Case reports
Vol. 118: Issue 1 - February 2026
Palisading adenocarcinoma. State of the art and first case report in the parotid gland of a 44-year-old woman
Summary
Palisading adenocarcinoma is a newly described salivary gland tumor known for its predilection for sublingual and submandibular glands. The mass tends to have a non-invasive growth, although signs of infiltrative growth can occur resulting in a neoformation more adherent to deep neck structures. The main histological feature is a biphasic cellular pattern composed of polygonal epithelioid cells with small nuclei arranged in trabeculae and pseudo-rosette like structures and a second population of scattered well-formed ductal structures with occasional mucocytes. The mass, located in the parotid gland, resembled a neuroendocrine neoplasia regarding its histological architecture and positivity for CD56, whereas the cytological examination resembled that of a pleomorphic adenoma. An accurate histological and immunohistochemical study was crucial to guide the differential diagnosis.
Here we present the first case of palisading adenocarcinoma affecting the parotid gland to further enrich the literature and to shed additional light on this peculiar and recently investigated neoplastic entity.
Introduction
Palisading adenocarcinoma is a low-grade malignancy characterized by a neuroendocrine appearance, a predilection for middle age/elderly women and two distinct cellular patterns. Polygonal epitheliod cells with small nuclei arranged in trabeculae and pseudo-rosette like structures represent the predominant cellular entity followed by a second population of scattered well-formed ductal structures with occasional mucocytes 1.
Palisading adenocarcinoma either remains circumscribed to the salivary gland or develops an infiltrative growth involving perineural or limpho-vascular spaces 3.
Clinical findings reveal an indolent swelling located at the floor of the mouth and movable in relation to superficial and deep tissues. Whenever an infiltrative growth prevails, the tumor tends to be more attached to deep neck structures 4.
According to the literature, palisading adenocarcinoma seems to have a major prevalence in the eastern countries such as Asia and Australia 3. Nevertheless, the significance of this finding is unclear, given the exiguous number of cases that have been documented so far. However, the reporting publications of other cases, including ours, is likely to expand the geography of distribution of this entity in the Mediterranean area.
Immunohistochemical stains 3,5 typically show consistent CD56 positivity, variable pan-cytokeratin (AE1, AE3) and S100 expression in polygonal cells. On the other hand, ductal components tend to be highly positive for pan-cytokeratin and CK5/6. Surprisingly, and despite the strong and diffuse positive for CD56, palisading adenocarcinoma is negative for common neuroendocrine tumor markers such as synaptophisin, chromogranin and INSM-1 5.
The diagnosis of palisading adenocarcinoma is based on peculiar cytomorphological features, including: 1) palisading architectural patter of tight clusters of tumor cells; 2) frequent crush artifacts; 3) anisonucleosis resembling endocrine-type atypia; 4) scattered cells with stripped nuclei; and 5) peculiar globules of laminated extracellular matrix 5. Despite the fact that these features are identified on histology, the cytological interpretation is still difficult due to the rarity of cases and the overlapping features with cellular pleomorphic adenoma 3-5.
In contrast with several other salivary neoplasms which can be supported by specific genetic alterations, so far, palisading adenocarcinoma has not been linked to a specific genetic mutation 3-5.
Herein, to the best of our knowledge, this study aims to report a first sporadic, non-familial palisading adenocarcinoma originating in the parotid gland and to compare this case with the literature.
CASE REPORT
In June 2024, a-44-years old woman was referred to our hospital for a palpable, painless mass in her left parotid gland. The patient reported a history of left parotid neoplasm since 2019, defined by an increasing in size within the last couple of years (2022-2024). The clinical evaluation of the patient showed a mass which seemed to be, at palpation, well circumscribed, rounded, with regular margins and movable on anatomic planes. No pain was elicited by clinical examination. Magnetic resonance (MRI) and cytologic examination were mandatory in order to complete the clinical investigation. The former described a subcapsular mass of 24x22 mm located in the anterior left parotid branch with mild and irregular enhancement, whilst the latter, performed in an outside hospital (slides not available), suggested a possible cellular pleomorphic adenoma based on the evidence of isolated or small clusters of ductal cells with scant cytoplasm and minimal chondromyxoid stromal component (category IV according to The Milan System for Reporting Salivary Gland Cytopathology-2023).
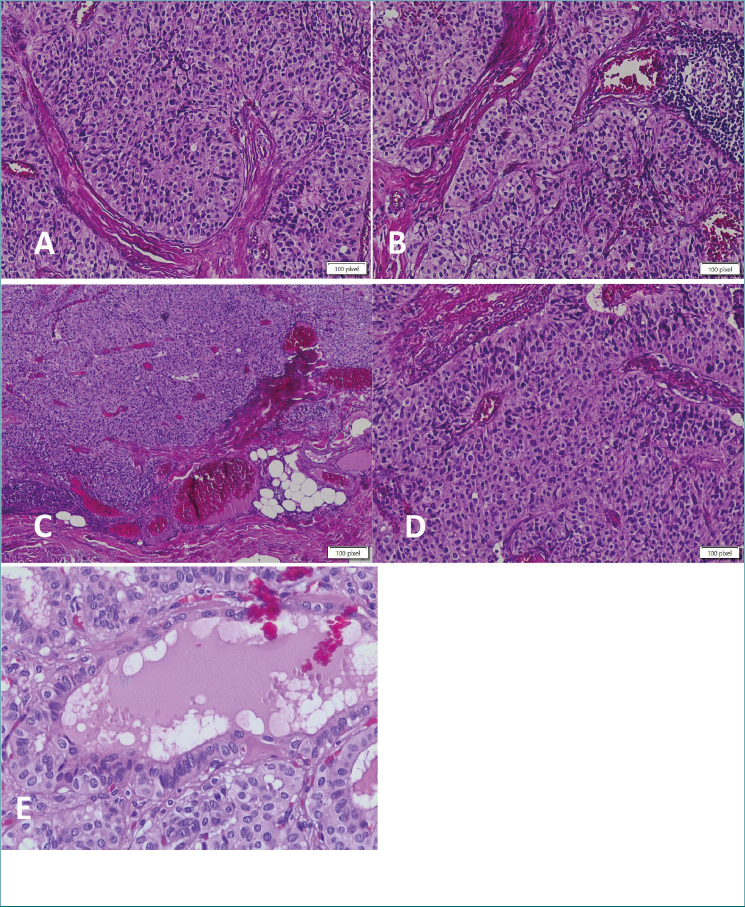
Based on the diagnosis of SUMP category, the patient underwent a partial superficial left parotidectomy. The histological examination (Fig. 1A-D) showed the presence of a solid neoplasia, mostly well-defined and circumscribed, with epithelial features, 2.4 cm in size, wide and diffusely vascularized and organized in perivascular nests reminiscent of rosette architecture. Furthermore, evidence of palisading pattern was documented. The cells showed round-oval nuclei with scattered chromatin, similarly to the “salt and pepper- like” feature. Cytoplasm was eosinophilic and fibrillary (vessel-oriented). Blood vessels within the mass showed progressive sclero-ialinosis with no evidence of birefringens in Red Congo stain. Neither atypical foci nor necrosis were found. Mitotic index was low. In our case, which was entirely included for examination, we found a minimal ductal component limited to one-two ductal structures (Fig. 1E).
Immunohistochemical stains (Fig. 2A-C and Fig. 3A-C) revealed positivity, which was mostly mild and only focally medium-strong for AE1/AE3, CK20; while diffuse and strong for CD56, but negative for Chromogranin and NSE. We reported a diffuse positivity for androgen receptor (AR) as documented in the other cases from literature 1-6. Furthermore, due to the minimal ductal component, the additional re-cut for IHC stains did not highlight the ductal component and its positivity for p63 and p40. Few sustentacular cells show positivity for S100. Very few and limited ductal component defined by expression of p63 in the periductal component. Furthermore, the neoplastic cells were negative for INSM-1, SMA, P63, P40, Mammaglobulin, GATA-3, chromogranin, synaptophysin, GFAP, NOR-1, DOG-1, melan A and SOX-10. We documented one mitotic figure per 10 HPF and a Ki-67 at around 2-3% (Fig. 4).
Given the peculiar histological aspects that led to the hypothesis of epithelial neoplasia with partial aspects of neuroendocrine differentiation and indolent behavior, the case was further sent for a second opinion consultation to Professor Skalova’s team from Chzeck Republic that suggested and confirmed the diagnosis of palisading adenocarcinoma of parotid gland. Hence, the molecular analysis was performed with the Trusight oncology 500 kit somatic mutation analysis and the Trusight RNA pan-Cancer panel for the detection of fusion transcripts of 1385 genes. The somatic mutation analysis revealed the detection of somatic mutations in 523 genes using TruSight Oncology 500 kit (Illumina). The kit also detects an amplification in 59 genes, microsatellite instability (MSI), and tumor mutational burden (TMB). Small variants (SNVs, small Indels) with variant frequency higher than 5% were annotated and clinically interpreted without any significant mutation. Hence, no fusions were detected in the genes analyzed. The patient is alive without any evidence of disease.
The evaluation of her family did not show any other individual suffering from the same disease.
Discussion
The case described in this brief report exhibited the features of a palisading adenocarcinoma, and to the best of our knowledge, it represents the first evidence of palisading adenocarcinoma in the parotid glanddocumented in the English medical literature.
In these last decades, and following the editions of the WHO, salivary gland tumor classification has significantly changed with both the introduction of several novel subtypes of established entities and the definition of new tumor entities 1-4. Among them, in 2023, palisading adenocarcinoma was described in a series of 9 submandibular cases. Due to the limited number of cases described, much remains to be learnt about this entity, including new sites 1-6. According to the literature, palisading adenocarcinoma is mostly associated with a female gender, especially from Australasian countries, and specifically found in the submandibular gland and/or floor of mouth. Besides the first series of 9 cases, in 2025 Zhang et al described 18 new cases which were in line with the previous reported sex (female) and geographical areas (Australasian countries) 6. Even though these 18 cases did not show unexpected histological and immunohistochemical features, the authors reported some new anatomic locations and a recurrent incidence in a familial cohort, suggesting some possible hereditary features. Nonetheless no specific molecular drivers or genetic alteration have been reported.
In our case, we found this entity in the parotid gland, showing the histological and immunohistochemical features described in literature. Uniquely, and in agreement with the other cases described in literature, our case has also expressed positivity for AR. Our case is also unique in the scant ductal component, which had been reported in the previous series. Differently from the other series, this very minimal amount of ductal component was weakly positive per p63.
Nonetheless, for this morphological evidence we do not have a conclusive answer, but it might reflect the anatomic structures within the location of the lesion inside the parotid.
The architectural and cellular findings pose a differential diagnosis with neuroendocrine neoplasms, including a low grade neuroendocrine (carcinoid) tumor and/or a paraganglioma. This also reflected our first impression, mostly attributed to the diffuse and strong positivity for CD56. However, the lack of positivity for any further neuroendocrine marker, including synaptophysin, chromogranin, INSM1 discouraged the neuroendocrine origin of the lesion. Hence, neuroendocrine tumors, despite being very rare in salivary glands 1-5, share various characteristics with palisading adenocarcinoma such as palisading and pseudo rosette formation 3, stromal hyalinization and nuclear atypia. The main difference is the lack of S100 and cytokeratin positivity as well as the absence of a peculiar biphasic cellular pattern. Our case showed a diffuse mild positivity for keratins, which was medium-strong in areas within the lesion.
Furthermore, the palisading pattern, which however, was mild and limited in our case, give raise to some biphasic entities, including epithelial-myoepithelial carcinoma, basal cell adenoma/carcinoma, pleomorphic adenoma and adenoid cystic carcinoma. Nevertheless, all these biphasic lesions are defined by an abluminal myoepithelial population of cells, which was absent in our case as well as anisonucleosis with frequent crush artifacts and laminated acellular or proteinaceous ball or other shapes of matrix and hyaline stromal component 5.
The evaluation of genetic alterations did not provide any significant further result, also in contrast with the other biphasic neoplasms which are frequently linked to a specific genetic mutation 3.
Hence, another point is the positivity for AR also confirmed by prof Skalova as a second opinion expert for this case. To date, we do not know the meaning of this AR expression, even though the morphological features and the strong and diffuse positivity for CD56 and AR are in favor of a palisading adenocarcinoma of the parotid. A further evaluation of AR expression, also in larger series of this entity, could be helpful to confirm this association between palisading adenocarcinoma and AR.
According to the recent literature Zhang et al published a series of new inherited cases in six patients of a familial cohort including also a parotid localization, mostly documented in cases before 2023, when the palisading adenocarcinoma was described for the first time in salivary glands (no parotid primary) 6. To date no sporadic case without any familial involvement has been reported but our case.
Conclusions
Palisading adenocarcinoma is an example of how research on salivary glands is fundamental in order to better understand and investigate the so called “not otherwise specified neoplasia” and their role in salivary gland pathology. Indeed, this new neoplasm is just one of the multiple entities that were once included in the generic definition of not otherwise specified (NOS) neoplasia demonstrating how further acknowledgment, with the help of molecular testing, will lead to the discovery of new neoplastic entities. The originality of our case is ascribed to the first sporadic localization to the parotid gland differently from the parotid familial cases described by Zhang et al. Furthermore, this entity shows a peculiar positivity for AR which could be explored also in order to find a specific molecular driver for this entity.
ACKNOWLEDGEMENT
The authors thank professor Alena Skàlovà and her team who contributed to the histological interpretation and molecular analysis of this case.
AVAILABILITY OF DATA AND MATERIAL
There is a word-file including the details of our cases.
DECLARATIONS
Ethical approval from the internal Committe Policlinico Gemelli 2023 n* 123.
COMPETING INTERESTS
Not applicable.
AUTHORS’ CONTRIBUTION
EC wrote the first draft. JG, LC, LC, GR, EDR revised the first draft and the definitive version. LC, EDR proposed the topic to the group. EDR, AM, contributed with the pictures.
FUNDING
Not applicable.
History
Received: October 18, 2025
Accepted: December 16, 2025
Figures and tables
Figure 1. (A-D) show a neoplastic lesion, characterized by a solid, vascularized neoplasm, with alveolar patterned cells and a pseudopalisading-palisading pattern. (E) shows a single ductal structure (H&E 20X, 40X).
Figure 2. Cells showing strong and diffuse positivity for CD56 (A-B) and negativity for chromogranin (C) (AB 20x).
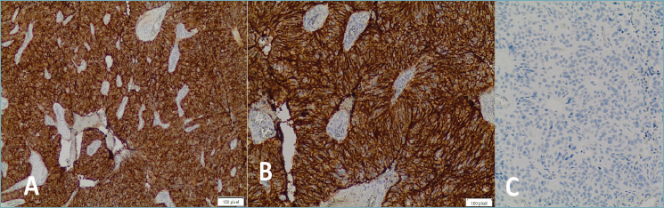
Figure 3. (A) Cells showing strong and diffuse positivity for androgen receptor, positivity with some dot-like features for CK20 (B) and focal positivity for CK7 (C)(AB 20x).
Figure 4. The picture shows the Ki-67 (2-3%) (AB 10x).
| Patient | Age | Sex | Familial History | Geographic location | Tumor location | Histology | Follow-up |
|---|---|---|---|---|---|---|---|
| 1 | 50 | F | no | Asia | Sublingual gland | Palisading adenocarcinoma | NED |
| 2 | 49 | F | no | Asia | Submandibular gland | Palisading adenocarcinoma | NED |
| 3 | 47 | F | no | Asia | Submandibular gland with extension into floor of mouth | Palisading adenocarcinoma | NED |
| 4 | 60 | F | no | Asia | Sublingual gland | Palisading adenocarcinoma | NED |
| 5 | 74 | M | no | Asia | Sublingual gland | Palisading adenocarcinoma | NED |
| 6 | 52 | F | no | Asia | Sublingual gland | Palisading adenocarcinoma | NED |
| 7 | 45 | F | no | Australia | Sublingual gland | Palisading adenocarcinoma | NED |
| 8 | 72 | F | no | Australia | Sublingual gland | Palisading adenocarcinoma | None |
| 9 | 61 | F | no | North America | Sublingual gland | Palisading adenocarcinoma | NED |
| 10 | 33 | F | yes | Asia | Left orbitLeft submandibular gland | Palisading adenocarcinomaPalisading adenocarcinoma | NED |
| 11 | 41 | F | yes | Asia | Floor of mouthFloor of mouth (recurrence)Floor of mouth (recurrence)Right maxilla | Not availableNot availablePalisading adenocarcinomaPalisading adenocarcinoma | None |
| 12 | 39 | F | yes | Asia | Floor of mouthLeft submandibular glandRight submandibular glandLeft parotid gland | Palisading adenocarcinomaPalisading adenocarcinomaPalisading adenocarcinomaPalisading adenocarcinoma | None |
| 13 | 61 | F | yes | Asia | 1) Right parotid gland2) Left parotid gland | Palisading adenocarcinomaPalisading adenocarcinoma | NED |
| 14 | 68 | F | yes | Asia | Right parotid glandLeft parotid glandUnclear recurrenceRight parotid gland (recurrence)Left parotid gland (recurrence) | Not availableNot availableNot availablePalisading adenocarcinomaPalisading adenocarcinoma | None |
| 15 | 72 | F | yes | Asia | Right neck (current)Left neck (current) | Not availableNot available | AWD |
| 16 | 61 | F | no | Asia | Left sublingual gland | Palisading adenocarcinoma | Not available |
| 17 | 58 | F | no | Turkey | Left sublingual gland | Palisading adenocarcinoma | NED (15 years) |
| 18 | 65 | F | no | Italy | Left submandibular gland | Palisading adenocarcinoma | NED (7 months) |
| 19 | 44 | F | no | Italy | Left parotid gland | Palisading adenocarcinoma | NED (1 year) |
References
- Dababneh M, Griffith C, Ooms K. Palisading Adenocarcinoma. Head Neck Pathol. 2024;18(1). doi:https://doi.org/10.1007/s12105-024-01671-0
- In: WHO Classification of Tumours. The Head and Neck Tumours. WHO Classification of Tumours Editorial Board. AIRCC; 2022.
- Bishop J, Weinreb I, van Vliet C. Palisading Adenocarcinoma: A Morphologically Unique Salivary Gland Tumor With a Neuroendocrine-like Appearance and a Predilection for the Sublingual Glands of Women. Am J Surg Pathol. 2024;47(10):1176-85. doi:https://doi.org/10.1097/PAS.0000000000002091
- Manini C, Provenza C, Suriani A. Palisading adenocarcinoma. Case report on a newly recognized tumor in the salivary glands. Pathol Res Pract. 2024;253. doi:https://doi.org/10.1016/j.prp.2023.155088
- Rivera J, Kuo Y, Yeh Y. Fine-needle aspiration cytology of palisading adenocarcinoma: The first cytology report of a newly described salivary gland neoplasm. Diagn Cytopathol. 2024;52(12):E264-7. doi:https://doi.org/10.1002/dc.25385
- Zhang X, Bishop J, Yang C. Palisading adenocarcinoma: several new inherited cases in six patients of a familial cohort. Head and Neck pathology. 2025;19. doi:https://doi.org/10.1007/s12105-02501824-9
Downloads
License
This work is licensed under a Creative Commons Attribution-NonCommercial-NoDerivatives 4.0 International License.
Copyright
Copyright (c) 2026 Società Italiana di Anatomia Patologica e Citopatologia Diagnostica, Divisione Italiana della International Academy of Pathology
How to Cite
- Abstract viewed - 356 times
- PDF downloaded - 74 times
