Case reports
Vol. 117: Issue 4 - August 2025
Mesonephric-like metaplasia of the endometrium in a woman treated with letrozole: morphological, immunohistochemical and molecular analysis
Summary
Endometrial mesonephric-like adenocarcinoma (MLA) is thought to arise from endometrial epithelium through a Müllerian-to-mesonephric transdifferentiation. However, no benign or precancerous mesonephric-like endometrial lesions have been reported so far. Herein, we describe the first case of endometrial mesonephric-like metaplasia.
A 61-year-old woman who was treated with letrozole for 5 years underwent removal of an endometrial polyp. Histological examination highlighted an area of small round glands resembling mesonephric remnants, with no cytological atypia and no mitotic activity. Immunohistochemistry showed positivity for PAX8, estrogen receptor and GATA3, patchy p16 expression, wild-type p53 pattern, low Ki-67 expression, and negativity for progesterone receptor, TTF1 and CD10. Next-generation sequencing analysis of 17 genes (KRAS, NRAS, HRAS, BRAF, EGFR, ERBB2, FGFR3, IDH1, IDH2, KIT, MET, PDGFRA, PIK3CA, RET, ROS1) showed no pathogenetic mutations.
These features appear consistent with a benign endometrial mesonephric-like metaplasia. Its relationships with hormone treatment and with MLA carcinogenesis remain to be defined.
Introduction
Mesonephric-like adenocarcinoma (MLA) is an uncommon malignancy occurring in the endometrium and ovary, which shows morphological, immunohistochemical and molecular resemblance to mesonephric carcinomas of the uterine cervix. Similar to mesonephric carcinoma, MLA typically shows positivity for PAX8, TTF1, GATA3 and CD10 and harbors KRAS mutations in more than 90% of cases 1
A recent study also showed an overlapping methylation profile between MLA and mesonephric carcinoma, suggesting that MLA should be termed “mesonephric-type carcinoma” based on its true mesonephric differentiation 2.
The difference between mesonephric carcinoma and MLA lies in their origin. In fact, while true mesonephric carcinoma arises from mesonephric remnants of the cervical wall, MLA is thought to arise from Müllerian epithelium through a Müllerian-to-mesonephric trans-differentiation 1,2. Interestingly, while mixed endometrioid/mesonephric-like carcinomas can be observed in the endometrium 1, benign or precancerous endometrial lesions have not been reported so far.
Herein, we describe the first case of benign mesonephric-like metaplasia of endometrium in a woman treated with letrozole.
Case report
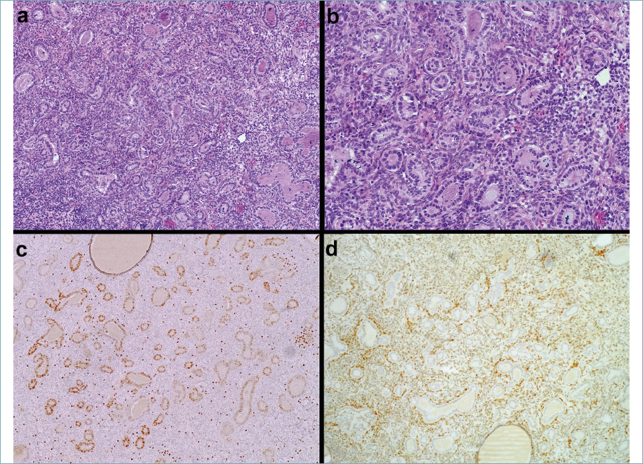
A 61-year-old woman with abnormal uterine bleeding was diagnosed with an endometrial polyp. The patient had been treated with letrozole due to a breast carcinoma diagnosed 5 years earlier. The polyp was removed hysteroscopically and sent to the pathology unit for histological examination. Histologically, the endometrial polyp showed atrophic dilated glands with eosinophilic intraluminal secretion. At the surface of the polyp, an area of small round glands resembling mesonephric remnants was observed (Fig. 1a); the glands showed no cytological atypia and no mitotic activity (Fig. 1b). Immunohistochemically, the small glands showed positivity for PAX8, estrogen receptor and GATA3 (Fig. 1c), with patchy p16 expression, wild-type p53 pattern and low Ki-67 expression (< 5%). Progesterone receptor was negative (Fig. 1d) (while being positive in adjacent endometrial glands), as well as TTF1 and CD10. Next-generation sequencing showed the absence of known pathogenetic variants in 17 genes (KRAS, NRAS, HRAS, BRAF, EGFR, ERBB2, FGFR3, IDH1, IDH2, KIT, MET, PDGFRA, PIK3CA, RET, ROS1), which is consistent with a benign process. We interpreted this lesion as a mesonephric-like metaplasia. A follow-up biopsy performed after 6 months showed normal atrophic endometrium.
Discussion
In the last years, our knowledge regarding endometrial carcinoma variants and their precursors has greatly improved. While the main precursor of endometrioid carcinoma (atypical hyperplasia/EIN) has long since been known, the so-called “endometrial glandular dysplasia” has more recently been proposed as a precursor for serous carcinoma 3. Several other putative precancerous lesions have emerged for less common histotypes or variants. Interestingly, the precancerous lesions may display the same type of differentiation/metaplasia as the carcinoma arising from it. For instance, complex papillary mucinous proliferations may progress to endometrioid carcinoma with mucinous differentiation 4. Gastrointestinal-type carcinoma has been shown to arise from gastrointestinal-type metaplasia 5. For squamous cell carcinoma, a squamous intraepithelial form involving the endometrial surface has been reported 6. On the other hand, undifferentiated/dedifferentiated carcinoma and carcinosarcoma likely do not directly arise from precancerous lesions but rather represent evolutions of pre-existing carcinomas (such as endometrioid carcinomas and serous carcinoma) 7.
With regard to MLA, it is unknown whether it is preceded by recognizable precursor lesions. In the ovary, MLA is often found associated with benign, borderline or malignant Müllerian lesions 8-11. Sometimes, MLA is associated with mucinous lesions 9,11. Interestingly, the coexisting lesions often harbor KRAS mutations 9,10.
However, the step at which the Müllerian to mesonephric-like trans-differentiation occurs might vary. In fact, there are cases of mixed MLA-endometrioid carcinoma (both in the ovary and endometrium), where the former might have arisen from the latter 1,8. In the ovary, cases of benign-looking mesonephric-like proliferations, in which the transition occurred at a benign level, have been described as well 11. By contrast, no benign mesonephric proliferations have been described in the endometrium so far.
Our case may be the first reported case of mesonephric-like metaplasia of the endometrium. The absence of atypia and mitotic activity supports that it is a benign lesion. Interestingly, the patient was under treatment with letrozole, a non-steroidal aromatase inhibitor which inhibits the conversion of androgens into estrogens 12. Since there are no similar cases in the literature, we cannot conclude if this mesonephric-like metaplasia represents a hormone-related change and if might be associated with MLA carcinogenesis. In fact, our case lacked the typical mutations associated with MLA (including KRAS, NRAS, BRAF) 13. Further studies are necessary to clarify the nature and the clinical significance of this type of lesion.
Conclusion
Herein, we report on the first case of putative mesonephric-like metaplasia of the endometrium. This finding may be of value in understanding how mesonephric-like lesions develop in the endometrium. Interestingly, the patient was under treatment with letrozole. Further studies are needed to define the association of endometrial mesonephric-like metaplasia with MLA and with hormonal treatments.
CONFLICTS OF INTEREST STATEMENT
The authors declare no conflict of interest.
FUNDING
None.
AUTHORS’ CONTRIBUTIONS
Conception: AT
Histological examination: AT,AS,DA,SLR,GFZ
Histological data collection: SR,GA,GS,NDA,MV
Clinical data collection: JC,TR,AR,AP,FC
Literature search: NN,FA,BPU
Manuscript writing (first draft): AT,AS,DA,NDA,NN,FA,GS,AP,FC,GA,SR,BPU,MV,TR
Manuscript writing (review and editing): AT,AR,JC,SLR,GFZ
Supervision: AT,AR,JC,SLR,GFZ
ETHICAL CONSIDERATION
Written informed consent was obtained from the patient. Data were anonymized.
History
Received: November 7, 2024
Accepted: November 20, 2024
Figures and tables
Figure 1. Morphological and immunohistochemical features of mesonephric-like metaplasia. (A) Small round glands resembling mesonephric remnants. (B) Morphological details showing no atypia or mitotic activity. (C) Positivity for GATA3. (D) Negativity for progesterone receptor.
References
- Mirkovic J, Olkhov-Mitsel E, Amemiya Y, Al-Hussaini M, Nofech-Mozes S, Djordjevic B, Kupets R, Seth A, McCluggage W. Mesonephric-like adenocarcinoma of the female genital tract: novel observations and detailed molecular characterisation of mixed tumours and mesonephric-like carcinosarcomas. Histopathology. 2023;82(7):978-990. doi:https://doi.org/10.1111/his.14892.
- Kommoss F, Lee C, Tessier-Cloutier B. Mesonephric-like adenocarcinoma harbours characteristic copy number variations and a distinct DNA methylation signature closely related to mesonephric adenocarcinoma of the cervix. J Pathol. 2024;262(1):4-9. doi:https://doi.org/10.1002/path.6217.
- Yi X, Zheng W. Endometrial glandular dysplasia and endometrial intraepithelial neoplasia. Curr Opin Obstet Gynecol. 2008;20(1):20-5. doi:https://doi.org/10.1097/GCO.0b013e3282f2fd50
- Yoo S. Papillary mucinous metaplasia: a distinct precursor of mucinous adenocarcinoma of the endometrium. Int J Clin Exp Pathol. 2022;15(2):83-87.
- Travaglino A, Raffone A, Gencarelli A, Mollo A, Zullo F, Insabato L. Endometrial Gastric-type Carcinoma: An Aggressive and Morphologically Heterogenous New Histotype Arising From Gastric Metaplasia of the Endometrium. Am J Surg Pathol. 2020;44(7):1002-1004. doi:https://doi.org/10.1097/PAS.0000000000001474
- Hopkins M, Palsgrove D, Ronnett B, Vang R, Lin J, Murdock T. Molecular Analysis of HPV-independent Primary Endometrial Squamous Cell Carcinoma Reveals TP53 and CDKN2A Comutations : A Clinicopathologic Analysis With Re-evaluation of Diagnostic Criteria. Am J Surg Pathol. 2022;46(12):1611-1622. doi:https://doi.org/10.1097/PAS.0000000000001970
- Travaglino A, Raffone A, Gencarelli A. TCGA Classification of Endometrial Cancer: the Place of Carcinosarcoma. Pathol Oncol Res. 2020;26(4):2067-2073. doi:https://doi.org/10.1007/s12253-020-00829-9
- Addante F, Travaglino A, Arciuolo D. Phenotypical plasticity of endometriosis-related ovarian neoplasms. Virchows Arch. Published online 2023. doi:https://doi.org/10.1007/s00428-023-03659-7
- Stolnicu S, Bartalis R, Ye Q, Da Cruz Paula A, Weigelt B, Soslow R. Ovarian RASoma With Mesonephric-like Adenocarcinoma and Mixed Mullerian Components: A Case Report With Molecular Analysis Demonstrating Multidirectional Mullerian Differentiation. Int J Gynecol Pathol. 2023;42(6):620-626. doi:https://doi.org/10.1097/PGP.0000000000000935
- McCluggage W, Vosmikova H, Laco J. Ovarian Combined Low-grade Serous and Mesonephric-like Adenocarcinoma: Further Evidence for A Mullerian Origin of Mesonephric-like Adenocarcinoma. Int J Gynecol Pathol. 2020;39(1):84-92. doi:https://doi.org/10.1097/PGP.0000000000000573
- Hiller G, Höhn A, Krücken I. Mucinous cystadenoma and benign mesonephric-like proliferation in the ovary - Further evidence for clonal relationship. Pathol Res Pract. 2024;258. doi:https://doi.org/10.1016/j.prp.2024.155336
- Bhatnagar A, Batzl C, Häusler A, Nogués V. The role of estrogen in the feedback regulation of follicle-stimulating hormone secretion in the female rat. J Steroid Biochem Mol Biol. 1993;47(1-6):161-6. doi:https://doi.org/10.1016/0960-0760(93)90070-d
- a Silva E, Fix D, Sebastiao A. Mesonephric and mesonephric-like carcinomas of the female genital tract: molecular characterization including cases with mixed histology and matched metastases. Mod Pathol. 2021;34(8):1570-1587. doi:https://doi.org/10.1038/s41379-021-00799-6
Downloads
License
This work is licensed under a Creative Commons Attribution-NonCommercial-NoDerivatives 4.0 International License.
Copyright
Copyright (c) 2024 Società Italiana di Anatomia Patologica e Citopatologia Diagnostica, Divisione Italiana della International Academy of Pathology
How to Cite
- Abstract viewed - 965 times
- PDF downloaded - 281 times
