Original articles
Vol. 117: Issue 6 - December 2025
Standardizing the pathologic assessment of HER2-Low and HER2-Ultralow breast cancer: Insights from a national Italian project
Summary
Objective
Novel therapies for HER2-(ultra)low breast cancer (BC) have changed the traditional binary classification of HER2 status into a multi-tiered system that captures the full spectrum of expression as determined by immunohistochemistry (IHC). Several pre-analytical and analytical variables can influence the accurate identification of HER2 expression within the lowest IHC range.
Herein, we present the findings of a national Italian project addressing the diagnostic challenges associated with HER2-(ultra)low BCs and their proper classification.
Material and Methods
A total of 121 pathologists from various regions and Institutions were recruited and asked to: i) complete an online survey addressing key pre-analytical and analytical issues affecting HER2 status reporting in BC; ii) score 8 cases of IHC HER2-low whole slide images (WSI) shared online; iii) participate in on-site meetings to discuss the results and evaluate 8 additional challenging WSIs. The assessments were subsequently compared to those of an expert panel.
Results
Several pre-analytical and analytical concerns emerged from the questionnaire, like reporting resection cold ischemia time and decalcification agent choice and the employment of proper HER2 controls. Regarding the WSIs, a substantial overall agreement (69%) with the expert panel was observed (74% in the online phase and 64% in the on-site phase), along with substantial to excellent consensus (≥ 61%) in over 60% of the samples. Most discordances emerged in the on- site cohort, which was enriched with challenging cases, particularly within the HER2 0+/ultralow spectrum, which demonstrated an overall agreement of 48%.
Conclusions
This nationwide study highlights the complexities of accurately classifying HER2-(ultra)low breast cancers, particularly within the HER2 ultralow subset. While a substantial level of agreement with expert assessments was achieved, the variability observed in more challenging cases underscore the need for standardized interpretation criteria, enhanced training, and continuous quality assurance measures.
Introduction
Breast cancer (BC) is a heterogeneous disease classified into different subtypes based on the expression of hormone receptors and human epidermal growth factor receptor 2 (HER2). HER2 status is currently determined using immunohistochemistry (IHC) according to the American Society of Clinical Oncology/College of American Pathologists (ASCO/CAP) guidelines1. HER2-positive tumors account for approximately 15-30% of BCs, and patients can benefit from anti-HER2 targeting agents, such as monoclonal antibodies (trastuzumab, pertuzumab), tyrosine kinase inhibitors (tucatinib, neratinib, lapatinib), or antibody-drug conjugates (trastuzumab-emtansine [T-DM1], trastuzumab-deruxtecan [T-DXd]). Up to recent times, tumors were categorized as HER2-positive or HER2-negative, with the latter considered not eligible for HER2-targeting agents because of the absence of oncogene addiction from HER2 gene amplification. However, recent clinical trials, such as DESTINY-Breast04 (DB-04), have demonstrated improved outcomes with T-DXd in patients with previously treated metastatic BC exhibiting an IHC score of 1+ or 2+ without HER2 gene amplification2. This led to the recognition of the “HER2-low” diagnostic category of BC. Additional findings from DESTINY-Breast06 (DB-06) further emphasized the clinical benefit of T-DXd in patients with even lower levels of HER2 expression, specifically those with an IHC score of 0 showing minimal positivity, defining the emerging subgroup known as HER2 0+/ultralow3,4.
From a diagnostic perspective, the assessment of HER2-(ultra)low status remains a challenge due to intra-tumoral heterogeneity, interobserver variability in IHC interpretation, and discrepancies among different diagnostic assays5,6. It has been reported that up to 60% of patients with BC have a HER2-low disease7; therefore, discriminating between IHC score 0 and 1+ assumes considerable importance. In this context, updated recommendations for all the analytical phases are necessary to improve our diagnostic sensitivity for HER2-low BC. Although the ASCO/CAP regularly updates the guidelines to maintain optimal diagnostic performance, the interpretation of HER2 IHC in HER2-low BC has not yet been formally endorsed. A range of pre-analytical factors such as fixation, antigen retrieval, antibody clones, reaction time, temperature, and substrate concentration can all influence the HER2 staining intensity8,9. Additionally, staining methodology, particularly antigen retrieval, the availability of diverse antibody clones with various specificity [i.e., PATHWAY® HER2 (clone 4B5; Ventana Medical Systems Inc., Tucson, AZ, USA), HercepTest™ (Dako Denmark A/S, Glostrup, Denmark), and Oracle® HER2 (clone CB11; Leica Microsystems GmbH, Wetzlar, Germany)] may significantly impact the accuracy and reproducibility of results and complicate the identification of HER2-low expression in terms of false-positive and false-negative results. The Ventana pathway anti-HER2/neu (4B5) rabbit monoclonal primary antibody has been approved by the FDA as the first companion diagnostic test to identify HER2-low metastatic BC patients for T-DXd targeted therapy10. However, assessing the reliability of other commonly used HER2 IHC testing methods is still pending10. Regarding the post-analytical phase, the lack of consistent internal positive control for HER2 within non-neoplastic breast tissue11,12, HER2 intratumoral heterogeneity, particularly in HER2-low BC, and the semi-quantitative and subjective mode of HER2 assessment may lead to inter-observer variability affecting the accuracy of the results13-15. Therefore, stringent quality control procedures for specimen preparation, along with clear guidelines for the accurate evaluation of HER2-low cases, are foreseen.
To address the key clinical points related to novel HER2 diagnostics, the Italian Study Group of Breast Pathologists, under the Italian Society of Pathology and Cytopathology (GIPaM- SIAPeC), launched a nationwide project focused on “HER2-low” BC aimed at analyzing all factors potentially impacting the quality of immunostaining and the consistency of its interpretation, with the ultimate goal of standardizing the pathology reporting.
Materials and methods
STUDY DESIGN
Led by a committee of expert breast pathologists, the project engaged pathologists from across Italy through a structured, multi-phase series of activities conducted over nearly 5 months. These included a preliminary webinar, a comprehensive survey, and the evaluation of whole slide images (WSI) representing a broad spectrum of low HER2 expression, varying in both staining intensity and percentage of positive cells (Fig. 1). All cases were stained with Ventana 4B5 clone on Ventana platform.
PRELIMINARY WEBINAR
A preliminary webinar was held on July 25, 2024, engaging 125 attendees, and representing a wide range of institutions – from large referral centers and academic hospitals to smaller community and general hospitals. The participants were all dedicated to breast pathology with at least 50% of the working time focused on breast pathology cases.
The topics discussed included the clinical and biological role of the HER2 molecule, and the current guidelines for scoring and the diagnostic challenges in the HER2 immunohistochemical interpretation in light of the new therapeutic opportunities for HER2-low BC. Following the webinar, participants were assigned to regional groups for the subsequent phases of the project. Each group was led by an expert breast pathologist from the same region, ensuring localized coordination and consistency in the evaluation process.
PHASE 1: ONLINE SURVEY AND WSIS
Following registration on a dedicated online platform, the participants were asked to anonymously fill out a survey (Tab. I), addressing the key pre-analytical and analytical issues likely to affect BC HER2 scoring in pathology laboratories.
After completing the survey, participants assessed WSI from eight HER2-low cases, previously uploaded on a shared web platform provided by Nikon and viewed with NDP.view2 software. The slides were selected from the routine collection of the University of Turin by the GIPaM board coordinator (Prof. Castellano) and embraced a wide spectrum of low expression of HER2 in terms of staining intensity and percentage of positive cells. The digital slides were reviewed by the organizing committee of the project, whose consensus scoring was considered the referral ground truth. The participants were asked to individually score the WSIs and report the HER2 percentage of expression as well. The WSI evaluation was performed on the attendees’ personal devices (PC, tablets, etc…), regardless of their technical specifications. The concordance with the organizing committee score was measured in terms of κ statistics, following the Landis and Koch classification16: no to slight agreement (0-20%), fair agreement (21-40%), moderate agreement (41-60%), substantial agreement (61-80%), and excellent agreement (≥ 81%).
The questionnaire results and virtual slide assessment were recorded from each macro-area and then collected for further analysis.
PHASE 2: ON-SITE MEETINGS AND WSIS
On-site interactive meetings took place from September 23 to October 22, 2024, bringing together participants in 7 macro-areas across Italy In the initial part of each meeting, the main concerns regarding HER2-low breast cancers were resumed by the regional leaders. The survey results and the scoring of previously visualized WSIs were then discussed collectively, focusing on the most compelling issues and diagnostic challenges. Finally, participants were asked to evaluate WSIs of 8 additional challenging cases due to pre-analytical, analytical and post-analytical concerns that could affect HER2 interpretation. The attendees were asked to provide the overall HER2 scoring and the percentage of positive neoplastic cells using an application available on their devices (tablets and laptops). Once the answers had been collected, the results were compared to the expert panel, and the main discordant points were collectively analyzed and discussed.
The study was approved by the Committee for Human Biospecimen Utilization (Department of Medical Sciences – ChBU), University of Turin. Data were anonymously recorded and due to its approach, the study did not impact the treatment of patients.
Results
After the preliminary webinar, 125 participants joined the online phase (survey and WSI consultation) while 121 attended the on-site meetings (with live WSIs evaluation). The results of each phase are detailed separately in the following subsections.
PHASE 1: ONLINE SURVEY
The results of the online survey filled by all participants are graphically displayed in Figure 2. As for the pre-analytic phase, most of the attendees reported fixation times between 6-24 hours (92, 76%) for biopsies and between 24-72 hours (86, 71%) for surgical specimens. To note, 88% of participants declared that cold ischemia time after surgical excisions was not commonly available. With regards to HER2 immunohistochemistry, the 4B5 clone on the Ventana benchmark was the most frequently employed assay (88, 73%). There was remarkable variability in the type of HER2 immunohistochemical controls. HER2 score 3+ BC was the most frequently used control (60% of cases) followed by normal breast tissue surrounding tumor area (16%) and cancer cell lines (12%). The external controls were put onto the same slide of the samples tested in 75% of cases. EDTA was the most frequently used decalcifying agent (56%) for bone metastasis. Decalcification time was less than 12 hours in slightly more than 50% of cases. Only 5% of participants routinely employed digital pathology for the HER2 immunohistochemical scoring. Interestingly only a minority of participants (34%) reported the percentage of HER2-positive cells with the overall scoring. Eighty percent of participants reassessed HER2 immunohistochemical scoring on surgical specimens and 99% on metastases. The latter were evaluated by dedicated breast pathologists in less than 50% of centers (46%).
PHASE 1: ONLINE WSIS (ROUTINE CASES)
Overall, the participants reached a substantial agreement (74%) with the GIPAM board’s referral scoring, spanning from 33% to 92% (Fig. 3A), and a substantial to excellent concordance in around 90% of the samples (7/8, 88%). An excellent consensus (≥ 81%) was achieved in half of the samples (4/8, 50%), including 2 of 3 three HER2 0 neoplasms (case 1 and case 7) and two HER2 1+ tumors (cases 6 and 8, Fig. 4). Notably, the most controversial specimen of this cohort of slides (case 2) was the only HER2 0+ GIPAM board-scored WSI, with the lowest agreement levels, both to the ground truth (33%) and the attendees, with roughly a third distributing among the 0 (35%), 0+ (33%), 1+ (31%) values. Looking at sample types, an 80% concordance was reached on the biopsies, accounting for 5 out of 8, compared to 63% of the remaining surgical specimens. To note, this latter group included two cases scored HER2 0 (cases 1 and 3), and the only HER2 0+ one (case 2).
PHASE 2: ON-SITE WSIs (CHALLENGING CASES)
For the digital slides evaluated on-site, an average substantial concordance (64%) with the GIPAM ground truth was achieved, ranging from 28% to 82% (Fig. 3B). In 3 to 4 of the cases, a substantial to excellent consensus was met (6/8, 75%). Among these challenging samples, only a minority of the WSIs (2/8, 25%) reached an excellent consensus, both identified as HER2 1+ by the GIPAM board. Moreover, one of the slides belonging to this latter group (case 3) significantly split the audience’s answers, with less than half aligning with the gold standard (42%). However, most agreed on a referral percentage of positive cells < 50% (83%, 39%: HER2 1+ < 50% and 44%: HER2 0+). A substantial consensus was reached for the only HER2 0 specimen in the series (68%). Conversely, a moderate agreement (54%) was achieved overall for the three HER2 0+ cases presented. Namely, one of them gained the lowest concordance rates of the entire cohort (case 8, 28%), with two-thirds of the participants scoring it as HER2 0 (75/113, 66%). In contrast to phase 1, a higher consensus was observed for surgical resections than preoperative biopsies (71% versus 48%), these latter enriched with HER2 0/0+ cases (2/2, 100% versus 2/6, 33%).
The comparison of the scores of the online and on-site WSIs between the attendees and the GIPAM directive board is summarized in Table II, while representative pictures of the most controversial cases are provided in Figure 5. Overall, considering both the online and the on-site WSIs, a substantial agreement (69%) was reached between the participants and the GIPAM board.
Discussion
The ongoing development of novel targeted treatments keeps on expanding the therapeutic arsenal for BC patients, aiming to tailor management according to the specific characteristics of their diseases. As for anti-HER2 drugs, they were first designed for overexpressing/amplified neoplasms. Since 2022, the results from the Destiny Breast (DB)-04 trial2 have expanded the usage of an anti-HER2 conjugate (e.g. trastuzumab deruxtecan - T-DXd) in metastatic patients suffering from so-called “HER2-low” cancers, referring to tumors scored as 1+ or 2+ (ISH negative) at immunohistochemistry. Taking into account that roughly 60% of classically termed HER2-negative breast tumors belong to this HER2-low category7, such therapy has been assured as a milestone for BC treatment, due to its encouraging clinical benefits. Moreover, the DB-06 trial further demonstrated the utility of T-DXd in patients diagnosed with “HER2-0+/ultralow” neoplasms17 which show a weak and incomplete HER2 expression in < 10% of tumor cells. These considerations notwithstanding, such novel therapeutic opportunities have caused HER2 scoring to gain renovated interest in the medical community. In this setting, pathologists were historically used to just labeling samples as HER2 “positive” (IHC 3+/2+ ISH amplified) or “negative”, with no point if any in distinguishing between scores 0 and 1+. However, as in most instances the administration of anti-HER2-low therapies in metastatic patients relies on scores rated several years ago, this may significantly hamper the access of many patients to such drugs. Furthermore, a number of pre-analytical, analytical, and post-analytical concerns might influence the final HER2 immunohistochemical score5. On these bases, in 2024 the GIPAM realized a national project focusing on pathologists’ perceptions of the “HER2-low issue”, whose results pointed out that: i) pre-analytical, analytical, and post-analytical issues still influence the HER2 workflow among the laboratories and ii) although substantial agreement was reached overall, raising awareness is pivotal for the proper evaluation of IHC slides, especially when effaced by technical artifacts.
Regarding the initial exploratory survey, various relevant insights emerged from the participants’ responses to the questionnaire. Firstly, current guidelines recommend a total fixation time of 6 to 24 hours and 24-72 hours for biopsy and surgical specimens respectively18,19. Most participants adhered to this guideline, with only a few reporting extremely short or prolonged intervals: 2% less than 6 hours for biopsies, and 3% reported more than 72 hours for resections. This finding is particularly significant because under-fixation can lead to false-negative immunohistochemical results or, conversely, paradoxical false positives related to enhanced alcoholic post-fixation, making it unacceptable to perform IHC assays on specimens fixed for less than 6 hours18. Similarly, false-negative results can also be associated with over-fixation, primarily due to antigen cross-links caused by prolonged formalin exposure5. In this view, it could be reasonable to avoid having pathology laboratories receive breast specimens (especially biopsies) on Fridays - if the service is closed on Saturdays - preventing them from excessively prolonged fixation times. On the other hand, only a minority of the attendees (12%) were used to annotate cold ischemia time in their pathology reports. It is advisable cold ischemia time does not exceed 1 hour because long intervals between tissue excision and fixation may cause false-negative IHC results as well20. Physicians should stick to this point, trying to minimize cold ischemia time even when surgical specimens undergo radiology checks before getting to the pathology lab.
Alongside the pre-analytical phase, analytical issues can also remarkably impact HER2 IHC results and their reproducibility. Among them are staining methodology, including antigen retrieval, the availability of different antibody clones and IHC benchmarks (such as Ventana Medical Systems and Dako Omnis). As for the testing process, the broad majority of attendees and centers joining the present project routinely employed either the Ventana or Dako clones and platforms (89%), with a significant prevalence of the former (73%). In this context, the HercepTest (Dako) and the 4B5 (Ventana) assays have shown acceptable concordance for identifying HER2-positive (3+) tumors21,22. Therefore, proper and controlled internal harmonization is mandatory regardless of the clone adopted to ensure safe and reliable results. Likewise, HER2 controls play a pivotal role in ensuring reliable IHC data. In our study, over 70% of participants routinely compared their staining with HER2 3+ external controls, such as other BC samples (60%) or cell lines (12%). Conversely, the remaining 28% relied on either internal or other types of controls, including no control at all. Current HER2 assays were originally designed to detect HER2 overexpression5. However, although tests specifically standardized for detecting low HER2 expression are lacking so far, evaluating slides without adequate controls is no longer acceptable1. Specifically, i) external HER2 3+ controls must function as expected23 ii) and it is advisable to include high and low expression controls24. Furthermore, as practiced by 75% of the attendees, controls should be placed on the same slide as the tested specimen to prevent false-negative results due to improper distribution of the antibody solution during the same IHC run. In this view, periodic laboratory checks and strict adherence to national/international quality control programs are of paramount importance in ensuring reliable performances of standardized protocols25,26.
Finally, a limited but still important percentage (5%) of laboratories are transitioning to routine case assessment with digital pathology (DP). Such disruptive technology is likely to revolutionize pathologists’ workflow in the near future. However, it should be underscored that the employment of DP for primary diagnosis requires strict validation of all the system’s components27,28, including displays, and the monitors available on the market may perform differently29.
Awareness of reassessing HER2 IHC scoring on surgical specimens and metastases is crucial, as spatial and temporal expression heterogeneity can significantly influence proper therapy management. Notably, pathologists are generally aware of this issue, as evidenced by nearly all in our cohort routinely repeating HER2 and other biomarker IHC tests (ER, PR, and Ki-67) on surgical resections (99% at least in doubtful cases) and metastatic samples (99%). Regarding the former, intratumoral spatial heterogeneity may cause neoplastic clones with different driving molecular alterations to variably express HER2 and other biomarkers30. Therefore, current guidelines31 recommend re-testing key biomarkers (ER, PR, Ki-67, and HER2) on surgical specimens whenever intratumoral heterogeneity is likely to occur. For instance, this is advisable for large tumors (≥ 3 cm) or when preoperative biopsy shows equivocal IHC/ISH results, discordant morphology/grading, HER2 score 0, or a limited invasive component. Similarly, an elegant autopsy study has demonstrated that spatial heterogeneity often affects distant localizations, with 80% of patients showing co-existence of HER2-low and HER2 0 in different metastases from the same organ (liver segments)32. Likewise, in these samples, the emergence of novel neoplastic clones may lead to divergent expression profiles compared to primary tumors. Namely, temporal heterogeneity has been documented by the acquisition of a HER2-low phenotype from HER2 0 primary tumors in 10% and 15% of nodal33 and distant metastases34, respectively. Thus, repeating the biomarker profile in secondary localization specimens is mandatory, and such evaluation should be performed by a dedicated breast pathologist35. Moreover, metastatic cancer tissue samples may suffer from pre-analytic conditions that are not as well monitored as those in primary breast tissue samples, particularly in bone metastases. In this context, standardizing decalcification is critical to ensure reliable outcomes. Among the various available agents, ethylenedinitrilotetraacetic acid (EDTA) has consistently produced the most reliable results in terms of biomarker reproducibility (including HER2 IHC/ISH)36,37. In contrast, agents like formic and hydrochloric acid can cause false negative results due to the rapid formation of bubbles, which can severely disrupt cells38. This issue should be emphasized within the pathology community, as only slightly more than half of the participants in the present study routinely use EDTA.
Regarding the WSI assessment, we achieved a substantial overall agreement (69%) between the attendees and the consensus board across the entire HER2-low spectrum. Our data aligns with previously published evidence and underscores the importance of addressing the therapeutic implications of IHC HER2 evaluation. Early studies on this topic approaching the “HER2-low era” reported only a 26% accuracy in classifying low-scored cases (HER2 0 or 1+)39. In contrast, subsequent studies, where participants were aware of the full HER2 IHC range and the implications of the HER2-low category, showed concordance rates exceeding 80%40,41, which further improved by specific training41. In our study, a lower consensus was reached in the on-site WSIs series than online one (64% vs. 74%). This could be related to the fact that on-site WSIs series were more challenging than those of on-line phase, not only in terms of staining intensity and the proportion of neoplastic cells, but also due to pre-analytical artifacts. Indeed, the main scope of the second phase of the study was to make pathologists aware of the necessity of sharing difficult cases with other breast colleagues and be able to recognize technical artifacts.
Consistent with previous articles41, the most controversial dilemmas centered on poor reproducibility in cases close to the 10% weak positivity cut-off, with moderate agreement in the HER2 0+ subset (on-site cohort 54%, overall 48%). This data was not influenced by the size of specimens, as the controversial findings were documented in both the surgical cohort (phase 1) and in biopsies (phase 2). To note, both sets were not assessed through high-performance medical-degree monitors which, especially for HER2 0+ samples, may have contributed to the difficulty in catching faint and focal positive staining. With the global adoption of the DB-04 trial results2 and the forthcoming DB-0617, it will be crucial to not misdiagnose HER2 0+ specimens as true HER2 0 (“null”) ones, as this could deny patients’ access to novel therapeutic options. Conversely, misclassifying HER2 1+ as 0+ (or vice versa) would have a lower clinical impact, as anti-HER2 conjugates would still be administered. In our project, only 2 of 16 WSIs (12%) were rated as HER2 0 null instead of HER2 0+ by the majority of pathologists (online case 2 and on-site case 8). We are confident that this proportion will even decrease in the future as physicians become more aware of the “HER2-low issue.” Wider employment of double signature for BC biopsies, as recommended by the EUSOMA guidelines35, will further lessen this gap, as well as the adoption of medical-grade validated monitors in laboratories relying on digital pathology29.
For this study we took advantage of DP which is an extremely useful tool for remote sharing of cases. In the specific setting of immunohistochemical evaluation of HER status a further advantage of DP relates to the fact that digital slides allow better detection of HER2-(ultra)low cases compared to conventional microscopy 42. However, further clinical studies are needed to verify the predictive value of digital pathology for HER2-(ultra)low assesment.
Additionally, the use of artificial intelligence-based algorithms in computer-aided diagnoses could improve reporting standardization and pathologists’ ability to categorize challenging cases, as recent evidence suggests43. Finally, with the expansion of the population eligible for anti-HER2 therapies, it may be questioned whether there would be any point in recording the percentage of HER2 expression in pathology reports. Although further dedicated studies are warranted, data from available trials indicate a trend of clinical benefits according to the proportion of positive neoplastic cells44,45. Therefore, we support the current guidelines’ recommendation1,5 to specify the amount of invasive carcinoma elements labeled for HER2.
Conclusions
The broadening of targeted anti-HER2 BC therapies advocate increasingly detailed and precise IHC and ISH evaluations, particularly in HER2-low and 0+/ultralow settings. Despite growing consciousness within the pathology community, our project has shown that further dissemination of evidence and knowledge is essential that most laboratories adopt established measures to prevent issues likely to hinder final HER2 IHC scoring. Pre-analytical, analytical, and post-analytical concerns may significantly impact the accurate evaluation of IHC HER2 slides, especially in the ultralow range, thereby affecting patients’ access to specific treatment options. Ultimately, a high level of awareness of the “HER2-(ultra)low issue” along with standardized evidence-based laboratory procedures is the key to ensuring reliable results and, thus, providing patients with the most tailored management possible.
CONFLICTS OF INTEREST STATEMENT
Cerbelli Bruna:
Consulting/advisory role: AstraZeneca, MSD, Roche.
Publication grant: Gilead
Leopoldo Costarelli:
Consulting/advisory role: AstraZeneca, Roche.
Giulia d’Amati:
Consulting/advisory role: AstraZeneca, Roche, MSD
Speaker bureau: MSD, AstraZeneca, Daiichi Sankyo, Roche, Lilly.
Nicola Fusco:
Consulting/advisory role: MSD, Merck, Novartis, AstraZeneca, Sysmex, Roche, Menarini Group, Gilead, Veracyte, Sakura, Alira Health, Abbvie.
Speaker bureau: MSD, Novartis, AstraZeneca, Daiichi Sankyo, Sysmex, GSK, Gilead, Roche, Menarini, Leica Biosystems, ThermoFisher, Genomic Health, Veracyte, Lilly.
Research grants: Novartis, Gilead, AstraZeneca, GSK, Pfizer.
Travel grants: Roche, Novartis, AstraZeneca.
Alfredo Santinelli:
Consulting/advisory role: Lilly, Gilead, Roche.
Speaker bureau: AstraZeneca, Daiichi-Sankyo, Roche, Lilly, Gilead, Novartis, Amgen.
Cristian Scatena:
Consulting/advisory role: Genomic Health, Gilead, Menarini
Research grants: Gilead
Event grants: Astra Zeneca, Daiichi-Sankyo
Speaker bureau Cerca Biotech Veracyte Inc.
Isabella Castellano
Consulting/advisory role: AstraZeneca, Editree srl
Speaker bureau: MSD, AstraZeneca, Daiichi Sankyo, Roche, Lilly.
FUNDING
This research did not receive any specific grant from funding agencies in the public, commercial, or not-for-profit sectors.
AUTHORS’ CONTRIBUTION
Conceptualization: CB, MS, CI. Methodology: CB, MS, SC, CI. Formal analysis and investigation: CB, MS, SC, CI. Writing — original draft preparation: CB, MS. Writing — review and editing: AM, CM, CL, CA, EV, FG, FMP, FR, FN, MA, MMG, OE, PF, RM, RA, SA, ZF, dG. Supervision: CI, SC.
History
Received: July 31, 2025
Accepted: October 28, 2025
Figures and tables
Figure 1. Outline of the project and unfolding of the specific phases.
Figure 2. Charts displaying the attendees’ answers to the online survey. IHC: immunohistochemistry.
Figure 3. Charts portraying the distribution of the participants’ HER2 immunohistochemical scores compared to the GIPAM gold standard (green line) regarding the online (A) and on-site (B) WSIs cohorts.
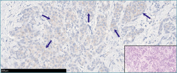
Figure 4. Case 6 from the online collection, showing a distinct quota of neoplastic cells displaying weak and incomplete membranous staining (HER2 1+). Such a sample achieved the highest concordance rate between the participants and the gold standard, with more than 90% of the attendees agreeing with the GIPAM board referral. A corresponding hematoxylin and eosin microphotograph is provided in the inset.
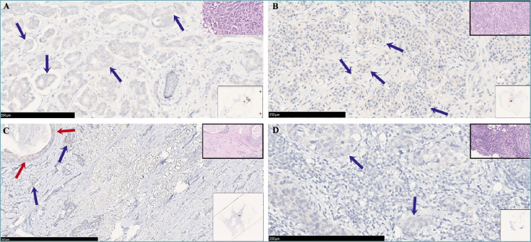
Figure 5. Representative HER2 immunohistochemical pictures of the most controversial cases. A HER2 0+ tumor (online cohort, case 2) arranged in a micropapillary architecture revealing scattered cells with partial membranous staining (blue arrows) (A). HER2 1+ positivity in another case (on-site cohort, case 3), showing a faint but still appreciable expression (blue arrows) in a noteworthy proportion of the cells (11-50%) (B). Weak membranous labeling (blue arrows) in a limited percentage of invasive carcinoma cells (on-site cohort, case 7). Positive elements in adjacent carcinoma in situ foci (red arrows) caused some attendees to score it as HER2 1+ (C). A solid growing tumor enriched with tumor-infiltrating lymphocytes (on-site cohort, case 8) displaying barely noticeable partial membranous HER2 immunostaining (blue arrows) but enough to label the case as HER2 0+ (D). Corresponding hematoxylin and eosin microphotographs for each case are provided in the insets.
| Query | Options | |||
|---|---|---|---|---|
| What is your core biopsy fixation time? | ≤ 6 h | 6-24 h | ≥ 24 h | |
| Do you report cold ischemia time of surgical resections? | Yes | No | ||
| What is your surgical resection fixation time? | ≤ 24 h | 24-72 h | ≥ 72 h | |
| Which HER2 immunohistochemical assay do you employ? | 4B5 | HERCEPTEST | Others | |
| Which immunohistochemistry benchmark is your laboratory furnished with? | Ventana | Dako | Others | |
| Which internal/external control do you rely on? | Other BC | Cell lines | Internal control | Others |
| Are the investigated sample and control routinely placed on the same slide? | Yes | No | ||
| Which type of decalcification do you employ for bone material? | EDTA | Formic acid | Others | |
| How long is your mean decalcification time? | ≤ 12 h | 12-24 h | ≥ 24 h | |
| Do you use digital pathology for primary HER2 scoring? | Yes | No | ||
| If yes to the former question, do you rely on AI-based algorithms for HER2 testing? | Yes | No | ||
| Besides the overall immunohistochemical HER2 scoring, do you also report the percentage of positive cells? | Yes | No | ||
| Do you usually re-assess HER2 on surgical specimens whenever a biopsy score is already on record? | Yes | No | Only in doubtful cases | |
| Do you re-score prognostic/predictive biomarkers (ER, PR, Ki67, and HER2) in histologically documented metastases? | Yes | No | ||
| Are breast cancer metastases evaluated by dedicated breast pathologists? | Yes | Not always | Usually not | |
| Abbreviations: BC: breast cancer, AI: artificial intelligence, ER: estrogen receptors, PR: progesterone receptors. | ||||
| GIPAM | 0 (%) | 0+ (%) | 1+ (%)* | 2+ (%) | 3+ (%) | GIPAM | 0 (%) | 0+ (%) | 1+ (%)* | 2+ (%) | 3+ (%) | ||
|---|---|---|---|---|---|---|---|---|---|---|---|---|---|
| Online WSI | On-site WSI | ||||||||||||
| Case 1 (s) | 0 | 102 (84%) | 16 (13%) | 2 (2%) | 1 (1%) | 0 | Case 1 (s) | 1+ (~50%) | 21 (19%) | 92 (81%) | 0 | 0 | |
| Case 2 (s) | 0+ | 42 (35%) | 40 (33%) | 38 (31%) | 1 (1%) | 0 | Case 2 (s) | 1+ (<50%) | 1 (1%) | 25 (22%) | 87 (77%) | 0 | 0 |
| Case 3 (s) | 0 | 86 (72%) | 22 (18%) | 13 (10%) | 0 | 0 | Case 3 (s) | 1+ (<50%) | 14 (12%) | 50 (44%) | 47 (42%) | 2 (2%) | 0 |
| Case 4 (b) | 2+ | 1 (1%) | 0 | 38 (32%) | 80 (67%) | 0 | Case 4 (s) | 1+ (~50%) | 5 (4%) | 12 (11%) | 93 (82%) | 3 (3%) | 0 |
| Case 5 (b) | 1+ (<50%) | 3 (2%) | 26 (21%) | 90 (75%) | 2 (2%) | 0 | Case 5 (s) | 0+ | 18 (16%) | 84 (74%) | 10 (9%) | 1 (1%) | 0 |
| Case 6 (b) | 1+ (<50%) | 4 (3%) | 6 (5%) | 111 (92%) | 0 | 0 | Case 6 (b) | 0 | 78 (68%) | 25 (22%) | 5 (4%) | 5 (4%) | 0 |
| Case 7 (b) | 0 | 98 (82%) | 20 (16%) | 3 (2%) | 0 | 0 | Case 7 (s) | 0+ | 18 (16%) | 67 (59%) | 28 (25%) | 0 | 0 |
| Case 8 (b) | 1+ (>50%) | 1 (1%) | 1 (1%) | 103 (85%) | 16 (13%) | 0 | Case 8 (b) | 0+ | 75 (66%) | 31 (28%) | 7 (6%) | 0 | 0 |
| HER2 1+ cases* | |||||||||||||
| <50% | >50% | <50% | >50% | ||||||||||
| Online WSI | On-site WSI | ||||||||||||
| Case 5 (b) | 86% | 14% | Case 1 (s) | 86% | 14% | ||||||||
| Case 6 (b) | 78% | 22% | Case 2 (s) | 84% | 16% | ||||||||
| Case 8 (b) | 52% | 48% | Case 3 (s) | 70% | 30% | ||||||||
| Case 4 (s) | 56% | 44% | |||||||||||
| Abbreviations: WSI: whole slide imaging, GIPAM: Gruppo Italiano di studio della Patologia Mammaria, b: biopsy, s: surgical specimen. | |||||||||||||
References
- Wolff A, Somerfield M, Dowsett M. Human Epidermal Growth Factor Receptor 2 Testing in Breast Cancer: ASCO-College of American Pathologists Guideline Update. J. Clin. Oncol. 2023;41:3867-3872. doi:https://doi.org/10.1200/JCO.22.02864
- Modi S, Jacot W, Yamashita T. Trastuzumab Deruxtecan in Previously Treated HER2-Low Advanced Breast Cancer. N. Engl. J. Med. 2022;387:9-20. doi:https://doi.org/10.1056/NEJMoa2203690
- Venetis K, Crimini E, Sajjadi E. HER2 Low, Ultra-low, and Novel Complementary Biomarkers: Expanding the Spectrum of HER2 Positivity in Breast Cancer. Front. Mol. Biosci. 2022;9. doi:https://doi.org/10.3389/fmolb.2022.834651
- Reporting Template for Reporting Results of Biomarker Testing of Specimens from Patients with Carcinoma of the Breast. Published online 2025.
- Ivanova M, Porta F, D’Ercole M. Standardized pathology report for HER2 testing in compliance with 2023 ASCO/CAP updates and 2023 ESMO consensus statements on HER2-low breast cancer. Virchows Arch. 2024;484:3-14. doi:https://doi.org/10.1007/s00428-023-03656-w
- Zhong J, Gao B, Wang Q. Exploring the heterogeneity of HER2 gene status and expression in non-positive breast cancer patients: insights from immunohistochemistry and fluorescence in situ hybridization. Diagn. Pathol. 2025;20. doi:https://doi.org/10.1186/s13000-024-01594-y
- Schettini F, Chic N, Brasó-Maristany F. Clinical, pathological, and PAM50 gene expression features of HER2-low breast cancer. NPJ Breast Cancer. 2021;7. doi:https://doi.org/10.1038/s41523-020-00208-2
- Sapino A, Goia M, Recupero D. Current Challenges for HER2 Testing in Diagnostic Pathology: State of the Art and Controversial Issues. Front. Oncol. 2013;3. doi:https://doi.org/10.3389/fonc.2013.00129
- Zhang H, Katerji H, Turner B. HER2-Low Breast Cancers. Am. J. Clin. Pathol. 2022;157:328-336. doi:https://doi.org/10.1093/ajcp/aqab117
- Zhang H, Peng Y. Current Biological, Pathological and Clinical Landscape of HER2-Low Breast Cancer. Cancers (Basel). Published online 2022. doi:https://doi.org/10.3390/cancers15010126
- Sajjadi E, Venetis K, Ivanova M. Improving HER2 testing reproducibility in HER2-low breast cancer. Cancer Drug Resist. (Alhambra, Calif.). 2022;5:882-888. doi:https://doi.org/10.20517/cdr.2022.29
- Zhang H, Katerji H, Turner B. HER2-low breast cancers: incidence, HER2 staining patterns, clinicopathologic features, MammaPrint and BluePrint genomic profiles. Mod. Pathol. 2022;35:1075-1082. doi:https://doi.org/10.1038/s41379-022-01019-5
- Bianchi S, Caini S, Paglierani M. Accuracy and Reproducibility of HER2 Status in Breast Cancer Using Immunohistochemistry: A Quality Control Study in Tuscany Evaluating the Impact of Updated 2013 ASCO/CAP Recommendations. Pathol. Oncol. Res. 2015;21:477-485. doi:https://doi.org/10.1007/s12253-014-9852-0
- Zhang H, Moisini I, Ajabnoor R. Applying the New Guidelines of HER2 Testing in Breast Cancer. Curr. Oncol. Rep. 2020;22. doi:https://doi.org/10.1007/s11912-020-0901-4
- Jensen S, Thomas P, Christensen I. Evaluation of analytical accuracy of HER2 status in patients with breast cancer: Comparison of HER2 GPA with HER2 IHC and HER2 FISH. APMIS. 2020;128:573-582. doi:https://doi.org/10.1111/apm.13076
- Landis J, Koch G. The measurement of observer agreement for categorical data. Biometrics. 1977;33:159-174.
- Bardia A, Hu X, Dent R. Trastuzumab Deruxtecan after Endocrine Therapy in Metastatic Breast Cancer. N. Engl. J. Med. 2024;391:2110-2122. doi:https://doi.org/10.1056/NEJMoa2407086
- CAP QCDR Measure Formalin Fixation Time - Breast Cancer Specimens. Published online 2018.
- Wolff A, Hammond M, Hicks D. Recommendations for human epidermal growth factor receptor 2 testing in breast cancer: American Society of Clinical Oncology/College of American Pathologists clinical practice guideline update. J. Clin. Oncol. 2013;31:3997-4013. doi:https://doi.org/10.1200/JCO.2013.50.9984
- Yildiz-Aktas I, Dabbs D, Bhargava R. The effect of cold ischemic time on the immunohistochemical evaluation of estrogen receptor, progesterone receptor, and HER2 expression in invasive breast carcinoma. Mod. Pathol. 2012;25:1098-1105. doi:https://doi.org/10.1038/modpathol.2012.59
- Lucas E, Jabbar S, Molberg K. Comparison of Dako HercepTest and Ventana PATHWAY Anti-HER2 (4B5) Tests and Their Correlation With Fluorescent In Situ Hybridization in Breast Carcinoma. Appl. Immunohistochem. Mol. Morphol. AIMM. 2019;27:403-409. doi:https://doi.org/10.1097/PAI.0000000000000646
- Mayr D, Heim S, Werhan C. Comprehensive immunohistochemical analysis of Her-2/neu oncoprotein overexpression in breast cancer: HercepTest (Dako) for manual testing and Her-2/neuTest 4B5 (Ventana) for Ventana BenchMark automatic staining system with correlation to results of fluorescence in situ hybridization (FISH). Virchows Arch. 2009;454:241-248. doi:https://doi.org/10.1007/s00428-009-0728-8
- Template for Reporting Results of Biomarker Testing of Specimens from Patients with Carcinoma of the Breast. Published online 2023.
- Torlakovic E, Francis G, Garratt J. Standardization of negative controls in diagnostic immunohistochemistry: recommendations from the international ad hoc expert panel. Appl. Immunohistochem. Mol. Morphol. AIMM. 2014;22:241-252. doi:https://doi.org/10.1097/PAI.0000000000000069
- Wolff A, Hammond M, Allison K. HER2 Testing in Breast Cancer: American Society of Clinical Oncology/College of American Pathologists Clinical Practice Guideline Focused Update Summary. J. Oncol. Pract. 2018;14:437-441. doi:https://doi.org/10.1200/JOP.18.00206
- Bonizzi G, Zattoni L, Capra M. Standard operating procedures for biobank in oncology. Front. Mol. Biosci. 2022;9. doi:https://doi.org/10.3389/fmolb.2022.967310
- Evans A, Brown R, Bui M. Validating Whole Slide Imaging Systems for Diagnostic Purposes in Pathology: Guideline Update From the College of American Pathologists in Collaboration With the American Society for Clinical Pathology and the Association for Pathology Informatics. Arch. Pathol. Lab. Med. Published online 2021. doi:https://doi.org/10.5858/arpa.2020-0723-CP
- Fraggetta F, L’Imperio V, Ameisen D. Best Practice Recommendations for the Implementation of a Digital Pathology Workflow in the Anatomic Pathology Laboratory by the European Society of Digital and Integrative Pathology (ESDIP). Diagnostics (Basel, Switzerland). Published online 2021. doi:https://doi.org/10.3390/diagnostics11112167
- Marletta S, Caputo A, Guidi G. Digital Pathology Displays Under Pressure: Benchmarking Performance Across Market Grades. J. Imaging Informatics Med. Published online 2025. doi:https://doi.org/10.1007/s10278-025-01452-3
- Marchiò C, Annaratone L, Marques A. Evolving concepts in HER2 evaluation in breast cancer: Heterogeneity, HER2-low carcinomas and beyond. Semin. Cancer Biol. 2021;72:123-135. doi:https://doi.org/10.1016/j.semcancer.2020.02.016
- Marletta S, Castellano I, Caumo F. Consensus document on preoperative diagnostic procedures in breast lesions. Pathologica. 2025;117(3):178-198. doi:https://doi.org/10.32074/1591-951X-1113
- Geukens T, De Schepper M, Richard F. Intra-patient and inter-metastasis heterogeneity of HER2-low status in metastatic breast cancer. Eur. J. Cancer. 2023;188:152-160. doi:https://doi.org/10.1016/j.ejca.2023.04.026
- Marletta S, Giorlandino A, Cavallo E. Discordance of Biomarker Expression Profile between Primary Breast Cancer and Synchronous Axillary Lymph Node Metastasis in Preoperative Core Needle Biopsy. Diagnostics (Basel, Switzerland). Published online 2024. doi:https://doi.org/10.3390/diagnostics14030259
- Miglietta F, Griguolo G, Bottosso M. Evolution of HER2-low expression from primary to recurrent breast cancer. NPJ Breast Cancer. 2021;7. doi:https://doi.org/10.1038/s41523-021-00343-4
- Biganzoli L, Cardoso F, Beishon M. The requirements of a specialist breast centre. The Breast. 2020;51:65-84. doi:https://doi.org/10.1016/j.breast.2020.02.003
- van Es S, van der Vegt B, Bensch F. Decalcification of Breast Cancer Bone Metastases With EDTA Does Not Affect ER, PR, and HER2 Results. Am. J. Surg. Pathol. 2019;43:1355-1360. doi:https://doi.org/10.1097/PAS.0000000000001321
- Zeng J, Piscuoglio S, Aggarwal G. Hormone receptor and HER2 assessment in breast carcinoma metastatic to bone: A comparison between FNA cell blocks and decalcified core needle biopsies. Cancer Cytopathol. 2020;128:133-145. doi:https://doi.org/10.1002/cncy.22226
- Clark B, Yoest J, Onisko A. Effects of Hydrochloric Acid and Formic Acid Decalcification on Breast Tumor Biomarkers and HER2 Fluorescence In Situ Hybridization. Appl. Immunohistochem. Mol. Morphol. AIMM. 2019;27:223-230. doi:https://doi.org/10.1097/PAI.0000000000000564
- Fernandez A, Liu M, Bellizzi A. Examination of Low ERBB2 Protein Expression in Breast Cancer Tissue. JAMA Oncol. 2022;8:1-4. doi:https://doi.org/10.1001/jamaoncol.2021.7239
- Viale G, Basik M, Niikura N. Retrospective study to estimate the prevalence and describe the clinicopathological characteristics, treatments received, and outcomes of HER2-low breast cancer. ESMO Open. 2023;8. doi:https://doi.org/10.1016/j.esmoop.2023.101615
- Rüschoff J, Penner A, Ellis I. Global Study on the Accuracy of Human Epidermal Growth Factor Receptor 2-Low Diagnosis in Breast Cancer. Arch. Pathol. Lab. Med. Published online 2024. doi:https://doi.org/10.5858/arpa.2024-0052-OA
- Kovács A, Klint L, Linderholm B, Parris T. Changes in HER2low and HER2-ultralow status in 47 advanced breast carcinoma core biopsies, matching surgical specimens, and their distant metastases assessed by conventional light microscopy, digital pathology, and artificial intelligence. Breast Cancer Res Treat. 2025;213(3):397-408. doi:https://doi.org/10.1007/s10549-025-07776-6
- Wu S, Yue M, Zhang J. The Role of Artificial Intelligence in Accurate Interpretation of HER2 Immunohistochemical Scores 0 and 1+ in Breast Cancer. Mod. Pathol. 2023;36. doi:https://doi.org/10.1016/j.modpat.2022.100054
- Mosele F, Deluche E, Lusque A. Trastuzumab deruxtecan in metastatic breast cancer with variable HER2 expression: the phase 2 DAISY trial. Nat. Med. 2023;29:2110-2120. doi:https://doi.org/10.1038/s41591-023-02478-2
- Gustavson M, Haneder S, Spitzmueller A. Abstract PD6-01: Novel approach to HER2 quantification: Digital pathology coupled with AI-based image and data analysis delivers objective and quantitative HER2 expression analysis for enrichment of responders to trastuzumab deruxtecan (T-DXd; DS-8201), specifically in HER2-low patients. Cancer Res. Published online 2021.
Downloads
License
This work is licensed under a Creative Commons Attribution-NonCommercial-NoDerivatives 4.0 International License.
Copyright
Copyright (c) 2026 Società Italiana di Anatomia Patologica e Citopatologia Diagnostica, Divisione Italiana della International Academy of Pathology
How to Cite
- Abstract viewed - 528 times
- PDF downloaded - 220 times
