Original articles
Vol. 118: Issue 1 - February 2026
MesoRet: a reticulin stain-based deep learning algorithm to assist diffuse mesothelioma subtyping
Summary
Objective. To develop and validate a deep learning model trained on reticulin-stained whole slide images (MesoRet) to accurately identify transitional features and assist in the histologic subtyping of diffuse mesothelioma.
Methods. A total of 115 cases of diffuse mesothelioma were collected from two institutions and reviewed by expert thoracic pathologists. Reticulin-stained whole-slide images were used to train a supervised deep learning model on the Aiforia Create platform to distinguish epithelioid, sarcomatoid, and transitional patterns. Model performance was validated on independent slides and compared with expert pathologists’ assessments.
Results. MesoRet accurately identified reticulin patterns across mesothelioma histotypes achieving 96.32% precision and 99.06% sensitivity, excluding artifacts and non-tumour tissue. It outperformed pathologists in identifying transitional patterns, reducing diagnostic time and minimising errors.
Conclusions. MesoRet provides an accurate and objective approach for detecting reticulin patterns in mesothelioma, supporting histological subtyping and contributing to more consistent diagnoses. Although further validation is required, it represents a promising model to improve diagnostic precision and guide therapeutic decision-making.
Introduction
Epithelioid, sarcomatoid and biphasic are the three major histologic types of diffuse mesothelioma, which have historically been the main histologic indicators of prognosis 1,2. Accordingly, sarcomatoid and biphasic tumours are significantly associated with worse overall survival compared with patients with epithelioid tumours 3. Furthermore, with recent advances in clinical trials involving immunotherapy, especially with the introduction of immune checkpoint inhibitors for treating mesothelioma, accurately identifying histological subtypes has become even more crucial because of the better response to immune checkpoint inhibitors in sarcomatoid and biphasic types compared to epithelioid 4. The 2021 (5th edition) WHO Classification of Thoracic Tumours formally incorporates architectural patterns, cytologic features, and stromal features, whose prognostic significance has been validated in multiple studies 2,5. Among them, transitional features of neoplastic cells have been recognised as part of a novel morphologic subtype 6. The hallmark of transitional mesotheliomas are elongated tumour cells with a plump cytoplasm and a cohesive growth pattern appearing intermediate between epithelioid and sarcomatoid morphology. Diffuse mesotheliomas with transitional features are now classified within the sarcomatoid histotype, based on the poor prognosis associated with this histological pattern 6-9. As a consequence, the presence of transitional features in an otherwise epithelioid looking tumour can render it a biphasic mesothelioma regardless of the component percentage on the pleural biopsy specimen. Due to the relative risk of morphologic overlap between transitional and epithelioid mesotheliomas, accurately distinguishing the diverse subtypes and thus classifying the correct histotype, can become a difficult task, resulting in a high interobserver variability, even among expert thoracic pathologists 6,10. Such a challenge is magnified by the lack of a unique distinguishing immunohistochemical feature and/or molecular signature for the transitional subtype, whose diagnosis relies solely on haematoxylin and eosin (H&E) stained slides. In this scenario, reticulin stain has been suggested 6 and recently confirmed 11 as a valid diagnostic support, although not systematically standardized, yet. Transitional mesotheliomas are featured by a delicate reticulin framework, where reticulin finely surrounds individual cells or very small nests of cells. Such a unique pattern differs both from sarcomatoid mesothelioma, where the reticulin framework is thick and abundant, strongly banding individual cells, and epithelioid mesotheliomas, where the reticulin framework is sparse and irregular, surrounding large cluster of cells and frequently barely noticeable 11,12.
Digital pathology and computational pathology have been progressively transforming pathologists’ practice with the goal of improving diagnostic precision, accelerate patient care and ultimately offer individual patient-tailored treatments. In this regard, mesothelioma is no exception 13,14. A few deep learning models have been developed on whole slide images (WSI) from H&E-stained slides, including, the MesoNet 7 for survival prediction, the SpindleMesoNET 15 to separate sarcomatoid mesothelioma from benign spindle cell mesothelial proliferations and recently the Mesograph 16 to distinguish sarcomatoid and epithelioid histotypes.
Given the promising reports of reticulin stain application in identifying transitional features, in this paper, we develop an artificial intelligence (AI) deep learning model (DLM) which recognises histochemically stained reticulin fibres to assist histological subtyping of diffuse mesothelioma.
Materials and methods
CASE SELECTION
A retrospective case series of 130 biphasic mesotheliomas was collected from a large series of 965 patients with a histological diagnosis of pleural mesothelioma from 1993 to 2022 at the Pathology Unit of the Città della Salute e della Scienza of Turin (Turin, Italy).
Paraffin blocks with sufficient material (82/130 cases) were selected for the purpose of subsequent revision by three expert thoracic pathologists. After reviewing H&E-stained slides and the immunohistochemical panel performed at the time of diagnosis, this was either confirmed or reclassified into a different mesothelioma histotype: sarcomatoid (or transitional) and epithelioid, according to the current WHO classification (2021)2. At the same time, 33 cases (30 epithelioid and 3 sarcomatoid mesotheliomas) were collected consecutively at the Pathology Unit of the San Luigi Gonzaga Hospital (Orbassano, Italy), reviewed by an expert thoracic pathologist. These cases were selected for the purpose of adding more variability in terms of reticulin staining to train the DLM. The two series together yielded a total of 115 cases of diffuse mesothelioma.
Clinico-pathological parameters including age at diagnosis, sex, type of sample and tumour site were included in an anonymised database.
Before the study started, all cases were de-identified and coded by a pathology staff member not involved in the study, and all data were accessed anonymously.
RETICULIN STAIN
Reticulin stain was performed in all cases. Reticulum II Staining Kit (Roche, Ventana Medical Systems, Tucson, AZ, USA) was used to detect reticulin fibres on a BenchMark Special Stains platform (Ventana Medical Systems, Tucson, AZ, USA), according to the manufacturer’s protocol at the Pathology Unit of the Città della Salute e della Scienza of Turin. Silver impregnation staining kit paired with Tiziano automatic stainer (Diapath S.p.A., Bergamo, Italy) was used at the Pathology Unit of the San Luigi Gonzaga Hospital (Orbassano, Italy).
IMAGING AND SOFTWARE
From this cohort, 70 cases with technically adequate reticulin-stained slides (38 biphasic, 3 sarcomatoid, and 29 epithelioid) were selected for WSI and model development and scanned using a NanoZoomer S210 (Hamamatsu, Shizuoka, Japan) digital slide scanner at ×20 magnification, with a resolution of 0.46 μm/pixel.
The automatic scanner initialisation and the visual inspection after scanning (i.e., verifying focus and absence of artefacts) ensured WSI quality. WSIs (.ndpi extension) were uploaded into Aiforia Create (version 6.4), an image management and analysis cloud platform (Aiforia Technologies, Helsinki, Finland), which supports the development of machine learning models with deep convolutional neural networks.
MODEL DEVELOPMENT
Reticulin framework was recognized from reticulin-stained WSIs with the DLM generated in Aiforia Create. The model was trained to detect epithelioid, sarcomatoid and transitional reticulin framework patterns. The algorithm excluded background, tissue artefacts, fibrotic acellular areas, blood vessels, adipose tissue, lymphocytic aggregates and other features that do not belong to neoplastic areas (Supplementary Table S1). WSIs were partitioned at the patient level into non-overlapping datasets. A total of 70 WSIs were used for model development, including 20 WSIs for training and 30 WSIs for testing during model optimization. An additional 20 WSIs were reserved as an independent validation set and were not used during training or testing. One board-certified pathologist visually selected the representative areas of the three reticulin framework morphologic patterns and drew training areas and feature labels with the pen tool in Aiforia. The annotated training areas were selected to represent typical features of epithelioid, sarcomatoid and transitional reticulin framework patterns. Transitional features were annotated in 8 WSIs. Annotations were drawn with versatile magnification views and a wide variation in shape, size and staining intensity to offer a broad repertoire of examples for training.
The tissue was considered to contain epithelioid reticulin framework if the deposition of collagen matrix was absent among tumour cells, sarcomatoid reticulin framework if there was abundant deposition of extracellular collagen matrix resulting in significantly thickened reticulum surrounding single elongated tumour cells, and transitional if there was an intermediate pattern between epithelioid and sarcomatoid, with an increase in the reticulum surrounding small nests and sometimes individual cells. The pleomorphic mesothelioma subtype was assigned to epithelioid or sarcomatoid histotypes, depending on the absence of presence of reticulin between cells, respectively 13,14. During training, unclear regions were compared with H&E slides from the same tumour sample to confirm the presence of tumour fields. Annotation areas varied in size between 0.006 and 0.38 mm2, and altogether, 30.413 mm2 areas were annotated (Supplementary Table S1). Training areas were drawn to include no more than one type of reticulin framework and consequently labeled only to one class. The DLM was trained iteratively using these annotations as ground truth. Model performance was visually evaluated, parameters were optimised, annotations were refined, and new annotations were generated across successive model versions. Overfitting was mitigated by incorporating cases from two independent Pathology Units, thereby increasing variability in reticulin staining, by applying data augmentation strategies, and by using separate training and testing datasets during model development. The final model was trained for 2839 iterations (Supplementary Table S2).
MODEL TESTING AND VALIDATION
The developed model was tested on an independent testing set (n = 30), which was not used during training. Final model performance was validated on a separate, fully independent validation set of 20 reticulin-stained WSIs, which were not used during training or testing. On this validation cohort, the reticulin framework patterns identified by the model were compared with the area-based classification provided by two experienced thoracic pathologists and one senior pathology resident, who independently labelled representative regions as epithelioid, sarcomatoid, or transitional on reticulin-stained WSIs.
STATISTICS
No traditional statistical analysis was performed. The evaluation metrics were automatically generated by the Aiforia Create platform (Aiforia Technologies, Helsinki, Finland) during model training and validation. The reported parameters included Precision, Sensitivity, F1 Score, Total Area Error, Error (False Positive/False Negative), False Positive rate, and False Negative rate. These metrics reflect the model’s ability to correctly classify and segment histological features, quantify segmentation accuracy, and distinguish between true and false detections. All values are expressed as percentages (%). Given the semantic segmentation nature of the task, these area-based metrics are appropriate and widely adopted in computational pathology to reflect segmentation accuracy and class-specific performance.
Results
CLINICAL FEATURES
82/115 patients were male (71.3%), while female patients were 33/115 (28.7%); the median age at diagnosis was 66 years old (ranging from 44 to 86 years). Of the 115 samples examined, 45 were biopsies (39.1%), while the remaining 70 were surgical biopsies (60.9%). The prevalent tumour site was the pleura, accounting for 100/115 samples (87.0%). There were 9/115 samples (7.8%) with lung involvement. 4/115 samples were metastatic localizations to the thoracic wall (3.4%). One sample came from a peritoneal involvement (0.9%), and another one from pneumonectomy with pleural decortication (0.9%).
MESORET RECOGNITION OF MESOTHELIOMA RETICULIN FRAMEWORK PATTERNS
MesoRet accurately recognised mesothelioma areas excluding white background and tissue artefacts. Blood vessels, adipose tissue, lymphoid aggregates and other similar features that were not part of the neoplasm were also excluded. Reticulin stained WSI showed the three expected reticulin framework patterns for epithelioid and sarcomatoid histotypes and the transitional subtype (Fig. 1). The DLM precisely identified selected neoplastic areas of tissue, allowing the analysis of each WSI in only a few minutes (Fig. 2). As expected, mesotheliomas diagnosed as biphasic typically included all three reticulin framework patterns, while transitional and sarcomatoid reticulin framework patterns were frequently observed together in mesotheliomas diagnosed as sarcomatoid. Epithelioid mesotheliomas mostly revealed epithelioid reticulin framework only or rarely minimal transitional reticulin framework areas. The verification tool in the Aiforia Create enabled the detection of false-positive and false-negative areas of epithelioid, sarcomatoid and transitional reticulin framework patterns and their sum (i.e., total error per training area). The results indicated that the DLM learned the ground truth with high precision (91.49%) and sensitivity (99.54%) (Tab. I).
PERFORMANCE COMPARISON BETWEEN MESORET AND INDEPENDENT EVALUATION BY PATHOLOGISTS
As a part of the validation data, 20 reticulin-stained WSI mesotheliomas were further used to compare the performance of the DLM MesoRet with the classification provided by three pathologists. We obtained a total area error of 2.12%, with a precision of 99.09% and a sensitivity of 96.89% from pathologist A; a total area error of 3.90%, with a precision of 97.73% and a sensitivity of 94.92% from pathologist B; finally, a total area error of 3.69%, with a precision of 97.27% and a sensitivity of 95.7% from pathologist C. These results were summarised in Table II.
Subsequently, we investigated the differences between the model and the pathologists’ areas classification (epithelioid, sarcomatoid or transitional reticulin framework) in terms of error, false positive and negative (Tab. III). Overall, error rates were low across all reticulin framework categories. Recognition of transitional areas showed consistently low error rates (1.28%) across all three pathologists, with errors exclusively attributable to false negatives and no false positives. Sarcomatoid areas were associated with the lowest error rates overall (approximately 0.15%), with minimal false positive and false negative contributions. Slightly higher and more variable error rates were observed for epithelioid areas, ranging from 4.49% to 8.24% across pathologists.
Discussion
Mesothelioma subtyping represents a significant challenge due to the aggressive and heterogeneous nature of this tumour and the morphological overlaps among its epithelioid, sarcomatoid, and transitional subtypes 17. Accurate subtyping is critical, as it directly influences patient prognosis and the treatment decisions. Sarcomatoid and biphasic subtypes are generally associated with poorer outcomes (5.3 and 9.5 months, respectively) compared to epithelioid mesothelioma (14.4 months) 3. Transitional mesothelioma, first systematically characterized by Galateau et al. in a multi-institutional setting assisted by deep learning, has been included within the sarcomatoid spectrum in the 2021 WHO Classification 6,11. Identifying the transitional pattern represents a clinical challenge since it is characterised by an intermediate morphology between epithelioid and sarcomatoid, being currently classified within the sarcomatoid histotype due to its poor prognosis 2,9,11. However, an accurate differentiation between the transitional pattern and epithelioid one is difficult, resulting in an interobserver variability among pathologists with experience, making the diagnosis largely dependent on H&E-stained slides 18.
In this context, reticulin staining has proved to be a valuable ancillary diagnostic technique, as demonstrated by a specific reticulin framework in transitional mesotheliomas. This pattern is morphologically distinct from that of the sarcomatoid subtype, which exhibits a thick and abundant reticulin network encasing individual tumour cells, and from the epithelioid subtype, where the reticulin framework is typically sparse or absent, surrounding larger cell clusters 6,11.
DLM MesoRet addresses this important unmet clinical need by accurately recognising distinct reticulin framework patterns on reticulin-stained WSIs, thereby supporting the histological subtyping of diffuse mesothelioma and streamlining the diagnostic workflow. Several DLM have recently been developed to assist in mesothelioma disease, such as MesoNet 7, SpindleMesoNET 15, and MesoGraph 16.
Courtiol et al. developed MesoNet, an unsupervised approach based on deep convolutional neural networks to predict the overall survival of mesothelioma patients from H&E WSI 7. The algorithm was trained by deep learning networks with only global data labels. Each WSI from mesothelioma patients was divided into small squares called tiles. Through an interactive learning process, a survival score was assigned to each tile in the network architecture. Thus, the network selected the tiles of most relevant WSI for predicting patient overall survival. Subsequently, MesoNet was validated on both the French MESOBANK cohort and an independent cohort from The Cancer Genome Atlas (TCGA).
SpindleMesoNET is a supervised approach based on deep learning to distinguish from benign spindle cell mesothelial proliferations based on biopsy 15. The model used the H&E staining slides, and underwent a cross-validation performed respectively on the training set, on an independent set of challenging cases submitted to expert opinion namely “referral” cases, and on a set of cases stained by external institutions. The study showed that the accuracy of SpindleMesoNET on the referral set cases was comparable to the accuracy of three experienced pathologists on the same set of slides.
Finally, Eastwood et al. developed a graph neural network (GNN) approach to predict subtypes of mesothelioma in a multiple instance learning (MIL) setting from H&E images 16. A weakly supervised machine learning approach was employed to characterise mesothelioma subtypes using only case-level labels during training. This model provided a quantitative representation of each sample’s position along the epithelioid-to-sarcomatoid spectrum, offering to pathologists an additional tool for further refined morphological assessment of tumour samples.
Even though recent models such as MesoNet, SpindleMesoNET, and Mesograph have shown good performance using exclusively H&E-stained slides, they lack access to additional morphologic dimensions related to tumour-stroma architecture. By contrast, MesoRet uniquely leverages the diagnostic potential of reticulin staining, which explicitly highlights the organisation of the extracellular matrix and collagen framework, enabling more precise and reproducible subtype recognition, particularly in diagnostically challenging cases. While the human eye may be subject to interpretive variability, MesoRet identifies reticulin framework alterations through high-resolution, consistent, and structured pattern recognition, allowing the detection of subtle architectural transitions between epithelioid and sarcomatoid features that are especially relevant for defining the transitional subtype. By consistently recognising non-epithelioid reticulin patterns, the algorithm provides morphologic evidence and a diagnostic cue that support the identification of more aggressive subtypes, even in borderline or limited samples.
Our results show that MesoRet is able to accurately recognise mesothelioma areas, excluding artefacts and non-neoplastic features, and identifying epithelioid, sarcomatoid, and transitional reticulin framework patterns, with high precision and sensitivity, low percentage of error and low false positive and negative.
Although there is also good precision and sensitivity from the three pathologists with different experience compared to the performance of the DLM MesoRet, we observed that error rates were consistently low for sarcomatoid and transitional patterns, while a slightly higher variability was observed for epithelioid areas. The higher variability observed in epithelioid areas is not unexpected, as epithelioid mesothelioma is primarily characterised by the relative absence of reticulin deposition rather than by specific reticulin architectural features. Accordingly, variability in epithelioid classification has limited impact on the diagnostic value of reticulin-based assessment, which is mainly intended to support the identification of transitional and sarcomatoid patterns. Previous multi-institutional studies have reported only moderate interobserver agreement in the assessment of transitional and sarcomatoid components on H&E-stained slides, with values as low as 0.40 1,3,19, underscoring the well-known diagnostic challenges associated with these patterns. In this context, the use of reticulin framework assessment provides a more reproducible morphologic reference, which may help reduce subjectivity and support more consistent identification of transitional features, even among pathologists with different levels of experience. Therefore, MesoRet represents a valuable adjunct to routine histopathological evaluation by enabling a more consistent assessment of reticulin framework patterns, particularly in complex biphasic mesotheliomas where transitional features are difficult to recognise.
Notably, the choice to train the model on a large series of biphasic mesotheliomas further enhanced its robustness. These tumours, by definition, harbour both epithelioid and sarcomatoid components, offering a comprehensive morphological spectrum. This heterogeneity provided a solid training ground for the algorithm to learn not only the extremes of the reticulin framework, but also the subtle transitional pattern, which may be underrepresented or misclassified in all known histological types.
The correct identification of the different subtypes of diffuse mesothelioma consequently has significant clinical impact. Ultimately, more precise and reproducible diagnoses can guide treatment and improve clinical decision-making for patients with mesothelioma 1,3,19. Recent molecular data on pleural mesothelioma indicate that unsupervised clustering is somewhat independent of histologic subtyping, and rather indicative of immune cell microenvironment adaptation, which could be useful in the clinical decision making 20. This may be explained by the fact that each mesothelioma subtype may be deconvoluted into a combination of epithelioid-like and sarcomatoid-like components, whose proportions are strongly associated with prognosis 21. Accordingly, one of the strengths of our work is that we are able to reliably highlight transitional areas, even the minor ones, more efficiently than expert pathologists, leveraging an inexpensive and all-pathology-lab available stain, such as the reticulin. This enables to potentially overcome the well-known difficulties of objectively identifying minor tumour components while featuring unexpected and elusive histology, such as the transitional areas.
MesoRet generates spatially explicit reticulin framework maps directly overlaid on WSIs, rather than providing a single case-level classification output. These outputs are inherently interpretable, as they correspond to established histopathological patterns routinely assessed by pathologists and allow direct visual inspection of the regions underlying subtype assignment.
Despite its promising performance, MesoRet has limitations inherent to a proof-of-concept computational pathology approach. The model was developed and evaluated on a cohort derived from two institutions within the same geographic context, which may limit generalisability across laboratories using different staining protocols and scanning platforms. Future work should extend validation to larger, multi-institutional cohorts to further assess robustness and support translation into routine practice.
Prospective validation, formal assessment of clinical impact, and evaluation of integration into routine diagnostic workflows will be required before clinical implementation. MesoRet represents the first DLM able to subtype diffuse mesothelioma, with the potential to refine diagnosis and consequently patient stratification.
Conclusions
MesoRet DLM identifies distinct reticulin patterns in mesothelioma, supporting histological subtyping, particularly in complex biphasic cases, including small biopsy specimens. While the model has shown good performance, further validation on larger and independent cohorts from multiple institutions will be essential. These encouraging results provide a foundation for future studies and suggest a potential role for reticulin-based AI tools in routine diagnostic pathology.
CONFLICTS OF INTEREST
The authors declare no conflicts of interest.
FUNDING
None.
AUTHORS’ CONTRIBUTIONS
Conceptualization: Eleonora Duregon, Mauro Giulio Papotti; Methodology: Rute Pedrosa, Darshan Kumar, Eleonora Duregon, Giulia Orlando, Anna Paola Ferrero, Giorgia Andrea Impalà; Formal analysis and investigation: Eleonora Duregon, Giorgia Andrea Impalà, Luisella Righi, Luisa Delsedime, Alessandra Pittaro, Giuseppe Pelosi; Writing - original draft preparation: Eleonora Duregon, Giulia Orlando; Writing - review and editing: All Authors; Super-vision: Eleonora Duregon, Mauro Giulio Papotti.
Figure 2. MesoRet DLM application on a biphasic mesothelioma case. The heatmap overlay shows model-predicted reticulin framework areas on the WSI. Red: sarcomatoid reticulin framework pattern; blue: epithelioid reticulin framework pattern; green: transitional reticulin framework pattern.
History
Received: August 6, 2025
Accepted: January 14, 2026
Figures and tables
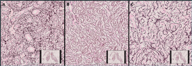
Figure 1. Reticulin framework patterns in the different mesothelioma histotypes. A, epithelioid reticulin framework. B, sarcomatoid reticulin framework. C, transitional reticulin framework.
Figure 2. MesoRet DLM application on a biphasic mesothelioma case. The heatmap overlay shows model-predicted reticulin framework areas on the WSI. Red: sarcomatoid reticulin framework pattern; blue: epithelioid reticulin framework pattern; green: transitional reticulin framework pattern.
| Metric | Epithelioid | Sarcomatoid | Transitional |
|---|---|---|---|
| Precision, % | 97.04 | 95.66 | 95.40 |
| Sensitivity, % | 98.61 | 99.70 | 99.33 |
| F1 score, % | 97.82 | 97.64 | 97.33 |
| Total area error, % | 0.70 | 0.41 | 0.32 |
| Error (false positive/false negative), % | 4.40 | 4.82 | 4.78 |
| False positive, % | 3.01 | 4.53 | 4.78 |
| False negative, % | 1.39 | 0.30 | 0.67 |
| Precision (%) | Sensitivity (%) | F1 score (%) | Total Area Error (%) | |
|---|---|---|---|---|
| Pathologist A | 99.09 | 96.89 | 97.98 | 2.12 |
| Pathologist B | 97.73 | 94.92 | 96.30 | 3.90 |
| Pathologist C | 97.27 | 95.70 | 96.48 | 3.69 |
| Error (FP/FN) % | |||
|---|---|---|---|
| Pathologist A | Pathologist B | Pathologist C | |
| Transitional | 1.28 (0.00/1.28) | 1.28 (0.00/1.28) | 1.28 (0.00/1.28) |
| Epithelioid | 4.49 (1.00/3.48) | 8.24 (2.51/5.74) | 7.91 (3.06/4.85) |
| Sarcomatoid | 0.15 (0.13/0.02) | 0.16 (0.14/0.02) | 0.15 (0.13/0.02) |
| CNN | Excluded features | Total area of the training regions | Total Area of the annotated region | Total number of images used |
|---|---|---|---|---|
| Epithelioid histotype | White background, blood vessels, lymphoid aggregates, tissue artefacts | 30.413 | 13.482 mm2 | 16 |
| Sarcomatoid histotype | White background, blood vessels, lymphoid aggregates, tissue artefacts | 14.318 mm2 | 10 | |
| Transitional subtype | White background, blood vessels, lymphoid aggregates, tissue artefacts | 2.613 mm2 | 8 | |
| Abbreviations: CNN, convolutional neural network. | ||||
| CNN: Mesothelioma | ||
|---|---|---|
| Classes | Epithelioid, sarcomatoid, transitional | |
| Type (semantic segmentation) | Region | |
| Complexity | Extra Complex | |
| Field of View | 200 μm | |
| Training parameters | Weight decay | 0.0001 |
| Mini-batch size | 16 | |
| Mini-batches per iteration | 20 | |
| Iterations Without progress | default | |
| Initial learning rate | 1 | |
| Image augmentation | Scale (min/max) | (-10 10) |
| Aspect ratio | 1 | |
| Maximum shear | 1 | |
| Luminance (min/max) | (-10 10) | |
| Contrast (min/max) | (-10 10) | |
| Max with balance change | 1 | |
| Noise | 0 | |
| Abbreviations: CNN, convolutional neural network. | ||
References
- Brcic L, Kern I. Clinical significance of histologic subtyping of malignant pleural mesothelioma. Transl Lung Cancer Res. 2020;9(3):924-933. doi:https://doi.org/10.21037/tlcr.2020.03.38
- Sauter J, Dacic S, Galateau-Salle F. The 2021 WHO Classification of Tumors of the Pleura: Advances Since the 2015 Classification. J Thorac Oncol. 2022;17(5):608-622. doi:https://doi.org/10.1016/j.jtho.2021.12.014
- Verma V, Ahern C, Berlind C. Survival by Histologic Subtype of Malignant Pleural Mesothelioma and the Impact of Surgical Resection on Overall Survival. Clin Lung Cancer. 2018;19(6):e901-e912. doi:https://doi.org/10.1016/j.cllc.2018.08.007
- Peters S, Scherpereel A, Cornelissen R. First-line nivolumab plus ipilimumab versus chemotherapy in patients with unresectable malignant pleural mesothelioma: 3-year outcomes from CheckMate 743. Ann Oncol. 2022;33(5):488-499. doi:https://doi.org/10.1016/j.annonc.2022.01.074
- Mastromarino M, Lenzini A, Aprile V. New Insights in Pleural Mesothelioma Classification Update: Diagnostic Traps and Prognostic Implications. Diagnostics. 2022;12(12). doi:https://doi.org/10.3390/diagnostics12122905
- Galateau Salle F, Le Stang N, Tirode F. Comprehensive Molecular and Pathologic Evaluation of Transitional Mesothelioma Assisted by Deep Learning Approach: A Multi-Institutional Study of the International Mesothelioma Panel from the MESOPATH Reference Center. J Thorac Oncol. 2020;15(6):1037-1053. doi:https://doi.org/10.1016/j.jtho.2020.01.025
- Courtiol P, Maussion C, Moarii M. Deep learning-based classification of mesothelioma improves prediction of patient outcome. Nat Med. 2019;25(10):1519-1525. doi:https://doi.org/10.1038/s41591-019-0583-3
- Churg A, Nabeshima K, Ali G. Highlights of the 14th international mesothelioma interest group meeting: Pathologic separation of benign from malignant mesothelial proliferations and histologic/molecular analysis of malignant mesothelioma subtypes. Lung Cancer. 2018;124:95-101. doi:https://doi.org/10.1016/j.lungcan.2018.07.041
- Dacic S, Le Stang N, Husain A. Interobserver variation in the assessment of the sarcomatoid and transitional components in biphasic mesotheliomas. Modern Pathology. 2020;33(2):255-262. doi:https://doi.org/10.1038/s41379-019-0320-y
- Carbone M. Transitional Mesothelioma and Artificial Intelligence: Do We Need One More Subtype? and Do We Need Computers to Identify Them?. J Thorac Oncol. 2020;15(6):884-887. doi:https://doi.org/10.1016/j.jtho.2020.03.025
- Fortarezza F, Pezzuto F, Maniglio S. Adverse Prognostic Impact of Transitional and Pleomorphic Patterns in Pleural Nonepithelioid Mesothelioma: Insights From Comprehensive Analysis and Reticulin Stain. Arch Pathol Lab Med. 2025;149(4):347-353. doi:https://doi.org/10.5858/arpa.2023-0523-OA
- Husain A, Chapel D, Attanoos R. Guidelines for Pathologic Diagnosis of Mesothelioma: 2023 Update of the Consensus Statement From the International Mesothelioma Interest Group. Arch Pathol Lab Med. 2024;148(11):1251-1271. doi:https://doi.org/10.5858/arpa.2023-0304-RA
- Parodi S, Filiberti R, Marroni P. Differential diagnosis of pleural mesothelioma using Logic Learning Machine. BMC Bioinformatics. 2015;16. doi:https://doi.org/10.1186/1471-2105-16-S9-S3
- Eastwood M, Marc S, Gao X. Malignant Mesothelioma subtyping via sampling driven multiple instance prediction on tissue image and cell morphology data. Artif Intell Med. 2023;143. doi:https://doi.org/10.1016/j.artmed.2023.102628
- Naso J, Levine A, Farahani H. Deep-learning based classification distinguishes sarcomatoid malignant mesotheliomas from benign spindle cell mesothelial proliferations. Mod Pathol. 2021;34(11):2028-2035. doi:https://doi.org/10.1038/s41379-021-00850-6
- Eastwood M, Sailem H, Marc S. MesoGraph: Automatic profiling of mesothelioma subtypes from histological images. Cell Rep Med. 2023;4(10). doi:https://doi.org/10.1016/j.xcrm.2023.101226
- Pelosi G, Papotti M, Righi L. Pathologic Grading of Malignant Pleural Mesothelioma: An Evidence-Based Proposal. J Thorac Oncol. 2018;13(11):1750-1761. doi:https://doi.org/10.1016/j.jtho.2018.07.002
- Galateau Salle F, Le Stang N, Nicholson A. New Insights on Diagnostic Reproducibility of Biphasic Mesotheliomas: A Multi-Institutional Evaluation by the International Mesothelioma Panel From the MESOPATH Reference Center. J Thorac Oncol. 2018;13(8):1189-1203. doi:https://doi.org/10.1016/j.jtho.2018.04.023
- Meyerhoff R, Yang C, Speicher P. Impact of mesothelioma histologic subtype on outcomes in the Surveillance, Epidemiology, and End Results database. J Surg Res. 2015;196(1):23-32. doi:https://doi.org/10.1016/j.jss.2015.01.043
- Hmeljak J, Sanchez-Vega F, Hoadley K. Integrative Molecular Characterization of Malignant Pleural Mesothelioma. Cancer Discov. 2018;8(12):1548-1565. doi:https://doi.org/10.1158/2159-8290.CD-18-0804
- Blum Y, Meiller C, Quetel L. Dissecting heterogeneity in malignant pleural mesothelioma through histo-molecular gradients for clinical applications. Nat Commun. 2019;10(1). doi:https://doi.org/10.1038/s41467-019-09307-6
License
This work is licensed under a Creative Commons Attribution-NonCommercial-NoDerivatives 4.0 International License.
Copyright
Copyright (c) 2026 Società Italiana di Anatomia Patologica e Citopatologia Diagnostica, Divisione Italiana della International Academy of Pathology
How to Cite
- Abstract viewed - 386 times
- PDF downloaded - 74 times
- Supp. File downloaded - 2 times

