Original articles
Vol. 117: Issue 6 - December 2025
Distinction of thymic carcinoma and type B3 thymoma using ancillary biomarkers
Summary
Objective. Thymic carcinomas (TC) are rare and understudied tumors. Pitfalls exist with TC diagnosis, and biomarkers are needed to support the pathologist. Here, we tested a series of biomarkers to differentiate TC from type B3 thymoma.
Methods. A consecutive series of 48 patients, 26 with TC and 22 with type B3 thymoma entered the study. Immunohistochemical expression of CD5, CD117, BAP1, MTAP, Ki-67 was evaluated. CDKN2A status was assessed by FISH.
Results. CD5 and CD117 were expressed in TC only (n = 19 and n = 20 respectively). Five TC did not show CD5 or CD117 expression. BAP1 expression was lost in 3 TC, while MTAP staining was absent in 3 TC and 1 type B3 thymoma. CDKN2A deletion was observed in 4 TC and 1 type B3 thymoma. CD5 and CD117 showed a perfect specificity for TC and a good sensitivity, especially when combined (0.81). The addition of the other markers improved the sensitivity (0.85) with a slight decrease in specificity (0.95). Indeed, one type B3 thymoma harboured CDKN2A deletion with MTAP loss of expression.
Conclusions. CD5 and CD117 are the best markers for TC. While the addition of other markers (i.e., BAP1 loss, MTAP loss and CDKN2A deletion) might be useful in cases negative for CD5 and CD117, rare cases of type B3 thymoma might harbor these alterations.
Introduction
Thymic carcinomas (TC) are rare malignancies that typically occur in the anterior mediastinum 1. Owing to its rarity, clinical studies are often limited to case reports and small case series. Consequently, the standardization of diagnostic criteria and treatment approaches is difficult 2.
The most important classifying attempt has been introduced by Juan Rosai and adopted by the WHO classification in 1999, according to which, thymomas are subdivided in type A, AB, B1, B2, B3 and C; the latter is also known as TC 3. This classification has persisted throughout the modifications in the subsequent WHO classifications of thymic tumors. However, some characteristics are shared by different lesions and the differential diagnosis between tumors such as type A and AB thymoma, but also between type B3 thymoma and TC can be challenging 4. The distinction between thymic entities takes into account the so-called organotypic characteristics, evaluating the growth and histological architecture of the neoplasm in relation to normal parenchyma 5. Although the diagnostic boundaries between the different thymic malignancies are not always clear and have required continuous improvement over the years, this classification approach maintains its usefulness in the prognostic assessment 6.
In the last years, new efforts to understand the biology and to classify thymic lesions have been made. The Cancer Genome Atlas (TCGA) project on thymic epithelial tumors has shed light on the molecular alterations harboured by these lesions 7. On the other hand, the American Joint Committee on Cancer TNM staging has been developed also for thymic malignancies and should replace the Masaoka-Koga staging 2.
Despite these progresses, there are still open challenges, such as the differential diagnosis between type B3 thymoma and thymic carcinomas. Given the prognostic value of this stratification and the lack of pathognomonic markers for thymic carcinoma, the use of immunohistochemical and ancillary molecular tests is needed 8.
Due to their predominant expression in thymic carcinoma, CD5 and CD117 have represented the classic tool to differentiate it from type B3 thymoma 9,10. However, the sensitivity of these markers is limited 11, and the research of new biomarkers is needed. BAP1 and MTAP loss of expressions have been recently proposed as new markers of thymic carcinomas 12. Also, homozygous deletions of CDKN2A (p16) have been observed almost exclusively in thymic carcinoma 13, and loss of p16 expression has been proposed as poor prognostic marker 14.
Here, we evaluated a panel of immunohistochemical biomarkers, including CD5, CD117, BAP1 and MTAP and deletions of CDKN2A in a consecutive cohort of type B3 thymomas and TC to assess the role of these biomarkers in thymic tumors.
Materials and methods
STUDY POPULATION
Consecutive patients affected by TC or B3 thymoma between 2018 and 2024 were included in the study. All cases underwent surgery and were followed at the University Hospital of Pisa, Italy. Patients records were also evaluated for clinical history of neoplasia, myasthenia gravis (MG) and other immune disorders. Disease-free survival (DFS) was considered as the time interval in months between the date of resection and the date of instrumentally-proven tumor relapse. In the absence of recurrence, patients were right-censored to the last follow-up visit. The study has been approved by the local Ethics Committee (Comitato Etico Regione Toscana, Area Vasta Nord-Ovest, CEAVNO, protocol number 27521); it was conducted retrospectively and conforming to the principles of the Helsinki Declaration of 1975. All hematoxylin and eosin slides were independently reviewed by two pathologists (G.A and A.C.) and tumors were classified according to the WHO 2021 criteria 15.
IMMUNOHISTOCHEMISTRY
Four μm-thick formalin-fixed paraffin-embedded unstained tissue sections were deparaffinized in xylene and rehydrated in graded series of ethanol solutions. Staining was performed using the following antibodies: mouse monoclonal primary anti-BAP1 antibody (clone C-4, Santa Cruz Biotechnology, Dallas, TX, United States; 1:100 dilution); mouse monoclonal primary anti-MTAP antibody (clone 2G4, Abnova, Taipei City, Taiwan; 1:100 dilution); rabbit monoclonal primary anti-CD117 antibody (clone YR145, Cell Marque Corporation, Rocklin, CA, USA; 1:100 dilution); rabbit monoclonal primary anti-CD5 antibody (clone SP19, Ventana Medical Systems, Tucson, AZ, USA; ready to use); rabbit monoclonal primary Ki-67 antibody (clone 30-9, Ventana Medical Systems; ready to use). Immunohistochemistry was conducted with the OptiView DAB IHC Detection Kit and OptiView Amplification Kit (Ventana Medical Systems), according to the manufacturer’s protocol. Immunostaining was carried out on a BenchMark XT automated slide stainer (Ventana Medical Systems).
A case was considered with loss of BAP1 when absence of BAP1 nuclear staining was observed in neoplastic cells in the presence of a positive internal control in inflammatory and stromal cells 16.
The absence of MTAP cytoplasmic staining in neoplastic cells in the presence of a positive internal control (i.e., stromal or inflammatory cells) defined a case as positive for MTAP loss 16.
Regarding Ki-67, only distinct nuclear staining of neoplastic cells was used for scoring. The entire tumor slide was assessed, and the average score was determined semi-quantitatively as a percentage of positively stained tumor cell nuclei at 100× magnification.
CDKN2A (P16) FLUORESCENT IN SITU HYBRIDIZATION (FISH)
FISH for p16 was performed following the manufacturer’s protocol and using the commercially available probe SPEC CDKN2A/CEN 9 Dual Colour Probe (ZytoLight, Milan, Italy). At least 60 cells were analyzed in each case. A case was considered positive (i.e., with CDKN2A deletion) if CDKN2A (p16) homozygous deletion pattern was observed in > 10% of neoplastic thymic cells 17.
STATISTICS
Numeric variables are presented as median and interquartile range (IQR); differences were tested by the Mann-Whitney U test. Categorical variables were tested by either the Chi-square or the Fisher exact tests. The diagnostic performance of the biomarkers was evaluated by Receiver Operating Characteristics (ROC) analysis; 95% confidence intervals were estimated by 2000 bootstrap resampling. The best cut-off was selected according to the Youden’s J statistics. Time-to-event data were used to build Kaplan-Meier curves, and differences were tested by the Log-rank test. A P-value of 0.05 was deemed significant. All analyses and graphics were performed and produced in R environment (https://www.r-project.org/, v.4.3.3, last accessed August 5, 2025).
Results
PATIENTS
A total of 48 patients were included in the study: 26 were diagnosed with TC and 22 with type B3 thymoma. One patient with TC had a concomitant minor type B3 component (about 10%); however, ancillary biomarkers were tested in the TC component and, for this reason, the patient was considered with TC herein. Patients with TC were older, more frequently male and had a more advanced stage at diagnosis. No differences in terms of maximum diameter of the primary lesion were observed. Coexisting myasthenia gravis was present almost exclusively in patients with type B3 thymoma; the only exception was the patient with coexisting TC and type B3 thymoma. Detailed clinical-pathological features of the study population are reported in Table I.
Among TC, 18 were squamous, 5 basaloid, 1 adenosquamous, 1 lymphoepithelioma-like and 1 not otherwise specified (NOS). Squamous TC included 11 nonkeratinizing and 6 keratinizing tumors. Among the squamous TC, 2 were well differentiated, 4 moderately differentiated and 11 poorly differentiated. In one case, the biopsy obtained through video-assisted thoracoscopic surgery (VATS) provided only limited tissue, preventing a reliable assessment of both the degree of differentiation and keratinization.
BIOMARKER TESTING
BAP1 expression was lost only in TC (n = 3, 11.5%), while MTAP loss of expression was observed in 3 TC (15.4%) and 1 (4.5%) B3 thymoma. Only one TC lost both MTAP and BAP1 expression. Ki-67 levels were higher in TC than in B3 thymoma (45%, IQR 31.25-63.75% vs 10%, IQR 5-15%, P < 0.0001). The best Ki-67 cut-off was 22.5%, resulting in a sensitivity of 0.81 and a specificity of 0.91, with on overall accuracy of 0.85. CD5 and CD117 were expressed in TC only (Fig. 1). However, 7 (26.9%) and 6 (23.1%) TC did not express CD5 and CD117 respectively; 5 of them (19.2%) were negative for both CD5 and CD117. One case negative for both CD5 and CD117 showed loss of BAP1 expression (Fig. 2). CDKN2A deletion was observed in 4 TC (15.4%); 3 of them showed loss of MTAP expression. One B3 thymoma (4.5%) showed CDKN2A deletion with MTAP loss (Fig. 3). Detailed results of biomarker testing are reported in Table II. The combination of CD5 and CD117 allowed to identify 21 TC (80.8%). The addition of the other biomarkers (i.e., BAP1, MTAP and CDKN2A) was useful in identifying one more TC (n = 22, 84.6%) while losing some specificity. The diagnostic performance of the biomarkers and their combination is reported in Table III.
Interestingly, all non-squamous carcinomas (n = 8) expressed CD5 and CD117, with the only exception being the NOS TC, which lacked CD117 expression. Conversely, CD5 and CD117 staining was negative in 7 (41%) and 5 (29%) of squamous carcinomas, respectively, with no differences observed according to keratinization or degree of differentiation.
FOLLOW-UP
Follow-up data was available for 28 (58.3%) patients, including 15 with TC (57.7%) and 13 with type B3 thymoma (59.1%). The median follow-up was 22 months (IQR 10.3-44). Overall, 19 patients (67.9%) had recurrence, with no significant differences according to histology (Fig. 4A), R status, carcinoma subtyping, keratinization or degree of differentiation. TNM staging was the only significant predictor of DFS (Fig. 4B). Females had a shortest DFS, tough without reaching statistical significance (Fig. 4C).
Discussion
Thymic epithelial tumors (TET) are a heterogeneous group of lesions, which encompass types A, AB, B1, B2, B3 thymoma and TC. Recently, a molecular-based classification has been proposed by the TCGA working group on TET. This classification somehow reflects the histologic classification, with TC representing a distinct subgroup with higher mutational load 7. However, the TCGA findings have not yet been incorporated within the routine practice of TET. Hence, the research of biomarkers to support differential diagnosis and prognosis definition is still needed. Here we investigated the usefulness of a panel of biomarkers, including CD5, CD117, BAP1, MTAP and CDKN2A, in the differential diagnosis between type B3 thymomas and TC. CD5 and CD117 confirm to be the best markers for TC with 100% of specificity 11,12. Indeed, they were not expressed in type B3 thymoma and achieved a diagnostic sensitivity greater than 70%. The sensitivity was above 80% by combining the two markers.
BAP1 is a tumor suppressor gene involved in the pathogenesis of various tumors, including pleural mesothelioma, uveal melanoma, and clear cell renal cell carcinoma 18. Somatic mutations of the BAP1 gene can lead to a loss of nuclear expression of the BAP1 protein 19. The MTAP gene is located on chromosome 9p21 close to CDKN2A, a well-known tumor-suppressor gene involved in cell cycle control. Deletions of CDKN2A are frequently associated with deletions of MTAP, thus resulting in the absence of cytoplasmic expression of the protein. Therefore, IHC for MTAP can be used as a surrogate marker for CDKN2A deletions in various tumors, such as pleural mesothelioma and non-small cell lung cancer 19,20. Mutations of BAP1 and CDKN2A deletions have also been frequently reported in TETs, especially in TC 21.
Angirekula et al. demonstrated a loss expression of BAP1 in 11% and lack of MTAP expression in 15% of TC 12. Similarly, in our cohort we observed negativity for BAP1 and MTAP in 15,4% (4 cases) and 11,5% (3 cases) of TC, respectively. Our data confirm that only a small percentage of TC are characterized by the loss of either BAP1 or MTAP; therefore, the retained positivity for such markers does not exclude a diagnosis of TC. Nevertheless, they may be useful in cases where CD5 and CD117 are not expressed. Indeed, in our series, one TC that was negative for both biomarkers, showed loss of BAP1 staining.
While numerous studies have investigated the diagnostic correlation between CDKN2A deletions and MTAP staining loss in pleural mesothelioma, the data available in literature for TC is still limited 12. In our cohort, out of 4 TC that harbored CDKN2A deletion, 3 showed also loss of MTAP expression.
One case of our series, diagnosed as type B3 thymoma, was particularly challenging from a morphological perspective. The tumor exhibited a lobular architecture, with nodules extending into the mediastinal fat with an expansive pattern of invasion. Neoplastic cells showed abundant eosinophilic cytoplasm and moderate to marked cytological atypia. Poorly formed perivascular spaces were observed, as well as diffuse vascular invasion (Fig. 3A-B). Moreover, IHC for TdT highlighted the presence of scattered immature lymphocytes within the tumor, while the neoplastic cells were negative for both CD5 and CD117. Ki-67 was estimated at 20%. Considering these morphological and immunohistochemical features, and the clinical association with myasthenia gravis, the tumor was classified as a type B3 thymoma 22. Nevertheless, when BAP1 and MTAP were evaluated, neoplastic cells showed retained nuclear positivity for BAP1, and loss of cytoplasmic expression of MTAP. FISH analysis was subsequently performed, confirming the deletion of CDKN2A (Fig. 3C-D). As previously stated, the differential diagnosis between type B3 thymoma and TC based solely on morphology may be particularly challenging, since histological hallmarks of malignancy, such as overt nuclear atypia, or the presence of vascular invasion, are not exclusive to either entity. In addition, both CD5 and CD117 may be negative in a small percentage of TCs, representing a potential pitfall for the diagnosis. The role of BAP1 and MTAP in such cases is yet to be completely defined. In pleural mesothelial proliferations, loss of expression of BAP1 or MTAP evaluated by IHC, or deletion of CDKN2A observed by FISH, is sufficient to support the diagnosis of mesothelioma over mesothelial hyperplasia, even in cytological samples where the neoplastic invasion is not assessable 23. Similarly, recent studies investigating the expression of BAP1 and MTAP in TETs demonstrated a perfect specificity of these biomarkers for thymic carcinoma. Therefore, they have been proposed as part of broader IHC panels for the distinction between thymoma and thymic carcinoma 12,24. Nevertheless, Petrini et al. identified a homozygous deletion of CDKN2A in a small subset of B3 thymomas, though no IHC for MTAP was performed on such cases 25. To the best of our knowledge, our case is the first example reported in the literature of a type B3 thymoma with loss of cytoplasmic expression of MTAP and with deletion of CDKN2A confirmed by FISH. Further studies are needed to validate the use of this biomarker in the differential diagnosis between type B3 thymoma and TC, especially in morphologically challenging cases.
Besides their usefulness as diagnostic markers, CD5 and CD117 were not associated with DFS in our series. CD5 staining in 50% of more tumor cells has been recently associated with longer overall survival in patients with TC, independently of the major confounders 26. In our series, we could not evaluate this association since only one patient with TC died of the disease during follow-up.
Ki-67 labeling index, in association with histology, can also be useful in the distinction between thymoma and TC. Roden et al. suggested a Ki-67 labelling index of 13,5% or higher as a practical cut-off to identify TC 27. Our data confirmed that a higher Ki-67 labelling index is associated with TC. However, in our cohort Ki-67 levels in type B3 thymoma ranged from 2 to 50%, with a median of 10%, demonstrating that a greater cut-off should be considered for the differential diagnosis between these two entities.
As previously reported, patients diagnosed with thymic carcinoma were older than patients diagnosed with type B3 thymoma, with a median age of 65.5 2. Moreover, we observed a male predominance in TC over type B3 thymoma, though without reaching statistical significance. In our series, 76.2% of patients with type B3 thymoma presented with myasthenia gravis. This prevalence is higher than that that reported in previous studies 4. On the other hand, we confirmed that this syndrome is extremely rare in TC, with only one case observed in our cohort. It has to be acknowledged that this patient had a concomitant type B3 thymoma. Despite being only a small part of the neoplasm (about 10%), it is reasonable that the type B3 thymoma component is accountable for the production of auto-antibodies and the development of myasthenia gravis.
Finally, this study suffers from some limitations. First, the study is retrospective and included a small number of patients, though in line with the rarity of TET. Second, the median follow-up period is short, thus limiting the time-to-event analyses. Indeed, in our study survival analyses could not be performed.
Conclusions
CD5 and CD117 confirm to be the best markers for TC, with a perfect specificity and a combined sensitivity above 80%. The use of other markers (i.e., BAP1 loss, MTAP loss and CDKN2A deletion) might be helpful in identifying TC cases negative for CD5 and CD117. However, rare cases of type B3 thymoma might harbor these alterations. Finally, Ki-67 staining could be a useful support for the differential diagnosis between TC and type B3 thymoma, though a specific cut-off warrants further studies.
CONFLICTS OF INTEREST STATEMENT
The authors have no conflicts of interest to disclose.
FUNDING
The authors received no specific funding for this study.
AUTHORS’ CONTRIBUTIONS
Conceptualization: AMP, SS, GA; Formal analysis: AMP; Investigation: AC, VA, IP, SS, DB, CN, MG, MM, MCA, ML, GA; Data curation: AMP, SS, AC; Writing – original draft: AMP, AC, GA; Writing – review and editing: all authors; Visualization: AMP, AC, GA; Supervision: ML, GA.
ETHICAL CONSIDERATION
The study has been approved by the local Ethics Committee (Comitato Etico Regione Toscana, Area Vasta Nord-Ovest (CEAVNO), protocol number 27521).
The research was conducted ethically, with all study procedures being performed in accordance with the requirements of the World Medical Association’s Declaration of Helsinki.
Written informed consent was obtained from each patient for study participation and data publication.
Histroy
Received: September 8, 2025
Accepted: November 26,, 2025
Figures and tables
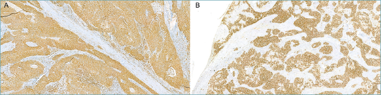
Figure 1. Immunostaining in TC. The tumor cells exhibit diffuse expression of both CD5 (A) and CD117 (B). All images are at ×40 magnification.
Figure 2. Three different cases of TC. The first case (A-D-G) shows loss of nuclear expression of BAP1 (D), and a retained cytoplasmic expression of MTAP (G); in the second example of TC (B-E-H), the tumor cells express BAP1 (E), but are negative for MTAP (H); in the third case (C-F-I) expression of both BAP1 (F) and MTAP (I) is retained. Magnification: H&E × 40 (A, B, C), BAP1 × 100 (D, E, F), MTAP × 200 (G, H, I).
Figure 3. A challenging case of type B3 thymoma. The tumor shows a lobular growth pattern (A), and tumor cells exhibit an abundant eosinophilic cytoplasm and moderate to marked cytological atypia. (B); MTAP expression in the tumor cells is lost (C); FISH analysis for CDKN2A confirmed the presence of the deletion (D). Magnification, H&E × 50 (A), × 100 (B), MTAP × 200 (C), FISH × 60 (D).
Figure 4. Disease-free survival (DFS). No differences were observed between TC and type B3 thymoma (A). Tumor stage was the only significant predictor of DFS (B). Female patients showed a trend towards shorter DFS (C).
| Clinical-pathological feature | Thymic carcinoma (n = 26) | Type B3 thymoma (n = 22) | P-value | |
|---|---|---|---|---|
| Age, years | median (IQR) | 65.5 (59-72.75) | 54.5 (41.75-59) | 0.0001 |
| Sex, male | n (%) | 16 (61.5) | 8 (36.4) | 0.15 |
| Diameter, cm | median (IQR) | 4.6 (3-6.3) | 5 (3.4-8) | 0.34 |
| TNM stage | I or II | 5 (29.4) | 13 (72.2) | 0.02 |
| III or IV | 12 (70.6) | 5 (27.8) | ||
| NA* | 9 | 4 | ||
| R status | R1 | 20 (76.9) | 21 (95.5) | 0.11 |
| Myasthenia gravis | yes | 1 (5.6)§ | 16 (76.2) | 0.0001 |
| no | 17 (94.4) | 5 (23.8) | ||
| NA* | 8 | 1 | ||
| IQR, interquartile range; NA, not available* cases with data not available were not considered for statistics.§ the patient had a concomitant type B3 thymoma (about 10%) | ||||
| Biomarker | Thymic carcinoma (n = 26) | Type B3 thymoma (n = 22) | P-value | |
|---|---|---|---|---|
| CD5 | median (IQR) | 70 (5-90) | 0 (0-0) | < 0.0001 |
| CD117 | median (IQR) | 85 (42.5-90) | 0 (0-0) | < 0.0001 |
| Ki-67 | median (IQR) | 45 (31.25-63.75) | 10 (5-15) | < 0.0001 |
| BAP1* | n (%) | 4 (15.4%) | 0 | 0.11 |
| MTAP* | 3 (11.5%) | 1 (4.5%) | 0.61 | |
| n (%) | ||||
| CDKN2A deletion | n (%) | 4 (15.4%) | 1 (4.5%) | 0.36 |
| IQR, interquartile range*loss of expression | ||||
| Biomarker | AUC (95% CI) | Sensitivity (95% CI) | Specificity (95% CI) | Accuracy (95% CI) |
|---|---|---|---|---|
| CD5 | 0.87 (0.77-0.94) | 0.73 (0.54-0.88) | 1 (1-1) | 0.85 (0.74-0.94) |
| CD117 | 0.88 (0.79-0.96) | 0.77 (0.58-0.92) | 1 (1-1) | 0.87 (0.77-0.96) |
| CD5 and CD117 combined | 0.90 (0.83-0.96) | 0.81 (0.65-0.96) | 1 (1-1) | 0.90 (0.81-0.98) |
| All markers combined* | 0.90 (0.81-0.98) | 0.85 (0.69-0.96) | 0.95 (0.86-1) | 0.90 (0.79-0.98) |
| AUC, area under the curve; CI, confidence interval.CD5, CD117, BAP1, MTAP and CDKN2A qualitative assessment | ||||
References
- Roden A, Fang W, Shen Y. Distribution of Mediastinal Lesions Across Multi-Institutional, International, Radiology Databases. Journal of Thoracic Oncology. 2020;15:568-579. doi:https://doi.org/10.1016/j.jtho.2019.12.108
- Roden A, Ahmad U, Cardillo G. Thymic Carcinomas—A Concise Multidisciplinary Update on Recent Developments From the Thymic Carcinoma Working Group of the International Thymic Malignancy Interest Group. Journal of Thoracic Oncology. 2022;17:637-650. doi:https://doi.org/10.1016/j.jtho.2022.01.021
- Dadmanesh F, Sekihara T, Rosai J. Histologic Typing of Thymoma According to the New World Health Organization Classification. Chest Surg Clin N Am. 2001;11:407-420.
- Wu J, Fang W, Chen G. The Enlightenments from ITMIG Consensus on WHO Histological Classification of Thymoma and Thymic Carcinoma: Refined Definitions, Histological Criteria, and Reporting. J Thorac Dis. 2016;8:738-743. doi:https://doi.org/10.21037/jtd.2016.01.84
- Den Bakker M, Marx A, Mukai K. Mesenchymal Tumours of the Mediastinum—Part I. Virchows Arch. 2015;467:487-500. doi:https://doi.org/10.1007/s00428-015-1830-8
- Marx A, Chan J, Chalabreysse L. The 2021 WHO Classification of Tumors of the Thymus and Mediastinum: What Is New in Thymic Epithelial, Germ Cell, and Mesenchymal Tumors?. J Thorac Oncol. 2022;17:200-213. doi:https://doi.org/10.1016/j.jtho.2021.10.010
- Radovich M, Pickering C, Felau I. The Integrated Genomic Landscape of Thymic Epithelial Tumors. Cancer Cell. 2018;33:244-258.e10. doi:https://doi.org/10.1016/j.ccell.2018.01.003
- von der Thüsen J. Thymic epithelial tumours: histopathological classification and differential diagnosis. Histopathology. 2024;84:196-215. doi:https://doi.org/10.1111/his.15097
- Hishima T, Fukayama M, Fujisawa M. CD5 Expression in Thymic Carcinoma. Am J Pathol. 1994;145:268-275.
- Pan C, Chen P, Chiang H. KIT (CD117) Is Frequently Overexpressed in Thymic Carcinomas but Is Absent in Thymomas. The Journal of Pathology. 2004;202:375-381. doi:https://doi.org/10.1002/path.1514
- Su X-Y, Wang W-Y, Li J-N. Immunohistochemical Differentiation between Type B3 Thymomas and Thymic Squamous Cell Carcinomas. Int J Clin Exp Pathol. 2015;8:5354-5362.
- Angirekula M, Chang S, Jenkins S. CD117, BAP1, MTAP, and TdT Is a Useful Immunohistochemical Panel to Distinguish Thymoma from Thymic Carcinoma. Cancers. 2022;14. doi:https://doi.org/10.3390/cancers14092299
- Enkner F, Pichlhöfer B, Zaharie A. Molecular Profiling of Thymoma and Thymic Carcinoma: Genetic Differences and Potential Novel Therapeutic Targets. Pathology and Oncology Research. 2017;23:551-564. doi:https://doi.org/10.1007/s12253-016-0144-8
- Aesif S, Aubry M, Yi E. Loss of P16 INK4A Expression and Homozygous CDKN2A Deletion Are Associated with Worse Outcome and Younger Age in Thymic Carcinomas. Journal of Thoracic Oncology. 2017;12:860-871. doi:https://doi.org/10.1016/j.jtho.2017.01.028
- Classification of Thoracic Tumors. IARC Publications; 2021.
- Berg K, Dacic S, Miller C. A. Utility of Methylthioadenosine Phosphorylase Compared With BAP1 Immunohistochemistry, and CDKN2A and NF2 Fluorescence In Situ Hybridization in Separating Reactive Mesothelial Proliferations From Epithelioid Malignant Mesotheliomas. Arch Pathol Lab Med. 2018;142:1549-1553. doi:https://doi.org/10.5858/arpa.2018-0273-OA
- Hamasaki M, Matsumoto S, Abe S. Low homozygous/high heterozygous deletion status by p16 FISH correlates with a better prognostic group than high homozygous deletion status in malignant pleural mesothelioma. Lung Cancer. 2016;99:155-61. doi:https://doi.org/10.1016/j.lungcan.2016.07.011
- Louie B, Kurzrock R. BAP1: Not just a BRCA1-associated protein. Cancer Treat Rev. 2020;90. doi:https://doi.org/10.1016/j.ctrv.2020.102091
- Chapel D, Hornick J, Barlow J. Clinical and molecular validation of BAP1, MTAP, P53, and Merlin immunohistochemistry in diagnosis of pleural mesothelioma. Mod Pathol. 2022;35:1383-1397. doi:https://doi.org/10.1038/s41379-022-01081-z
- Chapel D, Schulte J, Berg K. MTAP immunohistochemistry is an accurate and reproducible surrogate for CDKN2A fluorescence in situ hybridization in diagnosis of malignant pleural mesothelioma. Mod Pathol. 2020;33:245-254. doi:https://doi.org/10.1038/s41379-019-0310-0
- Petrini I, Meltzer P, Kim I. A specific missense mutation in GTF2I occurs at high frequency in thymic epithelial tumors. Nat Genet. 2014;46:844-9. doi:https://doi.org/10.1038/ng.3016
- Marx A, Ströbel P, Badve S. ITMIG consensus statement on the use of the WHO histological classification of thymoma and thymic carcinoma: refined definitions, histological criteria, and reporting. J Thorac Oncol. 2014;9:596-611. doi:https://doi.org/10.1097/JTO.0000000000000154
- Lynggård L, Panou V, Szejniuk W. Diagnostic capacity of BAP1 and MTAP in cytology from effusions and biopsy in mesothelioma. J Am Soc Cytopathol. 2022;11:385-393. doi:https://doi.org/10.1016/j.jasc.2022.07.003
- Naso J, Vrana J, Koepplin J. EZH2 and POU2F3 Can Aid in the Distinction of Thymic Carcinoma from Thymoma. Cancers (Basel). 2023;15. doi:https://doi.org/10.3390/cancers15082274
- Petrini I, Meltzer P, Zucali P. Copy number aberrations of BCL2 and CDKN2A/B identified by array-CGH in thymic epithelial tumors. Cell Death Dis. 2012;3. doi:https://doi.org/10.1038/cddis.2012.92
- Naso J, Jenkins S, Vrana J. CD5 Immunoreactivity Is Associated With Longer Overall Survival in Thymic Carcinoma: A Brief Report. JTO Clinical and Research Reports. 2025;6. doi:https://doi.org/10.1016/j.jtocrr.2025.100803
- Roden A, Yi E, Jenkins S. Diagnostic significance of cell kinetic parameters in World Health Organization type A and B3 thymomas and thymic carcinomas. Hum Pathol. 2015;46:17-25. doi:https://doi.org/10.1016/j.humpath.2014.10.001
Downloads
License
This work is licensed under a Creative Commons Attribution-NonCommercial-NoDerivatives 4.0 International License.
Copyright
Copyright (c) 2026 Società Italiana di Anatomia Patologica e Citopatologia Diagnostica, Divisione Italiana della International Academy of Pathology
How to Cite
- Abstract viewed - 321 times
- PDF downloaded - 122 times

