Letter to the Editor
Vol. 117: Issue 4 - August 2025
Early gestational choriocarcinoma: report of two cases and review of the literature
Early gestational choriocarcinoma.
Summary
Gestational choriocarcinoma (GCC) is a malignant and aggressive tumor composed of neoplastic trophoblasts rarely arising months after a normal gestation or after an hydatidiform mole (HM). Histologically, its main diagnostic features are a trimorphic population of trophoblast cells and an absence of chorionic villi. Recently, extremely rare cases of GCC diagnosed in molar and in placenta specimens have been described and accepted as early forms of GCC. We report two cases of GCC diagnosed in a term placenta and in a complete HM (CHM) and underline the importance of recognizing such a rare early form of GCC.
Introduction
Choriocarcinoma (CC) is a rare malignant and aggressive trophoblastic neoplasm and can have gestational or non-gestational origin. The non-gestational form (NGCC) is extremely rare, and derives from pluripotent germ cells in gonads or in the midline structures or is found in association with poorly differentiated somatic carcinomas 1. The gestational form of choriocarcinoma (GCC) is composed of neoplastic villous syncytiotrophoblasts,
intermediate trophoblasts, and cytotrophoblasts. It represents the most frequent tumor derived from placental trophoblasts, arising in the majority of cases after a term pregnancy or after a hydatidiform mole (HM) with a mean interval of 1-3 months and 13 months respectively 2,3. The most common symptoms are uterine bleeding or hemorrhagic events in other organs in case of extrauterine spreading 2. In all cases, there are elevated levels of serum human chorionic gonadotropin (hCG) 2. Traditionally, the presence of chorionic villi was considered discordant with the diagnosis of CC, although recently CC identified in term placentas have been described and accepted as an intraplacental gestational neoplasm 4. The coexistence of CC in a HM is controversial and not fully accepted. We present two cases of GCC diagnosed, respectively, in the setting of a term placenta and of a complete HM.
Case 1
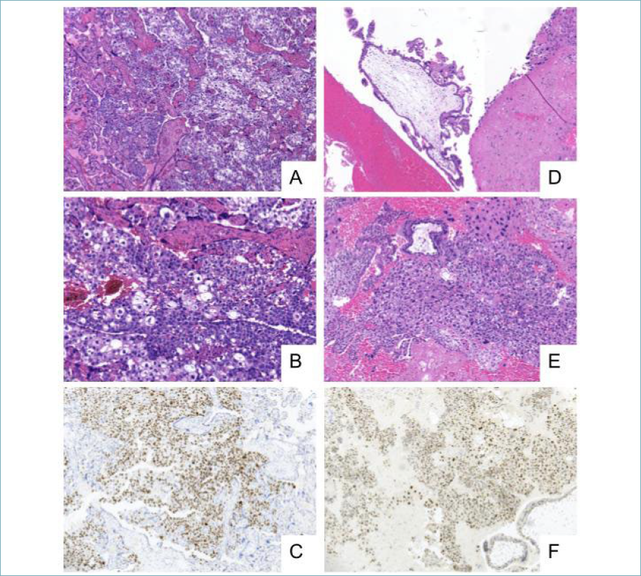
A 32-year-old term pregnant woman accessed the Emergency Room due to back pain; emergency cesarean delivery was performed. After delivery, due to chest pain, the patient underwent chest RX and total body CT scan which highlighted multiple pulmonary nodulations, hilar lymphadenopathy, and a soft tissue formation in the pelvis. The patient underwent atypical double lobe resection. The placenta macroscopically presented multiple 1-2 cm whitish and reddish nodulations, histologically corresponding to striking proliferation of cytotrophoblasts and syncytiotrophoblasts with extensive necrosis and hemorrhage, marked cytological atypia and high mitotic activity with Ki-67 immunostaining > 90% (Fig. 1A-C). Histological examination of the lung specimens revealed a proliferation of large atypical cells positive at immunostaining for hCG. Placental neoplastic tissue was sequenced using next generation sequencing (NGS) Test on Illumina platform on instrument Iseq100 (Illumina) with certified Myriapod® NGS BRCA1-2 panel (Diatech Pharmacogenetics) and with Myriapod® NGS PLUS panel (Diatech Pharmacogenetics) on instrument Miseq (Illumina). The results showed no mutations in BRCA1/2, presence of pathogenic mutations in TP53 exon 5 c.473G>A, p.(Arg158His) and in ERBB4 exon 12 c. 1439C>A, p.(Thr480Lys) and of a variant of uncertain potential (vus) in KRAS exon 3 c.182A>T, p.(Gln61Leu).
Diagnosis of placental GCC with lung metastases was made. Due to metastatic spread, chemotherapy was promptly started according to the EMA-CO scheme and continued with a second-line scheme EMA-EP. In consideration of the progressive disease, PD-L1 test was requested and despite its immunoistochemical very low expression, off-label treatment with pembrolizumab was initiated. Despite all efforts, the patient died 10 months after diagnosis.
Case 2
A 30-year-old female presented to the Gynecology Emergency Unit for vaginal bleeding at the 12th week of pregnancy. Transvaginal ultrasound revealed irregular and heterogeneous intrauterine material with peripheral vacuolization and a central hemorrhagic area. There was no evidence of echoes referable to embryos. Laboratory tests revealed elevated serum hCG (240,457 U/L). Revision of the uterine cavity was performed. Specimen examination demonstrated largely edematous chorionic villi with myxoid stroma without stromal vessels and with stromal cisterns; parts of villi demonstrated necrotic changes and diffuse circumferential hyperplasia of trophoblast with trophoblast inclusions. Diffuse solid sheets of marked atypical cells were present, showing a brisk mitotic activity and elevated proliferative index Ki-67 (Fig. 1D-F). Molecular analysis were attempted but DNA quality was low and not assessable.
The diagnosis was of complete HM with massive trophoblastic proliferation suggestive of an early GCC. A total body computed tomography (CT) scan evidenced multiple lung and pelvic nodules highly suggestive of metastasis. The patient was treated according to the EMA-CO regimen and a good response to 5-cycles of therapy was evident as serum levels of hCG declined and all nodules disappeared. Fifteen months after diagnosis, the patient experienced a second pregnancy that concluded at term without complications.
Discussion
GCC is a rare disease probably arising from the malignant transformation of an intrauterine residual normal trophoblast. However, after several cases of intraplacental choriocarcinoma (IPC) reported in the literature, it is recognized that it can arise in placentas, as a focal neoplastic proliferation of the chorionic villous trophoblast. Review data have shown that it can occur at any stage of gestation, both in primigravidas and in multiparous women 4. In most cases IPC is not macroscopically visible or has an incospicuous appearance, and it is detected only microscopically. Alternatively it appears as single or multiple infarcted areas 4. Histologically, IPC has the typical biphasic or triphasic appearance of CC; in smaller lesions such proliferation originates from the surface of affected villi, in larger lesions villi are replaced by tumor solid masses 4.
IPC is a rare event but its actual incidence is probably underestimated. According to current guidelines, not all placentas are submitted to Surgical Pathology Units; furthermore, in accordance with routine protocols not all macroscopically evident lesions have to be included for histological examination 4,5. For such reasons, we can assume that some cases of GCC diagnosed months after a gestation, are actually IPC that became evident after metastatic spreading.
In complete HM, villi are enlarged, edematous and show a circumferential trophoblastic hyperplasia with masses of trophoblast that protrude from the surface of villi. Such hyperplasia can form large confluent masses that can show marked atypia and brisk mitotic activity. It has been described as a typical feature of complete molar specimens, but recently it has been assumed that in some cases such aspects represent ongoing transformation into an early CC.
Little is known about the molecular landscape of GCC, recent studies on case series showed the majority of GCC having high expression of PD-L1 with important therapeutic implications 6,7. Our case 1 was treated with pembrolizumab with no significant results. GCC also frequently harbor recurrent copy number alterations (CNAs), driver mutations in chromatin remodeling genes (ARID1A, SMARCD1 and EP330), in TP53 and less frequently in homologous recombination repair genes, in BRCA1 and RAD51C 6,7. Our cases showed TP53 mutations and in case 1, a previously unreported pathogenic mutation in ERBB4.
In both our cases, diagnosis of GCC was very challenging, and the involvement of several pathologists, additional molecular analyses and correlation with clinical and laboratory data were essential to reach the correct diagnosis.
CONFLICTS OF INTEREST STATEMENT
The authors declare no conflict of interest.
FUNDING
This research received no external funding.
AUTHORS’ CONTRIBUTIONS
Conceptualization AG,AL,LS; methodology VS,PS; software AG,AL; validation, AG,KL; formal analysis, AG,AL,LS; investigation, PS,VS; data curation, AG,GT.; writing—original draft preparation, AG,AL; writing—review and editing, AG,MS,PDT; visualization, AG,LS; supervision, MS,PDT; project administration AG,AL. All authors have read and agreed to the published version of the manuscript.
ETHICAL CONSIDERATION
None.
History
Received: January 22, 2025
Accepted: September 1, 2025
Figures and tables
Figure 1. (A-B) Intraplacental choriocarcinoma with proliferation of cytotrophoblasts and syncytiotrophoblasts. (C) Elevated Ki-67 in neoplastic cells. (D) Circumferential hyperplasia of trophoblast along the surface of an edematous villus. (E) Confluent proliferation of atypical trophoblastic cells. (F) Elevated Ki-67 in neoplastic cells.
References
- Lazare C, Zhi W, Dai J. A pilot study comparing the genetic molecular biology of gestational and non-gestational choriocarcinoma. Am J Transl Res. 2019;11(11):7049-7062.
- Pei H. Gestational Trophoblastic Tumors: A Timely Review of Diagnostic Pathology. Arch Pathol Lab Med 1. 2019;143(1):65-74. doi:https://doi.org/10.5858/arpa.2018-0234-RA
- Soper J. Gestational trophoblastic disease. Obstet Gynecol. 2006;108(1):176-187. doi:https://doi.org/10.1097/01.AOG.0000224697.31138.a1
- Dahl J. Intraplacental Gestational Neoplasms. A review of clinically relevant diagnostically challenging lesions. Arch Pathol Lab Med. 2024;148(4):398-408. doi:https://doi.org/10.5858/arpa.2023-0109-RA
- Roberts D, Baergen R, Boyd T. Criteria for placental examination for obstetrical and neonatal providers. Am J Obstet Gynecol. 2023;228(5):497-508.e4. doi:https://doi.org/10.1016/j.ajog.2022.12.017
- Jung S, Choi Y, Kim M. Distinct genomic profiles of gestational choriocarcinoma, a unique cancer of pregnant tissues. Exp Mol Med. 2020;52(12):2046-2054. doi:https://doi.org/10.1038/s12276-020-00544-0
- McNally L, Wu S, Hodges K. Molecular profiling of gestational trophoblastic neoplasia: Identifying therapeutic targets. Gynecol Oncol. 2024;184:111-116. doi:https://doi.org/10.1016/j.ygyno.2024.01.033
Downloads
License
This work is licensed under a Creative Commons Attribution-NonCommercial-NoDerivatives 4.0 International License.
Copyright
Copyright (c) 2025 Società Italiana di Anatomia Patologica e Citopatologia Diagnostica, Divisione Italiana della International Academy of Pathology
How to Cite
- Abstract viewed - 661 times
- PDF downloaded - 186 times

