Original articles
Vol. 118: Issue 1 - February 2026
Analysis of histological parameters of aggressiveness in resected lung squamous cell carcinoma
Summary
Introduction. Lung squamous cell carcinoma (LUSCC) lacks consistent morphological criteria for tumour grading. Tumour budding (TB), defined as isolated cells or clusters of fewer than 4 cells at the invasive front, is prognostic in several carcinomas but remains insufficiently validated in LUSCC.
Objective. To assess histopathological features of aggressiveness (including TB) in resected LUSCC as prognostic parameters and grading factors.
Methods. We retrospectively analysed 296 LUSCC cases (2010-2021, University of Turin). Clinical data were collected and slides were reviewed for subtype, nuclear features, mitotic count, infiltration pattern, TB, spread through air spaces (STAS), desmoplasia, pleural/vascular/perineural invasion, and tumour-infiltrating lymphocytes. Associations with recurrence-free and overall survival were tested.
Results. High TB (≥ 5 buds) correlated with pleural invasion and advanced T stage and was significantly associated with shorter recurrence-free (HR 1.84, p = 0.008) and overall survival (HR 1.73, p = 0.003), independently of stage. Nuclear enlargement and necrosis also predicted worse outcomes, while surgery had an overall protective impact.
Conclusion. TB, necrosis, and nuclear size are independent predictors of outcome in LUSCC. Their inclusion in pathology reports may improve grading, refine prognosis, and guide management.
Introduction
Tumour grading is the most helpful morphological parameter to define aggressiveness in cancer. Currently, in lung squamous cell carcinoma (LUSCC), there is no established nor universally accepted grading system. The amount of keratinisation, proliferation, and architectural features determine the classification into low, moderate and high grade 1,2. Although multiple studies conducted over the years have validated the prognostic impact of various parameters, including nuclear diameter, single-cell invasion, spread through air spaces (STAS), and tumour budding (TB), none has been identified as the most reliable predictor of grading in LUSCC.
TB is histologically characterised by isolated tumour cells or small clusters of fewer than four cells that detach from the main tumour mass and actively invade the surrounding stroma at the tumour invasive front. Originally described in colorectal adenocarcinoma, TB was standardised during the 2016 International Tumour Budding Consensus Conference (ITBCC), which established a three-tiered system: low (0-4 buds), intermediate (5-9 buds), and high (≥ 10 buds). Since then, TB has been recognised across multiple tumour types as a robust, independent prognostic indicator 3,4.
Early investigations in LUSCC employed heterogeneous methodologies of TB identification. In 2014, Kadota et al. employed a two-tiered system and demonstrated that tumours with at least 10 buds per high-power field (HPF) had worse survival outcomes. The absolute number of buds was counted at 200x magnification using one HPF, and the presence of at least one bud per field was considered an independent prognostic factor. Using the HPF approach, interobserver variability could be problematic due to the low probability that different pathologists would select the field with the highest quantity of TB. For this reason, they proposed to assess TB on 10 HPF 5. TB was also validated by Zhao et al. in 2015 with a different approach: slides were scanned at 100x magnification to find small clusters of tumour cells at the invasive edge, which were counted at 400x in five consecutive HPF and divided into two categories, with a cut off of 10 clusters 6. In 2022, Stögbauer et al. studied lung squamous cell carcinoma from The Cancer Genome Atlas. They analysed TB, cell nest size, STAS, stroma, and immune infiltration. TB counts were performed at 400x magnification in one hotspot and across ten HPFs. The buds were scored over 10 HPF, similar to head and neck carcinoma methods, finding a link between TB and poor prognosis. They suggested using a single HPF count for small biopsies and 10 HPF for larger specimens to improve reproducibility 7.
The exact method and cut-off instituted by ITBCC for colorectal cancer were validated for the lung by Neppl et al. in 2020, on 354 cases of LUSCC having low (0-4 buds/0.785 mm2), intermediate (5-9 buds/0.785 mm2) and high (≥10 buds/0.785 mm2) TB count. They also confirmed that TB is associated with higher tumour stage, with the presence of desmoplasia, and with mediastinal lymph node metastases 8. Later, in 2024, the same group confirmed the reproducibility of the TB score in 249 consecutive LUSCC cases with paired preoperative biopsies, highlighting its association with higher TNM stages and demonstrating that preoperative biopsies are insufficient to assess the TB score of the resected tumour and its subsequent prognostic value. Given the high heterogeneity of the tumour, TB count is more reliable when performed on surgical samples, rather than biopsies 9,10. To facilitate TB identification, Qian et al. demonstrated that immunohistochemistry for cytokeratins is a valid tool to improve TB count 11.
Overall, despite consistent evidence supporting the prognostic significance of TB in LUSCC, there is still no consensus on its role, standardised evaluation method, or cut-off values. Furthermore, the integration of TB with additional histological parameters to establish a comprehensive grading system remains a subject of ongoing investigation.
The goal of our study is to assess major morphological parameters of aggressiveness in an extensive single-centre series of resected LUSCC, including STAS, nuclear size, and TB, to identify significant factors for grading squamous cell carcinoma of the lung.
Materials and methods
CASE SERIES
A total of 296 cases of resected LUSCC (122 from the City of Health and Sciences Hospital in Turin and 174 from San Luigi Gonzaga Hospital in Orbassano, Turin, both at the Department of Oncology, University of Turin) from 2010 to 2021 were included in our study. Exclusion criteria were perioperative death and unavailability of either clinical follow-up (FU) and/or histological slides. Some of these cases were also included in the validation cohort of another study on LUSCC grading (Mino-Kenudson, JTO, Sept 30, online ahead of print).
Based on the medical records, we gathered information concerning age at diagnosis, sex, smoking status, prior history of squamous cell carcinoma from other sites, type of surgical intervention, disease progression, and survival outcome status. Histological information regarding the tumour macroscopic dimensions, TNM staging, grading, resection margins, and lymph node status was also collected.
The study (GRANCAPO project) was conducted with the approval of the Institutional Ethics Committee (ID CET 57/2025). All cases were pseudonymised by a data manager staff board not involved in this project, deidentified, and coded from this step onward, and morphological and clinical correlations were performed using coded data, only.
MICROSCOPIC ANALYSES
Two pathologists (GAI and AP) reviewed all the available haematoxylin and eosin-stained slides of the tumour to assess the following parameters: histological subtype, nuclear features and size, mitotic count, alveolar space filling, pattern of infiltration, TB, STAS, desmoplasia, pleural invasion, vascular invasion, perineural invasion, and tumour-infiltrating lymphocytes (TILs). For each case, 1 to 5 slides (mean 2.5) were reviewed to assess histopathological features.
TB was assessed according to the recommendations by ITBCC 10. The slides were revised at a medium power field (100x) to identify the presence of TB at the edge of the lesion. The absolute number of buds was counted at a higher power field (200x), and the highest value was chosen to group cases into the corresponding category (0-4 clusters: low-grade, score 0; 5-9 clusters: intermediate grade, score 1; ≥ 10 clusters: high-grade, score 2) (Fig. 1, A-B).
We decided to assess keratinisation with a three-tiered system based on the quantity of keratin produced by the tumour: absent, focal, and diffuse. Focal keratinisation was defined as sparse keratin pearls found in under 25% of the tumour or, in their absence, as focal intracytoplasmic deposits. The diffuse keratinisation category was applied to tumours showing keratin pearls scattered throughout, with or without intracytoplasmic deposits.
Nuclear features were scored as low, intermediate, and high grade. Nuclei scored as low grade were small, with a round-to-oval shape, and were overall uniform. In contrast, high-grade nuclei were much larger in size, had irregular shapes, and prominent nucleoli 1. The dimension of the nuclei was also examined and defined as large if the length, measured on the major axis, was greater than that of 5 small lymphocytes aligned, in at least 100 cells, at 400x magnification (Fig. 1, C-D).
Mitoses were counted at 400x magnification in 10 HPF, and the highest number observed, namely the “hot spot” area, was recorded.
Alveolar space filling (ASF) is a phenomenon first described by Toduka et al. in 1990. It is a growth pattern where tumour cells fill the alveolar spaces without altering the architecture. It is believed to be a form of pre-invasive lesion similar to the lepidic growth pattern of LUAD. This alternative pattern often coexists near areas of conventional carcinoma in situ/high-grade dysplasia of the bronchial epithelium 12. We recorded its presence, estimating a percentage of the whole tumour area, in increments of 5.
The tumour infiltrating pattern was evaluated at the invasive front and classified into three different groups: low grade when cancer nests demonstrated an expansive type of growth with well-defined margins, high grade when tumour cells showed an infiltrative type of growth with ill-defined margins with the surrounding tissue, and intermediate grade when the observed features were in between the other two categories 13.
STAS was recorded as absent or present. STAS was considered present when small tumour clusters were found free-floating in the alveolar spaces beyond the tumour edge (Fig. 1, E-F).
Desmoplasia, vascular invasion, lymphatic invasion and perineural invasion were noted as absent vs present.Pleural invasion was assessed according to the guidelines of the staging manual of thoracic oncology and coded as follows: PL0 (0), PL1(1), PL2(2), PL3(3). Quantification of TILs was scored as absent, low, medium and high. The parameters used to define the range were quantity and arrangement in the stroma: peritumoural, interstitial, intratumoural, and compartmentalisation within lymphoid follicle-like structures.
In cases of discrepant assessments, controversies were discussed and resolved at a multihead microscope.
STATISTICAL ANALYSES
Associations among clinico-pathological parameters were evaluated using correlation analyses. For statistical purposes, some parameters were combined to create homogeneous groups. Age was dichotomised at the median split of 71 years. Pathological tumour parameters pT1a, pT1b, pT1c were grouped as pT1, whereas pT2a and pT2b as pT2. Pathological lymph node parameters pN2a and pN2b were considered as pN2. The final stages were also regrouped: IA and IB as I, IIA and IIB as II, and IIIA and IIIB as III. The same process was applied for pleural invasion: absent (PL0) versus present (PL1, PL2, or PL3). TB was dichotomised into two categories: absent/low (score 0) versus medium and high (scores 1 and 2).
The strength of association was expressed as chi-square (χ2) statistics, along with corresponding p-value. Univariate and multivariate analyses of recurrence-free survival (RFS) and overall survival (OS) were conducted using the Cox proportional hazards regression model and the Kaplan-Meier method. Differences between groups were compared with the log-rank test. Results were expressed as hazard ratios (HRs) with 95% confidence intervals (CIs). All statistical analyses were carried out using Stata software (version 18, Stata Corp, College Station, TX, USA). Statistical significance was set at a two-sided p-value < 0.05.
Results
CLINICO-PATHOLOGICAL CHARACTERISTICS
Out of 296 cases collected, 217 (73%) were males and 79 (27%) were females. The mean age at diagnosis was 70 years, with a median of 71. The smoking status was mainly unknown. The majority (75.6%) of patients with available information were active smokers. 12/296 (4%) had previously been affected by squamous cell carcinoma in other districts but were included in the study because the pulmonary lesion, after multidisciplinary discussion, was clinically confirmed as a second primary. The most commonly performed surgical approach was lobectomy (226/296, 76%), followed by pneumonectomy (46/296, 16%) and atypical/segmental resection (24/296, 8%). The mean tumour size was 41 mm. At the latest follow-up in 2025, 120/296 (41%) patients were alive with no evidence of disease (NED, average follow-up 43 months); 25/296 (8%) experienced recurrence and were alive with disease (AWD); 151/296 (51%) died within 5 years from the surgical resection (cause of death was unknown). To our follow-up data, 93/296 (31%) patients had a relapse of the disease; 151/296 (51%) died within 5 years from the surgical diagnosis.
MICROSCOPIC ANALYSIS
278/296 (94%) of the tumours were keratinising or non-keratinising squamous cell carcinomas, 13/296 (4%) had features of the basaloid subtype, and 5/296 (2%) were clear cell or sarcomatoid LUSCC subtypes. Lymphoepithelial carcinoma was not present in our cohort.
STATISTICAL CORRELATION
Based on the statistical analyses of all collected clinical and pathological parameters, TB emerged as the most significant, independent prognostic factor for both RFS and OS, in addition to the pathological stage. The clinico-pathological characteristics of the study cohort, in relation to TB scores, are summarised in Tables I and II, respectively.
Furthermore, statistical correlations between TB and the most important clinico-pathological characteristics were performed (results are summarised in Tab. III).
Interestingly, a significant association was found between TB and pleural invasion, with high-grade budding being more frequent in PL3 (58.8%) compared to PL0 tumours (24.2%). Furthermore, a significant trend was found between TB and pathological T stage (p = 0.06). The proportion of high-grade budding increased with the advancement of tumour stage, being lowest in pT1 tumours (17.6%) and higher in the pT3 (36.8%) and pT4 (32.4%) categories.
Univariate analyses of survival were conducted to evaluate the impact of evaluated histological parameters on RFS and OS (Supplementary Tab. I).
Patients with high-grade TB (≥ 5 buds in 200x field) demonstrated significantly higher recurrence rates compared with those with low-grade TB (0-4 buds in 200x field) (p = 0.0048). These results indicate that high TB is significantly associated with shorter RFS (Fig. 2, A).
Similarly, univariate analyses for OS showed that cases with high-grade TB had a substantially shorter survival rate compared to those with low-grade TB (p = 0.0059). These results demonstrate that high TB is significantly associated with reduced OS (Fig. 2, B).
In multivariate analyses, TB emerged as an independent prognostic factor for both RFS (HR 1.84, 95% CI 1.17-2.88, p = 0.008) (Fig. 3, A) and OS (HR 1.73, 95% CI 1.21-2.49, p = 0.003) (Fig. 3, B).
Other significant predictors included the pathological TNM stage, which was strongly associated with worse RFS (HR 1.47, 95% CI 1.12-1.95, p = 0.006) and OS (HR 1.50, 95% CI 1.20-1.87, p < 0.001), as expected. Surgery showed a protective effect for OS only (HR 0.62, 95% CI 0.44-0.86, p = 0.005), while it did not reach significance for RFS.
Age, gender, nodal status, and vascular invasion were not significantly associated with either RFS or OS (data not shown).
Taken together, TB and pathological TNM stage were the strongest predictors of outcome in this cohort.
Discussion
Our study investigated the prognostic significance of clinical, pathological, and morphological parameters of aggressiveness in a large cohort of 296 resected LUSCC from a single institution, with a specific focus on the role of STAS, nuclear size, and TB as potential grading factors.
Importantly, our study highlights the clinical relevance of TB, establishing it as an independent prognostic marker for both RFS and OS. TB, defined as the presence of single tumour cells or small clusters of up to four cells at the invasive front, has long been recognised as a hallmark of invasive behaviour in colorectal cancer, where it has been incorporated into international reporting guidelines, and in more recent years has become a matter of debate in lung cancer, as well. TB evaluation, while performed according to international recommendations 10, may be subjected to interobserver variation, highlighting the need for consensus training and external validation. Recently, a multicentre study 14 involving over 1500 cases has demonstrated that TB is a single useful parameter for grading LUSCC, using a cut-off of 10 buds identified by strict morphological criteria, including a fixed tumour area at the microscope. In the current series, the observed counts of tumour buds were slightly lower, with only 20 cases exceeding the proposed cut-off of 10, possibly due to differences in tumour area evaluation or a general lower aggressiveness of the resected LUSCC here investigated.
Among the other parameters evaluated, STAS was found to be significantly associated only with RFS in this series, based solely on univariate analysis. The role of STAS as a potential candidate for LUSCC grading needs to be defined, considering the recent 9th edition of the UICC staging system for lung cancer 15, in which STAS has been incorporated as a prognostic parameter to better define the extent of tumour cell invasion at the invasive front. Therefore, it seems prudent to avoid using the same feature for assessing both tumour grade and stage.
Finally, nuclear size was significantly associated with RFS when a value of five aligned lymphocytes was used. It remains to be established whether this is an independent parameter or if it can be combined with budding in a scoring system defining LUSCC grade.
Surgery was found to be a protective factor for survival, with patients undergoing complete resections experiencing better long-term outcomes. Lobectomy and pneumonectomy accounted for the majority of the procedures, whereas segmental/atypical resections were less frequent. Our analysis suggests that more radical resections may provide superior disease control, in keeping with existing surgical oncology principles. Although surgery did not show significance for RFS in multivariate models, its impact on OS underscores its importance as the cornerstone of curative-intent therapy in resectable LUSCC.
The statistical analyses also confirmed the expected importance of conventional prognostic factors such as stage and pleural invasion. The strong association observed between budding and pleural invasion in our cohort supports this concept, as both features are markers of local aggressiveness. The trend toward higher budding in advanced pT categories further reinforces this interpretation.
As expected, tumour stage emerged as a strong predictor of both RFS and OS. Stage represents the cumulative measure of tumour extension, local invasion, nodal involvement, and distant spread, and its prognostic role is well established. Our findings confirm that.
Pleural invasion also demonstrated independent prognostic significance for OS. This is in line with both the 8th of the AJCC/UICC staging manual and the 9th edition of the IASLC TNM staging system, which consider pleural invasion a criterion for upstaging tumours.
Vascular invasion, although associated with a trend toward worse prognosis, did not achieve statistical significance in multivariate models. This contrasts with some previous studies that identified vascular invasion as an adverse factor in non-small cell lung cancer. The discrepancy may reflect differences in tumour sampling, interobserver variability in histological recognition, or biological variability specific to squamous histology.
The results of this study have practical implications. The assessment of TB is straightforward and reproducible when standardised criteria are applied, and it requires no additional resources beyond routine haematoxylin and eosin slides. Furthermore, TB identification is straightforward, as it has already been established in colorectal cancer. However, inter-observer agreement and harmonisation studies should be conducted to evaluate the consistency of the same identification method, especially in the presence of inflammation or other conditions that might blur the invasive front and hamper the exact budding evaluation.
Integrating budding into pathology reports could aid in identifying high-risk patients, even among those with early-stage disease, who might otherwise be considered to bear a favourable prognosis. Such patients might benefit from closer surveillance schedules, enrolment in clinical trials, or consideration for adjuvant treatment strategies that are currently under debate for resected squamous carcinomas.
The retrospective design, which introduces potential biases, including incomplete annotation of clinical variables such as smoking status, variability in treatment decisions between centres, and causes of death, was a limitation of this study. Although the cohort size is substantial, subgroup analyses – particularly of rare histological variants – were limited by small case numbers.
A few issues remain unresolved and should be the subject of further investigation. First, the count of TBs on specimens presenting artefacts due to poor fixation has been a challenge in our study, because cells tend to detach from the extracellular matrix, making the count impossible. Second, in the evaluation of specimens from patients who received neoadjuvant treatment, a problem arises in differentiating neoplastic cells entrapped in fibrous tissue that partially responded to the therapy from actual TB. Lastly, predominant endobronchial growth, a very rare finding encountered in only one patient of this series, is characterised by low TB.
Further studies should validate the prognostic significance of nuclear size and budding in larger, multicentre cohorts and across different geographic regions, possibly associated with other parameters, including PD-L1 expression levels in high-grade resected LUSCC. Standardisation of budding assessment in lung cancer, similar to colorectal cancer, is a necessary step toward algorithms or risk models that may refine treatment options of LUSCC patients.
Our work demonstrates that nuclear size and TB are independent and significant prognostic factors in resected LUSCC, associated with both increased recurrence risk and shorter OS. Together with pathological stage and pleural invasion, budding provides essential prognostic information, while surgery continues to play a protective role. Age, sex, and vascular invasion were not independent predictors in our series.
CONFLICTS OF INTEREST
The authors declare no conflicts of interest for this study.
AUTHORS’ CONTRIBUTIONS
Giorgia Andrea Impalà wrote the article and contributed to the dataset elaboration and the revision of histological slides. Alessandra Pittaro contributed to the dataset elaboration and the revision of histological slides. Enrico Ruffini, Francesco Guerrera, Francesco Leo, and Simona Sobrero provided the clinical and surgical information from patients’ charts. Giulia Orlando, Francesca Napoli, and Vanessa Zambelli provided histological material for revision; Marco Volante, Mauro Papotti, and Luisella Righi revised and edited the manuscript.
ETHICAL CONSIDERATION
This study was approved by the Local Ethics Committee (Turin, Italy) (approval number/protocol number 57/2025).
The research was conducted ethically, with all study procedures being performed in accordance with the requirements of the World Medical Association’s Declaration of Helsinki.
History
Received: October 26, 2025
Accepted: November 23, 2025
Figures and tables
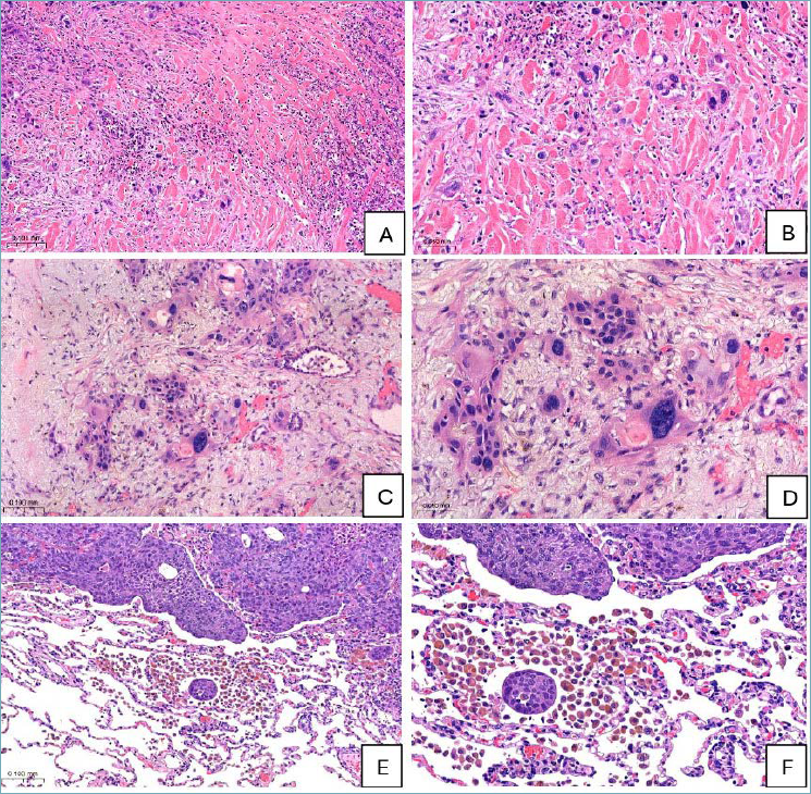
Figure 1. Statistically significant histological parameters of aggressiveness: high-grade tumour budding (TB) (A, H&E 200x and B, H&E 400x), large nuclei (C, H&E 200x and D, H&E 400x) and STAS (E, H&E 100x and F, H&E 200x).
Figure 2. Univariate analyses of tumour budding (TB) for recurrence-free survival (RFS) (A, p=0.0048) and overall survival (OS) (B, p = 0.0059) (full line: budding 0-1; dot-line: budding 2+3).
Figure 3. Multivariate analyses of tumour budding (TB) for recurrence-free survival (RFS) (A) and overall survival (OS) (B).
| Total = 296 | TB scores | |||
|---|---|---|---|---|
| Overall n (%) | Low-grade, n=217 | Intermediate-grade, n=59 | High-grade, n=20 | |
| Gender, n (%) | ||||
| Male | 217 (73%) | 156 (72%) | 46 (78%) | 15 (75%) |
| Female | 79 (37%) | 62 (28%) | 13 (22%) | 5 (25%) |
| Age (years), mean (range) | 70 (38-86) | 70 (38-86) | 69 (43-83) | 70 (42-82) |
| Relapse, n (%) | ||||
| no | 203 (69%) | 156 (72%) | 36 (61%) | 12 (60%) |
| yes | 93 (31%) | 62 (28%) | 23 (39%) | 8 (40%) |
| Death, n (%) | ||||
| no | 145 (49%) | 114 (52%) | 22 (37%) | 10 (50%) |
| yes | 151 (51%) | 104 (48%) | 37 (63%) | 10 (50%) |
| pT, n (%) | ||||
| pT1 | 109 (37%) | 75 (35%) | 31 (53%) | 3 (15%) |
| pT2 | 92 (31%) | 85 (39%) | 5 (8%) | 6 (30%) |
| pT3 | 58 (20%) | 31 (14%) | 16 (27%) | 6 (30%) |
| pT4 | 37 (12%) | 27 (12%) | 7 (12%) | 5 (25%) |
| pN, n (%) | ||||
| N0 | 199 (68%) | 152 (70%) | 36 (61%) | 11 (55%) |
| N1 | 66 (22%) | 45 (21%) | 14 (23%) | 8 (40%) |
| N2 | 19 (6%) | 14 (6%) | 4 (7%) | 1 (5%) |
| N3 | 6 (2%) | 2 (1%) | 4 (7%) | 0 (0%) |
| N/A | 6 (2%) | 5 (2%) | 1 (2%) | 0 (0%) |
| Staging IASLC 9th ed. | ||||
| IA | 80 (27%) | 64 (30%) | 10 (17%) | 3 (15%) |
| IB | 54 (18%) | 38 (17%) | 13 (22%) | 4 (20%) |
| IIA | 26 (9%) | 24 (11%) | 4 (7%) | 0 (0%) |
| IIB | 55 (18%) | 39 (18%) | 14 (23%) | 3 (15%) |
| IIIA | 64 (22%) | 41 (19%) | 13 (22%) | 10 (50%) |
| IIIB | 11 (4%) | 7 (3%) | 4 (7%) | 0 (0%) |
| N/A | 6 (2%) | 5 (2%) | 1 (2%) | 0 (0%) |
| Grading | ||||
| G1 | 46 (16%) | 9 (4%) | 36 (61%) | 1 (5%) |
| G2 | 146 (29%) | 118 (54%) | 23 (39%) | 5 (25%) |
| G3 | 104 (35%) | 91 (42%) | 0 (0%) | 14 (70%) |
| Total = 296 | TB scores | |||
|---|---|---|---|---|
| Overall n (%) | Low-grade, n=217 | Intermediate-grade, n=59 | High-grade, n=20 | |
| Size mm, mean (range) | 43.87 | 40.44 (0.2-130) | 41.86 (13-110) | 49.30 (6-80) |
| Keratinisation, n (%) | ||||
| absent | 77 (26%) | 57 (26%) | 14 (24%) | 6 (30%) |
| focal | 171 (58%) | 125 (57%) | 35 (59%) | 12 (60%) |
| diffuse | 48 (16%) | 36 (17%) | 10 (6%) | 2 (10%) |
| Vascular invasion, n (%) | ||||
| absent | 165 (56%) | 122 (56%) | 33 (56%) | 10 (50%) |
| present | 131 (44%) | 96 (44%) | 26 (44%) | 10 (50%) |
| Perineural invasion, n (%) | ||||
| absent | 251 (85%) | 185 (85%) | 49 (84%) | 17 (85%) |
| present | 45 (15%) | 33 (15%) | 10 (6%) | 3 (5%) |
| Necrosis, n (%) | ||||
| absent | 23 (8%) | 18 (8%) | 3 (5%) | 2 (10%) |
| focal | 57 (19%) | 43 (20%) | 13 (22%) | 1 (5%) |
| diffuse | 216 (73%) | 157 (72%) | 43 (73%) | 17 (85%) |
| Pleural invasion, n (%) | ||||
| PL0 | 219 (74%) | 166 (76%) | 41 (70%) | 12 (60%) |
| PL1 | 25 (8%) | 17 (8%) | 6 (10%) | 2 (10%) |
| PL2 | 35 (12%) | 27 (12%) | 6 (10%) | 2 (10%) |
| PL3 | 17 (6%) | 8 (4%) | 6 (10%) | 4 (20%) |
| Buds count, mean | 8 | 1.05 | 6.66 | 16 |
| STAS, n (%) | ||||
| absent | 225 (76%) | 169 (76%) | 38 (65%) | 18 (90%) |
| present | 71 (24%) | 49 (24%) | 21 (35%) | 2 (10%) |
| Infiltrating pattern, n (%) | ||||
| 1 | 156 (53%) | 132 (60%) | 21 (36%) | 3 (15%) |
| 2 | 99 (33%) | 67 (31%) | 31 (53%) | 2 (10%) |
| 3 | 41 (14%) | 19 (9%) | 7 (11%) | 15 (75%) |
| ASF, mean% (range%) | 24.35 (0-80) | 13.61 (0-80) | 9.49 (0-65) | 1.25 (0-20) |
| Desmoplasia, n (%) | ||||
| absent | 49 (17%) | 45 (21%) | 3 (5%) | 1 (5%) |
| present | 247 (83%) | 173 (79%) | 56 (95%) | 19 (95%) |
| Large nuclei, n (%) | ||||
| absent | 187 (63%) | 148 (68%) | 31 (53%) | 9 (45%) |
| present | 109 (37%) | 70 (32%) | 28 (47%) | 11 (55%) |
| Nuclear atypia, n (%) | ||||
| low | 22 (7%) | 22 (10%) | 0 (0%) | 0 (0%) |
| intermediate | 185 (83%) | 143 (66%) | 36 (61%) | 7 (35%) |
| high | 89 (30%) | 53 (24%) | 23 (39%) | 13 (65%) |
| Mitoses, mean (range) | 20 (2-70) | 18 (2-92) | 18 (4-70) | 24 (3-51) |
| TILs, n (%) | ||||
| absent | 22 (7%) | 17 (8%) | 3 (5%) | 2 (10%) |
| low | 186 (63%) | 134 (61%) | 43 (73%) | 10 (50%) |
| intermediate | 70 (24%) | 57 (26%) | 8 (14%) | 5 (25%) |
| high | 18 (6%) | 10 (5%) | 5 (8%) | 3 (15%) |
| Abbreviations: STAS: spread through air spaces; ASF: alveolar space filling; TILs: tumour-infiltrating lymphocytes. | ||||
| Overall (%) | BuddingLow (%) High (%) | P value | ||
|---|---|---|---|---|
| Sex | ||||
| Male | 217 (73.3) | 156 (71.9) | 61 (28.1) | 0.36 |
| Female | 79 (26.7) | 61 (77.2) | 18 (22.8) | |
| Age | ||||
| ≤71 | 154(52) | 113 (73.4) | 41 (26.6) | 0.98 |
| >71 | 142(48) | 104 (73.2) | 38 (26.8) | |
| Surgery | ||||
| Segmentectomy | 24 (8.1) | 18(75) | 6(25) | 0.40 |
| Lobectomy | 226 (76.4) | 169 (74.8) | 57 (25.2) | |
| Pneumonectomy | 46 (15.5) | 30 (65.2) | 16 (34.8) | |
| pT | ||||
| pT1 | 91 (30.7) | 75 (82.4) | 16 (17.6) | 0.06 |
| pT2 | 111 (37.5) | 81(73) | 30(27) | |
| pT3 | 57 (19.3) | 36 (63.2) | 21 (36.8) | |
| pT4 | 37 (12.5) | 25 (67.6) | 12 (32.4) | |
| pN | ||||
| pN0 | 199 (67.2) | 152 (76.4) | 47 (23.6) | 0.27 |
| pN1 | 66 (22.3) | 44 (66.7) | 22 (33.3) | |
| pN2 | 25 (8.4) | 16(64) | 9(36) | |
| Unknown | 6(2) | 5 | 1 | |
| Pleural invasion | ||||
| PL0 | 219(74) | 166 (75.8) | 53 (24.2) | 0.01 |
| PL1 | 25 (8.4) | 17(68) | 8(32) | |
| PL2 | 35 (11.8) | 27 (77.1) | 8 (22.9) | |
| PL3 | 17 (5.7) | 7 (41.2) | 10 (58.8) | |
| Vascular invasion | ||||
| Absent | 165 (55.7) | 122 (73.9) | 43 (26.1) | 0.78 |
| Present | 131 (44.3) | 95 (72.5) | 36 (27.5) | |
| TNM Stage | ||||
| I | 134 (45.2) | 104 (77.6) | 30 (22.4) | 0.23 |
| II | 82 (27.7) | 60 (73.2) | 22 (26.8) | |
| III | 74(25) | 48 (64.9) | 26 (35.1) | |
| Unknown | 6(2) | 5 | 1 | |
| *Significant p-value < 0.05 | ||||
References
- Nicholson A, Tsao M, Znaor A, Travis W. WHO Classification of Tumours Editorial Board. Thoracic Tumours (Volume 5). International Agency for Research on Cancer; 2021.
- Berezowska S, Maillard M, Keyter M. Pulmonary squamous cell carcinoma and lymphoepithelial carcinoma – morphology, molecular characteristics and differential diagnosis. Histopathology. 2024;84(1):32-49. doi:https://doi.org/10.1111/his.15076
- Gabbert H, Wagner L, Moll R. Tumor dedifferentiation: an important step in tumor invasion. Clin Exp Metastasis. 1985;3(4):257-279. doi:https://doi.org/10.1007/BF01585081
- Zlobec I, Lugli A. Epithelial mesenchymal transition and tumor budding in aggressive colorectal cancer: tumor budding as oncotarget. Oncotarget. 2010;1(7):651-661. doi:https://doi.org/10.18632/oncotarget.199
- Kadota K, Nitadori J, Woo K. Comprehensive pathological analyses in lung squamous cell carcinoma: Single cell invasion, nuclear diameter, and tumor budding are independent prognostic factors for worse outcomes. J Thorac Oncol. 2014;9(8):1126-1139. doi:https://doi.org/10.1097/JTO.0000000000000253
- Zhao Y, Shen H, Qiu C. Invasion types are associated with poor prognosis in lung squamous carcinoma patients. Medicine (United States). 2015;94(43):1-11. doi:https://doi.org/10.1097/MD.0000000000001634
- Stögbauer F, Lautizi M, Kriegsmann M. Tumour cell budding and spread through air spaces in squamous cell carcinoma of the lung – Determination and validation of optimal prognostic cut-offs. Lung Cancer. 2022;169:1-12. doi:https://doi.org/10.1016/j.lungcan.2022.04.012
- Neppl C, Zlobec I, Schmid R, Berezowska S. Validation of the International Tumor Budding Consensus Conference (ITBCC) 2016 recommendation in squamous cell carcinoma of the lung—a single-center analysis of 354 cases. Mod Pathol. 2020;33(5):802-811. doi:https://doi.org/10.1038/s41379-019-0413-7
- Maillard M, Neppl C, Zens P. Multicenter Study on Tumor Budding in Lung Squamous Cell Carcinoma: Comparison Between Biopsy and Resection With Interobserver Variability Assessment. Mod Pathol. 2024;37(10). doi:https://doi.org/10.1016/j.modpat.2024.100571
- Lugli A, Kirsch R, Ajioka Y. Recommendations for reporting tumor budding in colorectal cancer based on the International Tumor Budding Consensus Conference (ITBCC) 2016. Mod Pathol. 2017;30(9):1299-1311. doi:https://doi.org/10.1038/modpathol.2017.46
- Qian L, Zhang J, Lu S. Potential key roles of tumour budding: a representative malignant pathological feature of non-small cell lung cancer and a sensitive indicator of prognosis. BMJ Open. 2022;12(3):1-12. doi:https://doi.org/10.1136/bmjopen-2021-054009
- Guerrieri C, Lindner M, Sesti J. Pulmonary squamous cell carcinoma with a lepidic-pagetoid growth pattern. Pathologica. 2022;114(4):304-311. doi:https://doi.org/10.32074/1591-951X-450
- Masuda R, Kijima H, Imamura N. Tumor budding is a significant indicator of a poor prognosis in lung squamous cell carcinoma patients. Mol Med. 2012;6(5):937-943. doi:https://doi.org/10.3892/mmr.2012.1048
- Mino-Kenudson M, Berezowska S, Minami Y. A Grading System for Resected Invasive Squamous Cell Carcinoma of the Lung: A Multi-Institutional Study by the IASLC Pathology Committee. J Thorac Oncol. Published online 2025.
- Detterbeck F, Woodard G, Bader A. The Proposed Ninth Edition TNM Classification of Lung Cancer. Chest. 2024;166(4):882-895. doi:https://doi.org/10.1016/j.chest.2024.05.026
Downloads
License
This work is licensed under a Creative Commons Attribution-NonCommercial-NoDerivatives 4.0 International License.
Copyright
Copyright (c) 2026 Società Italiana di Anatomia Patologica e Citopatologia Diagnostica, Divisione Italiana della International Academy of Pathology
How to Cite
- Abstract viewed - 405 times
- PDF downloaded - 83 times

