Letter to the Editor
Vol. 118: Issue 1 - February 2026
Early-onset gestational pemphigoid in the first trimester: a diagnostic pitfall
Summary
This letter reports a case of a gestational pemphigoid (GP), a rare autoimmune subepidermal blistering disorder, typically arising in the third trimester of pregnancy. Early-onset presentations, during the first trimester, are exceptionally uncommon and may mimic other pregnancy-related dermatoses, delaying diagnosis. We report a rare early-onset case of GP and discuss the diagnostic challenges and management implications, allowing timely diagnosis and treatment, reducing maternal morbidity and potential obstetric complications.
Article
Dear Editor,
Gestational pemphigoid (GP) is a rare autoimmune subepidermal blistering disorder of pregnancy, mediated by autoantibodies targeting BP180 and activating complement 1-6. Although most cases arise in the second or third trimester, early-onset presentations are distinctly uncommon and may clinically mimic other pregnancy-associated dermatoses 1,3.
We report the case of a 37-year-old woman at 12 weeks of twin gestation who presented with multiple tense bullae on the limbs and back, with no mucosal involvement. Given the early onset and clinical morphology, the initial diagnostic hypotheses included herpes gestationis and bullous pemphigoid, with different therapy and clinical outcomes.
Figure 1 shows the clinical picture at the presentation (A) and after steroid therapy (B).
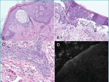
Histopathological examination showed focal epidermal spongiosis (Fig. 2A) and a subepidermal blister with edema, cellular debris, and scattered eosinophils (Fig. 2B). The dermis revealed a perivascular and interstitial eosinophil-rich infiltrate, compatible with autoimmune subepidermal blistering disorders (Fig. 2C) Direct immunofluorescence on perilesional skin demonstrated linear IgG (Fig. 2D) and C3 deposition along the basement membrane zone, thereby supporting the diagnosis of GP.
This timely therapeutic intervention resulted in the complete resolution of the disease and the uneventful continuation of the twin pregnancy, with no obstetric complications and with excellent prognosis also in the post-partum period.
Although rare, GP should be considered even in early pregnancy when an eosinophil-rich subepidermal blister is identified. Prompt biopsy, direct immunofluorescence, and multidisciplinary collaboration are essential to distinguish GP from other dermatoses of pregnancy – particularly those with different therapeutic implications – and to ensure optimal clinical and obstetric outcomes.
ACKNOWLEDGEMENTS
Authors would like to express sincere gratitude to Agnese Rullo for providing her technical support.
FUNDING
No external funding was received.
CONFLICT OF INTEREST
The authors declare no conflicts of interest.
ETHICAL CONSIDERATION
The information contained in this manuscript complies with the journal’s ethical standards.
Written informed consent was obtained from the patients for the study participation and data publication.
History
Received: December 27, 2025
Accepted: January 2, 2026
Figures and tables
Figure 1. A) Clinical presentation at 12 weeks of gestation showing multiple tense bullae on the lower extremities. B) Clinical resolution after systemic and topic corticosteroid therapy, showing complete disappearance of bullous lesions and normalization of the skin surface.
Figure 2. Histopathological and immunomorphological findings. A) Epidermal spongiosis. B) Subepidermal blister with inflammatory cells. C) Dermal perivascular inflammatory infiltrate rich in eosinophils. D) DIF showing linear IgG deposition along the basement membrane zone.
References
- Shimanovich I, Hertl M. Autoimmune blistering diseases during pregnancy. Autoimmun Rev. 2008;7:439-445.
- Shimanovich I. Pemphigoid gestationis: clinical and immunopathologic features. J Am Acad Dermatol. 2002;46:803-807.
- Ambros-Rudolph C. Dermatoses of pregnancy—clues to diagnosis, fetal risk and therapy. Ann Dermatol. 2011;23:265-275. doi:https://doi.org/10.5021/ad.2011.23.3.265
- Di Zenzo G. Autoantibody profile of pemphigoid gestationis. Br J Dermatol. 2016;174:797-799.
- Liu Z. BP180 and the immunopathology of bullous pemphigoid. J Invest Dermatol. 2018;138:2461-2470.
- Ambros-Rudolph C. The specific dermatoses of pregnancy revisited. J Am Acad Dermatol. 2006;54:395-404.
Downloads
License
This work is licensed under a Creative Commons Attribution-NonCommercial-NoDerivatives 4.0 International License.
Copyright
Copyright (c) 2026 Società Italiana di Anatomia Patologica e Citopatologia Diagnostica, Divisione Italiana della International Academy of Pathology
How to Cite
- Abstract viewed - 286 times
- PDF downloaded - 64 times
