Letter to the Editor
Vol. 117: Issue 4 - August 2025
A lung nodule showing both adenocarcinoma and diffuse large lymphoma: a pathological anatomy surprise
Summary
Dear Editor,
it is with a great pleasure that we want to submit this very interesting case about the unique coexistence of a lung adenocarcinoma and diffuse large lymphoma in the same lung nodule. The nodule was found accidentally, and the patient was asymptomatic for both the oncological pathologies. At anatomo-pathological analysis the histological features of both lesions were identified. To the best of our knowledge, this is the first case in which the two tumors are together in the very same nodule.
A lung nodule in the right upper lobe was occasionally detected in a 74-year-old man.
Article
Dear Editor,
it is with a great pleasure that we want to submit this very interesting case about the unique coexistence of a lung adenocarcinoma and diffuse large lymphoma in the same lung nodule. The nodule was found accidentally, and the patient was asymptomatic for both the oncological pathologies. At anatomo-pathological analysis the histological features of both lesions were identified. To the best of our knowledge, this is the first case in which the two tumors are together in the very same nodule.
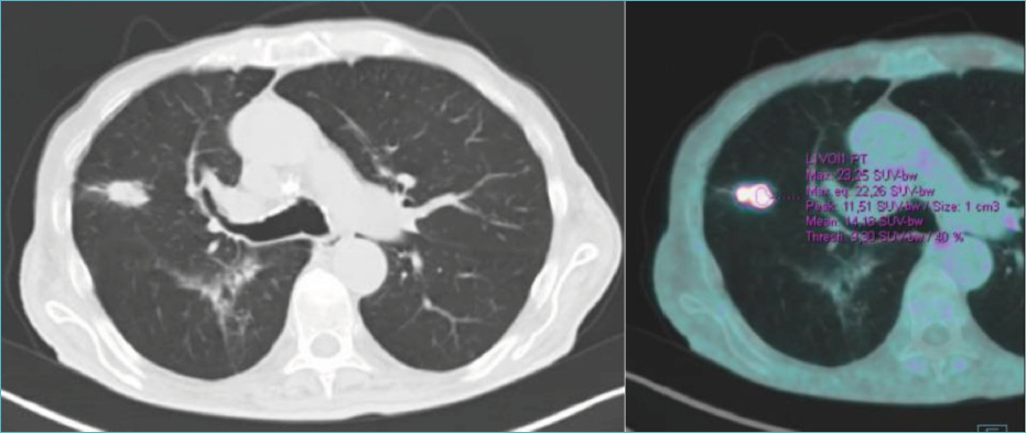
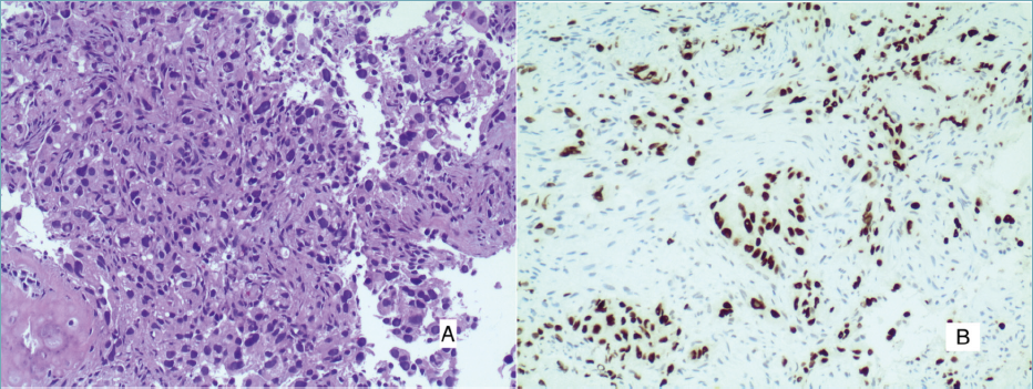
A lung nodule in the right upper lobe was occasionally detected in a 74-year-old man. The nodule had spiculate margins measuring 23 mm x 11 mm with a SUV max 23.3 at PET CT (Fig. 1). Histologically, the trans-bronchial lung biopsy showed a non-small cell carcinoma infiltration with roughly glandular structures, so the diagnosis of adenocarcinoma was made and the lung primitivism was demonstrated by the TTF1 positivity (Fig. 2).
Patient underwent right upper lobe wedge resection and stations 2, 4 and 7 lymphadenectomy in a Uniportal VATS approach. The surgical specimen showed a single well-defined sub-pleural nodule.
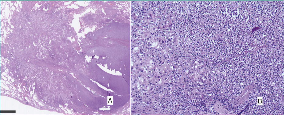
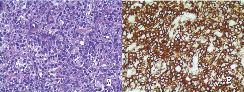
Histologically, the poorly differentiated adenocarcinoma accounted for two-thirds of the lesion, and unexpectedly, the remaining third was represented by a florid lymphoid infiltrate, with diffuse sheets of large, pleomorphic lymphoid cells, with prominent nucleoli, which destroyed and replaced the normal lung parenchyma (Fig. 3). The B-cell origin of the large cells was demonstrated by CD20 and CD79a staining (Fig. 4). The morphological and immunohistochemical characteristics satisfied the diagnostic criteria of pulmonary diffuse large lymphoma. The immunophenotype profiling (negativity for CD10 and the positivity for BCL6 and MUM1) was indicative of non-GCB histotype according to the Hans algorithm.
To the best of our knowledge, this is the first case of lung adenocarcinoma and diffuse large lymphoma coexisting in the very same nodule. In the literature there are two papers describing the presence of both kind of tumor in the lung: the first is reported by Satoh and colleagues 1 in which, in the specimen, lung adenocarcinoma and atypical lymphatic cells were close but they did not mix in the same lesion. The second experience, from Suen and coworkes 2 describes the relapse of lung adenocarcinoma and concomitant pleural effusion, for which the cytological examination revealed the presence of large diffuse lymphoma. The aim of this report was to underline the uniqueness of our finding and highlight the pathological anatomy challenge in the identification of two coexisting lesions, one well expected, the adenocarcinoma, and a surprising one, the diffuse large cell lymphoma.
FUNDING
None.
CONFLICT OF INTEREST STATEMENT
The Authors declare no conflict of interest
AUTHORS CONTRIBUTION
CS: writing original draft and editing, QZ: resources, formal analysis, AC: resources, formal analysis EM: supervision, resources, MC: project administration, supervision
ETHICAL CONSIDERATION
Informed consent has been obtained from the patient.
History
Received and accepted: December 16, 2024
Figures and tables
Figure 1. Pre-operative CT scan and 18FDG-PET CT, showing right upper lobe lesion
Figure 2. (A) Transbronchial lung biopsy shows a non-small cell carcinoma infiltration. A roughly glandular pattern can be observed. (B) TTF1 positivity confirms the diagnosis of lung adenocarcinoma.
Figure 3. (A) The surgical specimen shows a well defined and circumscribed nodule. It is possible to appreciate two distinct areas, one with a lower cellularity (left) than the other (right). (B) At higher magnification, adenocarcinoma is seen on one side (left) and diffuse infiltrate of lymphoid cells on the other (right).
Figure 4. (A) The lymphoid infiltrate comprises diffuse sheets of large cells, which are 2-4 times the size of normal lymphocytes. (B) CD20 staining demonstrates the B-cell origin of the large cells.
References
- Satoh T, Arai E, Kayano H, Sakaguchi H, Takahashi N, Tsukasaki K, Yasuda M. Pulmonary intravascular large B-cell lymphoma accompanying synchronous primary pulmonary adenocarcinoma and benign interstitial lesions. J Clin Exp Hematop. 2019;59(3):140-144. doi:https://doi.org/10.3960/jslrt.19012
- Suen P, Assaad M, Mishiyev D, Narula N, Xue W, Chalhoub M. Rare capture: The detection of synchronous diffuse large B-cell lymphoma and lung adenocarcinoma diagnosed by effusion cytology. Respir Med Case Rep. 2023;43. doi:https://doi.org/10.1016/j.rmcr.2023.101852
Downloads
License
This work is licensed under a Creative Commons Attribution-NonCommercial-NoDerivatives 4.0 International License.
Copyright
Copyright (c) 2025 Società Italiana di Anatomia Patologica e Citopatologia Diagnostica, Divisione Italiana della International Academy of Pathology
How to Cite
- Abstract viewed - 316 times
- PDF downloaded - 75 times
