Case reports
Vol. 117: Issue 4 - August 2025
A tough NUT carcinoma to crack
Summary
We describe the case of a NUT carcinoma of the thorax in a 27-year-old male, non-smoker, presenting a voluminous neoformation in the hilum and the left side of the mediastinum infiltrating heart and great vessels. The biopsy revealed a poorly differentiated cancer with focal crush artifact consisting of undifferentiated small to medium-size cells, with minimal indistinct to clear cytoplasm, round or oval nuclei, nuclear molding and brisk mitotic activity. Suggestive morphological features often associated with NUT carcinoma, for example abrupt foci of keratinization, were not seen. Moreover, immunohistochemical (IHC) analysis showed negativity for epithelial markers, such as Cytokeratin AE1/AE3, CK7, CK-CAM5.2, CK5/6, p40 and TTF1; therefore, further immunohistochemical markers were evaluated, and the conclusive diagnosis was based on a diffuse speckled nuclear positivity for NUT1 (clone C52B1). Considering the unusual morphological and IHC findings, a comprehensive genome profiling, by FoundationOne®CDx Next Generation Sequencing (NGS), was performed on DNA from the transbronchial needle aspiration formalin-fixed and paraffin-embedded cell block. Neither NUTM1 gene fusions nor other pathogenic gene variants were detected. However, focal and segmental copy number variations (CNV) were seen in chromosome 19, in the middle of the BRD4 gene, the most common NUTM1 fusion partner. In addition, an array CGH (aCGH) analysis was performed: this analysis revealed different CNV, including a 2.7Mb deletion and a 14.4Mb duplication in chromosome regions were NUTM1 and BRD4 are respectively located. Finally, an RNA-based NGS confirmed the presence of a BDR4-NUTM1 fusion transcript, supporting IHC findings. IHC and molecular results all together are suggestive for a likely non-canonical BRD4-NUTM1 fusion. Our case showed unusual features both from a morphological and a molecular point of view: the diagnosis was driven by NUT1 positive immunohistochemistry, thus underlining the crucial role of this test.
Introduction
NUT carcinoma is an infrequent, highly aggressive and poorly differentiated tumor characterized by rapid clinical progression and poor prognosis. From a genetic perspective, it is defined by a chromosomal rearrangement involving the nuclear protein in testis (NUTM1) gene, located on chromosome 15q14. The most frequent fusion partner is the bromodomain containing 4 (BRD4) gene mapping on chromosome 19p13.3p13.12, with the most common breakpoints reported within exon 11 of BRD4 and exon 2 of NUTM 1.
Although it was first described in children and young adults, NUT carcinoma may present at any age and equally affects male and female patients. It frequently involves the mediastinum, presenting as a large ill-defined mass, that may infiltrate adjacent structures such as pleura, pericardium, heart, large vessels, and central airways, causing debilitating but aspecific respiratory symptoms, such as chest pain, dyspnea, and hemoptysis 1.
In histological sections, NUT carcinoma typically shows a partial squamous differentiation, with frequently described abrupt foci of keratinization that may aid in diagnosis; yet, in small samples that lack such features, the recognition of NUT carcinoma based solely on morphology may be challenging. According to the 2021 WHO Classification of Thoracic Tumors 5th edition, the diagnosis requires immunohistochemical nuclear positivity for NUT1 and/or the demonstration of rearrangement involving NUTM1 trough molecular methods 2: nevertheless, it is worth noticing that in some cases discordance between these two criteria, or indeed between different molecular methods, has been highlighted 3.
Case report
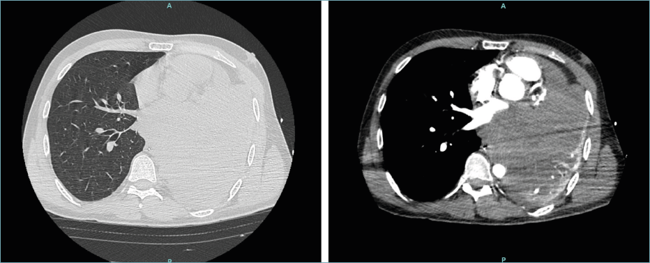
We describe the case of a 27-year-old male, non-smoker, who presented at our institution with hemoptysis. Initially, an infectious disease, such as tuberculosis, was suspected. A computed tomography (CT) showed a voluminous neoformation in the hilum and the left side of the mediastinum, infiltrating the left atrium and encompassing both the aortic arch and the pulmonary artery (Fig. 1).
A bronchoscopic biopsy of the left main bronchus was performed, together with a transbronchial needle aspiration (TBNA) of the lesion.
Pathology results
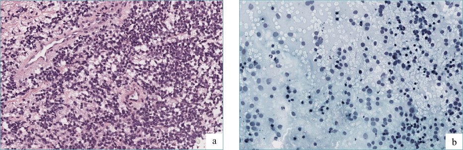
The biopsy revealed a poorly differentiated cancer, with focal crush artifact, consisting of sheets of small to medium-size cells, with minimal indistinct to clear cytoplasm, round or oval nuclei, nuclear molding, some prominent nucleoli and brisk mitotic activity. Alongside undifferentiated tumoral cells, the sample showed scattered neutrophils, while no abrupt foci of keratinization or squamous change were seen. Necrosis was also absent (Fig. 2a).
Similar features were observed on the TBNA Papanicolau smear, which displayed small clusters or isolated atypical cells of intermediate size, admixed with abundant neutrophils and lymphocytes (Fig. 2b).
A first panel of immunohistochemical (IHC) analysis was performed, demonstrating negativity for epithelial markers AE1/AE3, CK7, CK-CAM5.2, CK5/6, p40 and TTF1. Neuroendocrine markers, such as CD56, synaptophysin, and chromogranin, were also negative, as well as lymphoid (LCA, CD20, CD3, CD30) and germ cell markers (PLAP). Proliferative activity was confirmed to be very high (MIB-1 80%). Further IHC markers were evaluated, showing negativity for SOX10 and S100, a strong and diffuse positivity for EMA and SMARC4 (BRG1) as well as a weak and focal positivity for CD99, and finally a typical “speckled” nuclear positivity for NUT1 (clone C52B1): consequently, a diagnosis of poorly differentiated cancer was made, in line with a NUT carcinoma of the thorax (Fig. 3).
Mutational analysis
First, a comprehensive genomic profiling, by FoundationOne®CDx Next Generation Sequencing (NGS), was performed on DNA from TBNA formalin-fixed and paraffin-embedded cell blocks. Neither NUTM1 gene fusions nor other pathogenic gene variants were detected. However, focal and segmental copy number variations (CNVs) were seen in chromosome 19, in the middle of the BRD4 gene. This location is compatible with the BRD4 breakpoints for reported NUTM1 fusions.
However, considering the discordance between NGS and IHC results and limits of DNA based NGS tests in detecting gene fusions 4, both an array-CGH (aCGH) analysis and an RNA-based NGS test, were performed.
DNA and RNA for aCGH and RNA-based NGS were purified separately from two TBNA Papanicolaou smears, each smear was placed in xylene for 48 h to remove the coverslip; then, the slide was rehydrated in graded solutions of ethanol (99%, 95%, 70%, and 50%) for 10 min each. Sample was enriched for cancer cells by manual macrodissection; nucleic acids were then purified using the QIAamp DNA Mini Kit and RNeasy FFPE kit (Qiagen, Hilden, Germany) respectively, according to the manufacturer’s protocol. Nucleic acid concentration was determined using both a spectrophotometer and the high sensitivity dsDNA quantification kit on the Qubit fluorometer (Thermofisher, Massachusetts, USA).
The aCGH was performed with standard methods using 200 ng of total DNA. A normal male DNA was referred as control; an 8X60K platform was used (Agilent Technologies, Califormia, USA), with an average probe distance of about 41 kb. The array was scanned by an Agilent scanner, and the data analyzed by Cytogenomics software 3.0.6.6 using the aberration detection method 2 (ADM-2) algorithm.
The aCGH revealed 5 CNVs, including a 2.3Mb deletion in 12p12.1p11.22, a 2.7Mb deletion in 15q14, a 14.4Mb duplication in 19p13.3p13.12, a 112 Kb deletion in 19p13.12 and a 1.2 Mb deletion in 22q11.1q11.21. The CGH array result was given as
arr[GRCh37] 12p12.1p11.22(26352392_28702380)x1, 15q14(35352721_38067218)x1,
19p13.3p13.12(367892_14785754)x3,
19p13.12(15225722_15338167)x1
22q11.1q11.21(17280847_18496550)x1
NUTM1 is located 700 kb upstream of the deletion in 15q14 and BRD4 maps 8 kb downstream of the deletion in 19p13.12 (Fig. 4).
RNA-based NGS was performed using the Fusion Plex Core Solid Tumor panel (Archer, Colorado, USA) on a NextSeq 550 platform (Illumina, Caliofornia, USA), according to manufacturer’s protocol. This test confirmed the presence of a BDR4-NUTM1 fusion transcript, supporting IHC findings.
Outcome
Due to the presence of clinical symptoms, such as chest pain, the patient underwent at reatment with carbotaxol plus pembrolizumab.. After 2 cycles of therapy the disease rapidly progressed, and the patient died at 4 months after the first clinical manifestations.
Discussion
NUT carcinoma is a rare and highly aggressive carcinoma that may present at any age but is most frequent in children and young adults. Formerly known as “NUT midline carcinoma”, the most common sites of origin are represented by midline structures, such as the mediastinum and the aerodigestive tract, although over time a broad number of other locations have been described 1.
From a histological perspective, NUT carcinoma is characterized by poorly differentiated, small to medium-size round cells, arranged in sheets or nests, with scant cytoplasm, irregularly shaped nuclei and prominent nucleoli. In one third of cases, it exhibits squamous differentiation, demonstrated by the presence of foci of keratinization and large eosinophilic cells with well-defined borders 1. Not only did our sample lack such suggestive features, but once the first panel of IHC was performed, it showed negativity for CK5/6 and p40, frequently positive in NUT carcinoma, thus highlighting a potential pitfall in the recognition of this rare neoplasm.
An abundant neutrophilic infiltrate is frequently associated with NUT carcinoma: this was particularly evident in our cytology sample, while our histology specimen showed mainly lymphocytes and scattered neutrophiles: nevertheless, the presence of such elements may be useful in guiding the pathologist.
As in almost all cases of NUT carcinoma, our specimen was characterized by a brisk mitotic activity and high MIB-1 nuclear expression. Crush artifacts and nuclear molding, although infrequent, may also be present, rendering the differential diagnosis with small cell carcinoma of the lung quite challenging, especially in small biopsies 1.
In addition to CK5/6 and p40, our sample was also negative for a series of other epithelial markers, including AE1/AE3, CK7, CK-CAM5.2: it is worth noticing that while these markers are frequently positive in NUT carcinoma, their expression may be absent in one-third of cases, and the diagnosis should not be excluded based on this panel alone.
Moreover, we observed a strong and diffuse positivity for EMA, positive in up to 25% of cases of NUT carcinoma, and for SMARCA4, thus allowing us to rule out a thoracic SMARCA4-deficient tumor, a poorly differentiated carcinoma of the lung and mediastinum most frequent in male adult smokers 1.
Our case showed a focal and weak positivity for CD99, an aspecific marker usually associated with Ewing’s sarcoma, but also expressed by countless other tumors, including NUT carcinoma 1.
Finally, taking into consideration the site of origin of the neoplasm, patient’s age and history (non-smoker), together with histological findings such as poorly differentiated features, the presence of inflammatory infiltrate, and a high mitotic rate, immunohistochemistry for NUT1(clone C52B1) was performed, showing a typical speckled nuclear positivity. Indeed, nuclear positivity for NUT1, characterized by a sensitivity of 87% and specificity of 100%, represents one of two possible required criteria for the diagnosis of NUT carcinoma 1,2.
From a genetic standpoint, the most frequent translocation involving NUTM1 associated with NUT carcinoma is represented by t(19;15) (q14;p13.1), resulting in BRD4-NUTM1 fusions; nevertheless, less frequent fusion partners of NUTM1 have also been reported, including other members of bromodomain-containing proteins (BRD) gene family, such as BRD3, and non-BRD genes, for example NSD3, ZNF532, or ZNF592. Thus, the second required criterion for the diagnosis of NUT carcinoma is represented by the confirmation of NUT1 gene fusion on 15q14 through molecular methods, such as FISH, RT-PCR, and NGS 2. Although the WHO does not discriminate between these different approaches and considers them to be equally valid diagnostic tools, discordances between these methods have been highlighted. Since DNA-NGS especially is associated with a higher number of false-negative results, RNA based approaches are preferred to detect gene fusions, although also FISH has proven to be a reliable technique for identifying NUTM1 rearrangements 3.
In this case, IHC, DNA.NGS, and aCGH altogether were only suggestive for a likely non-canonical BRD4-NUTM1 fusion, whose presence was clearly confirmed at the RNA level. According to our results, it seems that large gains and losses of genomic regions happened during chromosomal translocation. In accordance with this, Lee and collaborators, by performing a whole-genome sequencing, have identified a pattern of highly complex genomic rearrangements involving the BRD4–NUT oncogenic fusions 5. This can explain why the gene rearrangement was not detected by DNA-NGS. Indeed, the used DNA-NGS panel is based on hybrid capture chemistry, CNV may have hampered probes hybridization.
Conclusions
NUT carcinoma may present at any age, and in a variety of sites. Suggestive morphological and immunohistochemical features, such as abrupt foci of keratinization and positivity for p40 and CK5/6, albeit common, may not always be present. Therefore, we believe that the diagnosis of NUT carcinoma should be taking into consideration by the pathologist when presented with a poorly differentiated carcinoma, regardless of patient’s age and site of origin, and thus IHC analysis for NUT1 should be performed. Indeed, IHC for the diagnosis of NUT carcinoma is highly sensitive, reliable and cost effective. In relation to molecular methods, it should be taken into account that different approaches can lead to different results. In this context, DNA-based NGS approaches can give false negative results, requiring further validation in case of discordance.
Moreover, the description of peculiar and challenging cases, as the one we present, may be helpful to further understand the pathological and molecular characteristics of NUT carcinoma.
CONFLICTS OF INTEREST STATEMENT
The Authors declare no conflict of interest.
FUNDING
None.
AUTHORS’ CONTRIBUTIONS
AC contributed to the analysis of the pathologic findings, image editing and manuscript writing; RB contributed to the analysis of the molecular findings and manuscript writing; PV contributed to the analysis of the molecular findings; IP collected and analyzed clinical data, AV contributed to the analysis of the molecular findings, image editing and manuscript writing, VB contributed to the analysis of the molecular findings, image editing and manuscript writing, OF collected and analyzed clinical data, AC collected and analyzed clinical data, GA contributed to the analysis of the pathologic findings, manuscript writing and revised the final manuscript.
All authors read and approved the final manuscript.
ETHICAL CONSIDERATION
The study complies with ethical standards. The patient gave his consent.
History
Received: December 13, 2024
Accepted: February 6, 2025
Figures and tables
Figure 1. Computed tomography (CT) scan reveals a voluminous neoformation in the hilum and the left side of the mediastinum infiltrating heart and great vessels.
Figure 2. Morphological features of the neoplasia. a. Hematoxylin and eosin (H&E) stain shows a poorly differentiated cancer consisting of small to medium-size cells, round and oval nuclei, prominent nucleoli, admixed an inflammatory infiltrate (original magnification 20x). b. Papanicolaou smear shows small clusters or isolated atypical cells of intermediate size, alongside abundant neutrophils and lymphocytes (original magnification 20x).
Figure 3. Immunohistochemical (IHC) analysis: neoplastic cells were negative for cytokeratin AE1/AE3 (a), positive for EMA (b), showed a typical “speckled” nuclear positivity for NUT1 (clone C52B1) (c), and a high proliferation index (MIB-1 80%, d) (original magnification 20x).
Figure 4. Array-CGH results, focusing on the unbalanced regions in proximity of NUTM1 and BRD4. On the left side, NUTM1 (red circle) is about 700 kb upstream of the 15q14 deletion (a part of it is shown by a red rectangle); on the right side, BRD4 (red circle) is about 8 kb downstream of the 19p13.12 deletion (red rectangle). Part of the 19p13.3p13.12 duplication is indicated by a blue rectangle.
References
- Chatzopoulos K, Boland J. Update on genetically defined lung neoplasms: NUT carcinoma and thoracic SMARCA4-deficient undifferentiated tumors. Virchows Arch. 2021;478(1):21-30. doi:https://doi.org/10.1007/s00428-020-03011-3
- Thoracic Tumours. International Agency for Research on Cancer; 2021.
- Wang X, Wang J, Luo X. Diagnosis of NUT Carcinoma Despite False-Negative Next-Generation Sequencing Results: A Case Report and Literature Review. OncoTargets Ther. 2021;14:4621-4633. doi:https://doi.org/10.2147/OTT.S327722
- Bruno R, Fontanini G. Next Generation Sequencing for Gene Fusion Analysis in Lung Cancer: A Literature Review. Diagnostics. 2020;10(8). doi:https://doi.org/10.3390/diagnostics10080521
- Lee J, Louzada S, An Y. Complex chromosomal rearrangements by single catastrophic pathogenesis in NUT midline carcinoma. Ann Oncol. 2017;28(4):890-897. doi:https://doi.org/10.1093/annonc/mdw686
Downloads
License
This work is licensed under a Creative Commons Attribution-NonCommercial-NoDerivatives 4.0 International License.
Copyright
Copyright (c) 2025 Società Italiana di Anatomia Patologica e Citopatologia Diagnostica, Divisione Italiana della International Academy of Pathology
How to Cite
- Abstract viewed - 587 times
- PDF downloaded - 227 times
