Case reports
Vol. 117: Issue 6 - December 2025
Relevance of next-generation sequencing in the differential diagnosis of meningeal mesenchymal tumors: primary meningeal dedifferentiated chondrosarcoma of the cavernous sinus
Summary
Primary mesenchymal tumors of the meninges include various types, with meningioma being the most prevalent. Non-meningothelial primary tumors of the meninges are uncommon and present diagnostic difficulties due to their potential morphological similarities with each other and with the anaplastic subtype of meningioma. Intracranial dedifferentiated chondrosarcoma is extremely rare and is defined by the presence of both a conventional chondrosarcoma component and a non-cartilaginous sarcoma component. Diagnosing this tumor can be particularly challenging in biopsy samples or when the chondrosarcoma component is not prominently represented. We report a rare case of dedifferentiated chondrosarcoma of the cavernous sinus in a specimen containing only the dedifferentiated component and exhibiting an IDH1 mutation, underscoring the importance of genetic characterization for the differential diagnosis of tumors in this anatomical region. Given the recent evidence supporting the efficacy of IDH inhibitors in chondrosarcomas, identifying mutations in these genes may also have significant therapeutic implications.
Introduction
Primary mesenchymal tumors of the meninges are a heterogeneous group, with meningiomas being the most common. These latter account for approximately 42% of all primary tumors of the central nervous system (CNS)1, and, according to the 2021 World Health Organization (WHO) classification of CNS tumors, are classified into 15 histological subtypes and three grades of malignancy based on histopathological and genetic criteria2. In detail, meningiomas are classified as CNS WHO grade 3 (anaplastic subtype) in the presence of a mitotic index of ≥ 20 mitoses/1.6 mm2 and/or a morphological aspect reminiscent of carcinoma, high-grade sarcoma or melanoma, and/or pTERT mutation, and/or CDKN2A/B homozygous deletion2. Owing to their possible sarcomatous appearance, WHO grade 3 meningiomas should be differentiated from malignant non-meningothelial primary mesenchymal tumors that can rarely affect the meninges.
Non-meningothelial primary mesenchymal tumors of the meninges are rare, accounting for less than 1.2% of all primary CNS tumors3. These include either benign or malignant tumors, the latter comprising rhabdomyosarcoma, Ewing sarcoma, chondrosarcoma, and the recently identified intracranial mesenchymal tumor FET::CREB fusion-positive, CIC-rearranged sarcoma, and primary intracranial sarcoma DICER1-mutant4. Within this group, chondrosarcomas represent a class of malignant mesenchymal tumors characterized by cartilaginous differentiation, and may rarely exhibit extraosseous localization in the intracranial meninges4. Chondrosarcomas are classified into conventional, dedifferentiated, mesenchymal, and clear cell subtypes, with the conventional subtype being the most prevalent. Dedifferentiated chondrosarcoma is a high-grade variant characterized by a biphasic morphology comprising a conventional chondrosarcoma component and a high-grade non-cartilaginous sarcoma component4. Differential diagnosis of dedifferentiated chondrosarcoma can be challenging in biopsy samples in which the conventional component is absent or minimal.
In this report, we present a rare case of intracranial dedifferentiated chondrosarcoma located in the cavernous sinus, emphasizing the importance of genetic sequencing for the differential diagnosis of meningeal tumors with sarcomatous morphology and for possible therapeutic implications.
Case report
Due to diplopia, a 46-year-old man performed ophthalmic and neurological examinations, which revealed palsy of the right medial rectum and trigeminal neuralgia. Magnetic resonance imaging (MRI) demonstrated a mass with a calcified core in the right cavernous sinus with no apparent relations to the skull bone (Fig. 1). Transphenoidal biopsy of the mass was performed at another hospital, but the histological examination was inconclusive owing to the paucity of neoplastic tissue in the specimen.
One year later, the patient was referred to our hospital, where MRI revealed a volumetric increase in the previously identified lesion, which displayed irregular margins and inhomogeneous contrast enhancement, and encased the carotid artery. Owing to worsening clinical symptoms and development of right facial hypoesthesia, the patient underwent partial removal of the lesion. During surgical resection, it appeared as a soft mass adherent to the dura and underlying brain parenchyma, and entrapped the cranial nerves within the cavernous sinus.
Histological examination revealed a highly cellular tumor, composed of spindle or epithelioid cells with frequent mitoses (mitotic index: 22/1.6 mm2). The tumor featured necrosis and areas of osseous differentiation, and infiltrated the dura, nerve fibers, and brain parenchyma (Fig. 1).
Based on morphological features, meningioma anaplastic subtype, gliosarcoma, pleomorphic sarcoma, osteosarcoma and dedifferentiated chondrosarcoma were considered in the differential diagnosis.
Immunohistochemical analysis revealed that the neoplastic cells were positive for podoplanin (clone D2-40; DAKO Agilent, CA, USA; 1:50), focally positive for EMA (clone E29; DAKO Agilent, CA, USA; 1:400) and negative for progesterone receptor (clone PgR 1294; DAKO Agilent, CA, USA; prediluted), SSTR2A (clone EP149; Bio Sb, CA, USA; prediluted), cytokeratins (clone AE1/AE3; Leica Biosystems, IL, USA; 1:100), GFAP (clone GA5, prediluted; Leica Biosystems, IL, USA), OLIG2 (clone EPR2673; Abcam, Italy; 1:100), S-100 protein (polyclonal; DAKO Agilent, CA, USA; 1:3000), CD34 (clone QBEND/10; Leica Biosystems, IL, USA; prediluted), IDH1 R132H (clone H09; Dianova, Germany; 1:20), p63 (clone BC28, prediluted; Leica Biosystems, IL, USA), myogenin (clone F5D; DAKO Agilent, CA, USA; 1:50), desmin (clone DE-R-11, prediluted; Leica Biosystems, IL, USA), SOX9 (clone EPR14335; Abcam, Italy; 1:2000), and SOX10 (clone EP268, Merk Life Science S.r.l., Italy; 1:200) (Fig. 1). ATRX immunoexpression was lost in neoplastic cells (clone X1; Dianova, Germany; 1:200) (Fig. 1). P53 was negative (clone DO-7, Leica Biosystems, Newcastle, UK; pre-diluted). The immune-expression of H3 K27me3 (clone C36B11; Cell Signalling, The Neitherlands: 1:200) was retained. The Ki-67 (clone MN1; Leica Biosystems, IL, USA; pre-diluted) labeling index was 40%.
The absence of glial marker expression effectively excluded the possibility of gliosarcoma or other glial tumors. Similarly, the lack of epithelial marker staining ruled out dedifferentiated carcinoma. Furthermore, the preserved expression of H3 K27me3 contradicted the diagnosis of a malignant peripheral nerve sheath tumor. Owing to the focal positivity for EMA, the anaplastic meningioma subtype could not be excluded. However, the strong and diffuse positivity for podoplanin favored chondrosarcoma5.
The tumor was analyzed using the SureSelectXT HS CD Glasgow Cancer Core assay, which spans 1.85 Mb of the genome and interrogates 174 genes (Supplementary File 1) for somatic mutations, copy number alterations, and structural rearrangements. Next-generation sequencing (NGS) identified mutations in IDH1 (p.R132C; variant allele frequency [VAF]: 31%), TP53 (p.P191del; VAF: 83%), and RB1 (p.E746Gfs*3; VAF: 18%); amplification of EGFR (8 copies), IGF1R (10 copies), and YAP1 (8 copies), and homozygous deletion of ATRX. In addition, NGS revealed a complex copy number variation (CNV) profile, characterized by loss of heterozygosity (LOH) of chromosomes (chr) 1q42.12-q44 and 9p24.3-p24.1, copy neutral LOH of chr4p16.3-p16.1, chr4q34.1-q35.2, chr5p, chr7q32.2-q36.3, chr9p23-p11.2, chr10p, chr12, chr16p, chr17p, chr18p, and chr21q, and gains of chr1p, chr2p, chr6p, and chr19p.
Based on the histological, immunohistochemical, and genetic findings, the tumor was finally diagnosed as dedifferentiated chondrosarcoma.
The patient received radiotherapy and was alive 9 months after diagnosis.
Discussion
Chondrosarcomas of the cavernous sinus are rare, representing approximately 5% of all surgically excised lesions in this anatomical region and less than 1% of all chondrosarcomas3. Within this group, dedifferentiated chondrosarcomas are exceedingly rare, with only four intracranial cases, and two in the cavernous sinus, documented in the English literature6-8. The cavernous sinus is a complex anatomical region characterized by an extradural venous plexus located within the dural folds. This area is traversed by several critical structures including the carotid artery, cranial nerves, and sympathetic nerve fibers. The diverse anatomical components of the cavernous sinus can give rise to various neoplastic and non-neoplastic lesions, among which meningiomas and schwannomas are the most frequent. Lesions in the cavernous sinus manifest through similar clinical symptoms, such as ophthalmoplegia or trigeminal sensory loss, and exhibit similar radiological findings. Consequently, histopathology plays a crucial role in the diagnosis and treatment planning of these lesions. However, the histological diagnosis of dedifferentiated chondrosarcomas may be particularly challenging if the conventional chondrosarcoma component is absent, as in the present case, or underrepresented. Indeed, the dedifferentiated component of these tumors shares morphological similarities with other tumors, including undifferentiated pleomorphic sarcoma or osteosarcoma, or anaplastic meningioma. Further increasing the diagnostic challenges, some dedifferentiated chondrosarcomas may display carcinomatous histological differentiation and cytokeratin immunoexpression, or may lack S100 immunostaining which is considered an hallmark of chondrosarcomas7, as observed in the present case. Herein, the sarcomatous/carcinomatous morphology combined with immunohistochemical positivity for EMA and the apparent origin from the meninges initially suggested a diagnosis of anaplastic meningioma. Although the presence of epithelioid cells could indicate metastatic carcinoma, this possibility was excluded because of the absence of keratin and p63 immunoreactivity. The sarcomatous appearance and presence of the bone matrix also prompted the consideration of osteosarcoma in the differential diagnosis. The diffuse and strong immunohistochemical positivity for podoplanin, which was reported in chondrosarcoma but not in histologically similar tumor types5, along with morphological features, prompted consideration of dedifferentiated chondrosarcoma. The final diagnosis of dedifferentiated chondrosarcoma was achieved owing to molecular profiling, which revealed an IDH1 p. R132C mutation. Indeed, mutations in IDH1/2 have been identified in a large proportion of chondrosarcomas, but not in meningiomas, undifferentiated pleomorphic sarcomas of the bone, or osteosarcomas9. With regards to dedifferentiated chondrosarcomas, IDH1/2 mutations were previously identified in 20 of 23 extra-cranial cases and in 2 of the 4 intracranial cases reported, of which only one was in the cavernous sinus7,8. Notably, less than 5% of mutated tumors harbored IDH1 p. R132H mutation9, which is detectable using a specific antibody; therefore, immunohistochemistry has a limited role in identifying IDH mutations in dedifferentiated chondrosarcomas, whereas molecular assays are required to detect this genetic alteration in most cases. Although IDH1 mutations were also detected in rare meningiomas10, the tumor lacked other typical genetic alterations of anaplastic meningiomas, such as NF2 or pTERT mutations, 1p loss, or CDKN2A/B homozygous deletion1.
TP53 mutation is also part of the molecular portrait of dedifferentiated chondrosarcoma3 and was detected in the present case. The detected alteration was a gene deletion and lead to the absence of P53 immunostaining. While ATRX missense mutations or frameshift deletions have been identified in two cases of conventional chondrosarcoma, this is the first case of dedifferentiated chondrosarcoma characterized by an ATRX homozygous deletion11. This genetic alteration led to the immunohistochemical loss of ATRX in tumor cells. Consequently, in this dedifferentiated chondrosarcoma, IDH1 mutation was associated with ATRX and TP53 alterations, similar to what is typically observed in IDH-mutant astrocytomas.
Owing to the recent data supporting the efficacy of IDH inhibitors in IDH-mutant chondrosarcomas, the differential diagnosis of these tumors towards morphological mimickers is also relevant for therapeutic purposes12.
Conclusions
We report a rare case of a dedifferentiated chondrosarcoma of the cavernous sinus. Because the surgical specimen contained only the dedifferentiated component and lacked the chondrosarcomatous component, the histological diagnosis was quite challenging, and the final diagnosis could be achieved only by NGS, showing IDH1/2 mutations that can be present in dedifferentiated chondrosarcomas but not in histological mimickers. Aside allowing the differential diagnosis versus histological mimickers, the molecular profiling, leading to the identification of IDH mutations, can have relevant therapeutic implications related to the potential efficacy of IDH inhibition in these tumors.
CONFLICTS OF INTEREST
We have no conflicts of interest to declare
FUNDING
This study was supported by Italian Ministry of University and Research, through the “Project of significant national interest” (PRIN 2022; code: 22022H73242; CUP: B53D23008120006). The sponsor was not involved in the research.
AUTHORS’ CONTRIBUTIONS
Conception: NC, VB; Data collection: NC, VB; Histological assessment: NC, VB; Molecular analyses: GHG, AM; Interpretation: NC, GHG, AM, VB; Writing (original draft): NC, VB; Writing (review and editing): NC, GHG, AM, VB; Supervision: VB
ETHICAL CONSIDERATION
The present study complied with the Ethical Principles for Medical Research Involving Human Subjects according to the World Medical Association Declaration of Helsinki; samples were anonymized before histology, immunohistochemistry and NGS; no further ethical approval was necessary to perform the retrospective study.
The non-interventional and retrospective nature of our study did not require any informed consent, even if written informed consent had been obtained from the patient before surgical procedures. The clinical information was retrieved from the patients’ medical records and pathology reports. Patients’ initials or other personal identifiers did not appear in any image.
Histroy
Received: May 23, 2025
Accepted: August 4, 2025
Figures and tables
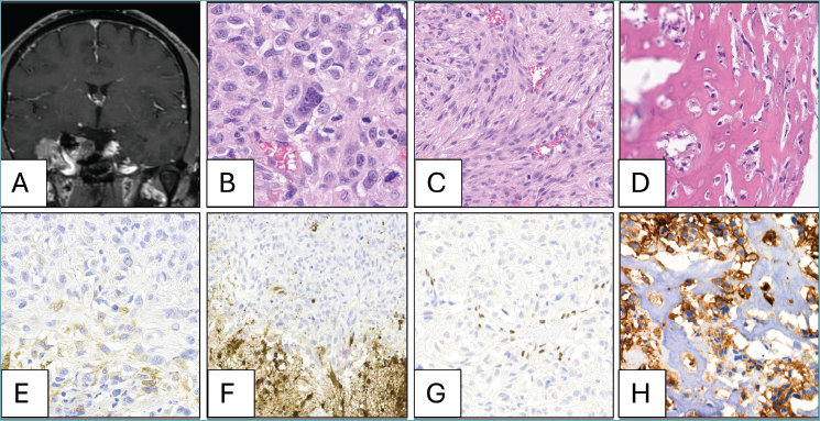
Figure 1. Imaging, histopathological and immunohistochemical features of meningeal dedifferentiated chondrosarcoma. (A) MRI demonstrates a tumor mass in the right cavernous sinus. The tumor was composed of epithelioid (B) and spindle cells with brisk mitotic activity (C)and displayed areas of osseous differentiation (D). Tumor cells were focally positive for EMA (E). S100 immunostaining was positive in the infiltrated brain parenchyma, but not in the neoplastic cells (F). ATRX was negative (endothelial cells served as internal positive control for the immune-reaction) (G). Tumor cells were diffusely and strongly positive for podoplanin (H).
| Genes included in CORE targeted sequencing assay and types of alterations reported | |||||||||
|---|---|---|---|---|---|---|---|---|---|
| AKT1 | B2M | CDKN1A | ERG | HIST1H3B | KMT2A | MYB | PDGFRB | RHOA | STAT5B |
| AKT2 | BAP1 | CDKN1B | ESR1 | HIST1H3C | KRAS | MYC | PHF6 | RNF43 | STK11 |
| AKT3 | BCL2 | CDKN2A | ETV6* | HIST2H3C | MAP2K1 | MYCN | PIK3CA | ROS1 | SYK |
| ALK | BLM | CDKN2B | EZH2 | HLA-A | MAP2K2 | NBN | PIK3CB | RPL5 | TERT |
| AMER1 | BRAF | CHEK2 | FAS | HLA-B | MAP2K4 | NF1 | PIK3R1 | RUNX1 | TGFBR2 |
| APC | BRCA1 | CIITA | FBXW7 | HLA-C | MAP3K1 | NF2 | PMS2 | SETBP1 | TP53 |
| APLNR | BRCA2 | CREBBP | FGF19 | HNF1A | MAPK1 | NFE2L2 | POLE | SETD2 | TSC1 |
| AR | CBL | CTCF | FGFR1 | HRAS | MAX | NOTCH1 | POLQ | SF3B1 | TSC2 |
| ARAF | CCND1 | CTNNB1 | FGFR2 | IDH1 | MCL1 | NOTCH2 | PPP2R1A | SMAD4 | U2AF1 |
| ARID1A | CCND2 | DAXX | FGFR3 | IDH2 | MDM2 | NOTCH3 | PTCH1 | SMARCA4 | VHL |
| ARID1B | CCND3 | DICER1 | FGFR4 | IGF1R | MED12 | NOTCH4 | PTEN | SMARCB1 | WT1 |
| ARID2 | CCNE1 | DNMT3A | GATA3 | JAK1 | MEN1 | NPM1 | PTPN11 | SMO | YAP1 |
| ASXL1 | CD274 | EGFR | GNA11 | JAK2 | MET | NRAS | RAC1 | SOCS1 | |
| ATM | CD58 | EP300 | GNAQ | JAK3 | MLH1 | NTRK1 | RAD21 | SPOP | |
| ATR | CDK12 | EPHA3 | GNAS | JUN | MSH2 | PALB2 | RAD50 | SRC | |
| ATRX | CDK2 | ERBB2 | H3F3A | KDR | MSH6 | PBRM1 | RAF1 | STAG1 | |
| AURKA | CDK4 | ERBB3 | H3F3B | KIT | MTOR | PDCD1LG2 | RB1 | STAG2 | |
| AXL | CDK6 | ERBB4 | HGF | KLF4 | MUTYH | PDGFRA | RET | STAT3 | |
| Coding exons | Coding and copy number | Copy number only | Full gene footprint for structural variants | Fusions detected* ETV6 reports NTRK3 fusions | |||||||||
References
- Price M, Ballard C, Benedetti J. CBTRUS Statistical Report: Primary Brain and Other Central Nervous System Tumors Diagnosed in the United States in 2017-2021. Neuro Oncol. 2024;26:vi1-vi85. doi:https://doi.org/10.1093/neuonc/noae145
- Sahm F, Perry A, von Deimling A, Claus E, Mawrin C, Brastianos P, Santagata S. WHO Classification of Tumours Editorial Board Central Nervous System Tumours. (Brat D, Ellison D, Figarella-Branger D, Hawkins C, Louis D, Ng H, Perry A, Pfister S, Refeinberger G, Soffietti R, von Deimling A, Wesseling P, eds.). International Agency for Research on Cancer; 2021.
- Nagaraja C, Ramalingaiah A, Arimappamagan A. Spectrum of Surgically Resected Lesions of the Cavernous Sinus: A Neuropathologic Audit. J Neurosci Rural Pract. 2022;13:495-509. doi:https://doi.org/10.1055/s-0042-1750707
- Lazar A, Ng H. WHO Classification of Tumours Editorial Board Central Nervous System Tumours. (Brat D, Ellison D, Figarella-Branger D, Hawkins C, Louis D, Ng H, Perry A, Pfister S, Refeinberger G, Soffietti R, von Deimling A, Wesseling P, eds.). International Agency for Research on Cancer; 2021.
- Cho H, Lee M, Takei H. Immunohistochemical comparison of chordoma with chondrosarcoma, myxopapillary ependymoma, and chordoid meningioma. Appl Immunohistochem Mol Morphol. 2009;17:131-1388. doi:https://doi.org/10.1097/PAI.0b013e3181866a13
- Bloch O, Jian B, Yang I. A systematic review of intracranial chondrosarcoma and survival. J Clin Neurosci. 2009;16:1547-51. doi:https://doi.org/10.1016/j.jocn.2009.05.003
- Gao L, Hong X, Guo X. Targeted next-generation sequencing of dedifferentiated chondrosarcoma in the skull base reveals combined TP53 and PTEN mutations with increased proliferation index, an implication for pathogenesis. 2016;7:43557-43569. doi:https://doi.org/10.18632/oncotarget.9618
- Varachev V, Shekhtman A, Guskov D. Diagnostics of IDH1/2 Mutations in Intracranial Chondroid Tumors: Comparison of Molecular Genetic Methods and Immunohistochemistry. Diagnostics. Published online 2024. doi:https://doi.org/10.3390/diagnostics14020200
- Amary M, Bacsi K, Maggiani F. IDH1 and IDH2 mutations are frequent events in central chondrosarcoma and central and periosteal chondromas but not in other mesenchymal tumours. J Pathol. 2011;224:334-343. doi:https://doi.org/10.1002/path.2913
- Gill C, Loewenstern J, Rutland J. Recurrent IDH mutations in high-grade meningioma. Neuro Oncol. 2020;22:1044-1045. doi:https://doi.org/10.1093/neuonc/noaa065
- Chen S, Fritchie K, Wei S. Diagnostic utility of IDH1/2 mutations to distinguish dedifferentiated chondrosarcoma from undifferentiated pleomorphic sarcoma of bone. Hum Pathol. 2017;65:239-246. doi:https://doi.org/10.1016/j.humpath.2017.05.015
- Tap W, Cote G, Burris H. Phase I study of the mutant IDH1 inhibitor ivosidenib: long-term safety and clinical activity in patients with conventional chondrosarcoma. Clin Cancer Res. 2025;31:2108-2114. doi:https://doi.org/10.1158/1078-0432.CCR-24-4128
License
This work is licensed under a Creative Commons Attribution-NonCommercial-NoDerivatives 4.0 International License.
Copyright
Copyright (c) 2026 Società Italiana di Anatomia Patologica e Citopatologia Diagnostica, Divisione Italiana della International Academy of Pathology
How to Cite
- Abstract viewed - 271 times
- PDF downloaded - 132 times
- SUPPL. FILE downloaded - 0 times
