Nat Commun. 2017;8. doi:https://doi.org/10.1038/ncomms14648
- Eaton K, Tooke L, Wainwright L, Judkins A, Biegel J. Spectrum of SMARCB1/INI1 mutations in familial and sporadic rhabdoid tumors. Pediatr Blood Cancer. 2011;56(1):7-15. doi:https://doi.org/10.1002/pbc.22831
- Sigauke E, Rakheja D, Maddox D. Absence of expression of SMARCB1/INI1 in malignant rhabdoid tumors of the central nervous system, kidneys and soft tissue: an immunohistochemical study with implications for diagnosis. Mod Pathol. 2006;19(5):717-725. doi:https://doi.org/10.1038/modpathol.3800581
- Cai C. SWI/SNF deficient central nervous system neoplasms. Semin Diagn Pathol. 2021;38(3):167-174. doi:https://doi.org/10.1053/j.semdp.2021.03.003
- Sullivan L, Folpe A, Pawel B. Epithelioid sarcoma is associated with a high percentage of SMARCB1 deletions. Mod Pathol. 2013;26(3):385-392. doi:https://doi.org/10.1038/modpathol.2012.175
- Liu Q, Galli S, Srinivasan R. Renal medullary carcinoma: molecular, immunohistochemistry, and morphologic correlation. Am J Surg Pathol. 2013;37(3):368-374. doi:https://doi.org/10.1097/PAS.0b013e3182770406
- Parsel S, Jawad B, McCoul E. SMARCB1-Deficient Sinonasal Carcinoma: Systematic Review and Case Report. World Neurosurg. 2020;136:305-310. doi:https://doi.org/10.1016/j.wneu.2020.01.130
- Yeter H, Kosemehmetoglu K, Soylemezoglu F. Poorly differentiated chordoma: review of 53 cases. APMIS. 2019;127(9):607-615. doi:https://doi.org/10.1111/apm.12978
- Jo V. Soft Tissue Special Issue: Myoepithelial Neoplasms of Soft Tissue: An Updated Review with Emphasis on Diagnostic Considerations in the Head and Neck. Head Neck Pathol. 2020;14(1):121-131. doi:https://doi.org/10.1007/s12105-019-01109-y
- Schaefer I, Dong F, Garcia E. Recurrent SMARCB1 Inactivation in Epithelioid Malignant Peripheral Nerve Sheath Tumors. Am J Surg Pathol. 2019;43(6):835-843. doi:https://doi.org/10.1097/PAS.0000000000001242
- Mardinian K, Adashek J, Botta G. SMARCA4: Implications of an Altered Chromatin-Remodeling Gene for Cancer Development and Therapy. Mol Cancer Ther. 2021;20(12):2341-2351. doi:https://doi.org/10.1158/1535-7163.MCT-21-0433
- Witkowski L, Carrot-Zhang J, Albrecht S. Germline and somatic SMARCA4 mutations characterize small cell carcinoma of the ovary, hypercalcemic type. Nat Genet. 2014;46(5):438-443. doi:https://doi.org/10.1038/ng.2931
- Kolin D, Quick C, Dong F. SMARCA4-deficient Uterine Sarcoma and Undifferentiated Endometrial Carcinoma Are Distinct Clinicopathologic Entities. Am J Surg Pathol. 2020;44(2):263-270. doi:https://doi.org/10.1097/PAS.0000000000001375
- Ahadi M, Fuchs T, Clarkson A. Switch/sucrose-non-fermentable (SWI/SNF) complex (SMARCA4, SMARCA2, INI1/SMARCB1)-deficient colorectal carcinomas are strongly associated with microsatellite instability: an incidence study in 4508 colorectal carcinomas. Histopathology. 2022;80(6):906-921. doi:https://doi.org/10.1111/his.14612
- Horton R, Ahadi M, Gill A. SMARCA4/SMARCA2-deficient Carcinoma of the Esophagus and Gastroesophageal Junction. Am J Surg Pathol. 2021;45(3):414-420. doi:https://doi.org/10.1097/PAS.0000000000001599
- Neil A, Zhao L, Isidro R. SMARCA4 Mutations in Carcinomas of the Esophagus, Esophagogastric Junction, and Stomach. Mod Pathol. 2023;36(6). doi:https://doi.org/10.1016/j.modpat.2023.100183
- Marquez-Vilendrer S, Rai S, Gramling S. Loss of the SWI/SNF ATPase subunits BRM and BRG1 drives lung cancer development. Oncoscience. 2016;3(11-12):322-336. doi:https://doi.org/10.18632/oncoscience.323
- Wankhede D, Grover S, Hofman P. SMARCA4 alterations in non-small cell lung cancer: a systematic review and meta-analysis. J Clin Pathol. 2024;77(7):457-463. doi:https://doi.org/10.1136/jcp-2024-209394
- Agaimy A, Fuchs F, Moskalev E. SMARCA4-deficient pulmonary adenocarcinoma: clinicopathological, immunohistochemical, and molecular characteristics of a novel aggressive neoplasm with a consistent TTF1neg/CK7pos/HepPar-1pos immunophenotype. Virchows Arch. 2017;471(5):599-609. doi:https://doi.org/10.1007/s00428-017-2148-5
- Tsao M, Nicholson A, Maleszewski J. Reprint of “Introduction to 2021 WHO Classification of Thoracic Tumors.” J Thorac Oncol. 2022;17(3):337-340. doi:https://doi.org/10.1016/j.jtho.2022.01.008
- Xu L, Xu X, Wu P. Clinical characteristics and prognostic analysis of patients with SMARCA4-deficient lung cancer. Technol Health Care. 2025;33(2):1014-1020. doi:https://doi.org/10.1177/09287329241296242
- Ricciuti B, Arbour K, Lin J. Diminished Efficacy of Programmed Death-(Ligand)1 Inhibition in STK11- and KEAP1-Mutant Lung Adenocarcinoma Is Affected by KRAS Mutation Status. J Thorac Oncol. 2022;17(3):399-410. doi:https://doi.org/10.1016/j.jtho.2021.10.013
- Nambirajan A, Jain D. Recent updates in thoracic SMARCA4-deficient undifferentiated tumor. Semin Diagn Pathol. 2021;38(5):83-89. doi:https://doi.org/10.1053/j.semdp.2021.06.001
- Zhou P, Fu Y, Tang Y. Thoracic SMARCA4-deficient undifferentiated tumor: A clinicopathological and prognostic analysis of 35 cases and immunotherapy efficacy. Lung Cancer. 2024;189. doi:https://doi.org/10.1016/j.lungcan.2024.107471
- Le Loarer F, Watson S, Pierron G. SMARCA4 inactivation defines a group of undifferentiated thoracic malignancies transcriptionally related to BAF-deficient sarcomas. Nat Genet. 2015;47(10):1200-1205. doi:https://doi.org/10.1038/ng.3399
- Yoshida A, Kobayashi E, Kubo T. Clinicopathological and molecular characterization of SMARCA4-deficient thoracic sarcomas with comparison to potentially related entities. Mod Pathol. 2017;30(6):797-809. doi:https://doi.org/10.1038/modpathol.2017.11
- Sauter J, Graham R, Larsen B. SMARCA4-deficient thoracic sarcoma: a distinctive clinicopathological entity with undifferentiated rhabdoid morphology and aggressive behavior. Mod Pathol. 2017;30(10):1422-1432. doi:https://doi.org/10.1038/modpathol.2017.61
- Perret R, Chalabreysse L, Watson S. SMARCA4-deficient Thoracic Sarcomas: Clinicopathologic Study of 30 Cases With an Emphasis on Their Nosology and Differential Diagnoses. Am J Surg Pathol. 2019;43(4):455-465. doi:https://doi.org/10.1097/PAS.0000000000001188
- Rekhtman N, Montecalvo J, Chang J. SMARCA4-Deficient Thoracic Sarcomatoid Tumors Represent Primarily Smoking-Related Undifferentiated Carcinomas Rather Than Primary Thoracic Sarcomas. J Thorac Oncol. 2020;15(2):231-247. doi:https://doi.org/10.1016/j.jtho.2019.10.023
- Zhou P, Fu Y, Tang Y. Thoracic SMARCA4-deficient tumors: a clinicopathological analysis of 52 cases with SMARCA4-deficient non-small cell lung cancer and 20 cases with thoracic SMARCA4-deficient undifferentiated tumor. PeerJ. 2024;12. doi:https://doi.org/10.7717/peerj.16923
- Reisman D, Sciarrotta J, Wang W. Loss of BRG1/BRM in human lung cancer cell lines and primary lung cancers: correlation with poor prognosis. Cancer Res. 2003;63(3):560-566.
- Herpel E, Rieker R, Dienemann H. SMARCA4 and SMARCA2 deficiency in non-small cell lung cancer: immunohistochemical survey of 316 consecutive specimens. Ann Diagn Pathol. 2017;26:47-51. doi:https://doi.org/10.1016/j.anndiagpath.2016.10.006
- Liang X, Gao X, Wang F. Clinical characteristics and prognostic analysis of SMARCA4-deficient non-small cell lung cancer. Cancer Med. 2023;12(13):14171-14182. doi:https://doi.org/10.1002/cam4.6083
- Nambirajan A, Singh V, Bhardwaj N. SMARCA4/BRG1-Deficient Non-Small Cell Lung Carcinomas: A Case Series and Review of the Literature. Arch Pathol Lab Med. 2021;145(1):90-98. doi:https://doi.org/10.5858/arpa.2019-0633-OA
- Shi M, Pang L, Zhou H. Rare SMARCA4-deficient thoracic tumor: Insights into molecular characterization and optimal therapeutics methods. Lung Cancer. 2024;192. doi:https://doi.org/10.1016/j.lungcan.2024.107818
- Luo J, Ding B, Campisi A. Molecular, clinicopathological characteristics and surgical results of resectable SMARCA4-deficient thoracic tumors. J Cancer Res Clin Oncol. 2023;149(8):4455-4463. doi:https://doi.org/10.1007/s00432-022-04359-6
- Schoenfeld A, Bandlamudi C, Lavery J. The Genomic Landscape of SMARCA4 Alterations and Associations with Outcomes in Patients with Lung Cancer. Clin Cancer Res. 2020;26(21):5701-5708. doi:https://doi.org/10.1158/1078-0432.CCR-20-1825
- Knetki-Wróblewska M, Wojas-Krawczyk K, Krawczyk P. Emerging insights into STK11, KEAP1 and KRAS mutations: implications for immunotherapy in patients with advanced non-small cell lung cancer. Transl Lung Cancer Res. 2024;13(12):3718-3730. doi:https://doi.org/10.21037/tlcr-24-552
- Field N, Dickson K, Nassif N. SMARCA4 and SMARCA2 co-deficiency: An uncommon molecular signature defining a subset of rare, aggressive and undifferentiated malignancies associated with defective chromatin remodeling. Cancer Lett. 2024;605. doi:https://doi.org/10.1016/j.canlet.2024.217282
- Mehta A, Bansal D, Tripathi R. SMARCA4/BRG1 protein-deficient thoracic tumors dictate re-examination of small biopsy reporting in non-small cell lung cancer. J Pathol Transl Med. 2021;55(5):307-316. doi:https://doi.org/10.4132/jptm.2021.05.11
- Hofman P. What Is New in Biomarker Testing at Diagnosis of Advanced Non-Squamous Non-Small Cell Lung Carcinoma? Implications for Cytology and Liquid Biopsy. J Mol Pathol. 2021;2(2):147-172. doi:https://doi.org/10.3390/jmp2020015
- Mathieson W, Thomas G. Simultaneously extracting DNA, RNA, and protein using kits: is sample quantity or quality prejudiced?. Anal Biochem. 2013;433(1):10-18. doi:https://doi.org/10.1016/j.ab.2012.10.006
- Shim S, Lee M, Jeon J. Assessment of the Impact of Preanalytical DNA Integrity on the Genome Data Quality. Biopreserv Biobank. 2024;22(5):517-527. doi:https://doi.org/10.1089/bio.2023.0050
- Versmessen N, Van Simaey L, Negash A. Comparison of DeNovix, NanoDrop and Qubit for DNA quantification and impurity detection of bacterial DNA extracts. PLoS One. 2024;19(6). doi:https://doi.org/10.1371/journal.pone.0305650
- Hiramatsu K, Matsuda C, Masago K. Diagnostic utility of DNA integrity number as an indicator of sufficient DNA quality in next-generation sequencing-based genomic profiling. Am J Clin Pathol. 2023;160(3):261-267. doi:https://doi.org/10.1093/ajcp/aqad046
- Menon V, Brash D. Next-generation sequencing methodologies to detect low-frequency mutations: “Catch me if you can.” Mutat Res Rev Mutat Res. 2023;792. doi:https://doi.org/10.1016/j.mrrev.2023.108471
- Yen J, Garcia S, Montana A. A variant by any name: quantifying annotation discordance across tools and clinical databases. Genome Med. 2017;9(1). doi:https://doi.org/10.1186/s13073-016-0396-7
- Panozzi M, Alì G, Proietti A. SMARCA4 as a support for the differential diagnosis of poorly differentiated lung carcinomas. Pathologica. 2023;115(3):164-171. doi:https://doi.org/10.32074/1591-951X-847
- Jennings L, Van Deerlin V, Gulley M. Recommended principles and practices for validating clinical molecular pathology tests. Arch Pathol Lab Med. 2009;133(5):743-755. doi:https://doi.org/10.5858/133.5.743
- Niesters H. Standardization and quality control in molecular diagnostics. Expert Rev Mol Diagn. 2001;1(2):129-131. doi:https://doi.org/10.1586/14737159.1.2.129
- Ahmad-Nejad P, Ashavaid T, Vacaflores Salinas A. Current and future challenges in quality assurance in molecular diagnostics. Clin Chim Acta. 2021;519:239-246. doi:https://doi.org/10.1016/j.cca.2021.05.004
- Barletta J, Perner S, Iafrate A. Clinical significance of TTF-1 protein expression and TTF-1 gene amplification in lung adenocarcinoma. J Cell Mol Med. 2009;13(8B):1977-1986. doi:https://doi.org/10.1111/j.1582-4934.2008.00594.x
- Das S, Ahlawat S, Sarangi J. TTF-1 immunohistochemistry in primary CNS tumors: A systematic review. Clin Neuropathol. 2024;43(5 & 6):138-146. doi:https://doi.org/10.5414/NP301642
- Affandi K, Tizen N, Mustangin M. p40 Immunohistochemistry Is an Excellent Marker in Primary Lung Squamous Cell Carcinoma. J Pathol Transl Med. 2018;52(5):283-289. doi:https://doi.org/10.4132/jptm.2018.08.14
- Garcia C, Swerdlow S. Best practices in contemporary diagnostic immunohistochemistry: panel approach to hematolymphoid proliferations. Arch Pathol Lab Med. 2009;133(5):756-765. doi:https://doi.org/10.5858/133.5.756
- Ordóñez N. Value of melanocytic-associated immunohistochemical markers in the diagnosis of malignant melanoma: a review and update. Hum Pathol. 2014;45(2):191-205. doi:https://doi.org/10.1016/j.humpath.2013.02.007
- Miettinen M, Wang Z, McCue P. SALL4 expression in germ cell and non-germ cell tumors: a systematic immunohistochemical study of 3215 cases. Am J Surg Pathol. 2014;38(3):410-420. doi:https://doi.org/10.1097/PAS.0000000000000116
- Rekhtman N. Neuroendocrine tumors of the lung: an update. Arch Pathol Lab Med. 2010;134(11):1628-1638. doi:https://doi.org/10.5858/2009-0583-RAR.1
- Viswanathan K, Siddiqui M, Borczuk A. Insulinoma-associated protein 1 is a sensitive and specific marker for lung neuroendocrine tumors in cytologic and surgical specimens. J Am Soc Cytopathol. 2019;8(6):299-308. doi:https://doi.org/10.1016/j.jasc.2019.06.002
- Tsai H, Hornick J, Vivero M. INSM1 expression in a subset of thoracic malignancies and small round cell tumors: rare potential pitfalls for small cell carcinoma. Mod Pathol. 2020;33(8):1571-1580. doi:https://doi.org/10.1038/s41379-020-0517-0
- Das S, Ahlawat S, Jain P. Neuroendocrine Tumors of the Endometrium: a Case Series with Clinico-Pathological Analysis and Review of Literature. Indian J Surg Oncol. 2025;16(1):211-220. doi:https://doi.org/10.1007/s13193-024-02047-0
- Chatzopoulos K, Boland J. Update on genetically defined lung neoplasms: NUT carcinoma and thoracic SMARCA4-deficient undifferentiated tumors. Virchows Arch. 2021;478(1):21-30. doi:https://doi.org/10.1007/s00428-020-03011-3
- Sholl L, Nishino M, Pokharel S. Primary Pulmonary NUT Midline Carcinoma: Clinical, Radiographic, and Pathologic Characterizations. J Thorac Oncol. 2015;10(6):951-959. doi:https://doi.org/10.1097/JTO.0000000000000545
- Sullivan L, Folpe A, Pawel B. Epithelioid sarcoma is associated with a high percentage of SMARCB1 deletions. Mod Pathol. 2013;26(3):385-392. doi:https://doi.org/10.1038/modpathol.2012.175
- Jo V, Fletcher C. Epithelioid malignant peripheral nerve sheath tumor: clinicopathologic analysis of 63 cases. Am J Surg Pathol. 2015;39(5):673-682. doi:https://doi.org/10.1097/PAS.0000000000000379
- Miettinen M, McCue P, Sarlomo-Rikala M. Sox10--a marker for not only schwannian and melanocytic neoplasms but also myoepithelial cell tumors of soft tissue: a systematic analysis of 5134 tumors. Am J Surg Pathol. 2015;39(6):826-835. doi:https://doi.org/10.1097/PAS.0000000000000398
- Hung Y, Fletcher C, Hornick J. Evaluation of ETV4 and WT1 expression in CIC-rearranged sarcomas and histologic mimics. Mod Pathol. 2016;29(11):1324-1334. doi:https://doi.org/10.1038/modpathol.2016.140
- Macedo R, Baranovska-Andrigo V, Pancsa T. Nuclear DUX4 immunohistochemistry is a highly sensitive and specific marker for the presence of CIC::DUX4 fusion in CIC-rearranged sarcomas: a study of 48 molecularly confirmed cases. Histopathology. 2025;86(3):423-432. doi:https://doi.org/10.1111/his.15341
- Mariño-Enríquez A, Wang W, Roy A. Epithelioid inflammatory myofibroblastic sarcoma: An aggressive intra-abdominal variant of inflammatory myofibroblastic tumor with nuclear membrane or perinuclear ALK. Am J Surg Pathol. 2011;35(1):135-144. doi:https://doi.org/10.1097/PAS.0b013e318200cfd5
- Sarmiento D, Clevenger J, Masters G. Epithelioid inflammatory myofibroblastic sarcoma: a case report. J Thorac Dis. 2015;7(10):E513-E516. doi:https://doi.org/10.3978/j.issn.2072-1439.2015.10.55
- Sullivan H, Edgar M, Cohen C. The utility of ERG, CD31 and CD34 in the cytological diagnosis of angiosarcoma: an analysis of 25 cases. J Clin Pathol. 2015;68(1):44-50. doi:https://doi.org/10.1136/jclinpath-2014-202629
- Dainese E, Pozzi B, Milani M. Primary pleural epithelioid angiosarcoma. A case report and review of the literature. Pathol Res Pract. 2010;206(6):415-419. doi:https://doi.org/10.1016/j.prp.2009.11.008
- Li H, Ren B, Yu S. The clinicopathological significance of thymic epithelial markers expression in thymoma and thymic carcinoma. BMC Cancer. 2023;23(1). doi:https://doi.org/10.1186/s12885-023-10619-6
- Kushitani K, Takeshima Y, Amatya V. Immunohistochemical marker panels for distinguishing between epithelioid mesothelioma and lung adenocarcinoma. Pathol Int. 2007;57(4):190-199. doi:https://doi.org/10.1111/j.1440-1827.2007.02080.x
- Kim J, Woo J, Lim C. SMARCA4-deficient non-small cell lung carcinoma: clinicodemographic, computed tomography, and positron emission tomography-computed tomography features. J Thorac Dis. 2024;16(3):1753-1764. doi:https://doi.org/10.21037/jtd-23-1606
- Jiang J, Chen Z, Gong J. Thoracic SMARCA4-deficient undifferentiated tumor. Discov Oncol. 2023;14(1). doi:https://doi.org/10.1007/s12672-023-00639-w
- Luo J, Ding B, Campisi A. Molecular, clinicopathological characteristics and surgical results of resectable SMARCA4-deficient thoracic tumors. J Cancer Res Clin Oncol. 2023;149(8):4455-4463. doi:https://doi.org/10.1007/s00432-022-04359-6
- Longo V, Catino A, Montrone M. Treatment of Thoracic SMARCA4-Deficient Undifferentiated Tumors: Where We Are and Where We Will Go. Int J Mol Sci. 2024;25(6). doi:https://doi.org/10.3390/ijms25063237
- Shinno Y, Ohe Y. Thoracic SMARCA4-deficient undifferentiated tumor: current knowledge and future perspectives. Jpn J Clin Oncol. 2024;54(3):265-270. doi:https://doi.org/10.1093/jjco/hyad175
- Shinno Y, Yoshida A, Masuda K. Efficacy of Immune Checkpoint Inhibitors in SMARCA4-Deficient Thoracic Tumor. Clin Lung Cancer. 2022;23(5):386-392. doi:https://doi.org/10.1016/j.cllc.2022.03.005
- Lin Y, Yu B, Sun H. Promising efficacy of immune checkpoint inhibitor plus chemotherapy for thoracic SMARCA4-deficient undifferentiated tumor. J Cancer Res Clin Oncol. 2023;149(11):8663-8671. doi:https://doi.org/10.1007/s00432-023-04806-y
- Li X, Tian S, Shi H. The golden key to open mystery boxes of SMARCA4-deficient undifferentiated thoracic tumor: focusing immunotherapy, tumor microenvironment and epigenetic regulation. Cancer Gene Ther. 2024;31(5):687-697. doi:https://doi.org/10.1038/s41417-024-00732-4
- Mardinian K, Adashek J, Botta G. SMARCA4: Implications of an Altered Chromatin-Remodeling Gene for Cancer Development and Therapy. Mol Cancer Ther. 2021;20(12):2341-2351. doi:https://doi.org/10.1158/1535-7163.MCT-21-0433
- Kunimasa K, Okami J, Takenaka S. Conversion Surgery for Advanced Thoracic SMARCA4-Deficient Undifferentiated Tumor With Atezolizumab in Combination With Bevacizumab, Paclitaxel, and Carboplatin Treatment: A Case Report. JTO Clin Res Rep. 2021;2(11). doi:https://doi.org/10.1016/j.jtocrr.2021.100235
- Fernando T, Piskol R, Bainer R. Functional characterization of SMARCA4 variants identified by targeted exome-sequencing of 131,668 cancer patients. Nat Commun. 2020;11(1). doi:https://doi.org/10.1038/s41467-020-19402-8
Downloads
License
This work is licensed under a Creative Commons Attribution-NonCommercial-NoDerivatives 4.0 International License.
Copyright
Copyright (c) 2025 Società Italiana di Anatomia Patologica e Citopatologia Diagnostica, Divisione Italiana della International Academy of Pathology
How to Cite
- Abstract viewed - 1408 times
- PDF downloaded - 762 times

