Case reports
Vol. 117: Issue 4 - August 2025
Lymphoepithelioma-like carcinoma of urinary bladder - a rare subtype of urothelial carcinoma: a series of 12 cases
Summary
Lymphoepithelioma-like carcinoma (LELCa) is a rare and aggressive subtype of urothelial carcinoma. This study presents a series of 12 cases of LELCa of the urinary bladder, highlighting its clinical and pathological features with treatment related details. The majority of cases presented with advanced-stage disease, often mixed with conventional urothelial carcinoma. Histologically, LELCa is characterized by sheets of undifferentiated tumor cells with prominent nucleoli in a syncytial growth pattern, accompanied by a dense lymphocytic infiltrate. Immunohistochemistry aids in confirming the epithelial nature of the tumor cells. Treatment strategies for LELCa are evolving. While radical cystectomy remains the standard treatment for advanced-stage disease, a multimodal approach, including chemotherapy and radiation therapy, may be considered, especially in cases with pure or predominant LELCa histology.
Introduction
Urothelial cancers may show various subtypes and/or divergent histology in as many as 25% cases1,2. These subtypes include micropapillary, plasmacytoid, microcystic and the nested while divergent differentiation includes glandular, squamous, neuroendocrine, lymphoepithelioma-like and sarcomatoid elements3. Most of these present as high-stage diseases and have treatment implications 4–6. Urothelial carcinomas with variant histology have been reported to present with high-stage disease (pT3-4) in as high as 42%-71% of cases in the literature. 2,3,4. Hence, there is an important clinical connotation of recognizing these histologies of urothelial carcinoma. Lack of awareness regarding their clinical implications may be a reason for these being unrecognized and hence, under-reported.
Lymphoepithelioma-like carcinoma (LELCa) is a rare high-grade subtype of urothelial carcinoma with an incidence of ~1% of all bladder carcinomas 7,8. LELCa morphologically resembles nasopharyngeal carcinoma and shows diffuse sheets of undifferentiated tumor cells with prominent nucleoli in a syncytial growth pattern in a stroma, rich in lymphocytes and plasma cells 3,7. Unlike other sites of the body, where LELCa may occur, LELCa of the urinary bladder is not associated with Epstein-Barr virus7.
LELCa can occur as pure histology or mixed histology in combination with a conventional urothelial carcinoma (UCa) or other subtypes of urothelial carcinoma 9. Recognition of LELCa from conventional urothelial carcinoma is important since it has implications for treatment and prognosis 3,7,10–12. LELCa in its pure form may have a favorable prognosis owing to its chemosensitivity and response to radiotherapy, thereby amenable to bladder preservation 13–15.
Owing to its rarity and limited experience, definite management and follow-up guidelines have not been clearly defined. We present a series of LELCa of the urinary bladder with an emphasis on pathological features, treatment and prognosis.
Materials and methods
We retrieved all consecutive cases of urinary bladder lymphoepithelioma-like carcinoma (LELCa) from the electronic medical records of patients diagnosed/admitted to our institute over a period of 9 years, from January 2015 to December 2023. We included cases which met the criteria of LELCa by the 2022 World Health Organization classification system 16,17. The histopathology slides including the immunohistochemistry were reviewed. Clinical, treatment and follow-up details were obtained from the electronic medical records.
Results
A total of 12 cases were identified from the records. The mean age was 57.3 years (range 42 to 73 years) and M:F ratio was 3:1. Three cases showed pure LELCa morphology (> 90% LELCa areas). Seven cases showed predominant LELCa (> 50% LELCa histology) mixed with other histology, most commonly, a high-grade solid urothelial carcinoma. Table I highlights the clinical features, treatment and follow-up of all cases.
All cases, on microscopy, had characteristic features of LELCa with sheets of undifferentiated carcinoma cells having vesicular nuclei, prominent nucleoli and ill-defined cell membranes in a syncytial growth pattern. There was a dense admixture of lymphocytes, plasma cells, eosinophils, neutrophils as well as lymphoid aggregates in variable proportions in the different cases (Fig. 1). All patients were ≥ pT2 stage at presentation and diagnosed either on TURBT or in combination with radiology (CECT/MRI, Fig. 2).
Immunohistochemistry with AE1/AE3, EMA, GATA3 and p63 highlighted the epithelial cells. The background lymphocytes were positive for LCA, with predominance of CD3+ T Cells and scattered CD20+ B cells. The histopathological features and IHC are summarized in Table I.
All patients underwent initial TURBT and 6 patients underwent a re-TURBT procedure. Three patients received neoadjuvant chemotherapy (one was followed by radical cystectomy, one by re-TURBT as this patient was unfit for surgery and the third progressed during neoadjuvant chemotherapy). Radical cystectomy was done in 3 patients post-TURBT. One patient received adjuvant chemotherapy, while three received adjuvant concurrent chemo-radiotherapy.
Follow-up was available in 9 patients. The median follow-up was 26 months with a range of 6 to 8 years 6 months (8.5 years). Two patients died due to complications of surgery, while 5 patients were disease-free over a period of 18 months to 8.5 years of diagnosis. One patient progressed on chemotherapy and was lost to follow-up after 4 months. A single patient defaulted during the course of treatment after 18 months of follow-up.
Discussion
Lymphoepithelioma-like carcinoma of the bladder is a rare subtype of urothelial carcinoma and is more common in males than females, as is seen in our study with a M:F ratio of 3:1 17. Similar to conventional high-grade urothelial cancer, LELCa of the urinary bladder most often presents with painless hematuria and on cystoscopy, presents as a solid broad-based mass with or without papillary excrescences. Most of these tumors present with invasion into the muscularis propria and/ or with peri vesical spread (T2 or T3) 7,18.
Cytology is often the first investigative modality in patients with suspected urinary bladder cancer. However, ours being a referral institute received most patients with advanced stage disease where the diagnosis of bladder carcinoma was not in doubt, hence urine cytology was not used as a screening modality. Williamson et al.17, in the largest case series on LELCa, have mentioned that urine cytology was abnormal in all cases where available. However, specific cytomorphological findings of LELCa were not mentioned in their series. Various authors have described the tumor cells in urine cytology as large cells with indistinct cytoplasm and pleomorphic vesicular nuclei with prominent nucleoli. A background of lymphocyte rich inflammatory cells is invariably seen 19,20. However, most acknowledge that rendering a definite diagnosis of this subtype may be impossible in cytology. In our own experience, urine cytology was reported positive in 3 of 11 available cases pre-operatively with a diagnosis of “atypical cells, suspicious of malignancy”. However, a definite subtyping was deferred to the TURBT specimen.
On histopathological evaluation, LELCa shows diffuse sheets of undifferentiated tumor cells in a syncytial growth pattern with prominent nucleoli and ill-defined cell membranes. Dense infiltrate of lymphocytes, plasma cells, neutrophils, eosinophils and histiocytes is a constant feature, albeit in variable proportions. All cases in the current series had compatible histopathological features.
Amin et al.9 divided LELCa into 3 subtypes according to the lymphoepithelioma component on histological evaluation: pure (100%), predominant (> = 50%) or focal (< 50%). In their study, cases with pure LELCa histology were treated with TURBT and chemotherapy followed by no evidence of disease. Cases with predominant LELCa histology were treated predominantly with surgery with few patients receiving adjuvant chemotherapy/radiotherapy followed by no evidence of disease over a period of 2 to 36 months. Cases with focal LELCa histology were treated with surgery alone and all these patients died 9. The presence of predominant or pure lymphoepithelioma-like components seemed to suggest a better outcome in their study. Our study highlights similar observations, with 3 patients having > 90% LELCa component doing better (disease-free interval range of 18 months - 69 months) compared to those with 2 patients with a focal (< 50%) LELCa component (1 patient progressed at 4 months and the other defaulted after an interval of 18 months, with two instances of TURBT and BCG). Patients with predominant (> = 50%) LELCa components had variable outcomes (Fig. 2).
Only 3 cases out of 12 had pure LELCa in our series. One important finding in our series is that LELCa usually occurs in combination with conventional solid high-grade urothelial carcinoma with occasional squamous or glandular differentiation. The presence of other divergent histologies like micropapillary, plasmacytoid, small cell carcinoma etc. is rare21. Amin et al and Williamson 17, have also found LELCa occurring in combination (> half of their cases) with other histologies such as with glandular, squamous and sarcomatoid differentiation.
The histopathological differential diagnoses include chronic cystitis, malignant lymphoma, small cell carcinoma and metastasis.
Chronic cystitis is by far the commonest condition that may mimic a malignancy clinically as well as on imaging. It is characterized by infiltration of the epithelium by neutrophils and lymphocytes. The edematous lamina propria may be infiltrated by chronic inflammatory cells, including histiocytes, plasma cells and lymphocytes. An overtly dense lymphoid infiltrate, however, should alert the pathologist to search for neoplastic cells, as it is possible to regard these tumor cells as reactive histiocytes22.
Although, at first glance the extensive lymphoid infiltrate may mask the epithelial cells, although in a LELCa their presence is invariable and often they occur in syncytial sheets and clusters, helping rule out a lymphoma. Moreover, a lymphoma occurring primarily in the bladder is a rare phenomenon and it is unlikely to be considered without ruling out a carcinoma first19. Immunohistochemistry with keratins is likely to solve this problem easily.
A small cell carcinoma may indeed be difficult to distinguish from LELCa on small and crushed biopsies. However, small cell carcinomas do not have strong expression for multiple keratin markers, which is characteristic of LELCa and may show positivity for TTF-117,23. Thus, an immunohistochemical panel for AE1/AE3, EMA, CK7, GATA3 and p63 can help identify the tumor cells of LELCa even if the lymphoid infiltrate is overwhelming and when other differentials need to be ruled out. A metastasis should always be ruled out in cases where standard urothelial markers are negative.
Recently, molecular characterisation of LELCas has been carried out and results show that these tumors have a basal-like gene expression. They also have a higher tumor mutational burden (as compared to other bladder carcinoma subtypes) and possess an immunogenic microenvironment. Many authors have also commented upon the high levels of PDL-1 expression in these tumors 24,25. Despite closely resembling a nasopharyngeal carcinoma, none of the studies carried out so far have been able to prove any etiological relationship to EBV infection in the tumor cells.
There are no specific treatment guidelines for LELCa of the urinary bladder. The treatment options include TURBT, partial cystectomy or radical cystectomy, chemotherapy and radiotherapy. Current literature suggests that TURBT alone may not be adequate, as it is associated with low disease-free survival and a high mortality rate. Radical cystectomy followed by adjuvant chemotherapy yields the best outcome7. The suppressive effect of the lymphoid infiltrate and cytotoxic T-lymphocytes on tumor cells may influence the chemo/radiosensitivity of the neoplastic cells, and is associated with better prognosis in patients with pure or predominant LELCa7,8,18. Results from the recent PURE-01 trial as well as other case reports have shown major pathological response to immune checkpoint inhibitors in a limited number of LELCa patients 26,27. This has led several authors to suggest a more conservative multi-modality treatment approach 10,15,28.
Conclusion
Lymphoepithelioma-like carcinoma of the urinary bladder is an enigmatic and rare subtype with a unique histological appearance and has incompletely understood pathogenesis and biological behaviour. Awareness of this entity is necessary since it has implications for prognosis and treatment.
The prognosis is favourable in pure or predominant LELCa histology with the possibility of bladder preservation; as these tumors respond to chemotherapy and radiotherapy and provide the possibility of including anti-PDL-1 therapy in treatment armamentarium.
CONFLICT OF INTEREST STATEMENT
The authors declare no conflict of interest.
AUTHORS CONTRIBUTIONS
Rutvij Khedkar and Ramandeep Kaur wrote the manuscript. Swapnil Rane, Sangeeta Desai and Santosh Menon made the histopathological diagnosis. Gagan Prakash, Mahendra Pal, Amandeep Arora, Amit Joshi, Priyamvada Maitre provided the treatment and follow-up details. All authors have read and approved the final manuscript.
ETHICAL CONSIDERATION
This paper adhered to relevant ethical guidelines including the Declaration of Helsinki. An Institutional Ethics Committee in our hospital did not require an ethical review for this retrospective case series as they are exempt from formal ethical review.
History
Received: January 5, 2025
Accepted: February 18, 2025
Figures and tables
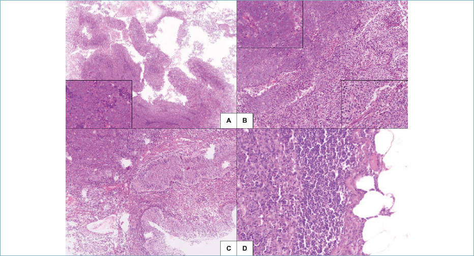
Figure 1. Histomorphologic features of lymphoepithelioma-like carcinoma of bladder. The tumour is composed of syncytial sheets of cohesive tumour cells with dense intermingled inflammatory infiltrate (A, H & E at 10x with inset showing patchy keratin (AE1/AE3) positivity and B, H & E at 20x with inset showing LCA staining of the inflammatory infiltrate and negativity in the tumour cells). Also, the tumour cells show vesicular nuclei, prominent nucleoli and abundant eosinophilic cytoplasm with indistinct cell borders (C, H & E at 40x). The tumour is often accompanied by a conventional solid high grade urothelial component (D, H & E at 20x with inset showing diffuse GATA-3 positivity).
Figure 2. Histomorphologic features of lymphoepithelioma-like carcinoma of bladder. Pure LELCa composed of syncytial sheets of tumour cells (A, H & E at 5x with inset showing cytomorphological details. Most tumours show more than one component (B, H & E at 10x showing both the LELCa component as well as the high grade conventional solid component adjacent to each other). Carcinoma in situ is often seen in the overlying urothelium (C, H & E at 10x). Lymph node metastasis is rare in these tumours but retains the histology of the primary (D, H & E at 20x).
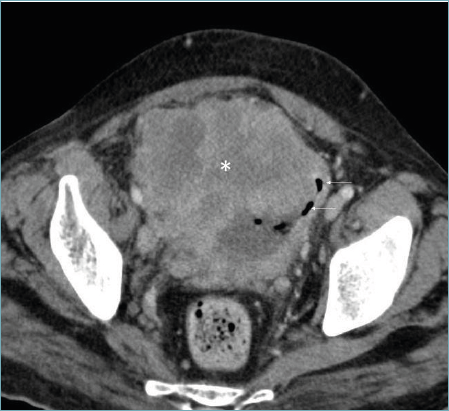
Figure 3. Axial CT study shows a proliferative partly exophytic heterogeneously enhancing mass (*) arising from the urinary bladder. Few air specks are seen in the urinary bladder (arrows), likely post catheterization.
| Case | Age | Gender | Site as per cystoscopy | Stage (On TURBT and/or Radiology) | Histopathology (percentage of LELCa component + other component) | Immunohistochemistry | Treatment | Adjuvant therapy | Follow up |
|---|---|---|---|---|---|---|---|---|---|
| 1 | 44 | M | Bladder Neck | T2N0M0 | LELCa(90%) + High grade solid urothelial carcinoma | Not done | TURBT followed by Robotic cystectomy | - | No follow up after surgery |
| 2 | 58 | F | Right lateral wall | T2N1M0 | LELCa(70%) + High grade solid and papillary urothelial carcinoma with focal divergent glandular differentiation; single nodal metastasis showed neuroendocrine differentiation | AE1/AE3 +ve; D240, CD23, HMWCK -ve | TURBT, Mitomycin C followed by radical cystectomy with Bilateral pelvic lymph node dissection | 4# Gemcitabine, Cisplatin | Disease free for 8 years 6 months |
| 3 | 62 | M | Left postero-lateral wall, bladder neck, trigone, right lateral wall. | Tumour involving prostate on CT scan | LELCa(90%) + High grade solid urothelial carcinoma | HMWCK, p63 +ve; HMB45 -ve. LCA highlighting lymphoid cells | TURBT | - | No follow up after TURBT |
| 4 | 73 | M | Right lateral and anterior wall | T3bN0M0 | LELCa(60%) + High grade solid urothelial carcinoma | CK7, CK20, HMWCK +ve; p63 -ve | TURBT followed by NACT (Gemcitabine, Cisplatin) f/b Radical cystoprostatectomy | - | Death (urosepsis and pneumonia) 1 year 9 months after surgery |
| 5 | 59 | M | Right lateral wall, bladder apex, anterior wall | T4N0M0 (involves prostate) | Pure LELCa | AE1/AE3, EMA, HMWCK, CK7, CK5/6 and p63 +ve; CK20 and EBV-LMP1 -ve. LCA highlighting the dense lymphoid infiltrate (Predominantly CD3 positive T cells with scattered CD20 positive B-cells). | TURBT (twice) f/b NACT (Gemcitabine, Cisplatin) f/b TURBT and Concurrent chemo-radiation | Concurrent chemo-radiation (Bladder and pelvic nodes) with 7 cycles of Gemcitabine | Disease free for 2 years 11 months. Then lost to follow-up |
| 6 | 54 | M | Left lateral wall | T2N1M0 | Pure LELCa | AE1/AE3 and GATA3 +ve; p63, HMWCK, Desmin, SMA -ve. Background lymphoid cells show an admixture of CD20 positive B & CD3 positive T lymphocytes. | TURBT f/b Radical cystoprostatectomy | - | Disease free for 5 years 9 months |
| 7 | 65 | M | Left lateral wall | - | LELCa(80%) + High grade solid urothelial carcinoma | GATA3, CK7 +ve; Synaptophysin -ve | TURBT, Mitomycin C | - | No follow up |
| 8 | 42 | F | Anterior wall | T2N0M0 | LELCa(80%) + High grade solid urothelial carcinoma with focal squamous differentiation | p53 +ve; CK20 -ve | TURBT x 3 times, BCG f/b anterior pelvic exenteration | - | Death during surgical recovery (sepsis) |
| 9 | 65 | M | Left infero-lateral wall | T2N0M0 | LELCa(80%) + High grade solid urothelial carcinoma | GATA-3, p63 +ve; LCA highlights interspersed lymphocytes. | TURBT-twice, planned for bladder preservation | EBRT along with concurrent chemotherapy | Disease free for 3 years 4 months post RT |
| 10 | 57 | M | Right lateral wall | T2N0M0 | LELCa(40%) + High grade solid urothelial carcinoma | AE1/AE3, CK7 and GATA-3 +ve; CK20 and EBV-LMP1 -ve. The lymphoepithelioma-like carcinoma component is highlighted by AE1/AE3,GATA3. The lymphoid component is marked by CD3 and CD20. | TURBT twice with BCG | - | Defaulted after 18 months following diagnosis |
| 11 | 49 | F | Left lateral wall | T2cN0M0 | Pure LELCa | CK7, GATA-3 +ve; EBV-LMP1, p40, CK20, Synaptophysin, HMB45 -ve | TURBT, BCG | EBRT along with concurrent chemotherapy | Disease free for 1 year 6 months |
| 12 | 59 | M | Right lateral wall, posterior wall | T4bN0M0 | LELCa(30%) + High grade solid urothelial carcinoma | p40, CK7, GATA-3 +ve; CK20, Synaptophysin -ve | TURBT, NACT (3 # Gemcitabine, Cisplatin) | - | Progressed on chemotherapy, did not take treatment after 4 months |
| Amin et al21(1994) | Lopez-Beltrán et al29(2001) | Tamas et al13(2007) | Williamson et al17(2011) | Our series(2025) | |
|---|---|---|---|---|---|
| Number of Cases (n) | 11 | 13 | 28 | 34 | 12 |
| Age (years) | Mean: 67 | Mean: 73 | Mean: 67.6 | Mean: 70 | Mean: 57.3 |
| Range: 52-79 | Range: 58-82 | Range: 44-90 | Range: 54-84 | Range: 42-73 | |
| Gender | M: 8 | M: 9 | M: 21 | M: 25 | M: 9 |
| F: 3 | F: 4 | F: 7 | F: 9 | F: 3 | |
| LELCa Histology (number of cases) | Pure: 3 Predominant or focal: 8 | Pure: 3 Predominant or focal: 10 | Pure: 17 Predominant or focal: 11 | Pure: 17 Predominant or focal: 17 | Pure: 3 Predominant or focal: 9 |
| Other reported components in predominant or focal LELCa (number of cases) | Squamous:1 Glandular: 4 Invasive UC: 7 Papillary UC: 2 | Squamous: 1 Glandular: 1 Invasive UC: 8 Papillary UC: 0 | Squamous: 2 Glandular: 3 Invasive UC: 10 Papillary UC: 3 | Squamous: 5 Glandular: 3 Invasive UC: 9 Papillary UC: 0 | Squamous: 1 Glandular: 1 Invasive UC: 9 Papillary: 1 |
| Noteworthy ancillary findings | NA | EBER-ISH and EBV-LMP1: Negative (all cases) DNA Ploidy analysis (13 cases): Diploid peaks (n = 7), non-diploid peaks (aneuploid or tetraploid; n = 6) | NA | UroVysion FISH: 1 characteristic abnormality of chromosomes 3, 7, 17 or the 9p21 locus was observed in all 21 tumours studied | NA |
| Abbr: UC, urothelial carcinoma; FISH: Fluorescence in-situ hybridisation; LMP: Latent membrane protein | |||||
References
- Wasco M, Daignault S, Zhang Y. Urothelial carcinoma with divergent histologic differentiation (mixed histologic features) predicts the presence of locally advanced bladder cancer when detected at transurethral resection. Urology. 2007;70(1):69-74. doi:https://doi.org/10.1016/j.urology.2007.03.033
- Cai T, Tiscione D, Verze P. Concordance and clinical significance of uncommon variants of bladder urothelial carcinoma in transurethral resection and radical cystectomy specimens. Urology. 2014;84(5):1141-1146. doi:https://doi.org/10.1016/j.urology.2014.06.032
- Shanks J, Iczkowski K. Divergent differentiation in urothelial carcinoma and other bladder cancer subtypes with selected mimics. Histopathology. 2009;54(7):885-900. doi:https://doi.org/10.1111/j.1365-2559.2008.03167.x
- Naspro R, Finati M, Roscigno M. The impact of histological variants on outcomes after open radical cystectomy for muscle-invasive urothelial bladder cancer: results from a single tertiary referral centre. World J Urol. 2021;39(6):1917-1926. doi:https://doi.org/10.1007/s00345-020-03364-z
- Ku J, Yuk H, Godoy G, Amiel G, Lerner S. Prognostication in Patients Treated with Radical Cystectomy for Urothelial Bladder Carcinoma: A New Simplified Model Incorporating Histological Variants. Bladder Cancer Amst Neth. 2018;4(2). doi:https://doi.org/10.3233/BLC-170156
- Takemoto K, Teishima J, Kohada Y. The Impact of Histological Variant on Oncological Outcomes in Patients With Urothelial Carcinoma of the Bladder Treated With Radical Cystectomy. Anticancer Res. 2020;40(8):4787-4793. doi:https://doi.org/10.21873/anticanres.14481
- Yang A, Pooli A, Lele S, Kim I, Davies J, LaGrange C. Lymphoepithelioma-like, a variant of urothelial carcinoma of the urinary bladder: a case report and systematic review for optimal treatment modality for disease-free survival. BMC Urol. 2017;17. doi:https://doi.org/10.1186/s12894-017-0224-4
- Okcu O, Hacıhasanoğlu E, Koparal M. Lymphoepithelioma like carcinoma of the urinary bladder, treated with transurethral resection and intravesical Bacillus Calmette Guerin therapy only: A case report. Acta Bio Medica Atenei Parm. 2021;92(2). doi:https://doi.org/10.23750/abm.v92i2.9837
- Amin M, Ro J, Lee K. Lymphoepithelioma-like Carcinoma of the Urinary Bladder. Am J Surg Pathol. 1994;18(5).
- Pantelides N, Ivaz S, Falconer A. Lymphoepithelioma-like carcinoma of the urinary bladder: A case report and review of systemic treatment options. Urol Ann. 2012;4(1). doi:https://doi.org/10.4103/0974-7796.91626
- Moschini M, Dell’Oglio P, Luciano’ R. Incidence and effect of variant histology on oncological outcomes in patients with bladder cancer treated with radical cystectomy. Urol Oncol. 2017;35(6):335-341. doi:https://doi.org/10.1016/j.urolonc.2016.12.006
- Paner G, Kamat A, Netto G. International Society of Urological Pathology (ISUP) Consensus Conference on Current Issues in Bladder Cancer. Working Group 2: Grading of Mixed Grade, Invasive Urothelial Carcinoma Including Histologic Subtypes and Divergent Differentiations, and Non-Urothelial Carcinomas. Am J Surg Pathol. 2024;48(1). doi:https://doi.org/10.1097/PAS.0000000000002077
- Tamas E, Nielsen M, Schoenberg M, Epstein J. Lymphoepithelioma-like carcinoma of the urinary tract: a clinicopathological study of 30 pure and mixed cases. Mod Pathol. 2007;20(8):828-834. doi:https://doi.org/10.1038/modpathol.3800823
- Lobo N, Shariat S, Guo C. What Is the Significance of Variant Histology in Urothelial Carcinoma?. Eur Urol Focus. 2020;6(4):653-663. doi:https://doi.org/10.1016/j.euf.2019.09.003
- Wu J, Shou J, Wang Y. Survival Analysis of Lymphoepithelioma-Like Carcinoma of the Urinary Bladder and the Effect of Surgical Treatment Modalities on Prognosis. Front Surg. 2021;8. doi:https://doi.org/10.3389/fsurg.2021.706537
- George JN, Williamson S, Toyonori T, Compérat E. Invasive Urothelial Carcinoma. In: WHO Classification of Tumours Editorial Board. Urinary and Male Genital Tumours [Internet]:. WHO Classification of Tumours. 2022;8.
- Williamson S, Zhang S, Lopez-Beltran A. Lymphoepithelioma-like carcinoma of the urinary bladder: clinicopathologic, immunohistochemical, and molecular features. Am J Surg Pathol. 2011;35(4):474-483. doi:https://doi.org/10.1097/PAS.0b013e31820f709e
- Porcaro A, Gilioli E, Migliorini F, Antoniolli S, Iannucci A, Comunale L. Primary lymphoepithelioma-like carcinoma of the urinary bladder: Report of one case with review and update of the literature after a pooled analysis of 43 patients. Int Urol Nephrol. 2003;35(1):99-106. doi:https://doi.org/10.1023/A:1025981106561
- Guresci S, Doganay L, Altaner S, Atakan H, Kutlu K. Lymphoepithelioma-Like Carcinoma of the Urinary Bladder: A Case Report and Discussion of Differential Diagnosis. Int Urol Nephrol. 2005;37(1):65-68. doi:https://doi.org/10.1007/s11255-004-4697-1
- Cai G, Parwani A. Cytomorphology of lymphoepithelioma-like carcinoma of the urinary bladder: Report of two cases. Diagn Cytopathol. 2008;36(8):600-603. doi:https://doi.org/10.1002/dc.20853
- Amin M. Histological variants of urothelial carcinoma: diagnostic, therapeutic and prognostic implications. Mod Pathol Off J U S Can Acad Pathol Inc. 2009;22:S96-S118. doi:https://doi.org/10.1038/modpathol.2009.26
- Mayer E, Beckley I, Winkler M. Lymphoepithelioma-like carcinoma of the urinary bladder—diagnostic and clinical implications. Nat Clin Pract Urol. 2007;4(3):167-171. doi:https://doi.org/10.1038/ncpuro0725
- Jones T, Kernek K, Yang X. Thyroid transcription factor 1 expression in small cell carcinoma of the urinary bladder: an immunohistochemical profile of 44 cases. Hum Pathol. 2005;36(7):718-723. doi:https://doi.org/10.1016/j.humpath.2005.04.007
- Manocha U, Kardos J, Selitsky S. RNA Expression Profiling of Lymphoepithelioma-Like Carcinoma of the Bladder Reveals a Basal-Like Molecular Subtype. Am J Pathol. 2020;190(1):134-144. doi:https://doi.org/10.1016/j.ajpath.2019.09.007
- Koll F, Weers L, Weigert A. Histopathologic, Molecular, and Clinical Profiling of Lymphoepithelioma-like Carcinoma of the Bladder. Mod Pathol. 2024;37(11). doi:https://doi.org/10.1016/j.modpat.2024.100588
- Necchi A, Raggi D, Gallina A. Updated Results of PURE-01 with Preliminary Activity of Neoadjuvant Pembrolizumab in Patients with Muscle-invasive Bladder Carcinoma with Variant Histologies. Eur Urol. 2020;77(4):439-446. doi:https://doi.org/10.1016/j.eururo.2019.10.026
- Campos Ramírez S, Ruffini Egea S, Monreal Cepero M. Complete response to immunotherapy in a metastatic lymphoepithelioma-like bladder carcinoma: a case report. Discov Med. 2024;1(1). doi:https://doi.org/10.1007/s44337-024-00079-7
- Kozyrakis D, Petraki C, Prombonas I, Grigorakis A, Kanellis G, Malovrouvas D. Lymphoepithelioma-like bladder cancer: clinicopathologic study of six cases. Int J Urol Off J Jpn Urol Assoc. 2011;18(10):731-734. doi:https://doi.org/10.1111/j.1442-2042.2011.02825.x
- Lopez-Beltrán A, Luque R, Vicioso L. Lymphoepithelioma-like carcinoma of the urinary bladder: a clinicopathologic study of 13 cases. Virchows Arch Int J Pathol. 2001;438(6):552-557. doi:https://doi.org/10.1007/s004280000378
Downloads
License
This work is licensed under a Creative Commons Attribution-NonCommercial-NoDerivatives 4.0 International License.
Copyright
Copyright (c) 2025 Società Italiana di Anatomia Patologica e Citopatologia Diagnostica, Divisione Italiana della International Academy of Pathology
How to Cite
- Abstract viewed - 491 times
- PDF downloaded - 291 times
