Case reports
Vol. 117: Issue 6 - December 2025
Marked hepatic fibrosis with progression towards cirrhosis in generalized arterial calcification of infancy: an unreported association observed in a case carryng a novel ENPP1 variant
Summary
Generalized arterial calcification of infancy (GACI) is a rare autosomal recessive disorder characterized by dysregulated calcium-phosphate metabolism, leading to mineral deposition within the internal elastic lamina of medium- and large-sized arteries. This results in arterial wall thickening and luminal narrowing due to intimal hyperplasia, causing significant vascular disruption. Approximately 70% of cases (GACI type 1) are caused by biallelic loss-of-function mutations in the ENPP1 gene, with nearly 40 pathogenic variants reported. We report a case of an infant diagnosed with GACI type 1 who died at 7 weeks of age. The patient was delivered via cesarean section at 36 weeks of gestation after a pregnancy complicated by polyhydramnios. The parents were second-degree cousins, with a history of two neonatal deaths of unknown etiology and one miscarriage. Autopsy revealed diffuse arterial calcification with prominent involvement of the coronary arteries. Notably, the liver showed fibrosis progressing to cirrhosis. Genetic analysis through trio exome sequencing identified a novel homozygous nonsense variant in ENPP1 (c.553C > T; p.Gln185Ter), inherited from both parents. This stop-gain variant is predicted to produce a severely truncated, non-functional or absent protein. This case is notable for two key aspects: a previously unreported association between GACI and progressive hepatic fibrosis evolving into cirrhosis, and the identification of a novel pathogenic ENPP1 variant not previously described in the literature.
Introduction
Generalized arterial calcification of infancy (GACI) is a rare autosomal recessive disorder characterized by dysregulated calcium-phosphate homeostasis, leading to calcium deposition along the internal elastic lamina of medium- and large-sized arteries. This results in arterial calcification and progressive narrowing of the arterial lumen due to intimal proliferation 1. Since the first description of this disease dated 1899 2, about 250 patients have been reported so far 1. The incidence of GACI is estimated at approximately 1 in 200,000 live births. However, the carrier frequency can be as high as 1 in 200 individuals, with variations observed across different populations 3.
The most common genetic cause of GACI (GACI type 1) was identified by Rutsch et al. in 2003 4 and consists of pathogenic variants in the ectonucleotide pyrophosphatase/phosphodiesterase 1 (ENPP1) gene. This gene encodes a glycoprotein expressed in various cell types, including osteoblasts, osteoclasts, chondrocytes, and vascular smooth muscle cells. ENPP1 plays a crucial role in the hydrolysis of adenosine triphosphate (ATP) to adenosine monophosphate (AMP) and pyrophosphate (PPi) on the cell surface 4. Its inactivation induces a deficiency of PPi, the main inhibitor of tissue calcification 4,5. In approximately 70% of cases, biallelic inactivating variants in the ENPP1 gene lead to GACI type 1, with about 40 different mutations described to date. In around 10% of cases, GACI (GACI type 2) is caused by homozygous variants in the ATP-binding cassette subfamily C member 6 (ABCC6) gene, which encodes a protein involved in the indirect transmembrane transport of ATP, the primary source of PPi 6. Lastly, in about 20% of affected individuals only one pathogenic variant in either gene, or no variants is detected by current molecular testing 3,6. Notably, pseudoxanthoma elasticum (PXE), a connective tissue disorder characterized by progressive calcification and fragmentation of elastic fibers in the skin, eyes, and cardiovascular system, shares overlapping genetic causes with GACI. Pathogenetic variants in ABCC6 have been implicated in both conditions 6,7.
Patients with GACI exhibit a broad clinical spectrum. In approximately 48% of cases, onset occurs prenatally or at birth, presenting with signs such as hydrops fetalis, polyhydramnios, intrauterine distress, generalized edema, ascites, pleural or pericardial effusions, respiratory distress, and/or cardiac failure. The late-onset form typically presents at a median age of 3 months, with symptoms including respiratory distress, cyanosis, feeding difficulties, heart failure, vomiting, and/or irritability. In both early- and late-onset forms, vascular and extravascular calcifications remain the hallmark features of GACI 8,9. Although prenatal and postnatal hepatic vascular involvement has been reported in the literature 1, no cases of hepatic fibrosis/cirrhosis have been previously described to the best of our knowledge.
We present the case of an infant with GACI, including detailed clinical, radiological, pathological, and genetic findings. Notably, this case is characterized by two novel aspects: a previously unreported association between GACI and hepatic fibrosis progressing to cirrhosis, and the identification of a unique genetic variant not previously described in the literature.
Case presentation
CLINICAL HISTORY
The patient was a male infant, delivered via cesarean section at 36 weeks of gestation, after a pregnancy complicated by polyhydramnios.
The placenta was not submitted for histological examination, resulting in a missed opportunity to evaluate for placental vascular disease.
The parents were consanguineous (second-degree cousins) and had two previous children who died during the neonatal period of unknown causes, and a miscarriage. The couple also has a healthy daughter. The patient’s pregnancy was monitored in a low-income country until the 6th month, when the family moved to Italy. Maternal infectious screening during pregnancy was negative for TORCH panel (Toxoplasmosis, CMV, Rubella; Herpes simplex virus IgM negative, IgG positive), HIV, HCV, hepatitis B surface antigen, and syphilis. Vaginal swab was positive for Candida.
Due to perinatal respiratory distress, the newborn required respiratory support with nasal continuous positive airway pressure (nCPAP) for approximately one day, after which oxygen therapy was discontinued. At 10 days of life, clinical conditions suddenly worsened, the baby presenting with tachypnea and fever associated with progressively increased inflammatory markers. Two days later, the infant developed feeding intolerance along with biliary stagnation. The abdomen became tender and painful, and an abdominal radiograph revealed gastric and bowel distension with air-fluid levels. Acute abdomen was suspected and the baby was admitted to the Neonatal Intensive Care Unit for urgent surgical evaluation. A first cardiologic evaluation with echocardiography was performed: no major functional or morphological anomalies were identified. Abdominal x-ray showed a poor progression of the contrast agent at the jejunal level, prompting a laparotomy. During the procedure, diffuse areas of bowel inflammation and ischemia were observed. Notably, the intestinal lumen was covered with a whitish, lumpy material. After excluding intestinal malrotation, an enema was performed, and two stomas were created. Seven days later the patient underwent another emergency laparotomic procedure because the stomas appeared sunken and dehiscent. Patchy ischemic areas and necrotic perforated areas of the intestinal wall close to stomas were identified, requiring three end-to-end anastomoses. Histopathological examination of the intestinal resection specimens revealed features consistent with necrotizing enterocolitis, including transmural necrosis accompanied by marked acute inflammation. No additional histopathological abnormalities were observed in the intestinal wall, peri-intestinal stroma, or associated vasculature.
Neonatal metabolic screening was negative. A comprehensive metabolic panel – including creatine kinase, total cholesterol, uric acid, transferrin isoforms, chitotriosidase, urinary oligosaccharides, organic acids, redox status, and a detailed prothrombotic profile including plasma homocysteine – revealed no significant abnormalities. Infectious workup identified colonization and infection with multidrug-resistant Enterococcus faecium in oral swabs and wound cultures, and Klebsiella species detected by blood PCR and isolated from peritoneal fluid cultures. Multiple blood cultures were negative. Viral serologies and liver function tests were not performed during the clinical course.
Two days after the last surgery, the infant’s clinical condition deteriorated significantly; the patient became anuric with a weight gain of approximately 1 kg, suggestive of fluid overload. A second cardiologic evaluation was performed; the electrocardiogram revealed diffuse myocardial ischemia, and echocardiographic assessment demonstrated severe left ventricular systolic dysfunction, with an ejection fraction of 20%, accompanied by severe tricuspid and mitral valve insufficiency. As a result, continuous intravenous infusions of adrenaline and furosemide were initiated to support cardiac function and manage fluid balance. N-terminal pro-B-type natriuretic peptide (NT-proBNP) was 132 884 pg/mL (normal value (n.v.) 5-1000) and troponin was 9368 pg/mL (n.v. < 14). The following day, echocardiography showed LV systolic dysfunction (EF 22%) due to global hypokinesia, with left ventricular dilation and severe mitral insufficiency. Right ventricular systolic function was still preserved. Pulmonary hypertension was also detected and inotropic therapy was implemented (dobutamine and milrinone associated with boluses of ethacrynic acid and nitric oxide). The use of extracorporeal membrane oxygenation was excluded due to the recent surgical procedure. Laboratory tests revealed markedly elevated transaminase levels – aspartate aminotransferase 4913 UI/L and alanine aminotransferase 1237 U/L – along with other markers of hepatic insufficiency, including an International Normalized Ratio of 2 and prothrombin activity at 40%. These coagulation abnormalities were partially corrected with plasma infusions. Over the following days, hypertransaminasemia gradually decreased and the coagulopathy resolved. Unfortunately, despite supportive care, the infant’s overall clinical condition failed to improve, and the patient passed away one week later at 7 weeks of age.
Trio-based whole-exome sequencing was ongoing at the time of the infant’s demise.
AUTOPSY FINDINGS
External and internal macroscopic examinations revealed no somatic dysmorphisms or malformations. Upon sectioning, the heart exhibited chromatic inhomogeneity in both ventricles and papillary muscles, while the liver demonstrated fibrosis progressing to cirrhosis (Fig. 1). No other macroscopic alterations were noted in the remaining organs.
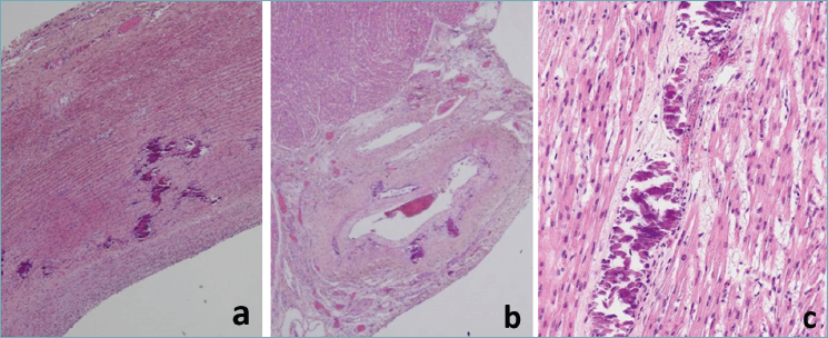
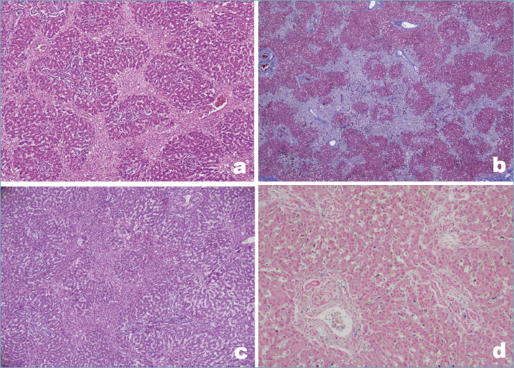
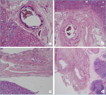
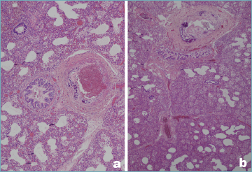
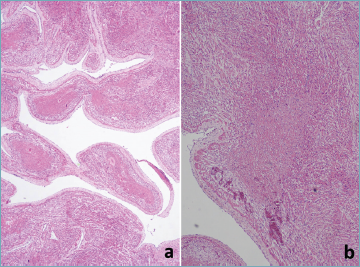
Microscopic examination of the heart revealed myocardial coagulative necrosis in areas corresponding to macroscopic color inhomogeneity (Fig. 2). Calcification of the internal elastic lamina was observed in the aortic arch and in both large and intraparenchymal medium-sized coronary arteries, with complete occlusion of the smallest coronary branches (Fig. 3). In the lungs, calcifications affected both the afferent arteries and the intraparenchymal arterioles (Fig. 4). In the intestine, kidneys, adrenal glands, spleen, thymus, and pancreas, calcifications were confined exclusively to the afferent/extra-parenchymal arteries (Fig. 5). The brain and liver appeared uninvolved; however, calcification of the larger vessels supplying these organs cannot be ruled out. The veins were unaffected. There was no evidence of atherosclerosis, thrombi, inflammatory changes, or emboli. No extravascular calcifications were detected. As far as could be assessed, no evident ischemic damage was observed in these organs. Microscopic evaluation of the liver confirmed advanced fibrosis progressing to cirrhosis, corresponding to stage 4 fibrosis according to the METAVIR scoring system. The hepatic architecture was disrupted by numerous regenerative nodules encircled by fibrous septa. Prominent ductular proliferation was observed. There was no histological evidence of biliary stasis or intracellular accumulation of fat or glycogen within the hepatocytes. Iron staining was not sufficiently conclusive to support a suspicion of hemochromatosis. Extramedullary hematopoiesis was noted, consistent with the patient’s age (Fig. 6).
RADIOLOGICAL AND ECHOCARDIOGRAPHIC FINDINGS
Retrospective evaluation of the X-ray images performed during patient’s lifetime revealed subtle linear calcific changes predominantly affecting the lumbar segment of the aorta (Fig. 7a). Similarly, a retrospective review of echocardiographic studies performed on the fourth day of life demonstrated marked hyperechogenicity of the aortic root and ascending aortic wall, consistent with calcium deposition within the internal elastic lamina (Fig. 7b). The subcostal four-chamber view revealed the presence of the “sunburst sign,” a pattern suggestive of myocardial edema and/or fibrosis (Fig. 7c).
Post-mortem computed tomography of the formalin-fixed heart demonstrated diffuse and extensive calcification involving the coronary arteries and the aortic root (Figure 7d-e).
GENETIC FINDINGS
Trio exome sequencing detected a novel homozygous variant in ENPP1 (c.553C > T; p.Gln185*) in patient’s DNA; both parents were heterozygous carriers. The variant was classified as pathogenic according to ACMG guidelines 10. It is a stop-gain variant predicted to result in a severely truncated, non-functional, or absent protein. No pathogenetic/likely pathogenic variants in other genes –also possibly related to hepatic phenotype- were identified in the patient.
Loss-of-function variants in ENPP1 cause ENPP1 deficiency, a group of clinical presentations with both dominant and recessive inheritance patterns 11 [11]. Therefore, cardiological evaluations of both parents were performed, revealing no morphological or functional abnormalities of myocardial structures.
Discussion
This report describes a previously unreported association between GACI and hepatic fibrosis/cirrhosis, and the identification of a novel genetic variant in ENPP1 (c.553C > T; p.Gln185*), which has not been described previously in the literature. In our case, all the main clinicopathological features previously described in GACI were present, including extensive calcifications of large and medium-sized arteries, vascular stenoses, early-onset heart failure, polyhydramnios, with hepatic involvement in the form of fibrosis/cirrhosis a peculiar finding. In previously reported patients, the spectrum of hepatic involvement consists predominantly of hepatic arterial calcification, a condition that has been demonstrated in about 81% of autopsies of patients with an early diagnosis 8. Hepatomegaly also occurs in a not negligible percentage of patients 8. Numakura et al. 12 described a 3-year-old patient who first presented with hepatomegaly, signs of liver dysfunction, and elevated transaminases at 7 months of age. Computed tomography revealed calcifications in the hepatic artery, as well as in the splenic, superior mesenteric, and renal arteries. Interestingly, no pathogenic variants in the ENPP1 gene were identified, suggesting that a PPi-independent mechanism may be involved in the underlying pathogenesis or that the pathogenic variants are located in non-coding regions, which cannot be analyzed with the most commonly used genetic tests. Recently, Staretz-Chacham et al. 13 reported 4 cases with an unusual and severe phenotypic manifestation of GACI from two Bedouin consanguineous families caused by a novel ENPP1 founder variant. All patients exhibited a multisystem disease with neurologic involvement, and thrombocytopenia and liver dysfunction. In one patient the canalicular involvement producing cholestatic jaundice was found.
In our patient, a homozygous variant affecting a highly conserved domain of the ENPP1 protein, where no previous GACI-causing variants have been reported, was identified. This variant might be related to the atypical disease presentation observed; however, further research and additional cases are necessary to better explore potential genotype-phenotype associations and the variability of GACI type 1. The presence of advanced hepatic fibrosis and cirrhosis at birth suggests that the pathogenic process may have started during the fetal period. However, the exact mechanisms and timing of liver involvement in GACI remain to be elucidated. The role of ENPP1 dysfunction in liver disease remains uncertain. Integrated clinical and histological findings excluded common causes of pediatric cirrhosis, but the specific etiology could not be determined. Recent evidence has underlined the importance of ENPP1 in the regulation of glucose and lipid homeostasis in the liver, physiologically controlled by insulin 14. Hudert et al. studied a cohort of pediatric patients with non-alcoholic fatty liver disease, a condition associated with metabolic syndrome, performing a genetic test and and comparing results with an adult population as a control cohort. Interesting correlations were found regarding ENPP1 polymorphisms and the development of fibrosis/cirrhotic degeneration of the liver 14. On this basis, we hypothesize that the pathogenesis of liver fibrosis/cirrhosis may reasonably result from chronic ischemia, possibly exacerbated by direct fibrotic degeneration mediated by intrahepatic ENPP1 deficiency.
Although no cure for GACI exists, treatment has been explored over the years. The efficacy of bisphosphonates is still controversial regarding their role in inducing the regression of systemic calcification and the improvement of survival 15,16. New treatment strategies are emerging. Enzyme replacement therapy has shown significant results in mouse models and is now under investigation in humans 17. Specifically, an open label phase 1b ENERGY trial that aims at assessing the safety, tolerability, pharmacokinetics and pharmacodynamics of the recombinant form of ENPP1 enzyme in infants after a 52-week period of subcutaneous administration is currently ongoing. During the observation period PPi levels, survival, growth, development, functional performance and cardiac function of the patients will be evaluated 18.
GACI should be considered in the differential diagnosis of pregnancies complicated by polyhydramnios or previous unexplained neonatal deaths particularly in cases of parental consanguinity. In such cases, targeted prenatal imaging in the third trimester of gestation, including detailed ultrasound and fetal echocardiography, may identify vascular calcifications, although these findings can be subtle and easily overlooked. When feasible, molecular genetic testing for pathogenic variants in ENPP1 and ABCC6 can provide definitive diagnostic confirmation 19.
Unfortunately, no signs of GACI were detected on the initial radiological examinations in our patient, and no specific treatment was initiated, as the diagnosis was established post-mortem based on genetic testing and autopsy findings.
Conclusion
GACI is a rare and often underdiagnosed disorder that can be life-threatening in a significant number of cases. We report a unique case of GACI associated with a biallelic pathogenic variant in ENPP1, that has not been previously described in the literature, characterized by distinctive hepatic involvement. Reporting novel cases of this syndrome is essential to increase awareness among healthcare professionals and promote early diagnosis. When GACI is clinically suspected, meticulous prenatal and postnatal imaging is essential, since findings – like in our patient – may be subtle or minimal.
ACKNOWLEDGMENTS
This work was supported, in part, by funds from the “Current Research Annual Funding” of the Italian Ministry of Health.
FUNDING
This work was supported, in part, by funds from the “Current Research Annual Funding” of the Italian Ministry of Health.
CONFLICT OF INTEREST STATEMENT
The Authors declare that they have no conflict of interest.
AUTHORS CONTRIBUTION
Anna Maria Buccoliero, Chiara Caporalini, Abramo Ponticelli: performed the autopsy and histopathological examinations and provided the integrated pathological diagnosis. Giorgia Mancano, Rosangela Artuso, Viviana Palazzo, Angela Peron: provided clinical genetic counseling and performed and interpreted genetic analyses of the patient and their parents. Maria Luce Cioni, Caterina Panzuto, Marco Moroni: provided the clinical history and ante-mortem clinical data. Giovanni Battista Calabrì, Guglielmo Capponi: contributed to the evaluation and interpretation of cardiac findings. Federico Bertini, Ludovico D’Incerti: interpreted ante-mortem and post-mortem radiological findings. Elisa Severi: performed the surgical procedures. All authors contributed to drafting and critically revising the manuscript and approved the final version.
ETHICAL CONSIDERATION
The study was approved by the Ethics Committee (Approval No. PA_09/2025) and conducted in accordance with the Helsinki Declaration. Written informed consent for autopsy, genetic analyses, and publication of clinical data was obtained from the patient’s legal guardians. All data were anonymized to protect confidentiality.
Histroy
Received: August 26, 2025
Accepted: November 11, 2025
Figures and tables
Figure 1. Upon sectioning, the heart exhibited circumferential chromatic inhomogeneity of both the left and right ventricles, including the ventricular walls and papillary muscles (left), while the liver showed fibrosis progressing to cirrhosis (right).
Figure 2. Microscopic examination of the heart revealed areas of myocardial coagulative necrosis corresponding to macroscopic regions of color inhomogeneity; papillary muscles (a) and ventricular wall (b). Hematoxylin and eosin staining, original magnification 4× (a-b)
Figure 3. Calcification of the internal elastic lamina was observed in the aortic arch (a) and in medium- and large-sized coronary arteries (b), with complete occlusion of the smallest coronary branches (c). Hematoxylin and eosin staining, original magnification 4× (a-c).
Figure 4. Lungs: calcifications affected both the afferent arteries and the intraparenchymal arterioles. Hematoxylin and eosin staining, original magnification 4× (a-c).
Figure 5. Kidneys (a), spleen (b), adrenal glands (c), thymus (d); calcifications were confined exclusively to the afferent/extra parenchymal arteries. Hematoxylin and eosin staining, original magnification 4× (a-d).
Figure 6. Microscopic evaluation of the liver confirmed the presence of extensive fibrosis with architectural distortion and nodular formation, indicative of progression toward cirrhosis. PAS and Perls stains showed no evidence of glycogen or iron deposition. a: hematoxylin-eosin, b: trichrome, c: PAS, d: Perls, original magnification 4× (a-d).
Figure 7. Subtle calcific deposits primarily affecting the lumbar segment of the aorta, as indicated by arrows (a). Day 4 echocardiogram (b-c): Parasternal long-axis view showing hyperechogenic walls of the aortic bulb and ascending aorta due to calcium deposits. (b) Subcostal four-chamber view demonstrating dilation of the left atrium and ventricle. White arrows indicate the “sunburst sign,” correlating with fibrosis of the left ventricular wall (c). Post-mortem computed tomography (CT) of the formalin-fixed heart demonstrated diffuse and extensive calcification (arrows) involving the coronary arteries and the aortic root (d-e).
References
- Kawai K, Sato Y, Kawakami R. Generalized Arterial Calcification of Infancy (GACI): Optimizing Care with a Multidisciplinary Approach. J Multidiscip Healthc. 2022;15:1261-1276. doi:https://doi.org/10.2147/JMDH.S251861
- Durante G. Athérome congénital de l’aorte et de l’artère pulmonaire. Bull Soc Anat Paris. 1899;74:97-101.
- Ferreira C, Hackbarth M, Ziegler S. Prospective phenotyping of long-term survivors of generalized arterial calcification of infancy (GACI). Genet Med. 2021;23(2):396-407. doi:https://doi.org/10.1038/s41436-020-00983-0
- Rutsch F, Ruf N, Vaingankar S. Mutations in ENPP1 are associated with ‘idiopathic’ infantile arterial calcification. Nat Genet. 2003;34(4):379-81. doi:https://doi.org/10.1038/ng1221
- Persy V, McKee M. Prevention of vascular calcification: is pyrophosphate therapy a solution?. Kidney Int. 2011;79(5):490-3. doi:https://doi.org/10.1038/ki.2010.478
- Nitschke Y, Baujat G, Botschen U. Generalized arterial calcification of infancy and pseudoxanthoma elasticum can be caused by mutations in either ENPP1 or ABCC6. Am J Hum Genet. 2012;90(1):25-39. doi:https://doi.org/10.1016/j.ajhg.2011.11.020
- Li Q, Brodsky J, Conlin L. Mutations in the ABCC6 gene as a cause of generalized arterial calcification of infancy: genotypic overlap with pseudoxanthoma elasticum. J Invest Dermatol. 2014;134(3):658-665. doi:https://doi.org/10.1038/jid.2013.370
- Chong C, Hutchins G. Idiopathic infantile arterial calcification: the spectrum of clinical presentations. Pediatr Dev Pathol. 2008;11(5):405-15. doi:https://doi.org/10.2350/07-06-0297.1
- Ramirez-Suarez K, Cohen S, Barrera C, Levine M, Goldberg D, Otero H. Longitudinal assessment of vascular calcification in generalized arterial calcification of infancy. Pediatr Radiol. 2022;52(12):2329-2341. doi:https://doi.org/10.1007/s00247-022-05364-0
- Richards S, Aziz N, Bale S. Standards and guidelines for the interpretation of sequence variants: a joint consensus recommendation of the American College of Medical Genetics and Genomics and the Association for Molecular Pathology. Genet Med. 2015;17(5):405-24. doi:https://doi.org/10.1038/gim.2015.30
- Mercurio S, Chunn L, Khursigara G. ENPP1 deficiency: A clinical update on the relevance of individual variants using a locus-specific patient database. Hum Mutat. 2022;43(12):1673-1705. doi:https://doi.org/10.1002/humu.24477
- Numakura C, Yamada M, Ariyasu D. Genetic and enzymatic analysis for two Japanese patients with idiopathic infantile arterial calcification. J Bone Miner Metab. 2006;24(1):48-52. doi:https://doi.org/10.1007/s00774-005-0645-0
- Staretz-Chacham O, Shukrun R, Barel O. Novel homozygous ENPP1 mutation causes generalized arterial calcifications of infancy, thrombocytopenia, and cardiovascular and central nervous system syndrome. Am J Med Genet A. 2019;179(10):2112-2118. doi:https://doi.org/10.1002/ajmg.a.61334
- Hudert C, Selinski S, Rudolph B. Genetic determinants of steatosis and fibrosis progression in paediatric non-alcoholic fatty liver disease. Liver Int. 2019;39(3):540-556. doi:https://doi.org/10.1111/liv.14006
- Rutsch F, Böyer P, Nitschke Y. Hypophosphatemia, hyperphosphaturia, and bisphosphonate treatment are associated with survival beyond infancy in generalized arterial calcification of infancy. Circ Cardiovasc Genet. 2008;1(2):133-40. doi:https://doi.org/10.1161/CIRCGENETICS.108.797704
- Ferreira C, Kintzinger K, Hackbarth M. Ectopic Calcification and Hypophosphatemic Rickets: Natural History of ENPP1 and ABCC6 Deficiencies. Journal Bone Miner Res. 2021;36(11):2193-202. doi:https://doi.org/10.1002/jbmr.4418
- Albright R, Stabach P, Cao W. ENPP1-Fc prevents mortality and vascular calcifications in rodent model of generalized arterial calcification of infancy. Nat Commun. Published online 2015. doi:https://doi.org/10.1038/ncomms10006
- The ENERGY Study Evaluation of Safety and Tolerability of INZ-701 in Infants with ENPP1 Deficiency (ENERGY).
- Pu L, Dai X, Liu H, Li L, Zhao F, Chen J. Prenatal diagnosis of generalized arterial calcification of infancy in the second trimester. Prenat Diagn. 2022;42(12):1538-1544. doi:https://doi.org/10.1002/pd.6245
Downloads
License
This work is licensed under a Creative Commons Attribution-NonCommercial-NoDerivatives 4.0 International License.
Copyright
Copyright (c) 2026 Società Italiana di Anatomia Patologica e Citopatologia Diagnostica, Divisione Italiana della International Academy of Pathology
How to Cite
- Abstract viewed - 250 times
- PDF downloaded - 126 times
