Letter to the Editor
Vol. 118: Issue 1 - February 2026
“Adnexotropic” lichen striatus: a potential histological mimicker of mycosis fungoides
Article
Dear Editor,
Lichen striatus (LS) is a self-limiting inflammatory dermatosis of childhood, typically presenting as linear papules distributed along the lines of Blaschko1. Although the diagnosis is often clinical, LS may display a broad histopathological spectrum, occasionally overlapping with features of cutaneous lymphoproliferative disorders. We report a pediatric case of LS with striking adnexotropism closely mimicking mycosis fungoides (MF).
A 7-year-old boy presented with papules confluent into a continuous band arranged along Blaschko’s lines on the midline forehead, extending in a cranio-caudal direction. The lesion was slightly infiltrated with a mildly scaly surface and ill-defined margins. It had been present for approximately one year and was stable and asymptomatic (Fig. 1A). Besides LS, the clinical differential diagnosis also included en coup de sabre morphea and inflammatory linear verrucous epidermal nevus.
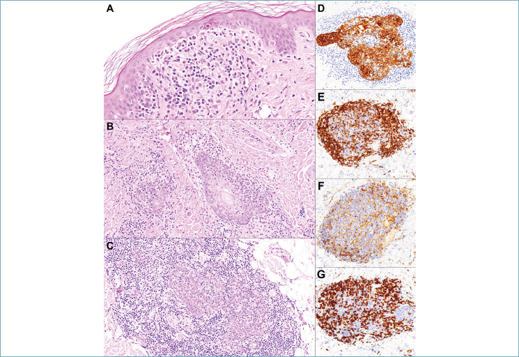
Histopathological examination disclosed a lymphoid cell infiltrate with a superficial, focally lichenoid, and deep periadnexal pattern (Fig. 1B). The superficial lymphoid cell infiltrate was associated with an interface dermatitis with vacuolar alteration of the basal layer (Fig. 2A). Notably, the dense perifollicular and perieccrine lymphocytic infiltration showed prominent folliculotropism (Fig. 2B) and syringotropism (Fig. 2C-D), raising concern for adnexotropic MF. However, no cytological atypia, no epidermal dysmaturation, and no mucin deposition was identified. Immunophenotypic analysis demonstrated a predominantly CD3-positive T-cell infiltrate (Fig. 2E) with a CD4/CD8 ratio of 1:2 (Figg. 2F-G) and retained expression of pan–T-cell markers (CD2, CD5, CD7). Rare B cells and plasma cells were also observed. Molecular analysis of T-cell receptor gene rearrangements showed a polyclonal pattern. Based on clinicopathological correlation, a final diagnosis of LS was rendered.
LS is a self-limiting inflammatory dermatosis typically occurring in childhood and characterized by linear papules and plaques distributed along the lines of Blaschko, a pattern that likely reflects underlying cutaneous genetic mosaicism. Histopathologically, LS encompasses a broad spectrum of findings, including spongiotic, lichenoid, or psoriasiform patterns, often accompanied by vacuolar interface change, scattered necrotic keratinocytes, and superficial and deep perivascular and periadnexal lymphocytic infiltrates. In rare instances, as in the present case, the inflammatory infiltrate may show prominent adnexotropism and folliculotropism, thereby closely simulating folliculotropic or syringotropic MF. An additional diagnostic challenge is represented by the immunophenotype of the epidermotropic lymphocytes in lichen striatus, which are predominantly CD8-positive cytotoxic T cells2, as observed in the present case. This feature is shared with pediatric and hypopigmented variants of mycosis fungoides, further complicating the differential diagnosis. Similar diagnostic pitfalls have been reported by Mascolo et al.3 and Wang et al4. However, several histopathological findings favor a diagnosis of LS, namely: spongiosis, necrotic keratinocytes, and lack of features commonly found in folliculotropic MF (atypical cerebriform lymphocytes, follicular mucinosis, basaloid hyperplasia of the adnexal epithelium, monoclonal TCR gene rearrangements). Paradoxically, indeed, a lichenoid infiltrate on chronically sun exposed skin also argues against MF, since superficial infiltrates of MF are easily cleared by sun exposure.
Clinical parameters are obviously of paramount importance, since pediatric age, papules linearly arranged on chronically sun-exposed skin, are strong arguments against a diagnosis of MF.
An additional histological differential diagnosis in this setting is syringotropic lichen planus (LP), a rare variant of LP coupling classical histologic features of lichen ruber planus with by prominent lymphocytic permeation of the eccrine secretory coils and, occasionally, follicular involvement, which has been reported as a histopathologic mimicker of syringotropic MF5. Clinically, syringotropic LP typically affects adults and presents with pruritic, violaceous lichenoid papules or plaques, often with a non-linear distribution.
In conclusion, we underline that LS may show histopathologic features mimicking adnexotropic MF and that clinicopathological correlation is mandatory to avoid histopathologic misinterpretation.
CONFLICTS OF INTEREST
the authors declare no conflict of interest.
FUNDING
this research received no external funding.
ETHICS APPROVAL STATEMENT
not applicable.
PATIENT CONSENT STATEMENT
Informed consent was obtained
History
Received: January 20, 2026
Accepted: February 1, 2026
Figures and tables
Figure 1. A thin erythematous-pink linear lesion located on the midline of the forehead, extending in a cranio-caudal direction. The lesion appeared slightly infiltrated, with ill-defined margins and a smooth surface (A). Punch biopsy showing a dense superficial and deep dermal inflammatory infiltrate with a predominantly peri-adnexal distribution, associated with features of follicular ectasia (B, hematoxylin and eosin stain, original magnification ×12).
Figure 2. At high magnification, foci of interface dermatitis are observed at the dermo-epidermal junction, associated with a lichenoid lymphocytic infiltrate (A, hematoxylin and eosin stain, original magnification ×200). The infiltrate shows a peri-adnexal distribution with associated folliculotropism and syringotropism (B and C, rispectively; hematoxylin and eosin stain, original magnification ×100). This tropism is highlighted by MNF116 immunostaining, which delineates epithelial structures extensively colonized by lymphoid cells (D, peroxidase stain, original magnification ×100). The lymphoid population is composed predominantly of CD3-positive T lymphocytes (E, peroxidase stain, original magnification ×200), with a CD4+/CD8+ ratio of 1:2 (F and G, respectively; peroxidase stain, original magnification ×200).
References
- Herzum A, Viglizzo G, Occella C. Lichen striatus: a review. Ital J Dermatol Venerol. 2025;160(3):242-247. doi:https://doi.org/10.23736/S2784-8671.24.07998-2
- Zhang Y, McNutt N. Lichen striatus. Histological, immunohistochemical, and ultrastructural study of 37 cases. J Cutan Pathol. 2001;28(2):65-71. doi:https://doi.org/10.1034/j.1600-0560.2001.280202.x
- Mascolo M, Russo D, Scalvenzi M. Lichen striatus histopathologically mimicking mycosis fungoides. J Dtsch Dermatol Ges. 2014;12(11):1048-1050. doi:https://doi.org/10.1111/ddg.12408
- Wang L, Chen F, Liu Y. Lichen striatus with syringotropism and hyperplasia of eccrine gland cells: a rare phenomenon that should not be confused with syringotropic mycosis fungoides. J Cutan Pathol. 2016;43(11):927-931. doi:https://doi.org/10.1111/cup.12768
- Mazzeo M, Saggini A, Rocco T. Syringotropic Lichen Planus: A Potential Histopathologic Mimicker of Syringotropic Mycosis Fungoides. Am J Dermatopathol. 2019;41(5):e50-e53. doi:https://doi.org/10.1097/DAD.0000000000001295
Downloads
License
This work is licensed under a Creative Commons Attribution-NonCommercial-NoDerivatives 4.0 International License.
Copyright
Copyright (c) 2026 Società Italiana di Anatomia Patologica e Citopatologia Diagnostica, Divisione Italiana della International Academy of Pathology
How to Cite
- Abstract viewed - 336 times
- PDF downloaded - 56 times

