Case reports
Vol. 117: Issue 6 - December 2025
Gastric perineurioma detected in routine endoscopy biopsy practice: case report and review of clinico-pathological findings in the literature
Summary
Perineuriomas are soft tissue neoplasms composed almost entirely of cells resembling perineurium and their occurrence in gastrointestinal tract is quite rare, with most of reported cases occurring in the colon. No more than 12 cases of gastric perineurioma have been reported to date, and the diagnosis in a routine endoscopy biopsy service can be challenging given the broad differentials of a bland-looking spindle cell proliferation in gastric mucosa. Here we present a case of a gastric perineurioma in a 39-year-old woman detected in routine endoscopy biopsy where a high degree of suspicion of the pathologist and targeted immunohistochemical investigations for perineurial markers EMA and GLUT1 allowed the correct diagnosis. Reviewing the literature, it appears that gastric perienuriomas most commonly occur in mid-age females and are often detected in routine endoscopies, with appearance of a benign-looking mid-sized sessile polyp. Special attention is needed to discriminate with GIST to avoid inappropriate further investigations and overtreatment. Moreover, we speculate that these lesions are likely underrecognized in busy routine gastrointestinal biopsy service, as most are probably dismissed as benign mesenchymal polyps/submucosal proliferations after exclusion of GIST or are misdiagnosed as inflammatory fibroid polyp in the case of CD34 positivity. However, the case presented demonstrates that, in light of the apparently typical occurrence in mid-aged females with endoscopic impression of benign polyp of the body, general pathologists of routine biopsy services should also have a high degree of suspicion and maybe add a perineural marker to their panel.
Introduction
Perineuriomas are soft tissue neoplasms composed almost entirely of cells resembling perineurium and are most often considered as soft tissue and cutaneous mesenchymal tumors, while their occurrence in gastrointestinal tract is much rarer. They usually occur as polyps in screening colonoscopies, as their most frequent site of occurrence in gastrointestinal tract is distal colon, and their characteristics are well-documented 1-3. On the contrary, gastric perineuriomas are even rarer, with less than a dozen reported cases according to recent reviews and frequently comprised in general umbrella-term of benign fibroblastic polyp 4,5. Differential diagnostics of mesenchymal lesions/benign fibroblastic polyps in the stomach is quite broad and some entities may present overlapping morphological features which can challenge surgical pathologists in routine biopsy practice. Here we present a case of gastric perineurioma where a step-wise approach with only immunohistochemical (IHC) investigations allowed to establish the diagnosis, together with thorough review of the literature with focus on the clinicopathological features and discussion of main differential diagnoses.
Case report
A 39-year-old woman underwent routine endoscopy for reflux-type symptoms and epigastric discomfort at an outpatient routine gastrointestinal biopsy private practice. Endoscopy revealed a 0.7-cm polypoid lesion with superficial changes compatible with low-grade lesion on the fundus of the stomach (Fig. 1). No macroscopic erosions or ulcerations were described, and a biopsy sampling was performed. Histopathologically, the lesion consisted of a non-encapsulated proliferation of bland-appearing spindle cells, uniformly distributed in fascicles involving the lamina propria and submucosa. The surface epithelium was mostly intact with mild inflammation and separation of the pits and glands by the spindle cell proliferation. Cytologically, the spindle cells had pale, indistinct eosinophilic cytoplasm with either plump or slender tapering nuclei with inconspicuous nucleoli, with no cytological atypia, necrosis or mitoses present, while tiny thin-walled vessels and mast-cells were interspersed throughout the proliferation (Fig. 2). The first differential diagnoses to take into account were gastrointestinal stromal tumor (GIST) and inflammatory fibroid polyp, followed by a lesion of neural origin such as schwannoma or perineurioma, and with less probability a smooth muscle lesion. An immunohistochemical panel with CD117, S100 protein, CD34, epithelial membrane antigen (EMA) and smooth muscle-actin (SMA) was performed to cover the main differentiation lineages. The proliferation stained positive with EMA at low intensity, while the other markers were negative in presence of well-stained internal controls. To definitely exclude a GIST or a leiomuscolar lesion and to confirm the diagnosis of a perineurioma, additional staining for DOG1, desmin and GLUT1 was performed and showed strong and diffuse positivity for GLUT1 and complete negativity of the others (Fig. 3). Subsequently, the patient underwent complete endoscopic resection of the polyp and final histology showed identical picture of the initial biopsy material. Clipping to prevent bleeding was performed at time of second endoscopy, and given the benign nature of the lesion no further treatment was indicated.
Discussion
Gastric perineuriomas are exceedingly rare entity, and in our literature review we found a total of 12 cases excluding the present one (Tab. I) 4,6-16. Correct diagnosis of gastric perineurioma could be challenging, as several other entities can morphologically resemble perineurioma, especially in a busy routine GI endoscopy biopsy practice service. The primary differential diagnosis of a bland-appearing spindle cell proliferation in the gastric mucosa comprises GIST, inflammatory fibroid polyp (IFP), and neural tumors such as schwannoma and neurofibroma, while leiomyoma and low-grade fibromyxoid sarcoma (LGFMS) are lesser common entities in this region. With careful morphological correlation, this differential could be handled with the sole use of IHC investigations, with no need for molecular analyses, in the vast majority of cases. Distinguishing gastric perineuriomas from other spindle cell neoplasms is essential due to the presumed benign nature of these lesions. GISTs are typically positive for CD117 and DOG1, which are negative in perineuriomas, even though potential weak expression of CD117 could be a source of confounding. Indeed, perienurioma with reticular appearance has been reported in the case of Richter et al., where however molecular examination for c-KIT and PDGFR alteration was negative and immunostaining for EMA was positive 8. Inflammatory fibroid polyps are more commonly seen in the stomach and are one of the top differential diagnoses with gastric perineurioma. They are often submucosal-centered lesions with mucosal extension and have a characteristic perivascular spindle cell proliferation, as well as a prominent component of eosinophils, which is a helpful feature in differentiating from perineuriomas 11. Moreover, the majority of IFPs express CD34 which is commonly negative in perineurioma, and also when CD34 is negative in IFP the lack of staining of perineural markers EMA and GLUT1 allows to discriminate between the two lesions. Another marker for perineural cells and hence very specific to diagnosing perineurioma is claudin-1 (not available in our lab), also when other perineurial markers are negative, as it has shown no relevant correlation with other markers EMA and GLUT1, according to recent review on GI perineuriomas 5.
Leiomyomas most commonly occur in the gynecologic tract but can occur in the GI tract as well. Unlike perineuriomas, leiomyomas typically express smooth muscle markers (desmin, SMA, calponin, or caldesmon), and scattered CD117-positive mast cells are commonly seen as well as in benign proliferations of neural differentiation. Indeed, gastric neural tumor or nerve sheet tumors are much more common differential diagnoses of bland spindle cell proliferations in the stomach. Moreover, gastric schwannoma often lacks typical Antoni A and B areas and true nuclear palisading 17, while benign nerve sheet tumors involve submucosa and lamina propria with displacing of glands and pits 11. However, they usually express S100 protein, which sets them apart from perineuriomas. Finally, an even less common entity in the differentials may be LGFMS which is however typically positive for MUC4.
Considering our patient and the clinicopathological characteristics within the context of the other cases reported in the literature, perineuriomas appear to be more common in females (ratio male:female 3:10) in the fifth to sixth decade (mean age 49.5 years, range 25-77). At present, the most recent review by Alenezi et al. 5 comprised all gastrointestinal perineuriomas and benign fibroblastic polyps, with focus on colonic lesions only, whereas our literature inspection focused on stomach only perineuriomas. The clinic-pathological and immunohistochemical features of the reported cases are summarized in Table II. Most of the patients including ours complained of epigastric pain/abdominal discomfort, and also reflux-type symptoms and bleeding were reported, but in one-third of cases the patient was asymptomatic and the endoscopy was performed for routine screening. The size of gastric perineuriomas ranges from 0.5 to 5 cm (mean 1.56 cm, median 1.5), while the most common endoscopy appearance was that of a sessile polyp with intact surface, mostly located in the body of stomach or fundus. Coming to the IHC markers deployed for differential diagnosis, the majority but not all cases were positive for EMA, with different degrees of staining intensity and distribution, three cases were variably or patchy positive for CD34 7,11,16, one case was reported positive for CD117 8, while all cases where GLUT1 was performed showed a strong and diffuse positivity. However, the authors of the case with expression of CD117 stated also that the presence of many CD117-positive mast-cells throughout the lesion may have led to the misleading interpretation as tumor cells and hence as GIST 8. No reported cases of gastric perineurioma were positive for S100, and instead this marker paired with EMA could be useful discriminating the schwannoma component in hybrid nerve sheet tumors in the gastrointestinal tract, as in the reports of gastric hybrid schwannoma-perineurioma tumors 18,19. Finally, little is known about the molecular landscape of these lesions. In the cases reported, only a recent case performed a next-generation sequencing analysis with finding of a mutation of MAP2K1 gene (c.599C > T, p.Ser200Phe variant of unknown significance) 14, while in the previous case of Richter et al. the sequencing of relevant exons of c-KIT and PDGFR genes together with fluorescence in situ hybridization (FISH) were performed for diagnostic purposes of confirming and/or excluding a GIST and a synovial sarcoma 8.
In summary, it appears how gastric perineuriomas are a rare lesion more commonly occurring in mid-age females, often asymptomatic or with unspecific abdominal discomfort, and with endoscopic appearance of a mid-sized sessile polyp with no suspicion of malignancy. Immunohistochemical investigation with a selected panel allows in almost all cases to establish the diagnosis, with special attention to the differential with GIST which could lead to inappropriate further investigations and overtreatment. Finally, concerning the rarity and prevalence of perineurioma in the stomach, it must be observed that probably these lesions are under-recognized in busy routine gastrointestinal biopsy service. Indeed, most of them are probably dismissed as benign mesenchymal polyps/submucosal mesenchymal proliferation with no evidence of malignancy features after exclusion of GIST with negative IHC for CD117 or misdiagnosed as inflammatory fibroid polyp in the case of CD34 positivity. However, the present case demonstrates that, in light of the apparently typical occurrence in mid-aged females with endoscopic impression of benign polyp of the body, general pathologists of routine biopsy services should also have a high degree of suspicion for this kind of lesion and maybe add a perineural marker to their panel.
CONFLICTS OF INTEREST STATEMENT
The authors declare no conflict of interest.
FUNDING
This research did not receive any specific grant from funding agencies in the public, commercial, or not-for-profit sectors.
AUTHORS’ CONTRIBUTIONS
IG conceptualization, data analysis, data curation, draft writing; SN data analysis, visualization, review and approval; FD data analysis, visualization, review and approval; RC, FE, EH visualization, review and approval.
ETHICAL CONSIDERATION
Informed consent was obtained by the patient regarding the use of patient health information for the purposes of writing a case report publication.
Institutional ethical approval not applicable.
History
Received: September 13, 2025
Accepted: November 22, 2025
Figures and tables
Figure 1. Endoscopy shows a sessile polyp smaller than 1 cm in the body of stomach with intact mucosa.
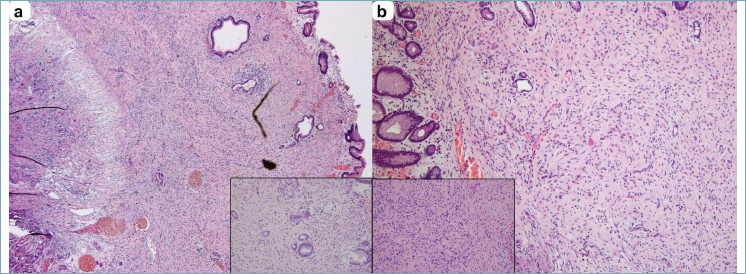
Figure 2. Non-encapsulated proliferation of bland-appearing spindle cells, uniformly distributed in fascicles involving the lamina propria and submucosa. The surface epithelium is mostly intact with mild inflammation and separation of the pits and glands by the spindle cell proliferation (a, higher magnification in inlet). Cytologically, the spindle cells show pale, indistinct eosinophilic cytoplasm with either plump or slender tapering nuclei with inconspicuous nucleoli, with no cytological atypia, necrosis or mitoses present, while tiny thin-walled vessels and mast-cells are interspersed throughout the proliferation (b, higher magnification in inlet).
Figure 3. An immunohistochemical panel with CD117, S100 protein, CD34, epithelial membrane antigen (EMA) and smooth muscle-actin (SMA) was performed to cover the main differentiation lineages. The proliferation stained positive with EMA at low intensity (a), while the other markers were negative in presence of well-stained internal controls. In detail, in CD117 is negative in presence of slightly stained glands and sparse mast-cells (b, see also inlet), CD34 is staining vessels only (c), S100 is completely negative (d, only isolated neural cells in inlet), and smooth muscle-actin is staining walls of vessels only (e). To definitely confirm the diagnosis of a perineurioma, additional staining GLUT1 showed strong and diffuse positivity (f).
| Author, year (Country) | Age (y) | Gender (M/F) | Symptoms | Endoscopic findings | Site | Size (cm) | IHC findings | Other investigations | Follow-up |
|---|---|---|---|---|---|---|---|---|---|
| Agaimy, 2005 (Germany) | 30 | F | Recurrent upper GI bleeding with hypochromic microcytic anemia | Bleeding, ulcerated mass | Lower body | 1.5 | Positive: EMA, vimentin, CD56 Negative: Keratins (AE1/ AE3, keratin 7, keratin 19, keratin 20), S-100 protein, SMA, desmin, HMB-45, Melan A, leukocyte common antigen, CD3, CD97a, CD21, CD35, CD34, factor VIII, CD30 (Ki-1), CD68 (KP-1), CD1a, and c-KIT/CD117 | None | NR |
| Agaimy, 2010 (Germany)* | 58 | M | Epigastric pain | Not reported | Not specified | 0.5x0.3x0.2 | Positive: EMA, variably CD34 Negative: S100, c-KIT/CD117, desmin, α-SMA, and h-caldesmon | None | Alive and well after 5 years |
| Chetty, 2010 (Canada)* | 58 | M | Recurrent epigastric pain | Small, pale, polypoid lesion | Antrum | 0.5x0.3x0.3 | Positive: EMA, CD34 Negative: c-KIT/CD117, S-100, desmin, SMA, muscle-specific actin, caldesmon, and cytokeratin | None | Alive and well after 3 years |
| Richter, 2012 (New Zealand) | 57 | F | No specific symptoms; routine work-up for obstruction Crohn’s disease | Submucosal lesion not suspicious | Antrum | 5 | Positive: EMA, cytokeratin, vimentin, and CD117 (weakly) Negative: S100, CD34, desmin, CK7, CD20, SMA, Chromogranin, CK5/6 and actin | DNA Sequencing of c-KIT exons 9, 11, 13, 17; PDGFRA exon 12, 14, 18; SS18 gene rearrangement (all negative) | Alive and well after 2 years |
| Muguruma, 2012 (Japan) | 45 | M | NR | Flat lesion with inflamed mucosa and hypoechoic area in wall | Body | 1.5 | Positive: EMA, claudin-1 | None | NR |
| Matsui, 2016 (Japan) | 51 | F | None reported; screening | Small, elevated lesion with a reddish depression | Fundus | NR | Positive: GLUT-1 and claudin-1 Negative: EMA, S-100, c-KIT/CD117, CD34, and SMA | None | NR |
| Hawes, 2017 (USA) | 25 | F | Epigastric abdominal pain, reflux-type symptoms, and nausea | Sessile polyp | Body | 0.8 | Positive: GLUT1, CD34 (patchy) Negative: EMA, c-KIT/CD117, S-100, desmin, SMA, ER, PR, synaptophysin, DOG1, and CD31 | None | NR |
| Weaver, 2020 (USA) | 47 | F | Intermittent nausea, vomiting, abdominal pain, and one episode of hematemesis for 3 weeks | Umbilicated subepithelial lesion with a reddish depression | Incisura angularis | 1.2 | Positive: GLUT-1 Negative: desmin, c-KIT/CD117, CD34, EMA, and S-100 | None | No recurrence or residual lesion at 4 months endoscopy follow-up |
| Srinivas, 2020 (USA) | 42 | F | Chronic dyspepsia, epigastric discomfort for 4 years | Umbilicated mass | Body | 2 | Positive: EMA, CD56, NKIC3, GLUT1 Negative: c-KIT/CD117, DOG1, CD34, SMA, desmin, keratin, and S-100 | None | 3 months, complete resolution of symptoms |
| Huber, 2023 (USA) | 57 | F | GERD, solid food dysphagia, vomiting with occasional hematemesis | Hiatal hernia, mild ringed appearance to the distal esophagus, mild gastric erythema, and multiple small polyps | Body | 1 | Positive: GLUT1, EMA (weakly) Negative: S-100, CD34, c-KIT/CD117, SOX10, SMA, and desmin | NGS panel with finding of MAP2K1 c.599C > T, p.Ser200Phe variant of unknown significance; copy number analysis negative | 9 months, alive and well with No reported GI symptoms |
| Yokosuka, 2023 (Japan) | 63 | F | None reported; screening | Slightly faded, flat, and elevated lesion with an irregular glandular duct structure, suspicious for carcinoma | Body, greater curvature | 1.5 | Positive: GLUT1, CD34 Negative: EMA, S100, SMA, desmin, c-KIT/CD117, DOG1, CK AE1-AE3, Ki67 1% | None | NR |
| Vitale, 2024 (USA) | 52 | F | Abdominal pain, gastric reflux | Subepithelial nodule, erythema | Body, lesser curvature | 1.5 | Positive: GLUT1, EMA (weak) Negative: CKAE1/AE3, c-KIT/CD117, S-100, CD34, SMA, desmin, caldesmon | None | Alive and well at 1 year with no reported GI symptoms |
| Fiocca, 2024 (Italy) | 77 | M | Anemia | Sessile polyp | Body, cardias | NR | Positive: GLUT1, EMA, CD34 | None | NR |
| Present case | 39 | F | Body | 0.7 | Positive: EMA, GLUT1 Negative: c-KIT/CD117, DOG1, S100, CD34, SMA | None | Alive and well after 6 months | ||
| Abbreviations: F, female; GERD, gastroesophageal reflux disease; GI, gastrointestinal; IHC, immunohistochemistry; M, male; NR, not reported | |||||||||
| *these two reports likely represent the same case | |||||||||
| Gastric perineurioma (n = 13) | |
|---|---|
| Age, years | |
| Mean SD | 49.5±13.9 |
| Median | 51 |
| Range | 25-77 |
| Gender (male:female) | 3:10 |
| Presenting symptoms (n, %) | |
| Epigastric/abdominal pain or discomfort | 6 (46.2%) |
| Reflux-type symptoms | 3 (23.1%) |
| Bleeding | 3 (23.1%) |
| Nausea | 1 (7.7%) |
| Asymptomatic | 4 (33.3%) |
| Distribution (n, %) | |
| Body or fundus | 10 (76.9%) |
| Antrum or angulus | 3 (27.1%) |
| Size, cm (n = 11) | |
| Mean SD | 1.56±1.16 |
| Median | 1.5 |
| Range | 0.5-5 |
| Endoscopic presentation (n, %) | |
| Sessile polyp | 12 (92.3%) |
| Ulcerated mass | 1 (7.7%) |
| EMA positive (n, %) | 9 (69.2%) |
| GLUT1 positive (n, %) | 9 (100%, n = 9) |
| CD34 positive (n, %) | 3 (23.1%) |
| CD117 positive (n, %) | 1 (7.7%) |
| NA, not available; SD, standard deviation | |
References
- Hornick J, Fletcher C. Intestinal Perineuriomas. Am J Surg Pathol. 2005;29:859-65.
- Agaimy A, Stoehr R, Vieth M, Hartmann A. Benign Serrated Colorectal Fibroblastic Polyps/Intramucosal Perineuriomas Are True Mixed Epithelial-stromal Polyps (Hybrid Hyperplastic Polyp/Mucosal Perineurioma) With Frequent BRAF Mutations. Am J Surg Pathol. 2010;34:1663-71.
- Pai R, Mojtahed A, Rouse R, Soetikno R, Kaltenbach T, Ma L. Histologic and Molecular Analyses of Colonic Perineurial-like Proliferations in Serrated Polyps. Am J Surg Pathol. 2011;35:1373-80.
- Vitale A, Alruwaii F, Chitale D, Ahsan B. Gastric Perineurioma: A Rare Entity with Molecular Analysis and Literature Review. Int J Surg Pathol. 2024;32:1191-6.
- Alenezi A, Jahrami H, Kanber Y, Bessissow T. Gastrointestinal Tract Perineuriomas and Benign Fibroblastic Polyps: Case Report and Comprehensive Systematic Review. Case Rep Gastrointest Med. 2025;2025.
- Agaimy A, Wuensch P. Perineurioma of the stomach. Pathol - Res Pract. 2005;201:463-7.
- Chetty R. Myxoid perineurioma presenting as a gastric polyp. Ann Diagn Pathol. 2010;14:125-8.
- Richter K, Dempster A, Tos A, Premkumar R, Jackson C. Challenging differential diagnosis of a wild-type gastrointestinal stromal tumour (GIST) or rare reticular perineurioma of the stomach? The role for mutational analysis. N Z Med J. 2011;124:45-55.
- Muguruma N, Okamura S, Imoto Y, Sueuchi T, Okamoto K, Fujimoto H. Perineurioma: an uncommon lesion in the gastrointestinal tract. Endoscopy. 2012;44:E182-3.
- Matsui S, Kashida H, Kudo M. Gastric Perineurioma. Am J Gastroenterol. 2016;111.
- Hawes S, Shi J. Gastric perineurioma: clinicopathological characteristics. Pathology (Phila). 2017;49:444-7.
- Weaver M, Rais R, Ritter J, Kushnir V. Endoscopic Mucosal Resection of a Gastric Perineurioma. ACG Case Rep J. 2020;7.
- Srinivas S, Syed S, Natarajan S, Kwok K. From Dyspepsia to Diagnosis: A Rare Gastric Subepithelial Lesion Definitively Diagnosed via Endoscopic Submucosal Dissection and Immunohistochemistry. Perm J. 2020;24.
- Huber A, DeRoche T. Gastric Perineurioma: A Case Report and Review of the Literature. Int J Surg Pathol. 2023;31:301-6.
- Yokosuka R, Ikeya T, Yamato H, Kanomata N, Fukuda K. Perineurioma Diagnosed After Endoscopic Treatment of Suspected Gastric Adenocarcinoma of the Fundic Gland. ACG Case Rep J. 2023;10.
- Fiocca M, Rosini F, Cariani G, Stanghellini V, Barbara G, Marasco G. Gastric perineurioma: a rare entity with different clinical presentations. A case report. J Gastrointestin Liver Dis. 2024;33:572-3.
- Agaimy A, Märkl B, Kitz J, Wünsch P, Arnholdt H, Füzesi L. Peripheral nerve sheath tumors of the gastrointestinal tract: a multicenter study of 58 patients including NF1-associated gastric schwannoma and unusual morphologic variants. Virchows Arch. 2010;456:411-22.
- Agaimy A, Michal M. Hybrid Schwannoma-Perineurioma of the Gastrointestinal Tract: A Clinicopathologic Study of 2 Cases and Reappraisal of Perineurial Cells in Gastrointestinal Schwannomas. 2011;19.
- Carboni F, Valle M, Covello R. Schwannoma híbrido gástrico/perineurioma. Cir Esp. 2019;97:292-4.
Downloads
License
This work is licensed under a Creative Commons Attribution-NonCommercial-NoDerivatives 4.0 International License.
Copyright
Copyright (c) 2026 Società Italiana di Anatomia Patologica e Citopatologia Diagnostica, Divisione Italiana della International Academy of Pathology
How to Cite
- Abstract viewed - 345 times
- PDF downloaded - 151 times

