Original articles
Vol. 117: Issue 4 - August 2025
HER2-positive neuroendocrine breast carcinoma: a case study uncovers CCND1, FGF19, and IGF1R amplifications as new molecular drivers
Abstract
Primary neuroendocrine carcinoma of the breast (NEBC) is a rare entity among breast malignancies, and is usually associated with a more aggressive clinical course compared to other types of invasive breast cancer. Although some studies have characterized the molecular profile of NEBCs using targeted sequencing, these tumors are often treated similarly to other primary breast carcinomas despite their unique morpho-phenotypic characteristics.
In this study, we present the case of a woman with HER2-positive primary large cell NEBC with homolateral axillary nodal metastases. After neoadjuvant therapy, the patient underwent surgical resection of the breast, showing a partial pathological response. Next-generation sequencing was performed on pre- and post-treatment samples using a 174-genes panel. Both samples exhibited a similar molecular profile, including a somatic mutation in GATA3 and amplifications of CCND1, FGF19, and IGF1R. ERBB2 amplification was identified in the pre-operative biopsy but was lacking in the post-treatment surgical specimen.
This study represents the first report of CCND1, FGF19, and IGF1R gene amplification in a breast neuroendocrine carcinoma. These findings provide new insights into the molecular profile of this entity and may contribute to future studies on precision oncology.
Background
Breast neoplasms with neuroendocrine differentiation represent a heterogeneous group of tumors. This category includes invasive breast carcinoma of no special type (IBC-NST) and special histotypes, including solid papillary carcinoma and mucinous carcinoma, which can express neuroendocrine markers and a pure neuroendocrine neoplasm.
Primary neuroendocrine neoplasm of the breast (NENT), as defined by the World Health Organization, is a rare but possibly underdiagnosed entity. It is heterogeneous, encompassing a broad spectrum of diseases that include well-differentiated neuroendocrine tumors of the breast (NETB) and poorly differentiated, highly aggressive neuroendocrine carcinomas, such as small cell carcinoma and large cell carcinoma 1-2. Neuroendocrine tumors (NETs) display histological features consistent with neuroendocrine differentiation (spindle, plasmacytoid, or polygonal cells with coarse nuclear chromatin lacking prominent nucleoli, granular cytoplasm, and a growth pattern characterized by insular, trabecular, or solid nests) and immunoreactivity for neuroendocrine markers such as chromogranin, synaptophysin, NSE, and CD56.
Primary neuroendocrine carcinoma of the breast (NEBC) is an exceptionally rare condition, comprising less than 0.1% of all breast cancers. Typically, these tumors are positive for estrogen receptors (ER) and progesterone receptors (PgR) and negative for HER2. Despite this luminal profile, NEBC is associated with a more aggressive clinical course and a poorer prognosis compared to other types of invasive breast cancer. Clinical and radiological findings are often nonspecific, with the most common presentation being a palpable mass. The tumor frequently appears on mammography as a round or oval mass with smooth, non-spiculated margins 2-3.
The diagnosis of NEBC requires a thorough investigation to exclude the possibility of a metastatic neuroendocrine tumor from another site, as these entities require different treatment approaches 4. Due to the rarity of NEBC, the optimal therapeutic approach has yet to be clearly defined, and its molecular characteristics still need to be better understood.
In this study, we report the case of a 43-year-old woman with primary large cell NEBC and axillary lymph node metastases who underwent neoadjuvant therapy with a pathological partial response. Next-generation sequencing (NGS) was performed on pre- and post-treatment samples to decipher their molecular profile and to identify potential novel molecular targets.
Materials and methods
This study was conducted in accordance with the Good Practice guidelines, the Declaration of Helsinki, and current laws, ethics, and regulations after having registered the informed consent to participate and for publication signed by the patient. After histopathological examination, pre-operative biopsy and post-neoadjuvant surgical specimen were both analyzed with immunohistochemistry (IHC), Fluorescence in situ hybridization (FISH), and NGS.
IMMUNOHISTOCHEMISTRY
IHC was performed as previously described 6, following the manufacturer’s instructions, and evaluated by a breast pathologist (A.N.). The following antibodies were utilized: Estrogen Receptor (clone: 6F11, dilution: pre-diluted, source: Leica Biosystems/UK), Progesterone Receptor (16, pre-diluted, Leica Biosystems), Ki-67 (MIB1, 1:100, Dako/Germany), HER2 (4B5, pre-diluted, Ventana/USA), Synaptophysin (27G12, pre-diluted, Leica Biosystems), Chromogranin (5H7, pre-diluted, Leica Biosystems), E-cadherin (36B5, pre-diluted, Leica Biosystems), GATA-3 (L50-823, BD Pharmingen/USA), CD56 (clone CD564, Leica, pre-diluted and PGP 9.5 (polyclonal, Dako, 1:200).
FLUORESCENCE IN SITU HYBRIDIZATION
The analysis was conducted on formalin-fixed, paraffin-embedded tissues. Cytogenetic analysis was performed using commercially available locus-specific probes targeting the chromosome 17 centromere and the HER2 locus (Abbott-Vysis, Milan/Italy). The FISH procedure followed the standard protocol provided by the manufacturer. Five-micron sections were cut from the paraffin-embedded blocks, and the slides were examined using an Olympus BX61 microscope (Olympus, Hamburg, Germany) with appropriate filters for Spectrum Orange, Spectrum Green, and a UV filter for the DAPI nuclear counterstain. The signals were captured using a CCD camera (CytoVision, Olympus Berlin, Germany), as previously described 7.
NEXT-GENERATION SEQUENCING
Genomic DNA was extracted from formalin-fixed, paraffin-embedded (FFPE) tissues using the GeneRead DNA FFPE kit (Qiagen), following the manufacturer’s instructions. The extraction procedure included the removal of deaminated cytosine to prevent false results during DNA sequencing. Neoplastic cellularity was assessed by two pathologists (C.L., A.N.) using hematoxylin and eosin staining, and each tumor sample was manually microdissected with a fine-needle hypodermic syringe to enrich the sample for tumor cells.
NGS was performed using the SureSelectXT HS CD Glasgow Cancer Core assay (www.agilent.com), hereinafter referred to as CORE 8-9. The panel spans 1.85 megabases of the genome and interrogates 174 genes for somatic variants, copy number alterations, and structural rearrangements; the details of targeted genes are reported in Supplementary Table I. Sequencing libraries were prepared by targeted capture using the SureSelect kit (Agilent Technologies), with RNA baits targeting a bespoke set of selected genomic features. Sequencing was performed on a NextSeq 500 (Illumina) loaded with 2 captured library pools, using a high-output flow cell and 2x75 bp paired-end sequencing.
CORE panel analysis started with demultiplexing performed with FASTQ Generation v1.0.0 on the BaseSpace Sequence Hub (https://basespace.illumina.com, last access 03/23/2021). Forward and reverse reads from each demultiplexed sample were aligned to the human reference genome (version hg38/GRCh38) using BWA and saved in the BAM file format 10. BAM files were sorted, subjected to PCR duplicate removal, and indexed using biobam-bam2 v2.0.146 11. Coverage statistics were produced using samtools 12.
Single nucleotide variants were called using Shearwater 13. Small (< 200 bp) insertions and deletions were called using Pindel 14. Small nucleotide variants were further annotated using a custom pipeline based on vcflib (https://github.com/ekg/vcflib; last access November 30, 2023), SnpSift 15, the Variant Effect Predictor (VEP) software 16, and the NCBI RefSeq transcripts database (https://www.ncbi.nlm.nih.gov/refseq/; last access November 30, 2023). All candidate variants were manually reviewed using Integrative Genomics Viewer (IGV), version 2.9 17, to exclude sequencing artifacts.
Copy number alterations of targeted genes were detected using the geneCN software, developed at Wolfson Wohl Cancer Research Centre (https://github.com/wwcrc/geneCN; last access October 31, 2023). Structural rearrangements were detected using the BRASS software 18 and visually reviewed using Integrative Genomics Viewer (IGV), version 2.9, to exclude sequencing artifacts.
Variants were classified following the five-tier classification system recommended by the joint consensus of the American College of Medical Genetics and Genomics and the Association for Molecular Pathology (ACMG/AMP) 19. Variants were categorized as Benign (class 1), Likely Benign (class 2), Variant of Uncertain Significance (VUS – class 3), Likely Pathogenic (class 4), and Pathogenic (class 5) 19,20.
Results
CASE PRESENTATION AND HISTOPATHOLOGICAL DIAGNOSIS
A 43-year-old woman presented to medical attention with a palpable lesion in the left breast. Ultrasound imaging described the lesion as a single nodule, 18 mm in diameter, with lobulated contours and internal calcifications. Homolateral axillary lymphadenopathy was also noted. A core biopsy of the primary lesion was performed. At histology, the core biopsy showed the presence of a hypercellular neoplasm composed of medium-to-large cells arranged in solid nests, trabeculae, and occasional rosette-like structures. The neoplastic cells exhibited marked nuclear atypia, with enlarged vesicular nuclei, prominent nucleoli and incremented nucleus-to-cytoplasmic ratio. The cytoplasm was scant and finely granular, and the overall architecture showed a sheet-like growth pattern. There were frequent mitoses (> 20/mm2). Intermingled with the cell population, there were geographic and punctate areas of tumor necrosis, consistent with a high-grade tumor. These features raised suspicion for a large cell neuroendocrine carcinoma (Fig. 1). Immunohistochemical evaluation was essential to support the diagnosis and is detailed below.
IMMUNOHISTOCHEMISTRY AND FISH
IHC showed positive staining for GATA3 and synaptophysin, focal positivity for chromogranin-A (10% of cells), strong and diffuse positivity for estrogen receptors (90%), low expression of progesterone receptors (1%), and a very high proliferative index Ki-67 (90%) (Fig. 1). CD56 was diffusely positive, mirroring the synaptophysin pattern, while PGP 9.5 showed focal moderate staining. The HER2 test scored 2+ (equivocal according to ASCO/CAP guidelines update 2023). 21. FISH analysis was performed on formalin-fixed, paraffin-embedded tumor tissue from the pre-treatment core biopsy using a dual-color probe targeting the HER2 gene and the centromeric region of chromosome 17 (CEP17). The average HER2 gene copy number ranged from 4 to 7 signals per nucleus (mean = 5), with an average of 2 CEP17 signals per cell, resulting in a HER2/CEP17 ratio of 2.5. According to ASCO/CAP 2018 guidelines, these findings are consistent with HER2 gene amplification, albeit at a low level, and support the patient’s eligibility for HER2-targeted therapy at baseline.
THERAPEUTIC STRATEGY
After these initial analyses, the patient underwent further examination with cytological analysis of the largest axillary lymph node (11 mm), which was positive for metastatic cells.
Based on all these findings and after multidisciplinary discussion, the patient received neoadjuvant chemotherapy consisting of epirubicin and cyclophosphamide (4 cycles), followed by weekly treatments with paclitaxel for 12 weeks and anti-HER2 therapy. MRI during and after neoadjuvant treatment showed a reduction in lesion diameter (from 18 mm to 10 mm) and a decrease in axillary lymphadenopathy volume (from 11 mm to 3 mm).
After the neoadjuvant treatment, a radical mastectomy with immediate reconstruction using a tissue expander was performed. Histological examination of the surgical specimen confirmed multiple residual foci of large cell NEBC, histological grade 3 according to the Elston-Ellis modification of the Scarff-Bloom-Richardson grading system 22. The morphology of the residual tumor was consistent with that observed in the initial core biopsy, showing solid nests of large atypical cells with high mitotic activity and focal necrosis. The specimen exhibited around 20% of residual cellularity in a background of fibrosis and inflammatory infiltrate. A focus of ductal carcinoma in situ (DCIS) with neuroendocrine differentiation was also present. Metastatic disease was found in 10 of 15 axillary lymph nodes, along with minimal fibrosis.
Based on histology, the response to therapy in both primary tumor and nodal metastases was classified as partial, with a residual cancer burden risk of class III (extensive residual disease) 23.
Post-treatment IHC revealed positivity for neuroendocrine markers, with a similar pattern to that observed on the biopsy, and for estrogen (90%) and progesterone (10%) receptors (Fig. 1) HER2 assessment with IHC was equivocal (score 2). At subsequent FISH analysis, the HER2 gene was no longer amplified.
After surgery, the patient received adjuvant radio- and chemotherapy (TDM1, LHRH, and exemestane), and after 42 months, she is still alive without signs of recurrence.
NGS performed on both pre-operative and post-neoadjuvant tissues showed in both samples a somatic variant in the GATA3 gene (c.1320_*1delCGCCATGGGTTAG), resulting in an abnormally longer protein isoform (500 vs. 443 amino acids) and classified as likely pathogenic according to ACMG/AMP criteria. NGS also revealed the presence of CCND1, FGF19, and IGF1R amplification in both pre-operative and post-neoadjuvant samples (Tab. I). The general CNV profile of both samples was characterized by multiple loss and gain events involving chromosomal arms or portions thereof (Supplementary Tab. II). Chromosome 17 exhibited loss of heterozygosity followed by a triplication (copy number = 3) of the retained allele in both pre- and post-treatment samples. However, three focal copy number gains (copy number = 5), including one in the chr17q12 region harboring CDK12 and ERBB2, were observed only in the pre-treatment sample. This focal amplification aligns with FISH results. In contrast, the post-treatment sample lacked both focal gains and HER2 amplification by FISH, with average HER2 and CEP17 signals falling below amplification thresholds. These findings are suggestive of clonal selection or therapeutic pressure, leading to the disappearance of the HER2-amplified subclone (Tab. I).
Discussion
NEBCs are a rare entity among breast malignancies, and the breast is an uncommon primary site for neuroendocrine neoplasms. In this report, we present an integrative histological, immunohistochemical, and genomic characterization of a primary large cell NEBC before and after neoadjuvant therapy. Our findings can be summarized as follows: both pre- and post-treatment samples exhibited a similar histological, immunohistochemical, and molecular profile; ii) the molecular profile showed GATA3 somatic mutation and CCND1, FGF19, and IGF1R amplifications in both samples; iii) CCND1, FGF19, and IGF1R amplifications were reported for the first time in this tumor setting and represented potentially critical drivers of this entity, also with therapeutic potentialities; iv) ERBB2 amplification was identified in the pre-treatment sample but was absent in the post-treatment surgical specimen.
The latest WHO 2019 classification recommends using the same approach for neuroendocrine neoplasms of the gastrointestinal tract when classifying breast neuroendocrine tumors 1. As a result, breast neuroendocrine neoplasms are now categorized into well-differentiated NETs and poorly differentiated neuroendocrine carcinomas (NECs), the latter including small-cell and large-cell NECs. Given the low prevalence of these malignancies, an accurate diagnosis remains a significant challenge and requires an interdisciplinary approach. NEBC, in particular, can be misclassified as carcinoma of the breast with neuroendocrine differentiation, carcinoma of no special type (NST), or neuroendocrine carcinomas metastatic to the breast 24.
The distinction between invasive breast carcinoma of NST with neuroendocrine differentiation and pure neuroendocrine neoplasms of the breast can be challenging, particularly in limited biopsy specimens. NST carcinomas may occasionally express neuroendocrine markers such as synaptophysin or chromogranin A in a focal or patchy pattern, without displaying the typical architectural or cytological features of neuroendocrine tumors. In contrast, pure neuroendocrine carcinomas – including small cell and large cell neuroendocrine carcinoma – are characterized by diffuse and strong expression of neuroendocrine markers, as well as distinctive histological features, such as organoid nesting, palisading, rosettes, and salt-and-pepper chromatin.
Regarding differential diagnostics, IHC is an instrumental tool for pathologists in trying to distinguish metastatic neuroendocrine neoplasms from primary invasive carcinomas of the breast with neuroendocrine differentiation and pure NETs of the breast. While most invasive mammary carcinomas with neuroendocrine differentiation and primary breast NETs are positive for ER and GATA3, metastatic neuroendocrine neoplasms typically lack ER and GATA3 expression, and metastatic well-differentiated NETs often exhibit immunoreactivity for site-specific markers, including TTF-1 for the lung and CDX2 for the intestine 25-27. Furthermore, GATA3 mutations have been reported in breast NETs and invasive ductal carcinomas but not in pancreatic NETs, as highlighted in a recent study by Karihtala et al. 28. Although the histologic and immunohistochemical features of a breast tumor with neuroendocrine differentiation may raise suspicion for a metastatic neuroendocrine neoplasm, the pathologic findings should always be interpreted in the context of the patient’s clinical history and imaging findings to ensure an accurate diagnosis.
Regarding molecular taxonomy, NETs typically exhibit a luminal profile with hormone receptor expression and, only occasionally, overexpression of HER2 protein and/or amplification of the ERBB2 gene, as observed in our case. To better understand that specific point, we performed a review of the literature (databases: PubMed and SCOPUS, date 07/31/2024), detecting only 7 HER2-positive NEBC reported to date in the literature (Tab. II) 28-33. In our case, the patient underwent neoadjuvant chemotherapy, resulting in a conversion from a HER2-positive disease to a HER2-negative residual tumor. This phenomenon, well-documented in HER2-positive breast carcinoma, occurs in approximately up to one-third of cases 34. To our knowledge, this is the first reported case of HER2-positive NEBC where HER2 status changed from positive in the pre-treatment sample to negative in the post-treatment sample. Such finding highlights the importance of assessing HER2 status also after neoadjuvant therapy.
In addition to HER2, the molecular profile of NEBC has only recently begun to be elucidated, with three characterizations based on targeted sequencing now available in the literature. These studies have revealed recurrent mutations in genes such as GATA3, FOXA1, KMT2C, and ARID1A, as well as the expression of potential therapeutic targets including TROP-2 and FOLR1, collectively contributing to a better understanding of the molecular landscape of primary NEBCs and offering new avenues for targeted treatment 35-39. Ang et al. reported PIK3CA mutations in approximately 20% of NEBCs 40. As known from the literature, this gene is also mutated in about 45% of hormone-sensitive non-neuroendocrine breast carcinomas and serves as a therapeutic target for the monoclonal antibody alpelisib 41. Another gene that can be altered in NETs is TROP2, whose mutations have been identified in approximately 20% of cases, also suggesting a potential new target for therapy 42-43. Our study does not detect any alteration in PIK3CA / TROP2, but identified, for the first time in this setting, CCND1, FGF19, and IGF1R amplifications, which were preserved in both the pre-operative biopsy and the post-neoadjuvant surgical specimen. The CCND1 gene is primarily altered in breast cancer through amplification, which occurs in a significant percentage of cases. Recent studies indicate that CCND1 amplification is present in approximately 22-35% of breast tumors, defining a subset of ER-positive tumors with a poor prognosis 44. Recently, Chen et al. suggested that CCND1 amplification correlates with several immunosuppressive hallmarks, including epithelial-mesenchymal transition, transforming growth factor (TGF)-β signaling, KRAS signaling, phosphoinositide 3-kinase (PI3K)/AKT/mTOR signaling, the p53 pathway, and hypoxia signaling in multiple solid tumors 45. These findings are particularly significant in the current era of immune checkpoint inhibitors and call for further investigations along those lines 46. Fibroblast growth factor 19 (FGF19) encodes a protein with mitogenic activity that functions as an FGF4 heparin-dependent ligand. High expression of FGF19 is linked to aggressive behavior and poor prognosis in breast cancer patients, particularly in luminal breast tumors. Zhao et al. proposed that targeting FGFR4 in breast cancer cells overexpressing FGF19 may be an effective strategy to inhibit cancer development, progression, and metastasis 47. Insulin-like growth factor 1 receptor (IGF1R) encodes a protein that is a receptor tyrosine kinase, which binds insulin-like growth factor. Although clinical data on the correlation between IGF1R protein expression and resistance to HER2-targeted therapy is mixed, in vitro data from breast cancer cell lines suggest a strong correlation between increased IGF1R activity and resistance to HER2-targeted therapies 48. Collectively, these findings indicate new potential biomarkers in NEBC that could be explored for novel therapeutic strategies.
Conclusions
In conclusion, NEBCs represent a rare and diagnostically challenging entity due to their overlapping features with both primary breast carcinomas and metastatic neuroendocrine tumors. Our case study highlights the complexity of managing NEBCs, particularly in the context of HER2-positive disease that may undergo conversion to HER2-negative status following neoadjuvant chemotherapy. Although recognized in HER2-positive breast carcinomas, this phenomenon has not been previously reported in NEBCs, underscoring the need for vigilant reassessment of HER2 status post-neoadjuvant treatment. The molecular characterization of this case also revealed CCND1, FGF19, and IGF1R amplifications, suggesting their pivotal role in the biology of the described tumors and a potential role as molecular biomarkers and therapeutic targets. Identifying these alterations contributes to the growing understanding of the molecular underpinnings of NEBCs and offers new avenues for personalized treatment approaches.
Given the rarity of NEBCs and the limited data available, further research is needed to refine diagnostic criteria, explore the therapeutic implications of molecular findings, and improve patient outcomes. This case underscores the importance of an interdisciplinary approach in the diagnosis and management of NEBCs, integrating histopathological, immunohistochemical, and genomic data to guide treatment decisions.
FUNDING
This work was supported by Italian Ministry of University and Research. Grant numbers PRIN 2022, code: P2022JZA5Z, CUP: B53D23030690001.
CONFLICTS OF INTEREST/ STATEMENT
There is no conflict of interest.
AUTHORS CONTRIBUTION
MZ: Conceptualization, methodology, writing – original draft.
EF: Data collection, analysis, writing – review & editing.
VM: Literature review, writing – original draft.
AM: Project administration, supervision.
GQ: Data interpretation, writing – review & editing.
BB: Methodology, data analysis.
PB: Data collection, investigation.
MB: Statistical analysis, writing – review & editing.
AI: Resources, data collection.
FP: Supervision, writing – review & editing.
CL: Conceptualization, project administration.
AS: Supervision, writing – review & editing.
AN: Conceptualization, methodology, writing – original draft.
ETHICAL CONSIDERATION
This study was conducted in accordance with the Good Practice guidelines, the Declaration of Helsinki, and current laws, ethics, and regulations after having registered the informed consent to participate and for publication signed by the patient.
History
Received: January 17, 2025
Accepted: May 29, 2025
Figures and tables
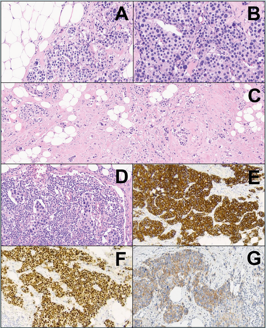
Figure 1. Highly illustrative figure of the most representative histological aspects of the neoplasm here described. A,B) Pre-operative biopsy showing neuroendocrine carcinoma with solid-nested architecture (hematoxylin-eosin, A: 10x original magnification, B: 20x). C) Tumor bed with diffuse fibrotic reaction after neoadjuvant chemotherapy (hematoxylin-eosin, 4x). D) Nodal metastasis: note tumor cell clusters in the marginal sinus of the lymph node (hematoxylin-eosin, 10x). E,F,G) Immunohistochemical microphotographs (10x) highlighting diffuse positivity for synaptophysin (E) and for Estrogen receptor (F), and the pattern of Her2 positivity (G) in the highest-cellulated area in the post-neodjuvant treatment.
| Sample site | Gene | Variation | # of copies | ACMG/AMP Class |
|---|---|---|---|---|
| CCND1 | Ampl | 40 | 5 | |
| FGF19 | Ampl | 40 | 5 | |
| Neuroendocrine carcinoma before treatment | IGF1R | Ampl | 38 | 5 |
| CDK12 | Gain | 5 | 4 | |
| ERBB2 | Gain | 5 | 4 | |
| CCND1 | Ampl | 46 | 5 | |
| Neuroendocrine carcinoma after treatment | FGF19 | Ampl | 46 | 5 |
| IGF1R | Ampl | 42 | 5 | |
| Abbreviations: Ampl = gene amplification (> 5 copies), Gain = gene copy gain (3-5 copies) | ||||
| ACMG/AMP Class: 5 = pathogenic, 4 = likely pathogenic [Richards et al. Genet Med 2015] | ||||
| Reference | Number of Cases | Age (Years) | Size (cm) | Location | Hormone receptors | HER2 | Treatment | OS (Months) |
|---|---|---|---|---|---|---|---|---|
| Yavas et al. 28 | 1 | 77 | 4.5 | Right breast, upper lateral quadrant - quadrantectomy | ER + (70%), PgR + (5%) | 3+ | None | 15 |
| Marijanovic et al. 29 | 1 | 70 | 3 | Right breast, upper inner quadrant - mastectomy | ER + (100%), PgR + (10%) | 3+ | Adjuvant CHT, RT, HT | 108 |
| Gevorgyan et al. 30 | 1 | 65 | na | Bone lesion; First Right breast - quadrantectomy for NEC at age 36; mastectomy for DCIS after 3 years | ER + (66% - 100%), PgR - | 3+ | Adjuvant CHT | 4 |
| Li et al. 31 | 1 | 54 | 1.6 | Upper outer quadrant of the left breast | ER + | 2+ (heterogeneous amplification) | Adjuvant CHT, HT | 9 |
| Lavigne et al. 32 | 1 | na | na | Breast | ER +, PgR + | HER2 amplification | Target therapy | na |
| Karihtala et al. 27 | 2 | na | na | Breast | na | HER2 amplification | na | na |
| Notes: “na” denotes data not available. | ||||||||
| RT radiotherapy, HT hormonotherapy, CHT chemotherapy. | ||||||||
References
- Breast Tumours: WHO Classification of Tumours. 2019;2.
- Özdirik B. Primary neuroendocrine neoplasms of the breast: case series and literature review. Cancers (Basel). 2020;12. doi:https://doi.org/10.3390/cancers12020496.
- Salemis N. Primary neuroendocrine carcinoma of the breast: a rare presentation and review of the literature. Intractable Rare Dis Res. 2020;9:233-46.
- Richter-Ehrenstein C. Solid neuroendocrine carcinomas of the breast: metastases or primary tumors?. Breast Cancer Res Treat. 2010;124:413-7.
- Mohanty S. Comparison of metastatic neuroendocrine neoplasms to the breast and primary invasive mammary carcinomas with neuroendocrine differentiation. Mod Pathol. 2016;29:788-98.
- Luchini C, Parcesepe P, Nottegar A. CD71 in gestational pathology: a versatile immunohistochemical marker with new possible applications. Appl Immunohistochem Mol Morphol. 2016;24:215-20. doi:https://doi.org/10.1097/PAI.0000000000000175
- Brunelli M, Nottegar A, Bogina G. Monosomy of chromosome 17 in breast cancer during interpretation of HER2 gene amplification. Am J Cancer Res. 2015;5(7):2212-21.
- Mafficini A, Lawlor R, Ghimenton C. Solid pseudopapillary neoplasm of the pancreas and abdominal desmoid tumor in a patient carrying two different BRCA2 germline mutations: new horizons from tumor molecular profiling. Genes (Basel). 2021;12. doi:https://doi.org/10.3390/genes12040481
- Lawlor R, Mafficini A, Sciammarella C. Genomic characterization of hepatoid tumors: context matters. Hum Pathol. 2021;118:30-41.
- Li H, Durbin R. Fast and accurate short read alignment with Burrows-Wheeler transform. Bioinformatics. 2009;25:1754-60. doi:https://doi.org/10.1093/bioinformatics/btp324
- Tischler G, Leonard S. biobambam: tools for read pair collation based algorithms on BAM files. Source Code Biol Med. 2014;9. doi:https://doi.org/10.1186/1751-0473-9-13
- Li H, Handsaker B, Wysoker A. The Sequence Alignment/Map format and SAMtools. Bioinformatics. 2009;25:2078-9. doi:https://doi.org/10.1093/bioinformatics/btp352
- Gerstung M, Papaemmanuil E, Campbell P. Subclonal variant calling with multiple samples and prior knowledge. Bioinformatics. 2014;30:1198-204. doi:https://doi.org/10.1093/bioinformatics/btt750
- Ye K, Schulz M, Long Q. Pindel: a pattern growth approach to detect break points of large deletions and medium sized insertions from paired-end short reads. Bioinformatics. 2009;25:2865-71. doi:https://doi.org/10.1093/bioinformatics/btp394
- Cingolani P, Patel V, Coon M. Using Drosophila melanogaster as a model for genotoxic chemical mutational studies with a new program, SnpSift. Front Genet. 2012;3. doi:https://doi.org/10.3389/fgene.2012.00035
- McLaren W, Pritchard B, Rios D. Deriving the consequences of genomic variants with the Ensembl API and SNP Effect Predictor. Bioinformatics. 2010;26:2069-70. doi:https://doi.org/10.1093/bioinformatics/btq330
- Robinson J, Thorvaldsdóttir H, Winckler W. Integrative genomics viewer. Nat Biotechnol. 2011;29:24-6. doi:https://doi.org/10.1038/nbt.1754
- Ahdesmäki M, Chapman B, Cingolani P. Prioritisation of structural variant calls in cancer genomes. PeerJ. 2017;5. doi:https://doi.org/10.7717/peerj.3166
- Richards S, Aziz N, Bale S. Standards and guidelines for the interpretation of sequence variants: a joint consensus recommendation of the American College of Medical Genetics and Genomics and the Association for Molecular Pathology. Genet Med. 2015;17:405-23. doi:https://doi.org/10.1038/gim.2015.30
- Gundem G, Perez-Llamas C, Jene-Sanz A. IntOGen: integration and data mining of multidimensional oncogenomic data. Nat Methods. 2010;7:92-3. doi:https://doi.org/10.1038/nmeth0210-92
- Wolff A, Hammond M, Hicks D. Recommendations for human epidermal growth factor receptor 2 testing in breast cancer: American Society of Clinical Oncology/College of American Pathologists clinical practice guideline update. J Clin Oncol. 2013;31(31):3997-4013. doi:https://doi.org/10.1200/JCO.2013.50.9984
- Bloom H, Richardson W. Histological grading and prognosis in breast cancer: a study of 1409 cases of which 359 have been followed for 15 years. Br J Cancer. 1957;11(3):359-77.
- Symmans W, Wei C, Gould R. Long-term prognostic risk after neoadjuvant chemotherapy associated with residual cancer burden and breast cancer subtype. J Clin Oncol. 2017;35(10):1049-60. doi:https://doi.org/10.1200/JCO.2015.63.1010
- Metovic J, Cascardi E, Uccella S. Neuroendocrine neoplasms of the breast: diagnostic agreement and impact on outcome. Virchows Arch. 2022;481(6):839-46. doi:https://doi.org/10.1007/s00428-022-03426-0
- Perry K, Reynolds C, Rosen D. Metastatic neuroendocrine tumour in the breast: a potential mimic of in-situ and invasive mammary carcinoma. Histopathology. 2011;59(4):619-30. doi:https://doi.org/10.1111/j.1365-2559.2011.03940.x
- Mohanty S, Kim S, DeLair D. Comparison of metastatic neuroendocrine neoplasms to the breast and primary invasive mammary carcinomas with neuroendocrine differentiation. Mod Pathol. 2016;29(8):788-98. doi:https://doi.org/10.1038/modpathol.2016.69
- Richter-Ehrenstein C, Arndt J, Buckendahl A. Solid neuroendocrine carcinomas of the breast: metastases or primary tumors?. Breast Cancer Res Treat. 2010;124(2):413-7. doi:https://doi.org/10.1007/s10549-010-1178-3
- Karihtala P, Porvari K, Roininen N. Comparison of the mutational profiles of neuroendocrine breast tumours, invasive ductal carcinomas and pancreatic neuroendocrine carcinomas. Oncogenesis. 2022;11(1). doi:https://doi.org/10.1038/s41389-022-00427-1
- Yavas G, Karabagli P, Araz M. HER-2 positive primary solid neuroendocrine carcinoma of the breast: a case report and review of the literature. Breast Cancer. 2015;22(4):432-6. doi:https://doi.org/10.1007/s12282-012-0382-x
- Marijanović I, Kraljević M, Buhovac T. Rare human epidermal growth factor receptor 2 (HER-2)-positive neuroendocrine carcinoma of the breast: a case report with 9-year follow-up. Am J Case Rep. 2020;21. doi:https://doi.org/10.12659/AJCR.925895
- Gevorgyan A, Bregni G, Galli G. HER2-positive neuroendocrine breast cancer: case report and review of literature. Breast Care (Basel). 2016;11(6):424-6. doi:https://doi.org/10.1159/000453572
- Li Y, Cao Y, Wu X. HER-2-positive primary neuroendocrine neoplasms of the breast with signet ring feature: a case report and review of literature. Front Oncol. 2022;12. doi:https://doi.org/10.3389/fonc.2022.1029007
- Lavigne M, Menet E, Tille J. Comprehensive clinical and molecular analyses of neuroendocrine carcinomas of the breast. Mod Pathol. 2018;31(1):68-82. doi:https://doi.org/10.1038/modpathol.2017.107
- Ren X, Zhang X, Ma X. Changes in HER2 status and survival outcomes in patients with non-pathological complete response after neoadjuvant targeted treatment. Medicine (Baltimore). 2023;102(39). doi:https://doi.org/10.1097/MD.0000000000034903
- Jiang L, Pan X, Lang Z. Neuroendocrine neoplasms of the breast: current insights and future directions. Cancer Rep (Hoboken). 2024;7(11). doi:https://doi.org/10.1002/cnr2.70059
- Wei Y, Ke X, Yu J. Clinical and genomic analyses of neuroendocrine neoplasms of the breast. Mod Pathol. 2022;35(4):495-505. doi:https://doi.org/10.1038/s41379-021-00965-w
- Vranic S, Palazzo J, Sanati S. Potential novel therapy targets in neuroendocrine carcinomas of the breast. Clin Breast Cancer. 2019;19(2):131-6. doi:https://doi.org/10.1016/j.clbc.2018.09.001
- Marchiò C, Geyer F, Ng C. The genetic landscape of breast carcinomas with neuroendocrine differentiation. J Pathol. 2017;241(3):405-19. doi:https://doi.org/10.1002/path.4837
- Vegni F, De Stefano I, Policardo F. Neuroendocrine neoplasms of the breast: a review of literature. Virchows Arch. 2024;485(2):197-212. doi:https://doi.org/10.1007/s00428-024-03856-y
- Ang D, Ballard M, Beadling C. Novel mutations in neuroendocrine carcinoma of the breast: possible therapeutic targets. Appl Immunohistochem Mol Morphol. 2015;23(2):97-103. doi:https://doi.org/10.1097/PDM.0b013e3182a40fd1
- André F, Ciruelos E, Rubovszky G. Alpelisib for PIK3CA-mutated, hormone receptor-positive advanced breast cancer. N Engl J Med. 2019;380(20):1929-40. doi:https://doi.org/10.1056/NEJMoa1813904
- Vranic S, Palazzo J, Sanati S. Molecular profiling of neuroendocrine breast carcinomas: implications for diagnosis and treatment. Breast J. 2021;27(4):382-9. doi:https://doi.org/10.1111/tbj.14149.
- Trevisi E, La Salvia A, Daniele L. Neuroendocrine breast carcinoma: a rare but challenging entity. Med Oncol. 2020;37(8). doi:https://doi.org/10.1007/s12032-020-01396-4
- Lundberg A, Lindström L, Li J. The long-term prognostic and predictive capacity of cyclin D1 gene amplification in 2305 breast tumours. Breast Cancer Res. 2019;21(1). doi:https://doi.org/10.1186/s13058-019-1121-4
- Chen Y, Huang Y, Gao X. CCND1 amplification contributes to immunosuppression and is associated with a poor prognosis to immune checkpoint inhibitors in solid tumors. Front Immunol. 2020;11. doi:https://doi.org/10.3389/fimmu.2020.01620
- Shi Y, Qian Z, Zhang S. Cell cycle protein expression in neuroendocrine tumors: association of CDK4/CDK6, CCND1, and phosphorylated retinoblastoma protein with proliferative index. Pancreas. 2017;46(10):1347-53. doi:https://doi.org/10.1097/MPA.0000000000000944
- Zhao X, Xu F, Dominguez N. FGFR4 provides the conduit to facilitate FGF19 signaling in breast cancer progression. Mol Carcinog. 2018;57(11):1616-25. doi:https://doi.org/10.1002/mc.22884
- Farabaugh S, Boone D, Lee A. Role of IGF1R in breast cancer subtypes, stemness, and lineage differentiation. Front Endocrinol (Lausanne). 2015;6. doi:https://doi.org/10.3389/fendo.2015.00059
Downloads
License
This work is licensed under a Creative Commons Attribution-NonCommercial-NoDerivatives 4.0 International License.
Copyright
Copyright (c) 2025 Società Italiana di Anatomia Patologica e Citopatologia Diagnostica, Divisione Italiana della International Academy of Pathology
How to Cite
- Abstract viewed - 510 times
- PDF downloaded - 234 times
