Original articles
Vol. 118: Issue 1 - February 2026
Standardisation of histologic reporting in eosinophilic oesophagitis: Expert recommendations
Summary
Over the past decade, significant progress has been made in understanding eosinophilic oesophagitis (EoE), leading to the refinement of diagnostic criteria and the development of evidence-based management guidelines. Nevertheless, despite the central role of histology in both diagnosis and disease monitoring, significant variability remains in histopathological reporting across institutions and among pathologists.This study seeks to provide recommendations for standardised histological reporting in EoE. To this end, a multidisciplinary panel of gastroenterologists and pathologists convened to review current practices and address persistent challenges in histologic assessment. Through an extensive literature review and critical appraisal of existing scoring systems, the panel reached consensus on both essential and desirable histological features for routine reporting, including eosinophil counts, additional inflammatory parameters, and fibrostenotic changes.
Introduction
Eosinophilic oesophagitis (EoE) is a chronic, relapsing, type 2 immune-mediated disorder characterised by eosinophil-predominant inflammation of the oesophageal mucosa1. Over time, the disease progresses from an inflammatory to a fibrostenotic phenotype. The estimated incidence of this underdiagnosed condition currently ranges from approximately 1 to 20 cases per 100,000 person-years1-4, with a prevalence of up to 20% in adults undergoing endoscopy for dysphagia or food impaction. A rising trend is observed in both pediatric and adult populations, reflecting not only growing clinical awareness but also a true increase in disease burden3.
Over the past three decades, significant advances in the understanding of EoE have led to the development and refinement of diagnostic criteria and evidence-based management guidelines1-3,5-8. Histologic examination of oesophageal biopsies remains the cornerstone of diagnosis and monitoring of disease activity during treatment. A definitive diagnosis requires both clinical symptoms of oesophageal dysfunction and the presence of ≥ 15 eosinophils per high-power field (eos/hpf) (hpf, standardized size of 0.3 mm2) in ≥ 1 biopsy specimen, ruling out secondary causes of oesophageal eosinophilia. Additional histologic features, such as eosinophilic microabscesses, basal zone hyperplasia, dilated intercellular spaces, surface epithelial alterations, and lamina propria fibrosis, can further delineate disease activity and severity9 and have been recently integrated in a scoring system (i.e., Eosinophilic Oesophagitis Histologic Scoring System, EoEHSS)10 This validated score has demonstrated superior sensitivity to treatment effects compared to eosinophil counts alone11.
To further enhance standardisation and support longitudinal disease management, the Index of Severity for Eosinophilic Oesophagitis (I-SEE) was recently introduced7, integrating clinical, endoscopic, and histological parameters. However, despite the central role of histology in both diagnosis and follow-up, there remains significant variability in histologic reporting across institutions and among pathologists. This inconsistency can hinder accurate diagnosis, assessment of treatment response, and comparability of findings between centres.
This study aims to establish recommendations for standardized histological reporting in EoE. To this end, an overview of relevant clinical and endoscopic features that may support histologic assessment will be provided. Elementary lesions allowing EoE histopathology diagnosis will be described, and recommendations for standardised histologic reporting in EoE will be presented.
Materials and methods
An expert panel consisting of two Italian gastroenterologists (S.O. and E. V.S.) and eight Italian gastrointestinal pathologists with experience in EoE (V.A., M.dA., P.P., E.P., A.V., M.F., L.M., C.G.) convened for a one-day advisory board meeting on 30th June 2025. Before the meeting, a comprehensive literature review was conducted focusing on EoE histological features, existing scoring systems, and their clinical implications (search terms included: “oesophagitis”, “esophageal biopsies”, “eosinophilic oesophagitis guidelines and recommendations”, and “oesophagitis scores”).
The panel reviewed current practices, discussed challenges in EoE histological reporting, evaluated the strengths and limitations of existing scoring systems (particularly the EoEHSS and I-SEE), and developed recommendations for standardising histologic reports for EoE.
Ethical approval was not required for this consensus study, as it did not involve human participants or patient data.
Results
CLINICAL FEATURES
EoE has been reported throughout the lifespan, with a prevalence in males and peaks in early adulthood1. The clinical manifestations of EoE are heterogeneous and may vary depending on the patient’s age and sex12, mechanisms of swallowing adaptation, disease behaviour and progression (i.e., stage of inflammation or fibrosis), and ongoing therapy12,13. Feeding difficulties and failure to thrive are frequent in infants. Vomiting, poor appetite, retrosternal pain, and heartburn are common in children. Notably, at this age, symptoms may overlap with those of gastro-oesophageal reflux disease (GERD). Although they are distinct conditions, EoE and GERD can coexist and interact within the same patient. Specifically, GERD can increase the risk of developing EoE by altering the permeability of the oesophageal barrier14. The complex interplay between EoE and GERD is further highlighted by the observation that proton pump inhibitor (PPI) therapy can induce both clinical and histological remission in patients with EoE1. In adults, the most common manifestations of EoE are dysphagia and food impaction. Interestingly, adult patients often neglect these symptoms, meaning that they may first encounter a physician in the emergency department due to oesophageal food impaction15.
ENDOSCOPIC FEATURES AND BIOPSY PROTOCOL
The endoscopic features of EoE are represented by signs of active inflammation (oedema, exudates, and longitudinal furrows) and fibrostenotic remodelling of the oesophagus (rings, strictures, narrowing, and crêpe-paper mucosa)7. To standardise the nomenclature and scoring of endoscopic findings, the EoE endoscopic reference score (EREFS) has been developed based on the following five major findings: oedema, rings, exudates, furrows, and strictures16.
Furthermore, because eosinophilic infiltration is often patchy, multiple biopsies are recommended to improve diagnostic accuracy, typically 6 from ≥ 2 oesophageal sites, combining targeted and random sampling5. To allow correlation between histologic findings and endoscopic features, the biopsies must be submitted in separate containers for each anatomical site (i.e. proximal, middle, and distal oesophagus). In 5-32% of patients with EoE, the oesophageal mucosa may appear normal at endoscopy; thus, biopsies must be performed regardless of its endoscopic appearance17,18.
HISTOPATHOLOGIC FEATURES
Eosinophil morphology
Eosinophils are granulocytic leucocytes measuring approximately 10-15 μm in diameter. They are characterised by a bilobed nucleus, often connected by a thin chromatin strand with deeply condensed basophilic chromatin that contrasts sharply with the surrounding cytoplasm. The cytoplasm is abundant and densely filled with large, uniform, eosinophilic granules that stain bright orangish red with haematoxylin and eosin (H&E). These granules measure approximately 0.5-1 μm in diameter and are highly refractile, often obscuring the nucleus when the cells are closely packed. The granules’ strong eosinophilia is because they are composed of basic proteins such as major basic protein (MBP), which is a key component implicated in tissue damage during eosinophil-mediated diseases. The presence of intact granules indicates resting or non-activated eosinophils, whereas degranulation is recognised histologically by the presence of extracellular granules and disruption of granule integrity within the cytoplasm19.
Diagnostic criteria and accompanying morphologic alterations
The key diagnostic criterion for EoE diagnosis is the increased number of eosinophils in the squamous epithelium of oesophageal biopsies6 (Figg. 1A and 1B). Eosinophil count along with morphologic alterations in the oesophageal epithelium and lamina propria, although per se non-diagnostic, support the diagnosis and provide information about the severity of the disease.
- - A peak eosinophil count (PEC) of ≥ 15 intraepithelial eos/hpf (approximately 0.3 mm2) is the consensus threshold for the histologic diagnosis of active EoE in the appropriate clinical context20. Eosinophil count should be reported per 0.3 mm2 to standardise its measurements. Table I provides the values to adjust and standardise the count for different field numbers of ocular types. Only intact intraepithelial eosinophils with clearly visible bilobed nuclei and coarse eosinophilic cytoplasmic granules should be counted9,21. Eosinophils may also be present in the lamina propria; however, they should be excluded from the PEC because their presence is not specific to EoE and can be observed in various other conditions, such as GERD, infections, or drug reactions, and even in asymptomatic individuals, particularly children9. Degranulated eosinophils, identified by extracellular granules lacking nuclei, and fragmented cells or nuclear debris should also be excluded from the count (Fig. 1C). However, their presence may support a diagnosis of active eosinophilic inflammation22. Thus, neutrophils (multilobulated nuclei, finer granules) or mast cells should not be misidentified as eosinophils. In EoE, neutrophil infiltration with the development of ulcers or erosions is unusual, unless complicated by GERD, pill oesophagitis, or infection9.
- - Eosinophilic abscesses (EAs) are focal clusters of ≥ 4 eosinophils not separated by intervening epithelial tissue in the oesophageal epithelium23, 24 (Fig. 1D). Eosinophils also linearly align in the upper third of the epithelium, parallel to the epithelial surface. The ‘eosinophil surface layering’ (ESL) is a linear alignment of ≥ 3 eosinophils in the upper third of the epithelium, parallel to the lumen10 (Fig. 1E). The formation of EAs is characteristic of EoE, as they are rarely observed in other oesophageal conditions23,25. Their presence strongly supports the diagnosis and indicates active disease.
- - Dilated intercellular space (DIS), or spongiosis, refers to intercellular oedema in the oesophageal epithelium. It is observed as circumferential paracellular clefts in the oesophageal squamous epithelium, reflecting widened gaps between adjacent keratinocytes24 (Figs. 1A, 1B, and 1E). These spaces often exhibit visible intercellular bridges, representing stretched desmosomal connections24. DIS can be graded as small or large (as compared to the diameter of a small lymphocyte)26. Small DIS is often limited to the lower half of the epithelium and must be differentiated from ‘stretching’ artefacts and intracytoplasmic vacuoles26,27 (Fig. 1A). Large DIS can involve the entire thickness of the epithelium (Fig. 1B).
- - DIS indicate the disruption of epithelial tight junctions and barrier integrity, which are critical for maintaining oesophageal mucosal homeostasis28. In EoE, DIS allows luminal antigens, allergens, and microbes to penetrate deeper into the epithelium, triggering immune activation and perpetuating eosinophilic infiltration29.
- - Basal zone hyperplasia (BZH) represents the reparative response of oesophageal epithelium to chronic injury and inflammation28. Under normal conditions, the basal cell layer constitutes approximately 15% of the total epithelial thickness; however, in EoE, it frequently expands to more than 20-30%24 (Figs. 1E, 2A, and 2B). This thickening results from increased proliferation of basal keratinocytes driven by inflammatory cytokines, particularly those released by eosinophils and other immune cells30. Although BZH is not specific to EoE, in this context, its severity can increase and involve the entire epithelial thickness. It provides strong supportive evidence for EoE diagnosis when associated with marked eosinophilic infiltration. In cases where BZH is mild and confined to the lower third of the epithelium (typically < 30% of the epithelial thickness), proper biopsy orientation is essential for accurate evaluation. BZH also contributes to mucosal remodelling and compromises epithelial barrier function, thereby increasing susceptibility to antigen penetration and perpetuating chronic inflammation24.
- - Superficial epithelial alteration (SEA) is characterised by changes in the tinctorial properties of the oesophageal epithelium, manifesting increased eosinophilic staining (darker red appearance) of the surface epithelial cells10 (Figg. 2B and 2C). These alterations may be observed with or without an associated eosinophilic infiltrate. SEA is considered a marker of early epithelial injury, may reflect mucosal barrier dysfunction, and has been proposed as a marker of lamina propria fibrosis (LPF) (see below)31. Another potentially occurring feature is dyskeratosis, defined as aberrant or premature keratinisation of epithelial cells, indicating cellular stress or chronic injury10.
LPF is characterised by thickened connective tissue fibres replacing the physiologically thin and loosely arranged fibres. According to Collins et al. (2017), the diameter of normal fibres is smaller than that of a basal layer cell nucleus (Fig. 3A). They categorised the following types of fibres as abnormal: fibres that appear cohesive without an increased diameter; fibres with diameter equal to or greater than that of a basal layer nucleus (Figg. 3B, 3C, and 3D)10.
LPF is a hallmark of chronic and longstanding EoE. It results from persistent inflammation driving fibroblast activation and excess collagen deposition in the subepithelial connective tissue. This process causes thickening and stiffening of the oesophageal wall, leading to reduced distensibility and luminal narrowing; it clinically manifests as strictures, rings, and food impactions24.
SCORING SYSTEMS
Besides reporting the morphologic changes described above, an assessment of their extent and degree is fundamental to establish disease severity and to monitor the effect of therapy during follow-up. Thus, Collins et al. (2017) developed the EoEHSS, which is a validated tool that offers both grading and staging of the elementary histologic lesions associated with EoE (EA, ESL, BZH, DIS, SEA, LPF) in a 4-point scale (Tab II). The EoEHSS has demonstrated superior sensitivity to treatment effects compared to that of eosinophil count alone, and it exhibits correlation with symptoms scores. Although interobserver reliability is generally high among experienced gastrointestinal pathologists for most components of the EoEHSS, reproducibility is lower among less-experienced readers32. Moreover, the suboptimal orientation of endoscopic biopsies often prevents reliable evaluation of certain parameters, such as BZH, and the absence of lamina propria in most biopsies prevents its evaluation. Despite these limitations, EoEHSS remains a validated histologic scoring system that offers a more complete picture of overall histologic severity, thus helping to monitor the clinical course of patients during follow-up.
Recently, to further enhance standardisation and support longitudinal disease management, the I-SEE was introduced7. I-SEE integrates clinical, endoscopic, and histologic data to assess both inflammatory and fibrostenotic features. Oesophageal eosinophilia, categorised as 15–60 Eos/hpf or > 60 Eos/hpf, remains the central marker of inflammation. Additional features such as BZH and LPF are recognised as markers of oesophageal wall remodelling. The presence of SEA and dyskeratotic epithelial cells are considered surrogates of LPF, when the latter is not available in the biopsy.
DIFFERENTIAL DIAGNOSIS
EoE must be distinguished from other causes of oesophageal eosinophilia, such as drug reactions, connective tissue disorders, and infections. These alternative diagnoses should be considered in the absence of a typical clinical and endoscopic presentation, and their identification relies primarily on clinical information. In the paediatric population, differentiation between EoE and GERD can be particularly challenging, owing to overlapping clinical manifestations and histologic features. Notably, intraepithelial eosinophils are detected in up to 50% of GERD cases26. Thus, a comprehensive evaluation, integrating clinical, endoscopic, and histologic findings, is essential to establish an accurate diagnosis.
EOE VARIANTS
Growing evidence suggests that EoE may represent only the tip of the iceberg within a broader spectrum of Th2-mediated oesophageal disorders with overlapping clinical and endoscopic manifestations but involving different inflammatory cell types, such as B or T lymphocytes and mast cells.
The term EoE-like disease was first introduced by Straumann in 201633, and since then, several EoE variants have been described34. These include:
- EoE-like oesophagitis: defined as the presence of <15 eosinophils/0.3 mm2, with features of epithelial damage, such as DIS and BZH.
- Lymphocytic oesophagitis: defined as the presence of a lymphocyte-predominant intraepithelial inflammation mainly in peripapillary fields, associated with marked peripapillary spongiosis without intraepithelial granulocytes. The diagnostic cut-off for lymphocytic oesophagitis has been debated for years; in 2017, Rubio proposed > 40 intraepithelial lymphocytes/hpf (>65 lymphocytes/0.3 mm2)35, which was later confirmed by an expert panel in 202436.
- Non-specific oesophagitis: defined as the presence of intraepithelial lymphocytes not fulfilling the numerical and distributional criteria of lymphocytic oesophagitis, and without eosinophils (neutrophils can be observed).
- Mast-cell oesophagitis: a recently described entity, wherein patients with oesophageal symptoms, normal endoscopy, and normal or non-specific histology display numerous intraepithelial mast cells (> 60/mm2, equivalent to > 18/0.3 mm2) identified by tryptase staining37. Although a clear correlation has not been established between mast-cell density and clinical presentation, there is growing interest in the potential role of mast cells in oesophageal disease, given their well-known function in allergy-mediated immune responses.
Long-term follow-up has shown that approximately one-third of patients with EoE variants may transition between subtypes or progress to classical EoE38. However, additional evidence is needed to clearly define these variants and their clinical significance.
RECOMMENDATIONS FOR THE PATHOLOGY REPORT
As previously mentioned, 6 is the ideal number of biopsies for an accurate diagnosis, taken from ≥ 2 different regions of the oesophagus, preferably including the proximal, middle, and distal segments. Moreover, < 4 specimens reduce diagnostic sensitivity and are considered insufficient/inadequate if EoE is not identified. In such cases, the pathologist should specify that the material is not adequate for diagnostic purposes. However, if EoE is evident in the available tissue, the sample should still be evaluated, and a diagnosis should be rendered accordingly.
Given that the diagnosis of EoE requires a multidisciplinary approach and exclusion of other potential causes of oesophageal eosinophilia (see above), pathology reports should state that the findings are ‘compatible with EoE’ rather than ‘diagnostic of EoE.’ Importantly, intraepithelial eosinophils are not normally present in oesophageal biopsies39-40; thus, any degree of eosinophilic infiltration should be noted. This is particularly significant when assessing follow-up biopsies in patients undergoing treatment for EoE. In this context, a PEC < 15 Eos/hpf (0.3 mm2) is generally considered the cut-off for histologic disease control8, whereas a PEC < 6 Eos/hpf (0.3 mm2) indicates histologic remission7. Moreover, considering that PEC value is associated with EoE severity, reporting the exact number of PEC/0.3 mm2 is advisable7.
Thus, in both diagnostic settings and during follow-up, besides calculating PEC/0.3 mm2, accompanying histological features must be described, graded, and staged, possibly by applying the EoEHSS.
A schematic structure of the report is shown in Table III.
Conclusions
This document underlines the importance of histologic evaluation in the diagnosis and management of EoE, addressing the critical need for standardisation in EoE histological reporting. The use of the PEC/0.3 mm2 reporting criterion, rather than eos/hpf, for eosinophil counting is consistent with the recent recommendations, and it enables more reliable comparisons of outputs from different microscopes. The emphasis on reporting other inflammatory and fibrostenotic features beyond eosinophil count reflects the complex pathophysiology of EoE and may provide additional insights into disease progression and treatment response.
ACKNOWLEDGEMENTS
We would like to express our gratitude to Maria Gemma Pignataro for her assistance in digitising the histologic preparations and acquiring the iconographic material.
CONFLICTS OF INTEREST
MF: None declared.
EVS: Has served as a speaker for Abbvie, Aboca, Abivax, Agave, AGPharma, Alfasigma, Apoteca, Biosline, CaDiGroup, Celltrion, Dr Falk, EG Stada Group, Eli Lilly, Fenix Pharma, Galapagos, Giuliani, Johnson & Johnson, JB Pharmaceuticals, Innovamedica/Adacyte, Lionhealth, Malesci, Mayoly Biohealth, Montefarco, Novartis, Omega Pharma, Pfizer, Rafa, Reckitt Benckiser, Recordati, Sandoz, Sanofi/Regeneron, SILA, Takeda, Tillots, and Unifarco; has served as a consultant for Abbvie, Alfasigma, Apogee, AstraZeneca, Biogen, Bristol Myers Squibb, Celltrion, Dr. Falk, Eli Lilly, Fenix Pharma, Ferring, Giuliani, Grunenthal, Johnson & Johnson, JB Pharmaceuticals, Merck & Co., Nestlè, Pfizer, PRO.MED.CS Praha a.s., Reckitt Benckiser, Recordati, Sanofi/Regeneron, SILA, Takeda, and Unifarco; has received research support from Bonollo, Difass, Pfizer, Reckitt Benckiser, Sanofi/Regeneron, SILA, Unifarco, and Zeta Farmaceutici.
PP: Speaker/Pathology consultant for MSD, GSK, Bristol, Incyte, Astra Zeneca, Beigene, Astellas, Pharmacogenetics, Pierre Fabbre, and Servier.
LM: None declared.
MDA: None declared.
EP: None declared.
AV: Has served as a consultant in Advisory Boards for Amgen, BeOne, MSD Italia, and Sanofi.
VA: None declared.
MM: Consultant for Sanofi.
SO: Has served as a speaker for Sanofi/Regeneron, Recordati, Alfasigma, and Bristol Myers Squibb, Medtronic; has served as an advisory board member for AstraZeneca, Alfasigma, Dr. Falk, Recordati, Sanofi/Regeneron, and Medtronic.
CG: Has served as a consultant and speaker for Sanofi and Recordati.
FUNDING
Sanofi funded the expert meeting. The authors received no payment from Sanofi related to the development of this publication. Sanofi had the opportunity to review the publication; however, the authors remain responsible for all content, editorial decisions, and the decision to submit the manuscript.
AUTHORS’ CONTRIBUTIONS
VA and MM drafted the initial manuscript. CG, MF, EVS, and SO revised the initial draft of the manuscript. All authors approved the final version of the manuscript.
ETHICAL CONSIDERATION
This study did not involve human participants or patient data and therefore did not require ethical approval.
History
Received: November 25, 2025
Accepted: January 26, 2026
Figures and tables
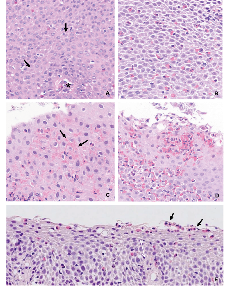
Figure 1. Inflammatory features of EoE. (A) Arrows indicate scattered intraepithelial eosinophils and mild spongiosis. The asterisk marks the lamina propria at the tip of a papilla, containing an eosinophil. (B) Numerous intraepithelial eosinophils are associated with diffuse and severe spongiosis. (C) Arrows indicate extracellular granules lacking nuclei, consistent with degranulation of eosinophils. (D) Eosinophilic abscesses characterised by a large cluster of eosinophils, without intervening epithelial cells. (E) Arrows indicate eosinophil surface layering. The white arrows suggests the involvement of severe spongiosis for almost the whole thickness of the epithelium and basal zone hyperplasia.
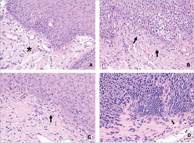
Figure 2. Basal zone hyperplasia and surface epithelial alterations. (A) Double arrow indicates the expansion of the basal zone, which extends to approximately 30% of the whole thickness of the epithelium. (B) Arrows indicate surface epithelial alteration, highlighted by the red appearance of epithelial cells. Asterisk shows the lamina propria within a papilla. (C) Asterisk indicates severe surface epithelial alteration.
Figure 3. Lamina propria fibrosis. (A) The asterisk indicates normal lamina propria, characterised by a delicate network of thin and loosely arranged collagen fibres. (B) Arrows indicate fibres that appear cohesive beneath the epithelium. (C) Arrows indicate that the diameter of fibres has increased and is equal to the diameter of a basal layer cell nucleus (arrows). (D) Double arrow indicates that in this case of severe lamina propria fibrosis, the diameter of the fibres diameter is greater than that of a basal layer cell nucleus.
| Field Number (FN) | 1 HPF 40x | Conversion factor to 0.3 mm2 |
|---|---|---|
| FN 18 | 0.159 mm2 | 1.89 HPF |
| FN 20 | 0.196 mm2 | 1.53 HPF |
| FN 22 | 0.237 mm2 | 1.27 HPF |
| FN 23 | 0.260 mm2 | 1.15 HPF |
| FN 24 | 0.283 mm2 | 1.06 HPF |
| FN 25 | 0.310 mm2 | 0.98 HPF |
| FN 26,5 | 0.345 mm2 | 0.87 HPF |
| To express the peak eosinophil count per 0.3 mm2, the pathologist should first determine the count per hpf and then multiply this value for the conversion factor corresponding to the FN of the microscope. | ||
| Feature | How to evaluate | GRADE SCORE | STAGE SCORE | ||||||
|---|---|---|---|---|---|---|---|---|---|
| 0 | 1 | 2 | 3 | 0 | 1 | 2 | 3 | ||
| BZH | % total epithelial tickness occupied by BZH | none | >15% ; <33% | >33% ; <66% | >66% | none | Any grade>0 in <33% of epithelium* | Any grade >0 in 33-66% of epithelium* | Any grade>0 in >60% of epithelium* |
| EI | No. Eo/0,3mm2 | 0 | <15 | 15-59 | >60 | 0 | |||
| EA | No. Eo forming the abscess | 0 | 4-9 | 10-20 | >20 | 0 | |||
| SL | No. Eo linearly allined on the epithelial surface, parallel to the lumen | 0 | 4 | 5-10 | >10 | 0 | |||
| DIS | Degree of magnification required to see the intercellular bridges | 0 | 400x | 200x | 100x | 0 | |||
| SEA | Darker red staining of surface epithelial cells with or without associated Eo | 0 | Present without Eo | Present with Eo | Shed epithelium with eosinophils’s exudate | 0 | |||
| Dysk | No./0,3mm2 | 0 | 1 | 2-5 | >5 | 0 | |||
| LPF | Degree of fibre thickening | Not present | Cohesive, not demarcated fibers | Fibre diameter equals the diameter of a basal cell nucleus | Fibre diameter exceeds the diameter of a basal cell nucleus | Not present | Any grade>0 in <33% of lamina propria | Any grade >0 in 33-66% of lamina propria | Any grade>0 in >66% of lamina propria |
| Modified from Collins et al. 2017.BZH, basal zone hyperplasia; EI, eosinophil inflammation; EA eosinophil abscess; Eo: eosinophils; SL, surface layering; DIS, dilated intercellular space; SEA, superficial epithelial alteration, Dysk, dyskeratotic epithelial cells, LPF, lamina propria fibrosis.The maximum possible grade or stage score for each biopsy is 24* Stage score for EI is based on the amount of the biopsy that exhibited the threshold value for EoE diagnosis (i.e. PEC>15/0,3mm2) | |||||||||
| Pathology report |
|---|
| Sample description |
| Number of biopsies collected from the proximal/middle/distal oesophagus |
| Clinical and endoscopic information |
| Clinical history |
| Eosinophilic Esophagitis Endoscopic Reference Score (EREFS) |
| Ongoing therapy |
| Prior diagnosis |
| Histological description |
| Essential |
| Peak eosinophil count (PEC) (Eos/0.3 mm2). |
| - It is desirable to report the exact number of Eos/0.3 mm2. |
| - It is essential to report at least the following cut-off: |
| - ≤6 Eos/0,3 mm2, <15 Eos/0.3 mm2, 15-60 Eos/0.3 mm2 >60 Eos/0.3 mm2 |
| Morphologic description of additional histologic features: |
| - Eosinophilic abscesses (present/absent) |
| - Eosinophil surface layering (present/absent) |
| - Dilated intercellular spaces (to be graded as small/large) |
| - Basal zone hyperplasia (to be graded as <30% or >30% of the epithelial thickness) |
| - Superficial epithelial alterations (present/absent) |
| - Lamina propria fibrosis (present/absent) |
| Desirable: |
| EoE Histologic Scoring System (EoEHSS) sec. Collins 2017 |
| Diagnosis |
| Samples are inadequate for diagnostic purposes |
| Histology do not support the diagnosis of EoE |
| Histology is compatible with the diagnosis of EoE |
References
- de Bortoli N, Visaggi P, Penagini R. The 1st EoETALY Consensus on the Diagnosis and Management of Eosinophilic Esophagitis – Definition, Clinical Presentation and Diagnosis. Dig Liver Dis. 2024;56:951-963. doi:https://doi.org/10.1016/j.dld.2024.02.005
- Lucendo A, Molina-Infante J, Arias Á. Guidelines on eosinophilic esophagitis: evidence-based statements and recommendations for diagnosis and management in children and adults. United European Gastroenterol J. 2017;5:335-358. doi:https://doi.org/10.1177/2050640616689525
- Dellon E, Hirano I. Epidemiology and Natural History of Eosinophilic Esophagitis. Gastroenterology. 2018;154:319-332. doi:https://doi.org/10.1053/j.gastro.2017.06.067
- Mona R, Hruz P. Epidemiology of Eosinophilic Esophagitis: Really a Novel and Evolving Disease?. Inflamm Intest Dis. 2025;10:34-40. doi:https://doi.org/10.1159/000543022
- Dellon E, Gonsalves N, Hirano I. American College of Gastroenterology. ACG clinical guideline: Evidenced based approach to the diagnosis and management of esophageal eosinophilia and eosinophilic esophagitis (EoE). Am J Gastroenterol. 2013;108:679-92. doi:https://doi.org/10.1038/ajg.2013.71
- Dhar A, Haboubi H, Attwood S. British Society of Gastroenterology (BSG) and British Society of Paediatric Gastroenterology, Hepatology and Nutrition (BSPGHAN) joint consensus guidelines on the diagnosis and management of eosinophilic oesophagitis in children and adults. Gut. 2022;71:1459-1487. doi:https://doi.org/10.1136/gutjnl-2022-327326
- Dellon E, Khoury P, Muir A. A Clinical Severity Index for Eosinophilic Esophagitis: Development, Consensus, and Future Directions. Gastroenterology. 2022;163:59-76. doi:https://doi.org/10.1053/j.gastro.2022.03.025
- Savarino V, Fassan M, de Bortoli N. Italian EoExpert panel recommendation for disease control, switching criteria, and follow-up in eosinophilic esophagitis from pediatric to adult age. Therap Adv Gastroenterol. 2025;18. doi:https://doi.org/10.1177/17562848251337515
- Odze R. Pathology of eosinophilic esophagitis: what the clinician needs to know. Am J Gastroenterol. 2009;104:485-90. doi:https://doi.org/10.1038/ajg.2008.40
- Collins M, Martin L, Alexander E. Newly developed and validated eosinophilic esophagitis histology scoring system and evidence that it outperforms peak eosinophil count for disease diagnosis and monitoring. Dis Esophagus. 2017;30:1-8. doi:https://doi.org/10.1111/dote.12470.11
- Laserna-Mendieta E, Casabona-Francés S, Amorena E. EUREOS and EoE CONNECT research group. Sex-related differences in the presentation, management and response to treatment of eosinophilic esophagitis: Cross sectional analysis of EoE CONNECT registry. United European Gastroenterol J. 2024;12:1388-1398. doi:https://doi.org/10.1002/ueg2.12699
- Visaggi P, Del Corso G, Solinas I. Adaptive Behaviors, Esophageal Anxiety, and Hypervigilance Modify the Association Between Dysphagia Perception and Histological Disease Activity in Eosinophilic Esophagitis. Am J Gastroenterol. 2024;120:1750-1759. doi:https://doi.org/10.14309/ajg.0000000000003272
- Frazzoni M, Frazzoni L, De Bortoli N. Response of eosinophilic oesophagitis to proton pump inhibitors is associated with impedance-pH parameters implying anti-reflux mechanism of action. Aliment Pharmacol Ther. 2021;53:1183-1189. doi:https://doi.org/10.1111/apt.16371
- Neumann L, Brader R, Kazemi-Shirazi L. No increase of biopsy rates despite high rates of probable eosinophilic esophagitis in patients with esophageal food impaction. Wien Klin Wochenschr. Published online 2025. doi:https://doi.org/10.1007/s00508-025-02542-6
- Hirano I, Moy N, Heckman M. Endoscopic assessment of the oesophageal features of eosinophilic oesophagitis: validation of a novel classification and grading system. Gut. 2013;62:489-95. doi:https://doi.org/10.1136/gutjnl-2011-301817
- Pasta A, Calabrese F, Furnari M. Endoscopic Management of Eosinophilic Esophagitis: A Narrative Review on Diagnosis and Treatment. J Clin Med. 2025;14. doi:https://doi.org/10.3390/jcm14113756
- Kim H, Vance R, Shaheen N. The prevalence and diagnostic utility of endoscopic features of eosinophilic esophagitis: a meta-analysis. Clin Gastroenterol Hepatol. 2012;10:988-96. doi:https://doi.org/10.1016/j.cgh.2012.04.019
- Aster J, Kumar V, Abbas A. Robbins and Cotran Pathologic Basis of Disease (10th Ed.). Published online 2020.
- Furuta G, Liacouras C, Collins M. First International Gastrointestinal Eosinophil Research Symposium (FIGERS) Subcommittees. Eosinophilic esophagitis in children and adults: a systematic review and consensus recommendations for diagnosis and treatment. Gastroenterology. 2007;133:1342-63. doi:https://doi.org/10.1053/j.gastro.2007.08.017
- Wright B, Doyle A, Shim K. Image Analysis of Eosinophil Peroxidase Immunohistochemistry for Diagnosis of Eosinophilic Esophagitis. Dig Dis Sci. 2021;66:775-783. doi:https://doi.org/10.1007/s10620-020-06230-5
- Protheroe C, Woodruff S, de Petris G. A novel histologic scoring system to evaluate mucosal biopsies from patients with eosinophilic esophagitis. Clin Gastroenterol Hepatol. 2009;7:749-755. doi:https://doi.org/10.1016/j.cgh.2009.03.022
- Parfitt J, Gregor J, Suskin N. Eosinophilic esophagitis in adults: distinguishing features from gastroesophageal reflux disease: a study of 41 patients. Mod Pathol. 2006;19:90-6. doi:https://doi.org/10.1038/modpathol.3800498
- Collins M. Histopathologic features of eosinophilic esophagitis. Gastrointest Endosc Clin N Am. 2008;18:59-71. doi:https://doi.org/10.1016/j.giec.2007.09.014
- Desai T, Stecevic V, Chang C. Association of eosinophilic inflammation with esophageal food impaction in adults. Gastrointest Endosc. 2005;61:795-801. doi:https://doi.org/10.1016/s0016-5107(05)00313-5
- Mastracci L, Grillo F, Parente P. Gastro-esophageal reflux disease and Barrett’s esophagus: an overview with an histologic diagnostic approach. Pathologica. 2020;112(3):117-127. doi:https://doi.org/10.32074/1591-951X-162
- Fiocca R, Mastracci L, Riddell R. Development of consensus guidelines for the histologic recognition of microscopic esophagitis in patients with gastroesophageal reflux disease: the Esohisto project. Hum Pathol. 2010;41:223-31. doi:https://doi.org/10.1016/j.humpath.2009.07.016
- Weinstein W, Bogoch E, Bowes K. The normal human esophageal mucosa: a histological reappraisal. Gastroenterology. 1975;68:40-4.
- Laky K, Frischmeyer-Guerrerio P. Development and dysfunction of structural cells in eosinophilic esophagitis. J Allergy Clin Immunol. 2024;153:1485-1499. doi:https://doi.org/10.1016/j.jaci.2024.04.006
- Mulder D, Justinich C. Understanding eosinophilic esophagitis: the cellular and molecular mechanisms of an emerging disease. Mucosal Immunol. 2011;4:139-47. doi:https://doi.org/10.1038/mi.2010.88
- Hiremath G, Sun L, Correa H. Development and Validation of Web-Based Tool to Predict Lamina Propria Fibrosis in Eosinophilic Esophagitis. Am J Gastroenterol. 2022;117:272-279. doi:https://doi.org/10.14309/ajg.0000000000001587
- Vieira M, Gugelmin E, Percicote A. Intra- and interobserver agreement of histopathological findings in pediatric patients with eosinophilic esophagitis. J Pediatr (Rio J). 2022;98:26-32. doi:https://doi.org/10.1016/j.jped.2021.03.004
- Straumann A, Blanchard C, Radonjic-Hoesli S. A new eosinophilic esophagitis (EoE)-like disease without tissue eosinophilia found in EoE families. Allergy. 2016;71:889-900. doi:https://doi.org/10.1111/all.12879
- Greuter T, Straumann A, Fernandez-Marrero Y. Characterization of eosinophilic esophagitis variants by clinical, histological, and molecular analyses: A cross-sectional multi-center study. Allergy. 2022;77:2520-2533. doi:https://doi.org/10.1111/all.15233
- Rubio C, Ichiya T, Schmidt P. Lymphocytic oesophagitis, eosinophilic oesophagitis and compound lymphocytic-eosinophilic oesophagitis I: histological and immunohistochemical findings. J Clin Pathol. 2017;70:208-216. doi:https://doi.org/10.1136/jclinpath-2016-203782
- Coady L, Sheahan K, Brown I. Esophageal lymphocytosis: exploring the knowns and unknowns of this pattern of esophageal injury. Expert Rev Gastroenterol Hepatol. 2024;18:529-539. doi:https://doi.org/10.1080/17474124.2024.2385493
- Ocampo A, Genta R, Dellon E. Mast Cell Esophagitis: A Novel Entity in Patients with Unexplained Esophageal Symptoms. Dysphagia. 2024;39:360-368. doi:https://doi.org/10.1007/s00455-023-10616-8
- Greuter T, Straumann A, Fernandez-Marrero Y. A Multicenter Long-Term Cohort Study of Eosinophilic Esophagitis Variants and Their Progression to Eosinophilic Esophagitis Over Time. Clin Transl Gastroenterol. Published online 2024. doi:https://doi.org/10.14309/ctg.0000000000000664
- Koutri E, Patereli A, Noni M. Distribution of eosinophils in the gastrointestinal tract of children with no organic disease. Ann Gastroenterol. 2020;33:508-515. doi:https://doi.org/10.20524/aog.2020.0518
- Hoofien A, Oliva S, Karl-Heinz Auth M. A Quantitative Assessment of Mucosal Eosinophils in the Gastrointestinal Tract of Children Without Detectable Organic Disease. Pediatr Dev Pathol. 2022;25:99-106. doi:https://doi.org/10.1177/10935266211039474
- Turapov T, Uchida A, Pletneva M. Gastrointestinal Tissue Eosinophil Quantification in Healthy Adult Volunteers. Gastroenterology. 2025;169:158-160. doi:https://doi.org/10.1053/j.gastro.2025.02.011
Downloads
License
This work is licensed under a Creative Commons Attribution-NonCommercial-NoDerivatives 4.0 International License.
Copyright
Copyright (c) 2026 Società Italiana di Anatomia Patologica e Citopatologia Diagnostica, Divisione Italiana della International Academy of Pathology
How to Cite
- Abstract viewed - 651 times
- PDF downloaded - 231 times
